Mane Опубликовано 18 ноября, 2013 Поделиться Опубликовано 18 ноября, 2013 ну что сказать, общее самочувствие хорошее, но винт начинает визуализироваться, получается удалять его сейчас нельзя, т.к. блок ещё по идее не фиксирован на столько, да и исходя из истории его "интеграции" он вряд ли будет фиксирован, а зашивать его как то опасно, по идее он инфицирован..........думается, что может попытаться удалить дистальный ламинат, но сохранить мезиальный и синус, или продолжать ждать? и ещё ламинат визуализируется от края, т.е. как наружный, так и внутренней частью, но слизистая фиксирована в области открытого участка. Ведите открыто столько сколько сможете, без нагноения то есть. Далее если будет также хотяб через 1,5 месяца от операции можете пойти на ревизию с графтингом и ушиванием с предварительным доставанием торчащей части блока и если необходимо то и имплантата. Ссылка на комментарий
Dio Опубликовано 18 ноября, 2013 Автор Поделиться Опубликовано 18 ноября, 2013 Ведите открыто столько сколько сможете, без нагноения то есть. Далее если будет также хотяб через 1,5 месяца от операции можете пойти на ревизию с графтингом и ушиванием с предварительным доставанием торчащей части блока и если необходимо то и имплантата.спс, но имплантаты не установлены, не было да же теоретической возможности для первичной стабильносоти... Ссылка на комментарий
Mane Опубликовано 18 ноября, 2013 Поделиться Опубликовано 18 ноября, 2013 Теперь понял Ссылка на комментарий
Dio Опубликовано 4 декабря, 2013 Автор Поделиться Опубликовано 4 декабря, 2013 (изменено) Все привет, не писал долгое время т.к. особо ни чего не менялось, прошло ровно 5 недель, клинически общее состояние отлично, нос дышит, пациентка довольна и наслаждается жизнью )а теперь серьезно, что лучше сделать: подождать ещё и выкрутить винт, хорошенько все спилить.......... или через месяц сделать КТ и действовать по обстоятельствам? и плиз есть фото, скиньте инфу где, т.е. на каком стороннем ресурсее ещё разместить? Изменено 4 декабря, 2013 пользователем Dio Ссылка на комментарий
Dio Опубликовано 4 декабря, 2013 Автор Поделиться Опубликовано 4 декабря, 2013 не ещё, а лучше Ссылка на комментарий
Bier Опубликовано 4 декабря, 2013 Поделиться Опубликовано 4 декабря, 2013 я размещаю либо на яндекс фотках (там нужно иметь логин) либо на radikal.cc - там без логина Ссылка на комментарий
Dio Опубликовано 4 декабря, 2013 Автор Поделиться Опубликовано 4 декабря, 2013 http://s57.radikal.ru/i158/1312/9c/382dc0e57b4f.jpg http://s017.radikal.ru/i410/1312/88/619ab030a5b4.jpg Ссылка на комментарий
Dio Опубликовано 4 декабря, 2013 Автор Поделиться Опубликовано 4 декабря, 2013 я размещаю либо на яндекс фотках (там нужно иметь логин) либо на radikal.cc - там без логинаспасибо большое, нашел, разместил, проверил, вроде работает. Ссылка на комментарий
IvanK Опубликовано 4 декабря, 2013 Поделиться Опубликовано 4 декабря, 2013 http://s57.radikal.ru/i158/1312/9c/382dc0e57b4f.jpg http://s017.radikal.ru/i410/1312/88/619ab030a5b4.jpgпользуйтесь ссылкой №2, удобнее смотреть. судя по фото, я бы давно убрал. 1 Ссылка на комментарий
