sergev Опубликовано 17 мая, 2012 Поделиться Опубликовано 17 мая, 2012 После сделанного КТ на левой верхней единице обнаружили большую кисту. 9 лет назад на этом зубе была сделана резекция, всё это время зуб абсолютно никак не беспокоил. Сейчас есть небольшая боль при надавливании, а также, иногда, не каждый день, боль по вечерам. Врач однозначно рекомендует удаление с последующей имплантацией через год (год требуется для восстановления костной ткани). Естественно, учитывая, что это верхняя единица меня такой сценарий пугает. Существуют ли альтернативы? Буду благодарен любым мнениям. КТ с диска находится в архиве по адресу - http://www.softaffil...ev/kt-zubov.zip . Там же, в папке CDViewer, программа-просмотрщик (EzImplant). Её необходимо предварительно установить. Проще всего записать содержимое архива на флешку или диск и уже оттуда открывать. Снимок экрана КТ: http://www.softaffiliates.com/sergev/kt-screenshot.jpg Ссылка на комментарий
kriokov Опубликовано 18 мая, 2012 Поделиться Опубликовано 18 мая, 2012 зуб подвижен или нет? Ссылка на комментарий
sergev Опубликовано 18 мая, 2012 Автор Поделиться Опубликовано 18 мая, 2012 зуб подвижен или нет?абсолютно нет Ссылка на комментарий
kriokov Опубликовано 18 мая, 2012 Поделиться Опубликовано 18 мая, 2012 киста небольшая 1см х 1 см х 1 см, примерно. Корень не короткий. Зуб устойчивый. По моему восстановлен - вкладка+ коронка.Как альтернативу удалению зуба попробуйте обсудить с хирургом цистэктомию с ретроградным пломбированием корня причинного резца.Но, там много мелких условий которые должны сойтись - состоятельность коронки, вкладки, состояние мягких тканей десны после первой операции и т.д, Ссылка на комментарий
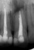
sergev Опубликовано 19 мая, 2012 Автор Поделиться Опубликовано 19 мая, 2012 Спасибо большое за ответы. Сделали еще прицельные снимки с разных ракурсов. Они что-то меняют? Если делать резекцию, хватит ли оставшегося корня для того, чтобы держать зуб? Первый - http://www.softaffil...ev/rentgen1.jpgВторой - http://www.softaffil...ev/rentgen2.jpg Ссылка на комментарий
kriokov Опубликовано 19 мая, 2012 Поделиться Опубликовано 19 мая, 2012 да несколько меняет. Смотрел кт и ошибся , думал коронка и вкладка в зубе.Ситуация штатно развивается, надо начинать с того, что полноценно перелечивать канал зуба и оценить вместе с врачом, как потом зуб будет восстановлен вкладка + коронка или еще как. Если нормально канал удасться перелечить, длины корня хватит для устойчивости зуба. Может вообще без хир вмешательства обойтись, но все надо в динамике смотреть. Пусть лечащий врач на зуб 11 обратит внимание, там есть незначительные изменения. Ссылка на комментарий
Bier Опубликовано 20 мая, 2012 Поделиться Опубликовано 20 мая, 2012 да несколько меняет. Смотрел кт и ошибся , думал коронка и вкладка в зубе.Ситуация штатно развивается, надо начинать с того, что полноценно перелечивать канал зуба и оценить вместе с врачом, как потом зуб будет восстановлен вкладка + коронка или еще как. Если нормально канал удасться перелечить, длины корня хватит для устойчивости зуба. Может вообще без хир вмешательства обойтись, но все надо в динамике смотреть. Пусть лечащий врач на зуб 11 обратит внимание, там есть незначительные изменения. +1 Ссылка на комментарий
