METT Опубликовано 18 марта, 2013 Автор Поделиться Опубликовано 18 марта, 2013 Я ,конечно,вредина,но слепок---кОшмар!Вы пальцАми его во рту удерживаете?Без ложки? Прилегание на модели неудовлетворительное.Оно во рту может компенсироваться цементом.Кстати,на что фиксируете? Как по мне,то композитные вкладки-это баловство.Если делать,то керам или голд.если прижать пальцем-прилегание хорошее,слепок прикусной(пациент прикусывает его зубами до конца и никаких пальцев)фиксирую на композит либо на дуолинк Ссылка на комментарий
METT Опубликовано 18 марта, 2013 Автор Поделиться Опубликовано 18 марта, 2013 расскажите технику изготовления вкладки с момента слепков,и на что фиксируете ее?асо слепка,отливка двух моделей,на первой зубы отделяю,моделирую(использую сапфир,энамель не разрешают брать),контролирую придесневое прилегание,на второй модели контролирую контакты,а дальше-на модели до конца не заполировываю-окончательная подгонка по проикусу во рту(есть грешок).протокол фиксации-анестезия-удаление времянки-коффердам-ретракция флоссом-пескоструй-асо вкладки-припасовка-асо-подготовка вкладки(протравка-адгезив)-подготовка зуба(протравка-аквапреп-адгезив)-нанесение композита на вкладку-просаживание УЗ-избавление от излишков-суперфлоссинг-светополимеризация-пришлиф-полир-краски-жидкий полир) Ссылка на комментарий
nurseit Опубликовано 21 марта, 2013 Поделиться Опубликовано 21 марта, 2013 Мне показалось, или вкладка выведена из прикуса? Ссылка на комментарий
METT Опубликовано 21 марта, 2013 Автор Поделиться Опубликовано 21 марта, 2013 Мне показалось, или вкладка выведена из прикуса?Нет,показалось-на зубе нет следов копирки из-за полировки,после я и с соседей следы подмел Ссылка на комментарий
Whitebone Опубликовано 21 марта, 2013 Поделиться Опубликовано 21 марта, 2013 А есть уверенность, что при таком протоколе фиксации весь композит под вкладкой окажется полимеризованным? Ссылка на комментарий
Whitebone Опубликовано 21 марта, 2013 Поделиться Опубликовано 21 марта, 2013 Толщина композитной вкладки должна быть как минимум 2 мм, иначе будет хрупкой. Я подозреваю, что полимеризационный свет будет терять кучу энергии при прохождении через вкладку. Ссылка на комментарий
anvladd Опубликовано 21 марта, 2013 Поделиться Опубликовано 21 марта, 2013 У керамики степень абразии выше чем у композитаэто вы к чему? Ссылка на комментарий
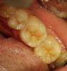
METT Опубликовано 22 марта, 2013 Автор Поделиться Опубликовано 22 марта, 2013 НОвенькое Ссылка на комментарий
METT Опубликовано 22 марта, 2013 Автор Поделиться Опубликовано 22 марта, 2013 И еще Ссылка на комментарий
METT Опубликовано 22 марта, 2013 Автор Поделиться Опубликовано 22 марта, 2013 это вы к чему?К тому что керамика больше шлифует антагонисты чем композит) Ссылка на комментарий
METT Опубликовано 22 марта, 2013 Автор Поделиться Опубликовано 22 марта, 2013 Толщина композитной вкладки должна быть как минимум 2 мм, иначе будет хрупкой. Я подозреваю, что полимеризационный свет будет терять кучу энергии при прохождении через вкладку.Есть такое,доктора в клинике недавно ездили на семинары по вкладкам-когда пришли говорили что все нормально,только если очень глубоко то фиксировать на дуолинк) Ссылка на комментарий
Whitebone Опубликовано 25 марта, 2013 Поделиться Опубликовано 25 марта, 2013 Цифры люблю. Очень глубоко - это сколько? Я бы на композитный цемент двойного отверждения сажал всегда. Ссылка на комментарий
