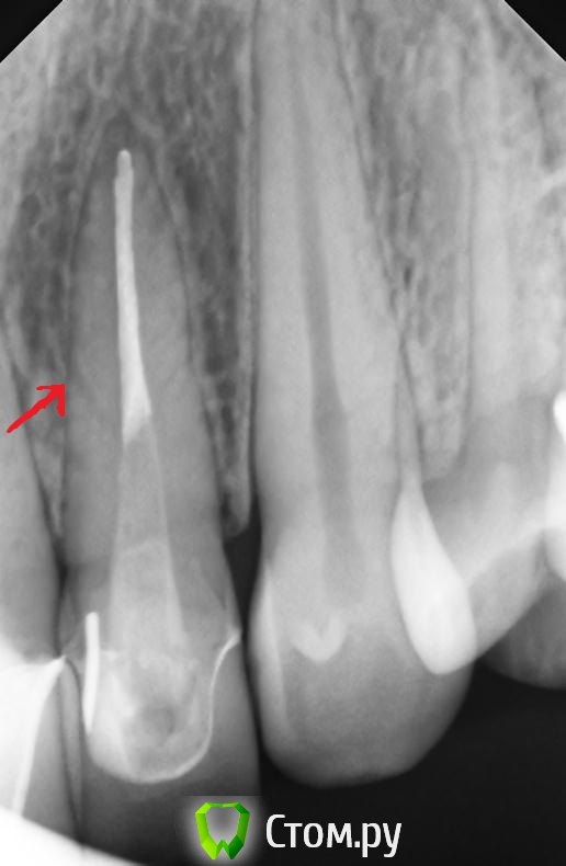
markoFFka Опубликовано 22 ноября, 2013 Поделиться Опубликовано 22 ноября, 2013 Прошу посмотреть снимок!22 зуб беспокоит после пломбирования каналов при накусывании в течение месяца.Смущают темные линии посередине корня.Не может ли это быть трещиной?или это коллатерали? вообще склоняюсь к тому,что осталось недопакована верхушка,и боли из-за этого.но все-таки смущают эти полосы посередине корня... Ссылка на комментарий
Kivilgar Опубликовано 22 ноября, 2013 Поделиться Опубликовано 22 ноября, 2013 Прошу посмотреть снимок!22 зуб беспокоит после пломбирования каналов при накусывании в течение месяца.Смущают темные линии посередине корня.Не может ли это быть трещиной?или это коллатерали? вообще склоняюсь к тому,что осталось недопакована верхушка,и боли из-за этого.но все-таки смущают эти полосы посередине корня...А как готовили канал к пломбировке? Ссылка на комментарий
markoFFka Опубликовано 22 ноября, 2013 Автор Поделиться Опубликовано 22 ноября, 2013 (изменено) А как готовили канал к пломбировке?Здесь была экстирпация под анестезией,обработка ручными инструментами,гипохлорит,ультразвук и пломбировка методом латеральной конденсации. Изменено 22 ноября, 2013 пользователем markoFFka Ссылка на комментарий
Kivilgar Опубликовано 22 ноября, 2013 Поделиться Опубликовано 22 ноября, 2013 Здесь была экстирпация под анестезией,обработка ручными инструментами,гипохлорит,ультразвук и пломбировка методом латеральной конденсации.Там сосочек не травмируется, пища не забивается и по прикусу нормально? Ссылка на комментарий
M@estro Опубликовано 22 ноября, 2013 Поделиться Опубликовано 22 ноября, 2013 2.1 симптоматику -то давать не может? Ссылка на комментарий
markoFFka Опубликовано 22 ноября, 2013 Автор Поделиться Опубликовано 22 ноября, 2013 нет,с десной точно все хорошо.И по прикусу тоже.Чувствительность при накусывании появилась сразу после депульпирования,продолжалась несколько дней ,прошла. И вот через три недели возобновилась.Хм. Ссылка на комментарий
markoFFka Опубликовано 22 ноября, 2013 Автор Поделиться Опубликовано 22 ноября, 2013 2.1 симптоматику -то давать не может?21 точно нет,потому что депульпирован 13 лет назад из-за травмы.там все спокойно. Ссылка на комментарий
M@estro Опубликовано 22 ноября, 2013 Поделиться Опубликовано 22 ноября, 2013 Перелома нет? Есть сомнения по снимку Ссылка на комментарий
markoFFka Опубликовано 22 ноября, 2013 Автор Поделиться Опубликовано 22 ноября, 2013 Перелома нет? Есть сомнения по снимкуну меня этот же вопрос собственно и интересует.но на двойке с другой стороны,как мне кажется,тоже подобные полосы.вот снимок 12. Ссылка на комментарий
diesel87 Опубликовано 22 ноября, 2013 Поделиться Опубликовано 22 ноября, 2013 А снимок до пломбирования канала есть? Можете выложить? Ссылка на комментарий
markoFFka Опубликовано 22 ноября, 2013 Автор Поделиться Опубликовано 22 ноября, 2013 (изменено) Снимка до пломбирования нет,к сожалению.Точнее он был,но на пленке и не очень хорошего качества.В общем по тому снимку на предмет наличия трещины не оценить. То,что есть на данный момент,я выложила.Вообще до депульпирования жалоб не было..Жалобы появились только после пломбировки канала в виде чувствительности при накусывании сразу после пломбирования в течении нескольких дней,потом прошли и через три недели возобновились и продолжаются уже около недели. Изменено 22 ноября, 2013 пользователем markoFFka Ссылка на комментарий
Kivilgar Опубликовано 22 ноября, 2013 Поделиться Опубликовано 22 ноября, 2013 нет,с десной точно все хорошо.И по прикусу тоже.Чувствительность при накусывании появилась сразу после депульпирования,продолжалась несколько дней ,прошла. И вот через три недели возобновилась.Хм.Десна может на вид как бы и ничего. Вот здесь нормальный контактный пункт, флосом проверяли? http://s58.radikal.ru/i160/1311/70/38fbfdbd971f.jpg Ссылка на комментарий
