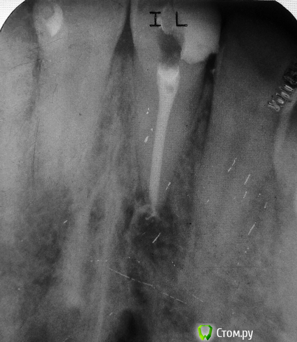
AMaPbI4 Опубликовано 30 ноября, 2013 Поделиться Опубликовано 30 ноября, 2013 Здравствуйте) 2 недели назад обратился мужчина, 39 лет, по острой боли, 11 зуб. Перкуссия и пальпация по переходной болезненна, на рентгене очаг. Композитрая реставрация с нарушенным краевым прилеганием. Делали год назад в поликлинике. Коффер, раскрылся и потекло) 55 файл слегка подклинился в апексе, до него все вылетали со свистом. Долго мыл, сформировал упор 70 файлом, почесал стенки хедструмом, высушить полностью не удалось. UltraCal в подтекающий канал, НПВС, отпустил. Резать не стал. На следующий день к вечеру клиника начала стихать. Во второе посещение вымыл кальций, помылся, высушил. За 5-7 минут экспозиции пина в канале, кончик остался абсолютно сухим. Залатералил. Реставрация в то же посещение. Теперь собственно вопрос, который не дает мне спать: учитывая время полной полимеризации AH+ И исходный размер апекса, может стоило апикально закрыть МТА? Все таки 5 минут ни разу не показатель сухости в канале. Ссылка на комментарий
Marina_A Опубликовано 30 ноября, 2013 Поделиться Опубликовано 30 ноября, 2013 (изменено) Теперь собственно вопрос, который не дает мне спать: учитывая время полной полимеризации AH+ И исходный размер апекса, может стоило апикально закрыть МТА? Все таки 5 минут ни разу не показатель сухости в канале.да, большие апексы лучше закрывать МТА.а какая рабочая длина была? Изменено 30 ноября, 2013 пользователем Marina Antoniuk Ссылка на комментарий
AMaPbI4 Опубликовано 30 ноября, 2013 Автор Поделиться Опубликовано 30 ноября, 2013 22,5 мм от режущего Ссылка на комментарий
ger_berra Опубликовано 30 ноября, 2013 Поделиться Опубликовано 30 ноября, 2013 Если нет симптомов,то в данной ситуации остается только ждать реколл.А так да,лучше МТА закрывать. Ссылка на комментарий
AMaPbI4 Опубликовано 30 ноября, 2013 Автор Поделиться Опубликовано 30 ноября, 2013 Второй день после обтурации. Жалоб никаких. Будем ждать) Ссылка на комментарий
Ico Опубликовано 30 ноября, 2013 Поделиться Опубликовано 30 ноября, 2013 Все будет хорошо,красивое эндо! Ссылка на комментарий
sorriso Опубликовано 30 ноября, 2013 Поделиться Опубликовано 30 ноября, 2013 У меня сходная ситуация. Ретрит 3.5,проскакивают все имеющиеся в клинике инструменты(45), большего размера нет. Поделитесь,пожалуйста, методикой паковки апекса мта. Ссылка на комментарий
IvanK Опубликовано 30 ноября, 2013 Поделиться Опубликовано 30 ноября, 2013 У меня сходная ситуация. Ретрит 3.5,проскакивают все имеющиеся в клинике инструменты(45), большего размера нет. Поделитесь,пожалуйста, методикой паковки апекса мта.Купите большие размеры... имхо, они не дорогие? Ссылка на комментарий
Kivilgar Опубликовано 30 ноября, 2013 Поделиться Опубликовано 30 ноября, 2013 Купите большие размеры... имхо, они не дорогие?До 120 включительно. Ссылка на комментарий
Afffinity Опубликовано 30 ноября, 2013 Поделиться Опубликовано 30 ноября, 2013 До 120 включительно.Может я ошибаюсь, но есть мнение, что апекс больше 40 по исо - показание к мта. Ссылка на комментарий
Kivilgar Опубликовано 30 ноября, 2013 Поделиться Опубликовано 30 ноября, 2013 Может я ошибаюсь, но есть мнение, что апекс больше 40 по исо - показание к мта. Больше 80. Ссылка на комментарий
DmitrySH Опубликовано 30 ноября, 2013 Поделиться Опубликовано 30 ноября, 2013 Больше 80. От 50 с МТА как-то спокойнее. Хотя тут больше дело личного опыта. Ссылка на комментарий
Kivilgar Опубликовано 30 ноября, 2013 Поделиться Опубликовано 30 ноября, 2013 (изменено) У меня сходная ситуация. Ретрит 3.5,проскакивают все имеющиеся в клинике инструменты(45), большего размера нет. Поделитесь,пожалуйста, методикой паковки апекса мта.С периапикальной матрицей или без. Вносим в апекс, порциями, ультразвуком прессуем, убираем параллельно влагу. Оставляем под временной или пакуем сверху гуттой сразу. Готово. Изменено 30 ноября, 2013 пользователем Kivilgar Ссылка на комментарий
AMaPbI4 Опубликовано 30 ноября, 2013 Автор Поделиться Опубликовано 30 ноября, 2013 Все будет хорошо,красивое эндо!Спасибо)Но реколл будет только в том случае, если пациент снова приедет в Киев на заработки и зайдет в гости, так что высока вероятность не узнать достоверно, как оно все будет Ссылка на комментарий
