Снежана Опубликовано 1 мая, 2013 Поделиться Опубликовано 1 мая, 2013 почему же это, у нас есть клиники, при них свои лаборатории, кад кам делают без вопросов, но по цене на финише действительно как м\к. Ссылка на комментарий
ger_berra Опубликовано 1 мая, 2013 Поделиться Опубликовано 1 мая, 2013 МЕТТ,Вам надо было на Смитсона ехать.Вот тогда бы Вас от композита не оторвать во веки вечные. Ссылка на комментарий
METT Опубликовано 1 мая, 2013 Автор Поделиться Опубликовано 1 мая, 2013 почему же это, у нас есть клиники, при них свои лаборатории, кад кам делают без вопросов, но по цене на финише действительно как м\к.Жаль что у нас нет своей лаборатории нет)))я бы там пропадал)) Ссылка на комментарий
METT Опубликовано 1 мая, 2013 Автор Поделиться Опубликовано 1 мая, 2013 МЕТТ,Вам надо было на Смитсона ехать.Вот тогда бы Вас от композита не оторвать во веки вечные. Меня уже от него не оторвать))мне это настолько нравится насколько счастлив будет микроскопист,вытащив инструмент который сломался на изгибе,при этом без плачевных последствий для зуба))) Ссылка на комментарий
ger_berra Опубликовано 2 мая, 2013 Поделиться Опубликовано 2 мая, 2013 Керамы-это более полезное и выгодное увлечение,как для Вас,так и для пациента. Ссылка на комментарий
METT Опубликовано 2 мая, 2013 Автор Поделиться Опубликовано 2 мая, 2013 Керамы-это более полезное и выгодное увлечение,как для Вас,так и для пациента. Возможно,возможно))) Ссылка на комментарий
anvladd Опубликовано 2 мая, 2013 Поделиться Опубликовано 2 мая, 2013 Со временем это поймёте, когда увидите отдаленные результаты. Сразу расхочется делать. 1 Ссылка на комментарий
METT Опубликовано 2 мая, 2013 Автор Поделиться Опубликовано 2 мая, 2013 Со временем это поймёте, когда увидите отдаленные результаты. Сразу расхочется делать.Время покажет)) Ссылка на комментарий
PLAY Опубликовано 2 мая, 2013 Поделиться Опубликовано 2 мая, 2013 новв моляре трещина, надо было расшить и перекрыть этот бугор, во избежание осложнений. зуб может кольнуться если так нравится самому выкладывать на модели и вообще. то попробуйте осваивать и-макс, будете сами пилить и выкладывать. и-макс вам больше понравится. хотя непрямая композитная вкладка это всяко лучше чем, прямой композит. вообщем в правильном направлении двигаетесь, но больше смотрите в сторону керамики и золота композит это утопия, но про него не стоит забывать конечно же. Ссылка на комментарий
METT Опубликовано 2 мая, 2013 Автор Поделиться Опубликовано 2 мая, 2013 в моляре трещина, надо было расшить и перекрыть этот бугор, во избежание осложнений. зуб может кольнуться если так нравится самому выкладывать на модели и вообще. то попробуйте осваивать и-макс, будете сами пилить и выкладывать. и-макс вам больше понравится. хотя непрямая композитная вкладка это всяко лучше чем, прямой композит. вообщем в правильном направлении двигаетесь, но больше смотрите в сторону керамики и золота композит это утопия, но про него не стоит забывать конечно же.в таком случае желательно было бы оба дистальных бугра перекрыть,или язычный?)) Ссылка на комментарий
METT Опубликовано 2 мая, 2013 Автор Поделиться Опубликовано 2 мая, 2013 в моляре трещина, надо было расшить и перекрыть этот бугор, во избежание осложнений. зуб может кольнуться если так нравится самому выкладывать на модели и вообще. то попробуйте осваивать и-макс, будете сами пилить и выкладывать. и-макс вам больше понравится. хотя непрямая композитная вкладка это всяко лучше чем, прямой композит. вообщем в правильном направлении двигаетесь, но больше смотрите в сторону керамики и золота композит это утопия, но про него не стоит забывать конечно же.про E-max,у нас же нет своей лаборатории,нет оборудования,да и я не техник,хотя было бы интересно наверное освоить и восковое и керамическое моделировние и с техниками грамотными пообщаться освоить артикулятор с лицевой дугой и остальными примочками,но еще очень рано)) Ссылка на комментарий