markoFFka Опубликовано 22 ноября, 2013 Автор Поделиться Опубликовано 22 ноября, 2013 Да нет,там точно не десна,контактные пункты хорошие ,просто снимок такой. Флосс проходит с щелчком, как положено.Тем более,что чувствительность при накусывании именно после пломбировки канала появилась. Ссылка на комментарий
Kivilgar Опубликовано 23 ноября, 2013 Поделиться Опубликовано 23 ноября, 2013 Да нет,там точно не десна,контактные пункты хорошие ,просто снимок такой. Флосс проходит с щелчком, как положено.Тем более,что чувствительность при накусывании именно после пломбировки канала появилась.Подобные ощущения может давать пародонт а не десна. Это что на 21? http://s020.radikal.ru/i711/1311/27/3d119944ca54.jpg Ссылка на комментарий
markoFFka Опубликовано 23 ноября, 2013 Автор Поделиться Опубликовано 23 ноября, 2013 (изменено) Да,конечно пародонт)21 на снимке в девятом сообщении есть вместе с 11 и 12. 11 и 21 лечены очень много лет назад,никогда не беспокоили.отдельный снимок 11 и 12 делали летом,сейчас не могу выложить.в данном случае точно не они.Перкуссия положительна именно 22го. Изменено 23 ноября, 2013 пользователем markoFFka Ссылка на комментарий
Kivilgar Опубликовано 23 ноября, 2013 Поделиться Опубликовано 23 ноября, 2013 Да,конечно пародонт)21 на снимке в девятом сообщении есть вместе с 11 и 12. 11 и 21 лечены очень много лет назад,никогда не беспокоили.отдельный снимок 11 и 12 делали летом,сейчас не могу выложить.в данном случае точно не они.Перкуссия положительна именно 22го.Тогда только и остается http://s57.radikal.ru/i156/1311/fd/209d7896d0be.jpg 6 Ссылка на комментарий
Scrabble Опубликовано 24 ноября, 2013 Поделиться Опубликовано 24 ноября, 2013 (изменено) СВШ установлен не по протоколу: надо бы за 3-4 мм до верхушки. Хотя по статистике, которую приводил Соломонов на лекции "Endoprostodontic relationship" переломы с СВШ встречаются крайне редко. Просто при таком позиционировании штифта, как в вашем случае, реставрация на СВШ получается подвижной при латеральных нагрузках-что, собственно, может быть причиной болей. Изменено 24 ноября, 2013 пользователем Scrabble 1 Ссылка на комментарий
zubkindoctor Опубликовано 26 ноября, 2013 Поделиться Опубликовано 26 ноября, 2013 СВШ установлен не по протоколу: надо бы за 3-4 мм до верхушки. Хотя по статистике, которую приводил Соломонов на лекции "Endoprostodontic relationship" переломы с СВШ встречаются крайне редко. Просто при таком позиционировании штифта, как в вашем случае, реставрация на СВШ получается подвижной при латеральных нагрузках-что, собственно, может быть причиной болей.верно мыслите,но думаю мало времени прошло еще.СВШ в пределах кости-уже хоть что-то.ЭТо не оправдывает длину СВШ,но циклических нагрузок за 3 недели было недостаточно, что бы вызвать перелом корня(если пациент,конечно, не штангист, "Бруксист", и т .д )Хотя...Если там и есть трещина,то скоро это будет видно) Ссылка на комментарий
Scrabble Опубликовано 26 ноября, 2013 Поделиться Опубликовано 26 ноября, 2013 верно мыслите,но думаю мало времени прошло еще.СВШ в пределах кости-уже хоть что-то .ЭТо не оправдывает длину СВШ,но циклических нагрузок за 3 недели было недостаточно, что бы вызвать перелом корня(если пациент,конечно, не штангист, "Бруксист", и т .д )Хотя...Если там и есть трещина,то скоро это будет видно )Я как раз не про перелом, а про "болтание и прокручивание" реставрации с опорой на штифт, позиционированный данным образом. Ссылка на комментарий
zubkindoctor Опубликовано 28 ноября, 2013 Поделиться Опубликовано 28 ноября, 2013 Я как раз не про перелом, а про "болтание и прокручивание" реставрации с опорой на штифт, позиционированный данным образом.Сори. не так поняла Ссылка на комментарий
Рекомендуемые сообщения
Для публикации сообщений создайте учётную запись или авторизуйтесь
Вы должны быть пользователем, чтобы оставить комментарий
Создать аккаунт
Зарегистрируйте новый аккаунт в нашем сообществе. Это очень просто!
Регистрация нового пользователяВойти
Уже есть аккаунт? Войти в систему.
Войти