ger_berra Опубликовано 28 ноября, 2013 Поделиться Опубликовано 28 ноября, 2013 http://s57.radikal.ru/i157/1311/85/ff0a2ad052a3.jpg http://s020.radikal.ru/i710/1311/4f/b26673959429.jpg http://s55.radikal.ru/i149/1311/5c/211cff45a918.jpg 12 Ссылка на комментарий
Чертков Александр Опубликовано 28 ноября, 2013 Поделиться Опубликовано 28 ноября, 2013 Екатерина, а почему цветочков мало? Обтурация из "пишталета"? Ссылка на комментарий
ger_berra Опубликовано 28 ноября, 2013 Автор Поделиться Опубликовано 28 ноября, 2013 Екатерина, а почему цветочков мало? Обтурация из "пишталета"?Потому что мои цветочки уже стали кой-кому поперёк горла Из пишталета,да Ссылка на комментарий
АнтонТЛТ Опубликовано 28 ноября, 2013 Поделиться Опубликовано 28 ноября, 2013 Красиво Мне кажется там дельта Ссылка на комментарий
ger_berra Опубликовано 28 ноября, 2013 Автор Поделиться Опубликовано 28 ноября, 2013 Красиво Мне кажется там дельта Да,Антон,я тоже так подумала.Потому что десятка упиралась и далее не резала.Пыталась подогнуть,но тщетно.... Просто позвенела хлорку Ссылка на комментарий
Kivilgar Опубликовано 28 ноября, 2013 Поделиться Опубликовано 28 ноября, 2013 Вот еще один довод в непросверливание апекса ради "красивой" картинки. 6 Ссылка на комментарий
ger_berra Опубликовано 28 ноября, 2013 Автор Поделиться Опубликовано 28 ноября, 2013 Вот еще один довод в непросверливание апекса ради "красивой" картинки.О да! Ссылка на комментарий
Abdul9848 Опубликовано 28 ноября, 2013 Поделиться Опубликовано 28 ноября, 2013 + Ссылка на комментарий
Abdul9848 Опубликовано 28 ноября, 2013 Поделиться Опубликовано 28 ноября, 2013 Вот еще один довод в непросверливание апекса ради "красивой" картинки.непросверливание имеете ввиду не выходить эндофайлом за апекс ? Ссылка на комментарий
Чертков Александр Опубликовано 28 ноября, 2013 Поделиться Опубликовано 28 ноября, 2013 Потому что мои цветочки уже стали кой-кому поперёк горла Из пишталета,да А мне всегда нравились... (честно честно)Неповторимый авторский формат кейсов... Ссылка на комментарий
ger_berra Опубликовано 28 ноября, 2013 Автор Поделиться Опубликовано 28 ноября, 2013 А мне всегда нравились... (честно честно)Неповторимый авторский формат кейсов...Спасибо,Александр. Ссылка на комментарий
Kivilgar Опубликовано 28 ноября, 2013 Поделиться Опубликовано 28 ноября, 2013 непросверливание имеете ввиду не выходить эндофайлом за апекс ?Если само идет маленьким файлом, то если правильно исполнять- можно и нужно. А если не лезет, то нечего апикальные перфы производить. 2 Ссылка на комментарий
Ico Опубликовано 28 ноября, 2013 Поделиться Опубликовано 28 ноября, 2013 А тут где thrue апексы?http://ifotohost.com/pic/126/41bjep_preview.jpg http://ifotohost.com/pic/126/cjih77_preview.jpg Если работать ПОЧТИ в ноль,то получается в большинстве случаев перфа?? Я думаю что пустот в канале будет меньше,исключаю опилки которыми иногда забивается последнии милиметр.Я все меньше вижу некрасивых картинок у наших эндогуру,а почему??Тренд,мода,понт.Работы Радла,Мера,Белограда посмотрите,почти все ОЧЕНЬ красивы они как работают?Перфы для картинки нарезают? 1 Ссылка на комментарий
ger_berra Опубликовано 28 ноября, 2013 Автор Поделиться Опубликовано 28 ноября, 2013 А тут где thrue апексы?ПОЧТИ в ноль,то получается в большинстве случаев перфа?? Я думаю что пустот в канале будет меньше,исключаю опилки которыми иногда забивается последнии милиметр.Я все меньше вижу некрасивых картинок у наших эндогуру,а почему??Тренд,мода,понт.Работы Радла,Мера,Белограда посмотрите,почти все ОЧЕНЬ красивы они как работают?Перфы для картинки нарезают?Паш,твои работы,несомненно,хороши.Надеюсь,что с коффером подружился))))Дело не в "красоте картинки",как ты говоришь. У зубьев весьма часто разнится положение подводящего канала для сосудисто-нервного пучка.Оттого и получаем "красивые" и "некрасивые" кратинки. Ссылка на комментарий
samsonov Опубликовано 28 ноября, 2013 Поделиться Опубликовано 28 ноября, 2013 Обращаясь к теории вопроса,предполагается обработка и пломбирование до т.н. физиологической верхушки(сужения) канала.В практике, данное сужение является весьма относительным ориентиром,вычислить нахождение которого в каждом конкретном случае можно с лишь с большими погрешностями. 1 Ссылка на комментарий
Ico Опубликовано 28 ноября, 2013 Поделиться Опубликовано 28 ноября, 2013 Правильно!Подводящий один.В твоем кеисе ты 100% уверена что пропаковала в ноль основнои канал??У премоляров это типичное место для жирных ответвлений.http://ifotohost.com/pic/127/e51wrb_preview.jpg http://ifotohost.com/pic/127/2nefjn_preview.jpg http://ifotohost.com/pic/127/5aqjeh_preview.jpg 1 Ссылка на комментарий
