Marina_A Опубликовано 25 мая, 2013 Поделиться Опубликовано 25 мая, 2013 Пациентка обратилась с жалобами на постоянную ноющую боль в 11 зубе ( по ночам тоже) , боль при накусывании на протяжении нескольких дней и зуд между 11, 12. она связала это с тем что ее продуло) в общем, зуб мы депульпировали. в первое посещение помыла+ коласепт (боли прекратились), во второе запломбировала.через месяц она пришла и сказала что зуб болит уже несколько дней снова. Клиника такая же, как была до лечения. (перкуссия+, ноющие боли). В общем, если вкратце, она приходит каждый раз после того как ее продует, либо она промерзнет (бассейн, кондиционер...). За это время ( 6 мес) мы пробывали пить противовоспалительные, антибиотики, пришлифовывали,искали пропущенную анатомию, все безрезультатно. сейчас у нее постоянно болит при накусывании (не остро), и во время обострений ноющие боли присоединяются. почти 2 недели пациентка ходит с коласептом ( первые 4 дня после того как канал распломбировали боли прошли совсем), а потом все по кругу)я уже не знаю что с ней делать соседние зубы тоже жаждут лечения, но боли явно в 11.очень странно, но она постоянно жалуется на зуд между зубами 11 и 12. что это может быть? на кт ни перфу ни доп канал я не увидела. Ссылка на комментарий
ger_berra Опубликовано 25 мая, 2013 Поделиться Опубликовано 25 мая, 2013 (изменено) А недопак в 11 Вы не увидели? Коферр был?Если нет,то рот пац закрывал?На период "снимочка" или просто так? Изменено 25 мая, 2013 пользователем ger_berra Ссылка на комментарий
Marina_A Опубликовано 25 мая, 2013 Автор Поделиться Опубликовано 25 мая, 2013 А недопак в 11 Вы не увидели? нет, где? Ссылка на комментарий
ger_berra Опубликовано 25 мая, 2013 Поделиться Опубликовано 25 мая, 2013 Боль между зубами - нет контактного пункта.На снимке вроде как есть,но в реале даже если крошечная щелка,то стабильно забивается еда.Пац хоть флоссом,хоть зубочисткой будет чистить,все равно больно. 1 Ссылка на комментарий
ger_berra Опубликовано 25 мая, 2013 Поделиться Опубликовано 25 мая, 2013 нет, где?На последнем снимке. Ссылка на комментарий
Marina_A Опубликовано 25 мая, 2013 Автор Поделиться Опубликовано 25 мая, 2013 На последнем снимке.не вижу под недопаком Вы имеете в виду не до верхушки? все было с коффером и апекслокатором) Ссылка на комментарий
ger_berra Опубликовано 25 мая, 2013 Поделиться Опубликовано 25 мая, 2013 не вижу под недопаком Вы имеете в виду не до верхушки? все было с коффером и апекслокатором)Да,не до верхушки.У резцов верхней челюсти рентгенологический апекс почти совпадает с физиологическим. Ссылка на комментарий
mishel Опубликовано 26 мая, 2013 Поделиться Опубликовано 26 мая, 2013 В 11 нет недопака,,может мыли не гипохлоритом? А то многих знаю моют хлоргекседином 0,05% и считают так правильно.Закройте метапексом ,пусть походит недельки 2. Ссылка на комментарий
Marina_A Опубликовано 26 мая, 2013 Автор Поделиться Опубликовано 26 мая, 2013 mishel, мыла гипохлоритом. Ссылка на комментарий
mishel Опубликовано 26 мая, 2013 Поделиться Опубликовано 26 мая, 2013 Может пародонтит еще играет роль. Я бы метапекс оставила и кюретаж сделала если карманы есть Ссылка на комментарий
koss Опубликовано 26 мая, 2013 Поделиться Опубликовано 26 мая, 2013 12 перебрать и 21 не мешало бы захватить если согласится на снятие коронки , 11 на предмет трещины или перелома смотрели ? 1 Ссылка на комментарий
сирена Опубликовано 26 мая, 2013 Поделиться Опубликовано 26 мая, 2013 (изменено) 11 на предмет трещины или перелома смотрели ? В-о-о-о-т!!! Изменено 26 мая, 2013 пользователем сирена Ссылка на комментарий
ger_berra Опубликовано 26 мая, 2013 Поделиться Опубликовано 26 мая, 2013 ТС,какова хронология снимков? Ссылка на комментарий
Marina_A Опубликовано 26 мая, 2013 Автор Поделиться Опубликовано 26 мая, 2013 Не нашла ни перелома, ни трещины. Со скопом смотрела, инстументом по стенкам канала прошлась, ниче не зацепила, болезнености не было) ger_berra что за ТС? Первый и второй снимок сделаны с разницей в 3 месяца. Ссылка на комментарий
