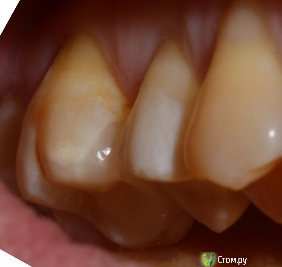
METT Опубликовано 8 декабря, 2013 Автор Поделиться Опубликовано 8 декабря, 2013 Вопрос дилетанта. Тот прозрачный край у реставрации - норма?нет, потом перед фиксацией сполировал и все) Ссылка на комментарий
METT Опубликовано 8 декабря, 2013 Автор Поделиться Опубликовано 8 декабря, 2013 Вопрос дилетанта. Тот прозрачный край у реставрации - норма?тем более я не техник и изготавливаю можно сказать в полевых условиях - можно на некоторые вещи закрывать глаза) Ссылка на комментарий
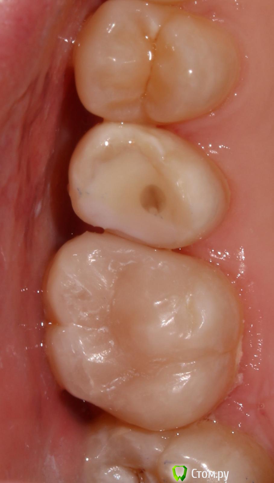
METT Опубликовано 30 декабря, 2013 Автор Поделиться Опубликовано 30 декабря, 2013 отпрепарированный 16 под комп.вкладку, фото после фиксации скоро выложу 1 Ссылка на комментарий
Рекомендуемые сообщения
Для публикации сообщений создайте учётную запись или авторизуйтесь
Вы должны быть пользователем, чтобы оставить комментарий
Создать аккаунт
Зарегистрируйте новый аккаунт в нашем сообществе. Это очень просто!
Регистрация нового пользователяВойти
Уже есть аккаунт? Войти в систему.
Войти