METT Опубликовано 7 июня, 2013 Автор Поделиться Опубликовано 7 июня, 2013 не обращайте внимания Ссылка на комментарий
METT Опубликовано 7 июня, 2013 Автор Поделиться Опубликовано 7 июня, 2013 не обращайте внимания 1 Ссылка на комментарий
АнтонТЛТ Опубликовано 7 июня, 2013 Поделиться Опубликовано 7 июня, 2013 Молодец! Я бы формирователи побольше поставил. Мне кажется или нить плетеная? Ссылка на комментарий
АнтонТЛТ Опубликовано 7 июня, 2013 Поделиться Опубликовано 7 июня, 2013 (изменено) Ну и фото лучшего качества не помешали бы Изменено 7 июня, 2013 пользователем АнтонТЛТ Ссылка на комментарий
METT Опубликовано 7 июня, 2013 Автор Поделиться Опубликовано 7 июня, 2013 Спасибо конечно))но это мой главный врач делал)))да и я бы в в другом отделе выложил))это я для УИРСа скинул, сейчас уберу)) Ссылка на комментарий
IvanK Опубликовано 7 июня, 2013 Поделиться Опубликовано 7 июня, 2013 От себя бы посоветовал: Ортрагейт , сст, мононить, фотозеркала, + качество фото страдает. Ссылка на комментарий
METT Опубликовано 8 июня, 2013 Автор Поделиться Опубликовано 8 июня, 2013 От себя бы посоветовал:Ортрагейт , сст, мононить, фотозеркала,+ качество фото страдает.а можнопоподробнее про сст и мононить)) Ссылка на комментарий
АнтонТЛТ Опубликовано 8 июня, 2013 Поделиться Опубликовано 8 июня, 2013 А это все многократно обсуждалось в хирургическом разделе 1 Ссылка на комментарий
IvanK Опубликовано 8 июня, 2013 Поделиться Опубликовано 8 июня, 2013 а можнопоподробнее про сст и мононить))Свободный соед-тканый трансплантат.Монофиламентная нитьА это все многократно обсуждалось в хирургическом разделе + 1 Ссылка на комментарий
METT Опубликовано 23 июля, 2013 Автор Поделиться Опубликовано 23 июля, 2013 Новый кейс, но неполный, завтра фиксирую)2.6, жалобы на застревание пищи, кровопотери в данном участке, ставлили пломбу в частной где-то))) Ссылка на комментарий
METT Опубликовано 23 июля, 2013 Автор Поделиться Опубликовано 23 июля, 2013 Нарукоблудил))) 1 Ссылка на комментарий
Каплан Опубликовано 23 июля, 2013 Поделиться Опубликовано 23 июля, 2013 возможно я пропустил, и признаюсь мне немного лень перелистывать тему - на что фиксируете? Ссылка на комментарий
METT Опубликовано 24 июля, 2013 Автор Поделиться Опубликовано 24 июля, 2013 Либо дуолинк, либо на тотже композит из которого лепилчерез УЗ Ссылка на комментарий
Neznajka Опубликовано 29 октября, 2013 Поделиться Опубликовано 29 октября, 2013 Каким композитом пользуетесь? Интересно послушать про краски для композитов. Можете посоветовать литературу на эту тему? Ссылка на комментарий
Shaid Опубликовано 29 октября, 2013 Поделиться Опубликовано 29 октября, 2013 METT, какой насадкой для УЗ пользуетесь? Ссылка на комментарий
METT Опубликовано 11 ноября, 2013 Автор Поделиться Опубликовано 11 ноября, 2013 Каким композитом пользуетесь? Интересно послушать про краски для композитов. Можете посоветовать литературу на эту тему?вообще хочу пользоваться Энамелом, но на жевалку мы ставим сапфир, краски от Энамеля, по поводу литературы-Ламиашвили-художественная реставрация зубов) Ссылка на комментарий