Dio Опубликовано 5 декабря, 2013 Автор Поделиться Опубликовано 5 декабря, 2013 пользуйтесь ссылкой №2, удобнее смотреть. судя по фото, я бы давно убрал. убрал дистальный блок;убрал дистальный винт и часть дистального блока;убрал всё (т.е. и дистальный и мезиальный ламинат, выгрести синус)? напоминаю прошло 5 с недель. Ссылка на комментарий
kriokov Опубликовано 5 декабря, 2013 Поделиться Опубликовано 5 декабря, 2013 убрал дистальный блок;убрал дистальный винт и часть дистального блока;убрал всё (т.е. и дистальный и мезиальный ламинат, выгрести синус)? напоминаю прошло 5 с недель.а зачем все выгребать. Убрать только блок который обнажился. 1 Ссылка на комментарий
IvanK Опубликовано 5 декабря, 2013 Поделиться Опубликовано 5 декабря, 2013 а зачем все выгребать. Убрать только блок который обнажился.+1 Ссылка на комментарий
Dio Опубликовано 5 декабря, 2013 Автор Поделиться Опубликовано 5 декабря, 2013 а зачем все выгребать. Убрать только блок который обнажился.собственно я склоняюсь к этому же, но была интересна позиция доктора, я просто хотел уточнить........ ладно буду думать, о результате сообщу, всем спс. Ссылка на комментарий
Mane Опубликовано 8 декабря, 2013 Поделиться Опубликовано 8 декабря, 2013 Выкручиваете винт и спиливаете часть блока так чтобы впадина была небольшая. Можно даже без анестезии и все. Сверху кровяной сгусток образуется. Наложите коэпак на неделю. Все. Ссылка на комментарий
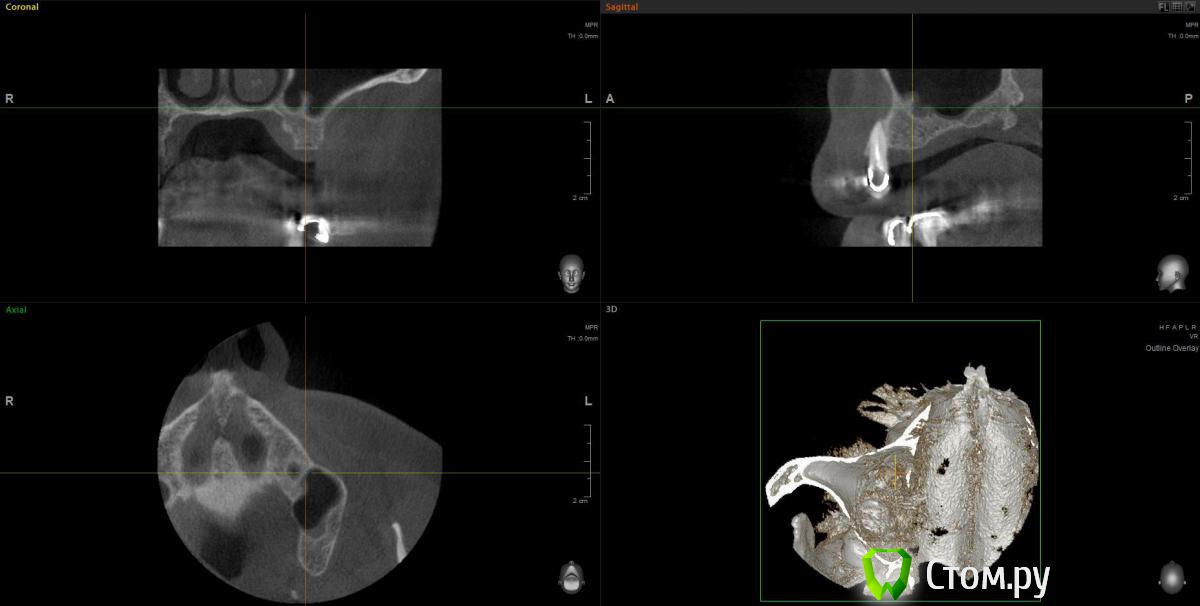
wladdX Опубликовано 11 февраля, 2014 Поделиться Опубликовано 11 февраля, 2014 (изменено) Прошу прощения за вторжение в чужую тему (администратор, поправьте), но ситуация похожа. Т.е. помимо синус-лифтинга надо увеличить ширину альвеолярного отростка. Предполагаю поступить примерно, как продемонстрировал Mane выше. Но может подойдёт "метод полужёстких каркасов? Кстати септа в пазухе замысловатая. По поводу остальных сегментов и прочих проблем - пациент на них не настроен, интересует его только зона 25,26,27 Изменено 11 февраля, 2014 пользователем wladdX Ссылка на комментарий
Sahan Опубликовано 11 февраля, 2014 Поделиться Опубликовано 11 февраля, 2014 Ну для планирования такой работы при КТ во рту должен был быть хирургический шаблон. А так никаких проблем. Открытый синус , плюс имплантаты , плюс сетка. Ссылка на комментарий
wladdX Опубликовано 12 февраля, 2014 Поделиться Опубликовано 12 февраля, 2014 Да, отсутствие шаблона при КТ, недочёт Хотя wax-up то сделан, недоработка, будем исправляться.По поводу сетки как-то не подумал даже, вероятно, потому что пока не пользовался. Возникает вопрос - для НКР под сеткой не слишком протяжённый дефект? Опасаюсь как-то в данной ситуации сразу имплантировать, первичной стабильности, скорее всего, не получить. Хотя сама по себе идея мне очень нравится: менее травматично и технически проще. Вот и чешу репу Ссылка на комментарий
Рекомендуемые сообщения
Для публикации сообщений создайте учётную запись или авторизуйтесь
Вы должны быть пользователем, чтобы оставить комментарий
Создать аккаунт
Зарегистрируйте новый аккаунт в нашем сообществе. Это очень просто!
Регистрация нового пользователяВойти
Уже есть аккаунт? Войти в систему.
Войти