allex12 Опубликовано 5 октября, 2012 Поделиться Опубликовано 5 октября, 2012 Здравствуйте, снимок КТ на диске, пока выложить не получается. Но в заключении: киста между корнями 6го верхнего зуба. врач сказал что корень перелечить не удастся, киста внутри на пропущенном (не замеченном при депульпации) дополнительном канале, который остался не леченым и сейчас выстрелил. Корни пломбировали около 2-х лет назад, если бы не КТ, - на рентгене работа "на отлично", показаний к лечению не видно было.... Боль не острая, но похоже что это "пока"...Может помочь резекция верхушки корня при такой ситуации? Ссылка на комментарий
IvanK Опубликовано 5 октября, 2012 Поделиться Опубликовано 5 октября, 2012 Здравствуйте, снимок КТ на диске, пока выложить не получается. Но в заключении: киста между корнями 6го верхнего зуба. врач сказал что корень перелечить не удастся, киста внутри на пропущенном (не замеченном при депульпации) дополнительном канале, который остался не леченым и сейчас выстрелил. Корни пломбировали около 2-х лет назад, если бы не КТ, - на рентгене работа "на отлично", показаний к лечению не видно было.... Боль не острая, но похоже что это "пока"...Может помочь резекция верхушки корня при такой ситуации? Создайте свою тему.Послушаем терапевтов, но может нужно "подлечить пропущенный канал"?Ждем снимков Ссылка на комментарий
allex12 Опубликовано 6 октября, 2012 Поделиться Опубликовано 6 октября, 2012 (изменено) Создайте свою тему.Послушаем терапевтов, но может нужно "подлечить пропущенный канал"?Ждем снимков Спасибо, тему пока не могу определиться в каком разделе создавать: терапия или хирургия? - вот в чем вопрос))Снимки... Не знаю как с диском обращаться, разбираться - пока некогда. Диск врачи открывали довольно долго (Пикассо - сеть рентгенологий))"Подлечить пропущенный канал" - врач уже сказала что не удастся:- это "лишний", 4-й канал, незамечен потому что более узкий чем в норме + располагается рядом с нормальным (почти как "дублер", но более тонкий, потому и не замечен). Мог быть трудно или не-проходимым еще в начале лечения, а теперь уже...Но главное - киста даже не на нем самом, а на одном из его мелких ответвлений, и врач говорит, что обычно эти "ветви" стерилизуются при прохождении канала, но раз канал вообще не был найден и пролечен, теперь тем более его не возможно распечатать и пролечить заново, т.к. инфекция уже распространилась в мелкие ветви, и там уже ничего не исправишь даже если разнести весь зуб Изменено 6 октября, 2012 пользователем allex12 Ссылка на комментарий
IvanK Опубликовано 6 октября, 2012 Поделиться Опубликовано 6 октября, 2012 Спасибо, тему пока не могу определиться в каком разделе создавать: терапия или хирургия? - вот в чем вопрос))Снимки... Не знаю как с диском обращаться, разбираться - пока некогда. Диск врачи открывали довольно долго (Пикассо - сеть рентгенологий))"Подлечить пропущенный канал" - врач уже сказала что не удастся:- это "лишний", 4-й канал, незамечен потому что более узкий чем в норме + располагается рядом с нормальным (почти как "дублер", но более тонкий, потому и не замечен). Мог быть трудно или не-проходимым еще в начале лечения, а теперь уже...Но главное - киста даже не на нем самом, а на одном из его мелких ответвлений, и врач говорит, что обычно эти "ветви" стерилизуются при прохождении канала, но раз канал вообще не был найден и пролечен, теперь тем более его не возможно распечатать и пролечить заново, т.к. инфекция уже распространилась в мелкие ветви, и там уже ничего не исправишь даже если разнести весь зуб создайте тему в терапии, но без снимков Вам не помогут Ссылка на комментарий