METT Опубликовано 11 ноября, 2013 Автор Поделиться Опубликовано 11 ноября, 2013 METT, какой насадкой для УЗ пользуетесь?http://i1254.photobucket.com/albums/hh618/djl2005/IMG_9840.jpg\\с Ссылка на комментарий
METT Опубликовано 11 ноября, 2013 Автор Поделиться Опубликовано 11 ноября, 2013 раньше эндочаком без файла, недавно появилась в клинике насадка для просаживания вкладок- с пластиковой головкой) Ссылка на комментарий
Olga Viktorovna Опубликовано 12 ноября, 2013 Поделиться Опубликовано 12 ноября, 2013 НА что фиксируете? И почему вкладки, ведь коронка прочнее по-моему будет? Ссылка на комментарий
METT Опубликовано 19 ноября, 2013 Автор Поделиться Опубликовано 19 ноября, 2013 (изменено) НА что фиксируете? И почему вкладки, ведь коронка прочнее по-моему будет?раньше фиксировал на дуолинк, ЖТК, пакуемый композит, в ноябре был на учебе у Ванини(там в том числе затронули тему про вкладки) теперь фиксирую на тот же материал из которого сделана вкладка, то есть пакуемый композит - маэстро сказал что все просвечивается)вкладки изготавливаю если зуб витальный, объем полости более трети зуба, отсутствует бугор, при глубоких проксимальных границах)пломбу здоровую ставить не хочется(долго выкладывать в полости рта маленькими порциями, а на модели удобно), к тому же я ориентируюсь примерно по ИРОПЗ по Миликевичу В. Ю. в показаниях, так же бывают настолько индивидуальные контактные пункты и проксимальные поверхности что прямым методом сложно восстановить)а по поводу коронок - на витальные зубы крайне редко - тканей убирать еще больше, чем под вкладку) Изменено 19 ноября, 2013 пользователем METT Ссылка на комментарий
Olga Viktorovna Опубликовано 25 ноября, 2013 Поделиться Опубликовано 25 ноября, 2013 МЕТТ, Спасибо за полный ответ, учту!) Ссылка на комментарий
METT Опубликовано 8 декабря, 2013 Автор Поделиться Опубликовано 8 декабря, 2013 еще случай(на pre-op аппарата не было) - 46 - депульпирован, восстановлен композитной коронкой перед брекетами, фиксация на композит 1 Ссылка на комментарий
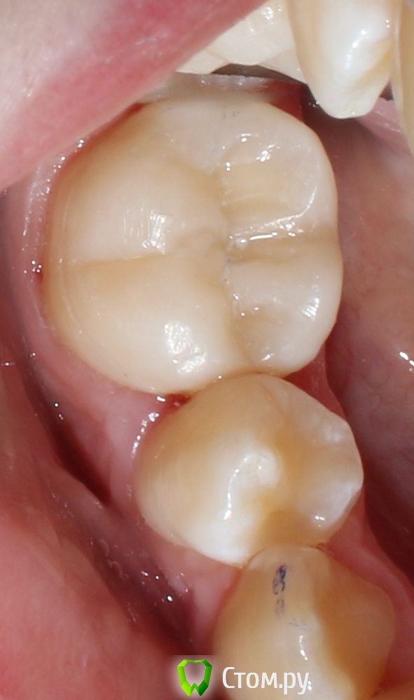
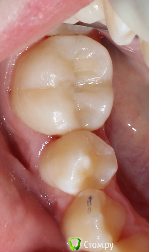
METT Опубликовано 8 декабря, 2013 Автор Поделиться Опубликовано 8 декабря, 2013 отпрепарированный 16 под комп.вкладку, фото после фиксации скоро выложу Ссылка на комментарий
IvanK Опубликовано 8 декабря, 2013 Поделиться Опубликовано 8 декабря, 2013 Вопрос дилетанта. Тот прозрачный край у реставрации - норма? Ссылка на комментарий
Рекомендуемые сообщения
Для публикации сообщений создайте учётную запись или авторизуйтесь
Вы должны быть пользователем, чтобы оставить комментарий
Создать аккаунт
Зарегистрируйте новый аккаунт в нашем сообществе. Это очень просто!
Регистрация нового пользователяВойти
Уже есть аккаунт? Войти в систему.
Войти