PLAY Опубликовано 2 мая, 2013 Поделиться Опубликовано 2 мая, 2013 никогда не рано главное чтобы не поздно. 1 Ссылка на комментарий
PLAY Опубликовано 2 мая, 2013 Поделиться Опубликовано 2 мая, 2013 там где трещина-там и перекрыть, предварительно разшив её, но не до основания, так как она относительно глубоко. Ссылка на комментарий
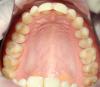
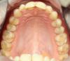
METT Опубликовано 8 мая, 2013 Автор Поделиться Опубликовано 8 мая, 2013 17-пломба-дефект-кариес,16-ранее зафиксирована вкладка Ссылка на комментарий
METT Опубликовано 12 мая, 2013 Автор Поделиться Опубликовано 12 мая, 2013 16 вкладка 1 Ссылка на комментарий
ger_berra Опубликовано 12 мая, 2013 Поделиться Опубликовано 12 мая, 2013 17-пломба-дефект-кариес,16-ранее зафиксирована вкладкаНа такой преп вкладка? Зачем?Вы не обижайтесь на меня,но ,пардон,фигнёй занимаетесь. 1 Ссылка на комментарий
METT Опубликовано 13 мая, 2013 Автор Поделиться Опубликовано 13 мая, 2013 17-пломба-дефект-кариес,16-ранее зафиксирована вкладкаНа такой преп вкладка? Зачем?Вы не обижайтесь на меня,но ,пардон,фигнёй занимаетесь.отпардоньтесь, на снимке с коффердамом 17 зуб)) Ссылка на комментарий
METT Опубликовано 13 мая, 2013 Автор Поделиться Опубликовано 13 мая, 2013 чтобы внести ясность:1-17 преп,2-16 преп,3-17 пломба и 16 вкладка) Ссылка на комментарий
ger_berra Опубликовано 13 мая, 2013 Поделиться Опубликовано 13 мая, 2013 17-пломба-дефект-кариес,16-ранее зафиксирована вкладкаНа такой преп вкладка? Зачем?Вы не обижайтесь на меня,но ,пардон,фигнёй занимаетесь.отпардоньтесь, на снимке с коффердамом 17 зуб))Вы вкладку на 17 сделали? Ссылка на комментарий
ger_berra Опубликовано 13 мая, 2013 Поделиться Опубликовано 13 мая, 2013 17-пломба-дефект-кариес,16-ранее зафиксирована вкладкаНа такой преп вкладка? Зачем?Вы не обижайтесь на меня,но ,пардон,фигнёй занимаетесь.отпардоньтесь, на снимке с коффердамом 17 зуб))Вы вкладку на 17 сделали?чтобы внести ясность:1-17 преп,2-16 преп,3-17 пломба и 16 вкладка)А,ну теперь понятно.Тогда беру свои слова обратно. Ссылка на комментарий
METT Опубликовано 13 мая, 2013 Автор Поделиться Опубликовано 13 мая, 2013 17-пломба-дефект-кариес,16-ранее зафиксирована вкладкаНа такой преп вкладка? Зачем?Вы не обижайтесь на меня,но ,пардон,фигнёй занимаетесь.отпардоньтесь, на снимке с коффердамом 17 зуб))Вы вкладку на 17 сделали?чтобы внести ясность:1-17 преп,2-16 преп,3-17 пломба и 16 вкладка)А,ну теперь понятно.Тогда беру свои слова обратно.ничего))просто не надо спешить с выводами))) Ссылка на комментарий
ger_berra Опубликовано 13 мая, 2013 Поделиться Опубликовано 13 мая, 2013 17-пломба-дефект-кариес,16-ранее зафиксирована вкладкаНа такой преп вкладка? Зачем?Вы не обижайтесь на меня,но ,пардон,фигнёй занимаетесь.отпардоньтесь, на снимке с коффердамом 17 зуб))Вы вкладку на 17 сделали?чтобы внести ясность:1-17 преп,2-16 преп,3-17 пломба и 16 вкладка)А,ну теперь понятно.Тогда беру свои слова обратно.ничего))просто не надо спешить с выводами)))Оформляйте свои кейсы так,чобы не было недоразумений. Ссылка на комментарий
METT Опубликовано 20 мая, 2013 Автор Поделиться Опубликовано 20 мая, 2013 Просто первичный пациент,фото на консультации Ссылка на комментарий
Рекомендуемые сообщения
Для публикации сообщений создайте учётную запись или авторизуйтесь
Вы должны быть пользователем, чтобы оставить комментарий
Создать аккаунт
Зарегистрируйте новый аккаунт в нашем сообществе. Это очень просто!
Регистрация нового пользователяВойти
Уже есть аккаунт? Войти в систему.
Войти