Art 7 Опубликовано 8 июня, 2013 Поделиться Опубликовано 8 июня, 2013 Интересно но посмотреть бы результатинтересно было бы мнение ортодонтов с форума ещё услышать по этому кейсу и методу в принципе Ссылка на комментарий
art.podzhigant Опубликовано 8 июня, 2013 Автор Поделиться Опубликовано 8 июня, 2013 Кость вы между двух зубов, без костных пиков не нарастите. А вот мягкотканной техникой закрыть дефект лекго. И сделать адгезивный мост. слишком много ткани надо,Bier,сомневаюсь. Ссылка на комментарий
art.podzhigant Опубликовано 8 июня, 2013 Автор Поделиться Опубликовано 8 июня, 2013 Анна Порицки консультировала пациентку с похожим случаем, ей было предложено ортодонтическое внедрение резцов и потом медленное их возвращение на место и уже после этого двигать в сторону дефекта предложено не значит сделано :-) об ортодонтии поздно думать в ситуации с моей пациенткой. 1 Ссылка на комментарий
Bier Опубликовано 8 июня, 2013 Поделиться Опубликовано 8 июня, 2013 слишком много ткани надо,Bier,сомневаюсь.Да бугры обрежьте, этот коллаген никуда не денется. Ссылка на комментарий
johniola Опубликовано 8 июня, 2013 Поделиться Опубликовано 8 июня, 2013 Да бугры обрежьте, этот коллаген никуда не денется.на счёт ортодонтии согласен.только я запутался,что вы конкретно предлагаете,и если можно пошагово.почему полностью отвергаете графт? Ссылка на комментарий
Bier Опубликовано 8 июня, 2013 Поделиться Опубликовано 8 июня, 2013 на счёт ортодонтии согласен.только я запутался,что вы конкретно предлагаете,и если можно пошагово.почему полностью отвергаете графт?Для графта этой зоны, надо удалить соседние зубы, чтобы получить костные пики. Я предлагаю просто подсадить туда десны с бугра в.ч., создать им объем и новый адгезивный мост. 2 Ссылка на комментарий
art.podzhigant Опубликовано 8 июня, 2013 Автор Поделиться Опубликовано 8 июня, 2013 Для графта этой зоны, надо удалить соседние зубы, чтобы получить костные пики. Я предлагаю просто подсадить туда десны с бугра в.ч., создать им объем и новый адгезивный мост. я рассмотрю этот вариант тоже.но там добавлять с бугров около 1см в высоту.если не больше.на всю длину корня в итоге.так много я еще не клал :-) кто клал пусть поделиться опытом .:-) Ссылка на комментарий
Большой Зеленый Опубликовано 8 июня, 2013 Поделиться Опубликовано 8 июня, 2013 Без удаления соседей НКР не прокатит. Как я уже написал, дефект должен быть ограничен костными пиками.Скажи, почему ты так настойчиво приговариваешь 42 к удалению?) по мне он ничего себеИногда прокатываетhttp://fotohost.kz/images/2013/06/08/iz3Or.th.png [/url] http://fotohost.kz/images/2013/06/08/sQrdU.th.png http://fotohost.kz/images/2013/06/08/I1TMy.th.png Ссылка на комментарий
johniola Опубликовано 8 июня, 2013 Поделиться Опубликовано 8 июня, 2013 Иногда прокатывает http://fotohost.kz/images/2013/06/08/iz3Or.th.png http://fotohost.kz/images/2013/06/08/sQrdU.th.png http://fotohost.kz/images/2013/06/08/I1TMy.th.pngну а я о чём?в принципе реально будет понятно если открытся.автор ведь писал что язычная стенка есть.подсадить мягкие ткани 1 см без поддержки кости врядли получится,скорее будет усадка.а заместить такой дефект просто мостом,то наверное будет уродливо даже если использовать розовую керамику в этой зоне. 1 Ссылка на комментарий
DShu Опубликовано 8 июня, 2013 Поделиться Опубликовано 8 июня, 2013 я рассмотрю этот вариант тоже.но там добавлять с бугров около 1см в высоту.если не больше.на всю длину корня в итоге.так много я еще не клал :-) кто клал пусть поделиться опытом .:-)В 2 этапа с разницей в 2 мес получится.1 этапом аутогоафт2 мукографт например. 1 Ссылка на комментарий
art.podzhigant Опубликовано 8 июня, 2013 Автор Поделиться Опубликовано 8 июня, 2013 В 2 этапа с разницей в 2 мес получится.1 этапом аутогоафт2 мукографт например.имеешь ввиду сначала нкр с титановой сеткой не удаляя зубов????потом прикрепленку увеличить? Ссылка на комментарий
