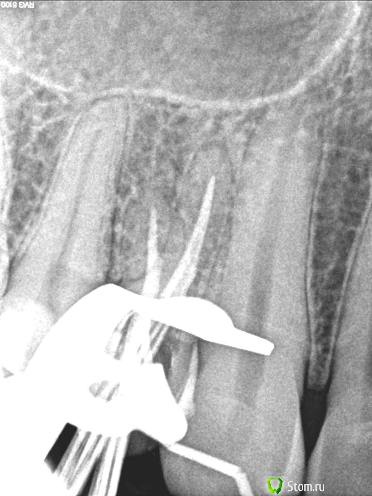
Magdalena Опубликовано 31 января, 2012 Поделиться Опубликовано 31 января, 2012 (изменено) В одном из филиалов стоял микроскоп, случайно узнала, что никто им не работает, забрала себе.)На удаленных зубах потренироваться не успела - попались ситуации, когда скоп был нужен сразу в работе.1. Пациент 66 лет, перелечивание зуба 1.1 под коронку. По КТ - канал запломбирован чуть более 1\2 длины, на верхушке корня очаг разрежения костной ткани с нечеткими границами (КТ фоткала с экрана компьютера, не смогла скопировать ) В первое посещение - распломбировала канал на проходимую длину (в канале гутта), инструмент дальше не идет абсолютно, по КТ хода канала после пломбировочного материала не увидела.Оставила в канале раствор ЭДТА на неделю, пломба Витремер.Во второе посещение еще раз смотрю КТ - смущает меня все-таки такое разрежение, вроде тоооненько прослеживается ход канала. Все отмыла, привезла скоп - на "дне" канала увидела белую точку. Т.к. опыта лечения под микроскопом у меня не было - подумала что это блик, посмотрела под разными увеличениями - все-равно есть, решила пройти по точке УЗ - и сразу же провалилась ( и сердце упало тоже ) Канал при первичном эндо был заступенен.Пломбирование 2. Пациент 35 лет, перелечивание зуба 1.4 под коронку. КТ : каналы запломбированы на 1\2, расширение периодонтальной щели в обл. верхушек корней.щечный каналнебный каналСняла пломбу - в каналах - фосфат-цемент. Сразу привезла микроскоп, распломбировывала УЗ под контролем скопа.Снимок с файлами скинуть забыла Во второе посещение пломбирование, АЛ на этом уровне показывает верхушки Сейчас мне привезли зеркала, специально для микроскопа. В одном наборе стомат. зеркало обычное с увеличением и стомат. зеркало без увеличения, а также маленькие зеркала собственно совсем без зеркальной поверхности... В интернете инфу по ним не нашла, подскажите, плиз, как их использовать. Изменено 31 января, 2012 пользователем Magdalena Ссылка на комментарий
Elenushka Опубликовано 31 января, 2012 Поделиться Опубликовано 31 января, 2012 Тож хочу микроскоп... Ссылка на комментарий
DokDent Опубликовано 31 января, 2012 Поделиться Опубликовано 31 января, 2012 (изменено) Ань,что-то меня обтурация смущает.Микроскоп-дело нужное в хозяйстве.Тебе бы на курсы надо. Изменено 31 января, 2012 пользователем DokDent Ссылка на комментарий
Magdalena Опубликовано 1 февраля, 2012 Автор Поделиться Опубликовано 1 февраля, 2012 Ань,что-то меня обтурация смущает.Микроскоп-дело нужное в хозяйстве.Тебе бы на курсы надо. Ирин, что конкретно смущает? Считаешь, не плотно? А обучение позже будет, пока сама буду тренироваться на удаленных зубах) Ссылка на комментарий
ger_berra Опубликовано 1 февраля, 2012 Поделиться Опубликовано 1 февраля, 2012 АЛ при ретрите,особенно резорциновом и цементном, может показывать апекс и в середине канала,когда нет плотного контакта инструмента со стенками.Делайте снимки с файлами,тогда поймёте врёт АЛ или нет. Ссылка на комментарий
