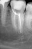
Денис481 Опубликовано 6 июня, 2013 Поделиться Опубликовано 6 июня, 2013 Пациентка пульпит 37 анестезия по пальцу в ухе))))кстати чудодейственная,затем вскрыл сразу 2 канала нашел передний и задний щечный,дальше рою хоть убей нету больше,уже и глубоко зашел нету ,ну решил 2 запечатать и у вас узнать не может же быть их 2, явно где то сидит,хотя по снимкам не видно мне, прошел мту до 20 передний до 25 задний и латералкой закрыл учитывая предыдущие замечания Ссылка на комментарий
Aleksander Опубликовано 6 июня, 2013 Поделиться Опубликовано 6 июня, 2013 всякое бывает. Приходилось лечить нижние 7 с двумя каналами, однажды была одноканальная семерка, - там даже без увеличения при прямом взоре апекальное сужение видно было (канал как воронка огромный). Ссылка на комментарий
Kivilgar Опубликовано 6 июня, 2013 Поделиться Опубликовано 6 июня, 2013 Медиальный не плотно как-то запакован. И до 20 маловато. 1 Ссылка на комментарий
Каплан Опубликовано 6 июня, 2013 Поделиться Опубликовано 6 июня, 2013 и даже 25 мало. медиальный второй может быть внутри устье. Ссылка на комментарий
Kivilgar Опубликовано 6 июня, 2013 Поделиться Опубликовано 6 июня, 2013 и даже 25 мало. медиальный второй может быть внутри устье. +1 Ссылка на комментарий
Клавдия Опубликовано 6 июня, 2013 Поделиться Опубликовано 6 июня, 2013 и даже 25 мало. медиальный второй может быть внутри устье.Как его обнаружить? Устьевыми расширять? Если увеличения нет,реально ли такого партизана найти?) Ссылка на комментарий
Kivilgar Опубликовано 6 июня, 2013 Поделиться Опубликовано 6 июня, 2013 Как его обнаружить? Устьевыми расширять? Если увеличения нет,реально ли такого партизана найти?)Такое чувство, что в каналах 2 конусность получилась. Для поиска каналов можно и нужно в устье расширить. Ссылка на комментарий
Каплан Опубликовано 6 июня, 2013 Поделиться Опубликовано 6 июня, 2013 (изменено) Как его обнаружить? Устьевыми расширять? Если увеличения нет,реально ли такого партизана найти?)я конечно не эталон, но вполне реально. правда у меня дистальные...http://forum.stom.ru/topic/19949-esche-pulpitnyi-36/http://forum.stom.ru/topic/19062-esche-4kanalnyi-36/ Изменено 6 июня, 2013 пользователем Каплан Ссылка на комментарий
Денис481 Опубликовано 6 июня, 2013 Автор Поделиться Опубликовано 6 июня, 2013 А 3д покажет? Или нет? Ссылка на комментарий
Мартовский Опубликовано 6 июня, 2013 Поделиться Опубликовано 6 июня, 2013 Пациентка пульпит 37 анестезия по пальцу в ухе))))кстати чудодейственная,затем вскрыл сразу 2 канала нашел передний и задний щечный,дальше рою хоть убей нету больше,уже и глубоко зашел нету ,ну решил 2 запечатать и у вас узнать не может же быть их 2, явно где то сидит,хотя по снимкам не видно мне, прошел мту до 20 передний до 25 задний и латералкой закрыл учитывая предыдущие замечанияЧаще всего ненайденный третий канал в нижних семерках означает необработанный С-шейп. 2 Ссылка на комментарий
Денис481 Опубликовано 6 июня, 2013 Автор Поделиться Опубликовано 6 июня, 2013 Что значит с шейп? Ссылка на комментарий
Kivilgar Опубликовано 6 июня, 2013 Поделиться Опубликовано 6 июня, 2013 Что значит с шейп?Забейте в гугли с-шейп. 2 ссылка сверху, там есть фотки, поймете. Я так затрудняюсь объяснить к примеру. Ссылка на комментарий
Денис481 Опубликовано 7 июня, 2013 Автор Поделиться Опубликовано 7 июня, 2013 Ну нашел,но не понял.... Ссылка на комментарий
Денис481 Опубликовано 7 июня, 2013 Автор Поделиться Опубликовано 7 июня, 2013 И каким инструментом искать,чтоб не разрыть пол зуба и перфо не сделать и поможет ли в таком случае маркер для устьев есть какой то.....??? Ссылка на комментарий
Клавдия Опубликовано 7 июня, 2013 Поделиться Опубликовано 7 июня, 2013 Ну нашел,но не понял....http://rosmicro.ru/?p=3704 вы здесь смотрели? 1 Ссылка на комментарий
Клавдия Опубликовано 7 июня, 2013 Поделиться Опубликовано 7 июня, 2013 И каким инструментом искать,чтоб не разрыть пол зуба и перфо не сделать и поможет ли в таком случае маркер для устьев есть какой то.....???Я сама не очень уверена,но предполагаю,что ультразвуком) Ссылка на комментарий
Клавдия Опубликовано 7 июня, 2013 Поделиться Опубликовано 7 июня, 2013 И каким инструментом искать,чтоб не разрыть пол зуба и перфо не сделать и поможет ли в таком случае маркер для устьев есть какой то.....???Я сама не очень уверена,но предполагаю,что ультразвуком) Ссылка на комментарий
Денис481 Опубликовано 7 июня, 2013 Автор Поделиться Опубликовано 7 июня, 2013 http://rosmicro.ru/?p=3704 вы здесь смотрели?ну все ровно именно термин с шейп что означает? Ссылка на комментарий
АнтонТЛТ Опубликовано 7 июня, 2013 Поделиться Опубликовано 7 июня, 2013 Канал с-образной формы в поперечном сечении Ссылка на комментарий
Клавдия Опубликовано 7 июня, 2013 Поделиться Опубликовано 7 июня, 2013 ну все ровно именно термин с шейп что означает?Shape -форма (англ) Ссылка на комментарий
Денис481 Опубликовано 7 июня, 2013 Автор Поделиться Опубликовано 7 июня, 2013 Вообщем дул поливал прыгал с бубном,исполнял ламбаду,не реагирует зуб совсем,решил завязывать с ним пломба из градиа и давай до свидания Ссылка на комментарий
ger_berra Опубликовано 7 июня, 2013 Поделиться Опубликовано 7 июня, 2013 Вообщем дул поливал прыгал с бубном,исполнял ламбаду,не реагирует зуб совсем,решил завязывать с ним пломба из градиа и давай до свиданияОт такого "тяп-ляп" можно ждать периодонтит Ссылка на комментарий
METT Опубликовано 8 июня, 2013 Поделиться Опубликовано 8 июня, 2013 Вообщем дул поливал прыгал с бубном,исполнял ламбаду,не реагирует зуб совсем,решил завязывать с ним пломба из градиа и давай до свиданиямне кажется, там еще чуть-чуть и бифуркация станет...нецелой... Ссылка на комментарий
Рекомендуемые сообщения
Для публикации сообщений создайте учётную запись или авторизуйтесь
Вы должны быть пользователем, чтобы оставить комментарий
Создать аккаунт
Зарегистрируйте новый аккаунт в нашем сообществе. Это очень просто!
Регистрация нового пользователяВойти
Уже есть аккаунт? Войти в систему.
Войти