AMaPbI4 Опубликовано 30 ноября, 2013 Автор Поделиться Опубликовано 30 ноября, 2013 С периапикальной матрицей или без. Вносим в апекс, порциями, ультразвуком прессуем, убираем параллельно влагу. Оставляем под временной или пакуем сверху гуттой сразу. Готово.А разве влажный пин в канале не нужно оставлять? В институтах вроде так учили Ссылка на комментарий
DmitrySH Опубликовано 30 ноября, 2013 Поделиться Опубликовано 30 ноября, 2013 С периапикальной матрицей или без. Вносим в апекс, порциями, ультразвуком прессуем, убираем параллельно влагу. Оставляем под временной или пакуем сверху гуттой сразу. Готово. Какую максимальную толщину МТА можно паковать? Ссылка на комментарий
Kivilgar Опубликовано 30 ноября, 2013 Поделиться Опубликовано 30 ноября, 2013 Какую максимальную толщину МТА можно паковать?Да хоть весь канал. Ссылка на комментарий
Kivilgar Опубликовано 30 ноября, 2013 Поделиться Опубликовано 30 ноября, 2013 А разве влажный пин в канале не нужно оставлять? В институтах вроде так училиОставляйте, почему нет. Ссылка на комментарий
DmitrySH Опубликовано 30 ноября, 2013 Поделиться Опубликовано 30 ноября, 2013 Да хоть весь канал. Оставляйте, почему нет. Ну весь канал - думаю лишнее. но апикальные пробки на 1/3 корня ( под вкв) бывает. Вроде как учили, что требуется влага для нормального затвердевания материала. А где ей там взяться. Ссылка на комментарий
sorriso Опубликовано 1 декабря, 2013 Поделиться Опубликовано 1 декабря, 2013 С периапикальной матрицей или без. Вносим в апекс, порциями, ультразвуком прессуем, убираем параллельно влагу. Оставляем под временной или пакуем сверху гуттой сразу. Готово.Андрей,не совсем понятна фраза про матрицу. И еще в голове не укладывается,как все же внести в апекс,на чем?с помощью чего? Ссылка на комментарий
Kivilgar Опубликовано 1 декабря, 2013 Поделиться Опубликовано 1 декабря, 2013 Андрей,не совсем понятна фраза про матрицу. И еще в голове не укладывается,как все же внести в апекс,на чем?с помощью чего?Берется коллагеновая или желатиновая губка, выталкивается за апекс и на ней как на опоре прессуется МТА. Можно без апикальной матрицы плотно внести смесь и утрамбовывать. Смотреть по ситуации надо на апекс и на патологию за ним. Ссылка на комментарий
zubkindoctor Опубликовано 1 декабря, 2013 Поделиться Опубликовано 1 декабря, 2013 От 50 с МТА как-то спокойнее. Хотя тут больше дело личного опыта. Я слышала от 60 Интересно,это принципиальное расхождение? От 50-до 80? У кого-нибудь есть инфо по этому поводу еще? Ну весь канал - думаю лишнее. но апикальные пробки на 1/3 корня ( под вкв) бывает. Вроде как учили, что требуется влага для нормального затвердевания материала. А где ей там взяться. 3 мм апекальной пробки достаточно для гереметизма.Но если МТА не жалко, можно и 1/3 канала Ссылка на комментарий
zubkindoctor Опубликовано 1 декабря, 2013 Поделиться Опубликовано 1 декабря, 2013 С периапикальной матрицей или без. Вносим в апекс, порциями, ультразвуком прессуем, убираем параллельно влагу. Оставляем под временной или пакуем сверху гуттой сразу. Готово.Сори,что морочу голову. Расскажите про прессовку ультразвуком. без воды? Какая насадка? Я прлагерами прессую,только очень много времени уходит на коллибровку. (чтобы он клинил именно там,где мне нужно,по моим расчетам. ) Или старый зонд приспосабливаю. А ультразвуком стенки очищаю от излишков МТА. Ссылка на комментарий
DmitrySH Опубликовано 1 декабря, 2013 Поделиться Опубликовано 1 декабря, 2013 3 мм апекальной пробки достаточно для гереметизма.Но если МТА не жалко, можно и 1/3 канала . Ну это зависит от дальнейшей судьбы канала. Если вкладка, то 3 мм МТА + (допустим) 5 мм Гутты.. зачем нам такой слоеный пирог. Ссылка на комментарий
zubkindoctor Опубликовано 1 декабря, 2013 Поделиться Опубликовано 1 декабря, 2013 (изменено) Ну это зависит от дальнейшей судьбы канала. Если вкладка, то 3 мм МТА + (допустим) 5 мм Гутты.. зачем нам такой слоеный пирог. Согласна...Надо было в скобочках ремаркнуть о длине канала (имелось в виду мин 3мм) Изменено 1 декабря, 2013 пользователем zubkindoctor Ссылка на комментарий
Рекомендуемые сообщения
Для публикации сообщений создайте учётную запись или авторизуйтесь
Вы должны быть пользователем, чтобы оставить комментарий
Создать аккаунт
Зарегистрируйте новый аккаунт в нашем сообществе. Это очень просто!
Регистрация нового пользователяВойти
Уже есть аккаунт? Войти в систему.
Войти