ger_berra Опубликовано 28 ноября, 2013 Автор Поделиться Опубликовано 28 ноября, 2013 Обращаясь к теории вопроса,предполагается обработка и пломбирование до т.н. физиологической верхушки(сужения) канала.В практике, данное сужение является весьма относительным ориентиром,вычислить нахождение которого в каждом конкретном случае можно с лишь с большими погрешностями.Верно.Поэтому для практики определяется рабочая длина,соблюдая которую оператор не нарушит констрикцию,которая так дорога.Но мы всегда помним о том,что существуют так назывемые "дельты" и подводящий канал часто отклоняется от предполагаемого "ренгенологического апекса" Ссылка на комментарий
ger_berra Опубликовано 28 ноября, 2013 Автор Поделиться Опубликовано 28 ноября, 2013 Правильно!Подводящий один.В твоем кеисе ты 100% уверена что пропаковала в ноль основнои канал??У премоляров это типичное место для жирных ответвлений. Паш,ты сейчас своими картинками что мне хочешь доказать или рассказать? Мне "в ноль" не надо.Важно сохранение констрикции.Я озвучила,что десятка упиралась и не шла дальше.Надо перфу нарезать,чтоб "красивенько " получилось? В моей практике это редкий премоляр с подобной анатомией. Я в своей практике опираюсь не только на личные наблюдения,но и много на опыт отечественных и зарубежных коллег.И как мы все,эндодонтисты,знаем премоляры-это самые непредсказуемые зубы в плане эндодонтии. Ссылка на комментарий
samsonov Опубликовано 28 ноября, 2013 Поделиться Опубликовано 28 ноября, 2013 Верно.Поэтому для практики определяется рабочая длина,соблюдая которую оператор не нарушит констрикцию,которая так дорога.Но мы всегда помним о том,что существуют так назывемые "дельты" и подводящий канал часто отклоняется от предполагаемого "ренгенологического апекса" В том-то и заковыка, как правильно определить эту рабочую длину, насколько отступить от анатомической и рентгенологической верхушки , и какая констрикция является достоверной. Ссылка на комментарий
ger_berra Опубликовано 28 ноября, 2013 Автор Поделиться Опубликовано 28 ноября, 2013 В том-то и заковыка, как правильно определить эту рабочую длину, насколько отступить от анатомической и рентгенологической верхушки , и какая констрикция является достоверной.От отметки "0" на апекслокаторе отнимайте единицу.На этой длине и работайте. Эндодонтисту важно физиологическое сужение. Ссылка на комментарий
Kivilgar Опубликовано 28 ноября, 2013 Поделиться Опубликовано 28 ноября, 2013 А тут где thrue апексы?Если работать ПОЧТИ в ноль,то получается в большинстве случаев перфа?? Я думаю что пустот в канале будет меньше,исключаю опилки которыми иногда забивается последнии милиметр.Я все меньше вижу некрасивых картинок у наших эндогуру,а почему??Тренд,мода,понт.Работы Радла,Мера,Белограда посмотрите,почти все ОЧЕНЬ красивы они как работают?Перфы для картинки нарезают?Паш, вот не въехал сейчас что ты хочешь сказать. Поясни попроще. Ссылка на комментарий
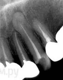
samsonov Опубликовано 28 ноября, 2013 Поделиться Опубликовано 28 ноября, 2013 От отметки "0" на апекслокаторе отнимайте единицу.На этой длине и работайте. Эндодонтисту важно физиологическое сужение.Даже в данном кейсе? Ссылка на комментарий
ger_berra Опубликовано 28 ноября, 2013 Автор Поделиться Опубликовано 28 ноября, 2013 (изменено) Апексочек.jpgДаже в данном кейсе?Даже и здесь.КТ тут сильно интересно. Изменено 28 ноября, 2013 пользователем ger_berra Ссылка на комментарий
samsonov Опубликовано 28 ноября, 2013 Поделиться Опубликовано 28 ноября, 2013 Даже и здесь.КТ тут сильно интересно.Если томограмма могла бы различить дентин от цемента корня, было бы ещё интереснее.Как я понимаю, " набалдашник" на верхушке сформирован цементобластами, и соответственно , нечего этот шар "буравить",с целью получения "- 1 мм". Ссылка на комментарий
Kivilgar Опубликовано 28 ноября, 2013 Поделиться Опубликовано 28 ноября, 2013 Если томограмма могла бы различить дентин от цемента корня, было бы ещё интереснее.Как я понимаю, " набалдашник" на верхушке сформирован цементобластами, и соответственно , нечего этот шар "буравить",с целью получения "- 1 мм".Есть разница в подходе к "на всю длину" или нет у пульпитов и периодонтитов. Ссылка на комментарий
Рекомендуемые сообщения
Для публикации сообщений создайте учётную запись или авторизуйтесь
Вы должны быть пользователем, чтобы оставить комментарий
Создать аккаунт
Зарегистрируйте новый аккаунт в нашем сообществе. Это очень просто!
Регистрация нового пользователяВойти
Уже есть аккаунт? Войти в систему.
Войти