Magdalena Опубликовано 1 февраля, 2012 Автор Поделиться Опубликовано 1 февраля, 2012 АЛ при ретрите,особенно резорциновом и цементном, может показывать апекс и в середине канала,когда нет плотного контакта инструмента со стенками.Делайте снимки с файлами,тогда поймёте врёт АЛ или нет. Согласна с Вами, снимок с файлами есть, на работе остался. В зубе 1.4 по КТ точно ход канала в апикальной трети не прослеживался. Недопломбировка у меня получилась 1-1.5мм. Но если хода канала нет, имеет ли смысл дальше пробиваться? Ссылка на комментарий
ger_berra Опубликовано 2 февраля, 2012 Поделиться Опубликовано 2 февраля, 2012 (изменено) Согласна с Вами, снимок с файлами есть, на работе остался. В зубе 1.4 по КТ точно ход канала в апикальной трети не прослеживался. Недопломбировка у меня получилась 1-1.5мм. Но если хода канала нет, имеет ли смысл дальше пробиваться?Если Вы видите,куда идёте,то,конечно,имеет.В слепую можно дырку сделать.А в Вашем случае,если нет переапикальных изменений на КТ,то,наверное, так же оставила....Но ЭДТА или лимонку под СИЦ дней на несколько налила бы. Изменено 2 февраля, 2012 пользователем ger_berra Ссылка на комментарий
Magdalena Опубликовано 2 февраля, 2012 Автор Поделиться Опубликовано 2 февраля, 2012 Если Вы видите,куда идёте,то,конечно,имеет.В слепую можно дырку сделать.А в Вашем случае,если нет переапикальных изменений на КТ,то,наверное, так же оставила....Но ЭДТА или лимонку под СИЦ дней на несколько налила бы. ger_berra, я тоже оставляла, в 1 случае на неделю, во 2- ом на 4 дня Ссылка на комментарий
ger_berra Опубликовано 2 февраля, 2012 Поделиться Опубликовано 2 февраля, 2012 ger_berra, я тоже оставляла, в 1 случае на неделю, во 2- ом на 4 дня Ну тогда лучшее-это враг хорошего. Ссылка на комментарий
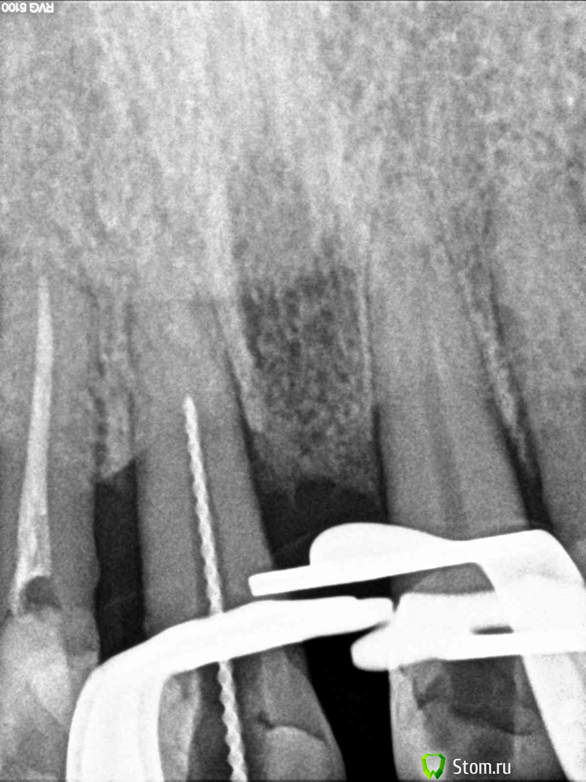
DokDent Опубликовано 2 февраля, 2012 Поделиться Опубликовано 2 февраля, 2012 http://forum.stom.ru/uploads/monthly_01_2012/post-15805-0-28919800-1328031541_thumb.jpg Ань,посмотри апикальный уровень обтурации корневого канала. Ссылка на комментарий
Magdalena Опубликовано 3 февраля, 2012 Автор Поделиться Опубликовано 3 февраля, 2012 (изменено) Ань,посмотри апикальный уровень обтурации корневого канала.Ирин, пломбировка до апекса...считаешь не плотно в апикальной трети? Апикальный упор на 0,5 мм, апекс не разбивала Изменено 3 февраля, 2012 пользователем Magdalena Ссылка на комментарий
DokDent Опубликовано 3 февраля, 2012 Поделиться Опубликовано 3 февраля, 2012 Ирин, пломбировка до апекса...считаешь не плотно в апикальной трети? Апикальный упор на 0,5 мм, апекс не разбивала Ань,на мой взгляд-да. Ссылка на комментарий
Magdalena Опубликовано 3 февраля, 2012 Автор Поделиться Опубликовано 3 февраля, 2012 Ань,на мой взгляд-да.Сейчас сидела - разглядывала - кажется действительно не плотно Посмотрю еще снимок ортопеда, после подготовки под штифтовкладку. Ссылка на комментарий