METT Опубликовано 26 марта, 2013 Автор Поделиться Опубликовано 26 марта, 2013 Цифры люблю. Очень глубоко - это сколько? Я бы на композитный цемент двойного отверждения сажал всегда.Если глубинапросвечиваемого слоя более 4 мм-сажу на дуолинк(комп цемент дв твержд) Ссылка на комментарий
Л Ю С Я Опубликовано 26 марта, 2013 Поделиться Опубликовано 26 марта, 2013 Чтобы узнать можно ли сажать вкладку на композит надо нанести шарик композита на обратную сторону вкладки( внутреннюю) и подсветить лампой вплотную 3 секунды через вкладку. Если композит входит в точку гелия- то можно 1 Ссылка на комментарий
METT Опубликовано 26 марта, 2013 Автор Поделиться Опубликовано 26 марта, 2013 Чтобы узнать можно ли сажать вкладку на композит надо нанести шарик композита на обратную сторону вкладки( внутреннюю) и подсветить лампой вплотную 3 секунды через вкладку. Если композит входит в точку гелия- то можноТакого метода проверки я не знал.а можно по-подробней о точке гелия.. Ссылка на комментарий
Л Ю С Я Опубликовано 26 марта, 2013 Поделиться Опубликовано 26 марта, 2013 (изменено) Композиты в процессе полимеризации проходят две фазы: прегель( до точки G) в это время композит еще мягкий и податливый , после точки G начинается фаза постгель это непосредственно процесс затвердевания. Не гелия, а геля айпад неправильно написал и прошу не путать с анатомиическими образованиями Изменено 26 марта, 2013 пользователем Л Ю С Я Ссылка на комментарий
METT Опубликовано 27 марта, 2013 Автор Поделиться Опубликовано 27 марта, 2013 Фиксация вкладки на 16 1 Ссылка на комментарий
METT Опубликовано 27 марта, 2013 Автор Поделиться Опубликовано 27 марта, 2013 Пломбочка на 17 и покраска пломбы на 47 Ссылка на комментарий
METT Опубликовано 27 марта, 2013 Автор Поделиться Опубликовано 27 марта, 2013 Композиты в процессе полимеризации проходят две фазы: прегель( до точки G) в это время композит еще мягкий и податливый , после точки G начинается фаза постгель это непосредственно процесс затвердевания. Не гелия, а геля айпад неправильно написал и прошу не путать с анатомиическими образованиямиСпасибо за объяснение))остроумная шутка про анатомию))оценил)) Ссылка на комментарий
METT Опубликовано 13 апреля, 2013 Автор Поделиться Опубликовано 13 апреля, 2013 Давно не выкладывал-еще фото.46-пломба-дефект-кариес I-II кл медиодистально,на момент обращения у меня фотика не было,пришлось снять только точево и вкладку. Ссылка на комментарий
METT Опубликовано 13 апреля, 2013 Автор Поделиться Опубликовано 13 апреля, 2013 17,на 2-3 снимке на дне sdr Ссылка на комментарий
METT Опубликовано 13 апреля, 2013 Автор Поделиться Опубликовано 13 апреля, 2013 16 Ссылка на комментарий
METT Опубликовано 13 апреля, 2013 Автор Поделиться Опубликовано 13 апреля, 2013 37 точево,вкладку еще не фотал Ссылка на комментарий
METT Опубликовано 13 апреля, 2013 Автор Поделиться Опубликовано 13 апреля, 2013 26 точево Ссылка на комментарий
Каплан Опубликовано 13 апреля, 2013 Поделиться Опубликовано 13 апреля, 2013 Вам не кажется, что точево звучит несколько грубо и пренебрежительно? 1 Ссылка на комментарий
Рекомендуемые сообщения
Для публикации сообщений создайте учётную запись или авторизуйтесь
Вы должны быть пользователем, чтобы оставить комментарий
Создать аккаунт
Зарегистрируйте новый аккаунт в нашем сообществе. Это очень просто!
Регистрация нового пользователяВойти
Уже есть аккаунт? Войти в систему.
Войти