kasoleil Опубликовано 6 октября, 2012 Поделиться Опубликовано 6 октября, 2012 Спасибо, тему пока не могу определиться в каком разделе создавать: терапия или хирургия? - вот в чем вопрос))Снимки... Не знаю как с диском обращаться, разбираться - пока некогда. Диск врачи открывали довольно долго (Пикассо - сеть рентгенологий))"Подлечить пропущенный канал" - врач уже сказала что не удастся:- это "лишний", 4-й канал, незамечен потому что более узкий чем в норме + располагается рядом с нормальным (почти как "дублер", но более тонкий, потому и не замечен). Мог быть трудно или не-проходимым еще в начале лечения, а теперь уже...Но главное - киста даже не на нем самом, а на одном из его мелких ответвлений, и врач говорит, что обычно эти "ветви" стерилизуются при прохождении канала, но раз канал вообще не был найден и пролечен, теперь тем более его не возможно распечатать и пролечить заново, т.к. инфекция уже распространилась в мелкие ветви, и там уже ничего не исправишь даже если разнести весь зуб 4й канал не лишний, он встречается часто, и такие зубы перелечивают. разберитесь с кт и просто найдите доктора,который таким лечением занимаетсяна дисках пикассо есть установочная программа, скорость открытия кт зависит только от мощности компьютера Ссылка на комментарий
allex12 Опубликовано 6 октября, 2012 Поделиться Опубликовано 6 октября, 2012 (изменено) 4й канал не лишний, он встречается часто, и такие зубы перелечивают. разберитесь с кт и просто найдите доктора,который таким лечением занимаетсяна дисках пикассо есть установочная программа, скорость открытия кт зависит только от мощности компьютера Спасибо, а выкладывать КТ надо как видеофайл?- и там дело не столько в самом канале (нелеченном) - а в том что процесс уже распространился на его небольшие ответвления - и с этим можно что-то сделать? врач сказала что нельзя - уже поздно: при начале лечения обычно в канал закачивается дез.раствор, а теперь он якобы уже не поможет...Тему создала, и там же позорного качества снимок (скан с листа А4 - другого пока нет .. не пойму как видео сюда возможно выложить - так же в файле? Объем наверное большой слишком у Пикассо - на ноуте в клинике еле открылся...) http://forum.stom.ru/topic/19865-%D0%BA%D0%B8%D1%81%D1%82%D0%B0-%D0%BC%D0%B5%D0%B6%D0%B4%D1%83-%D0%BA%D0%BE%D1%80%D0%BD%D1%8F%D0%BC%D0%B8-%D0%B2%D0%B5%D1%80%D1%85%D0%BD%D0%B5%D0%B9-6-%D0%BA%D0%B8-%D1%81-%D1%82%D1%80%D1%83%D0%B4%D0%BD%D1%8B%D0%BC-%D0%B4%D0%BE%D1%81%D1%82%D1%83%D0%BF/ Изменено 6 октября, 2012 пользователем allex12 Ссылка на комментарий
allex12 Опубликовано 10 октября, 2012 Поделиться Опубликовано 10 октября, 2012 создайте тему в терапии, но без снимков Вам не помогут Тему создала, что смогла выложила: http://forum.stom.ru/topic/19865-%d0%ba%d0%b8%d1%81%d1%82%d0%b0-%d0%bc%d0%b5%d0%b6%d0%b4%d1%83-%d0%ba%d0%be%d1%80%d0%bd%d1%8f%d0%bc%d0%b8-%d0%b2%d0%b5%d1%80%d1%85%d0%bd%d0%b5%d0%b9-6-%d0%ba%d0%b8-%d1%81-%d1%82%d1%80%d1%83%d0%b4%d0%bd%d1%8b%d0%bc-%d0%b4%d0%be%d1%81%d1%82%d1%83%d0%bf/page__view__findpost__p__302319 - но оказывается если КТ на диске, то его невозможно докторам показать? Как я поняла:1) все КТ - диски защищены от копирования (и Пиксассо в частности)2) Даже если у врача есть возможность открыть защищенную копию (?) своей программой, все равно никто не будет заниматься такой морокой.А раскадровку делать допустим с шагом 2мм(??) -... киста маленькая, и ее заметить мне не реально. Ссылка на комментарий
Рекомендуемые сообщения
Для публикации сообщений создайте учётную запись или авторизуйтесь
Вы должны быть пользователем, чтобы оставить комментарий
Создать аккаунт
Зарегистрируйте новый аккаунт в нашем сообществе. Это очень просто!
Регистрация нового пользователяВойти
Уже есть аккаунт? Войти в систему.
Войти