Снежана Опубликовано 3 февраля, 2012 Поделиться Опубликовано 3 февраля, 2012 Сейчас мне привезли зеркала, специально для микроскопа. В одном наборе стомат. зеркало обычное с увеличением и стомат. зеркало без увеличения, а также маленькие зеркала собственно совсем без зеркальной поверхности... В интернете инфу по ним не нашла, подскажите, плиз, как их использовать. Зачем зеркала совсем без зеркальной поверхности понятия не имею, я работаю обычными, без увеличения родиевыми. есть маленькие, но что-то стандарный размер привычнее.Про точки (если только недавно работаете) то не каждая белая точка это ход канала, особенно в склерозированных, ступень тоже будет белой точкой (на дно забиваются дентинные стружки и при высушивании получается эта самая точка. снимков каждый раз не наделаешся, ушли или нет в сторону - смотрите по цвету дентина, по каналу он более темный) Ссылка на комментарий
Magdalena Опубликовано 4 февраля, 2012 Автор Поделиться Опубликовано 4 февраля, 2012 (изменено) Зачем зеркала совсем без зеркальной поверхности понятия не имею, я работаю обычными, без увеличения родиевыми. есть маленькие, но что-то стандарный размер привычнее.Про точки (если только недавно работаете) то не каждая белая точка это ход канала, особенно в склерозированных, ступень тоже будет белой точкой (на дно забиваются дентинные стружки и при высушивании получается эта самая точка. снимков каждый раз не наделаешся, ушли или нет в сторону - смотрите по цвету дентина, по каналу он более темный)Спасибо, Снежана! Можно глупый вопрос: без увеличения - отражение, как в обычном зеркале, не стоматологическом? И еще, мне комфортно работать при небольших увеличениях, при максимальном видно очень нечетко, хотя все настриваю. Так должно быть? Микроскоп Карл Цейсс. Изменено 4 февраля, 2012 пользователем Magdalena Ссылка на комментарий
Magdalena Опубликовано 7 февраля, 2012 Автор Поделиться Опубликовано 7 февраля, 2012 Вот такие у меня зеркала Вот зеркало "без зеркальной поверхности", поправьте меня, если у него другое предназначение, но я с таким впервые сталкиваюсь Ссылка на комментарий
Каплан Опубликовано 7 февраля, 2012 Поделиться Опубликовано 7 февраля, 2012 (изменено) Они кажется для микрохирургии...ну и передняя отражающая поверхность. Изменено 7 февраля, 2012 пользователем Каплан Ссылка на комментарий
Magdalena Опубликовано 7 февраля, 2012 Автор Поделиться Опубликовано 7 февраля, 2012 Они кажется для микрохирургии...ну и передняя отражающая поверхность.Спасибо думаю оно мне не пригодится. Ссылка на комментарий
Каплан Опубликовано 7 февраля, 2012 Поделиться Опубликовано 7 февраля, 2012 Спасибо думаю оно мне не пригодится.ретроградки в микроскоп не планируете делать? : кстати, судя по некоторым видео, эти зеркальцЫ используют еще и в "труднодоступных местах"... когда в коффер упирается большое зеркало... Ссылка на комментарий
Magdalena Опубликовано 7 февраля, 2012 Автор Поделиться Опубликовано 7 февраля, 2012 ретроградки в микроскоп не планируете делать? : кстати, судя по некоторым видео, эти зеркальцЫ используют еще и в "труднодоступных местах"... когда в коффер упирается большое зеркало...Планирую, конечно. Просто в это маленькое не знаю как смотреть Каплан, можно ссылку на видео? Ссылка на комментарий