Marina_A Опубликовано 26 мая, 2013 Автор Поделиться Опубликовано 26 мая, 2013 mishel, я отправляла к пародонтологу, она со свей стороны ниче не нашла. Ссылка на комментарий
Kivilgar Опубликовано 26 мая, 2013 Поделиться Опубликовано 26 мая, 2013 ger_berra что за ТС?Топикстартер Ссылка на комментарий
ger_berra Опубликовано 26 мая, 2013 Поделиться Опубликовано 26 мая, 2013 Не нашла ни перелома, ни трещины.Со скопом смотрела, инстументом по стенкам канала прошлась, ниче не зацепила, болезнености не было) ger_berra что за ТС? Первый и второй снимок сделаны с разницей в 3 месяца.Ну недопак же!Латералка,верно?Сколько по времени мыли после экстракции пульпы?Озвучивали?Не пойму,что можно при трещине цепануть по стенке канала?Как считаете? Признак трещины-это узкий зубодесневой карман. Покажите,плиз, снимки всех этапов ретритмента. Ссылка на комментарий
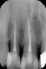
Marina_A Опубликовано 26 мая, 2013 Автор Поделиться Опубликовано 26 мая, 2013 (изменено) Ну недопак же!Латералка,верно?Сколько по времени мыли после экстракции пульпы?Озвучивали?Не пойму,что можно при трещине цепануть по стенке канала?Как считаете? Признак трещины-это узкий зубодесневой карман. Покажите,плиз, снимки всех этапов ретритмента.Да, латералка. в первое посещение часа пол, я думаю. уз обработка была. при трещине болевых ощущений в месте самой трещины быть не может никаких разве? я сегодня кт пересмотрела, не знаю пока как выложить полностью, но неужели это доп канал???) Изменено 26 мая, 2013 пользователем M. Antoniuk 1 Ссылка на комментарий
ger_berra Опубликовано 26 мая, 2013 Поделиться Опубликовано 26 мая, 2013 Да, латералка. в первое посещение часа пол, я думаю. уз обработка была. при трещине болевых ощущений в месте самой трещины быть не может никаких разве? я сегодня кт пересмотрела, не знаю пока как выложить полностью, но неужели это доп канал???)фотография1.JPG Вот это зупп!Похоже,что дополнительный.Думаю,что добраться до него можно только если чуток снести режущий край.Иначе вряд ли увидите или инструментом зацепитесь. Ссылка на комментарий
Marina_A Опубликовано 26 мая, 2013 Автор Поделиться Опубликовано 26 мая, 2013 Вот это зупп!Похоже,что дополнительный.Думаю,что добраться до него можно только если чуток снести режущий край.Иначе вряд ли увидите или инструментом зацепитесь. в среду буду искать) to be continued... спасибо за советы! Ссылка на комментарий
ger_berra Опубликовано 26 мая, 2013 Поделиться Опубликовано 26 мая, 2013 (изменено) в среду буду искать) to be continued... спасибо за советы! Пожалуйста!Нам покажете результат?Удачи! Изменено 26 мая, 2013 пользователем ger_berra Ссылка на комментарий
Kivilgar Опубликовано 26 мая, 2013 Поделиться Опубликовано 26 мая, 2013 Вот это зупп!Похоже,что дополнительныйАга, похоже. Ссылка на комментарий
Marina_A Опубликовано 26 мая, 2013 Автор Поделиться Опубликовано 26 мая, 2013 Пожалуйста!Нам покажете результат?Удачи! да)) надеюсь, он будет Ссылка на комментарий
Marina_A Опубликовано 29 мая, 2013 Автор Поделиться Опубликовано 29 мая, 2013 (изменено) недопак все-таки был канала дополнительного я не нашла ( то ли что-то не так с КТ, то ли с моей эндодонтией)))посмотрим, что дальше будет. думаю, стоит влезть в 12, 21, переделать кт, и если ниче не прояснится, отправлять к кому-то другому any ideas? Изменено 29 мая, 2013 пользователем M. Antoniuk Ссылка на комментарий
ger_berra Опубликовано 29 мая, 2013 Поделиться Опубликовано 29 мая, 2013 (изменено) фотография.JPG недопак все-таки был канала дополнительного я не нашла ( то ли что-то не так с КТ, то ли с моей эндодонтией)))посмотрим, что дальше будет. думаю, стоит влезть в 12, 21, переделать кт, и если ниче не прояснится, отправлять к кому-то другому any ideas? Отличная "пуговка"!Боль прошла?Замечательно,что Вам удалось сохранить констрикцию! Изменено 29 мая, 2013 пользователем ger_berra Ссылка на комментарий
Рекомендуемые сообщения
Для публикации сообщений создайте учётную запись или авторизуйтесь
Вы должны быть пользователем, чтобы оставить комментарий
Создать аккаунт
Зарегистрируйте новый аккаунт в нашем сообществе. Это очень просто!
Регистрация нового пользователяВойти
Уже есть аккаунт? Войти в систему.
Войти