SergeyAL Опубликовано 8 июня, 2013 Поделиться Опубликовано 8 июня, 2013 Коллеги, я бы предложил в этой области обойтись без имплантации потому что, адекватно костную пластику в такой ситуации провести невозможно, т.к. Отмечается потеря костного прикрепления у соседних зубов. удаление же соседних зубов приведет к еще большему костному дефекту с нарушением контура челюсти и при постановке имплпнтатов в позиции 32,42 понтики делать не придется, т.к. Они будут висеть в воздухе. Там потребуется серьезная костная пластика по высоте, ширине и восстановлению контура челюсти, это очень сложно. Так что мой совет удаляйте подвижный зуб и протезируйте на оставшихся зубах Ссылка на комментарий
DShu Опубликовано 8 июня, 2013 Поделиться Опубликовано 8 июня, 2013 имеешь ввиду сначала нкр с титановой сеткой не удаляя зубов????потом прикрепленку увеличить?Нет. Без сетки.Как Бир сказал, подсадить сст, лучше с бугра. А вторым этапом еще мукографт Ссылка на комментарий
sergio Опубликовано 8 июня, 2013 Поделиться Опубликовано 8 июня, 2013 женщина,50 лет, 31 зуб сама вынимала из лунки и вставляла обратно несколько месяцев. Была сдержанна при разговоре,чтоб случайно не скаканул изо рта Не ходила к гигиенисту ,потому как уверена,что ее зубной камень держит зубы...(наверное она права) Теперь стоит вопрос с тактикой лечения в этой области. Гигиену слава богу уже сделали, зуб 3.1 фиксирован адгезивно к соседним. Фотографий внутриротовых пока нет. Я бы предложил ей убрать все 4 резца и имплантировать 4.2 и 3.2 ,в обл 3.1 - поработать с костью и мягкими тканями,чтоб создать условия для понтика... Пациентка хотела бы ограничиться костной пластикой в обл. 3.1 и постановкой одного импланта.ВАШИ ВАРИАНТЫ? 1.jpg2.jpg3.jpg4.jpg6.jpg8.jpg А 42 почему приговорили? Ссылка на комментарий
sergio Опубликовано 8 июня, 2013 Поделиться Опубликовано 8 июня, 2013 Для графта этой зоны, надо удалить соседние зубы, чтобы получить костные пики. Я предлагаю просто подсадить туда десны с бугра в.ч., создать им объем и новый адгезивный мост.Бир,мягкими тканями имхо можно 3-4 мм нарастить,не больше! А имплантологическая ли вообще эта пациентка,с ее любовью к камням? И зачем вообще здесь все так усложнять? Эта зона эстетически не видна,зачем пациентке удалять еще соседние зубы и делать несколько операций?мне кажется,что лучше в данной ситуации адгезивный мост и все!удалить всегда успеется,а так она еще походит без ухудшения нынешней ситуации... Ссылка на комментарий
art.podzhigant Опубликовано 8 июня, 2013 Автор Поделиться Опубликовано 8 июня, 2013 (изменено) Бир,мягкими тканями имхо можно 3-4 мм нарастить,не больше! А имплантологическая ли вообще эта пациентка,с ее любовью к камням? И зачем вообще здесь все так усложнять? Эта зона эстетически не видна,зачем пациентке удалять еще соседние зубы и делать несколько операций?мне кажется,что лучше в данной ситуации адгезивный мост и все!удалить всегда успеется,а так она еще походит без ухудшения нынешней ситуации... приговорили 42 профилактически.после снятия фундамента в виде камней я ее еще не видел.возможно там теперь все шатается :-) У этой пациентки как раз все очень даже видно. при улыбке и разговоре. Во вторник фото сделаю выложу. Изменено 8 июня, 2013 пользователем art.podzhigant Ссылка на комментарий
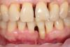
art.podzhigant Опубликовано 11 июня, 2013 Автор Поделиться Опубликовано 11 июня, 2013 вот фотки.Пациентка выбрала план лечения с удалением зубов! Ссылка на комментарий
Рекомендуемые сообщения
Для публикации сообщений создайте учётную запись или авторизуйтесь
Вы должны быть пользователем, чтобы оставить комментарий
Создать аккаунт
Зарегистрируйте новый аккаунт в нашем сообществе. Это очень просто!
Регистрация нового пользователяВойти
Уже есть аккаунт? Войти в систему.
Войти