Каплан Опубликовано 7 февраля, 2012 Поделиться Опубликовано 7 февраля, 2012 rosmicro.ruвстречал тут. Ссылка на комментарий
Magdalena Опубликовано 7 февраля, 2012 Автор Поделиться Опубликовано 7 февраля, 2012 rosmicro.ruвстречал тут.Спасибо Ссылка на комментарий
Снежана Опубликовано 7 февраля, 2012 Поделиться Опубликовано 7 февраля, 2012 (изменено) Спасибо, Снежана! Можно глупый вопрос: без увеличения - отражение, как в обычном зеркале, не стоматологическом? И еще, мне комфортно работать при небольших увеличениях, при максимальном видно очень нечетко, хотя все настриваю. Так должно быть? Микроскоп Карл Цейсс.извиняюсь, не видела вопроса раньшеhttp://www.dentmaster.ru/articles/35вот зеркало нужно как здесь, с передней поверхностью отражения, без всяких увеличений, они есть разных производителей. какие у вас если честно не разобрала по фото.микроскоп у вас очень хороший и дорогой)видимость должна быть четкая на всех увеличениях. просто если настроились хорошо на маленьком увеличении, при переключении на большее резкость может теряться, нужно подстраивать.а... еще, возможно проблема в том, что на больших увеличениях (у нас макс 12х) глубина резкости очень маленькая. то есть вы настраиваетесь на определенную глубину или точку канала, а все что до или после этой "точки" +- пару мм будет выглядеть размытым. это нормально, так и должно быть. Изменено 7 февраля, 2012 пользователем Снежана Ссылка на комментарий
Каплан Опубликовано 7 февраля, 2012 Поделиться Опубликовано 7 февраля, 2012 Кстати, на дентмастере тоже есть фото работы с маленькими зеркалами. (рис 20 например) Эту ссылку не мог кинуть с рабочего компа...еще в ютубе было, но щас уже не вспомню точно...а вообще с ними должно быть удобнее...и насчет зеркал с передней отражающей поверхностью. +1, только размер думаю не больше 3го, потому что 4ку сложно размещать с коффером, приходится изгибаться, смотреть что куда отодвигаеь (платок), и потом фокусироваться в зеркало...большие в общем то и не нужны, потому что видимое рабочее поле при большом увеличении сводится к размерам коронки зуба... как-то так... Ссылка на комментарий
Magdalena Опубликовано 8 февраля, 2012 Автор Поделиться Опубликовано 8 февраля, 2012 а... еще, возможно проблема в том, что на больших увеличениях (у нас макс 12х) глубина резкости очень маленькая. то есть вы настраиваетесь на определенную глубину или точку канала, а все что до или после этой "точки" +- пару мм будет выглядеть размытым. это нормально, так и должно быть.Спасибо Снежана Именно так и есть, не знала как точно выразить словами.)) Буду приспосабливаться) Ссылка на комментарий
Рекомендуемые сообщения
Для публикации сообщений создайте учётную запись или авторизуйтесь
Вы должны быть пользователем, чтобы оставить комментарий
Создать аккаунт
Зарегистрируйте новый аккаунт в нашем сообществе. Это очень просто!
Регистрация нового пользователяВойти
Уже есть аккаунт? Войти в систему.
Войти