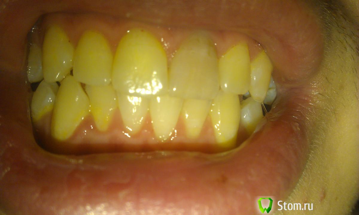
RusikG077 Опубликовано 21 января, 2012 Поделиться Опубликовано 21 января, 2012 Здравствуйте!Меня зовут Руслан и у меня такая проблема.Недавно на меня напали двое гопников я отбился у них ниче не вышло.Но все равно пару ударов пропустил в нос и по переднему верхнему резцу!сразу после драки пришел домой обнаружил что десна над коронкой зуба немного кровоточит и зуб шатается(с не значительной болью) т.к я занимался контактным спортом и примерно тоже самое у меня могло быть после неудачного спаринга, на это я не обрати внимание и подумал,что укрепится!но прошло две недели а он все шатался! Пошел к стоматологу тот сказал сделать ренген,после того как я принес к нему ренген сказал что у меня перелом корня и что зуб надо удалять и ставить имплант!я был в шоке!Но просто так не сдался я пошел к другому врачу она вызвала у меня значительно больше доверия!Посмотрев на снимок она сказала,что перелома нет!Но надо удалять нерв,и пломбировать,т.к он у меня начал не значительно темнеть и реагировать на холодное очень резко!Но ладно с удалением это я еще переживу,но почему он у меня до сих пор шатается? он же должен укрепится! высылаю ренген снимок и фотографию больного зуба! Ощущения:Обычные,зуб особо не беспокоит,могу им кусать и не болит,болит только когда случайно потревожу(и то не сильно),ощущается лишь небольшой дискомфорт,зуб дает знать что,что-то не так!Почему он шатается так долго?почему не укрепляется?можно ли его вылечить без удаления нерва? Ссылка на комментарий
RusikG077 Опубликовано 21 января, 2012 Автор Поделиться Опубликовано 21 января, 2012 (изменено) http://img13.imageshost.ru/img/2012/01/21/image_4f1ae48ad524f.jpgвот сам ренген снимок! Изменено 21 января, 2012 пользователем RusikG077 Ссылка на комментарий
Afffinity Опубликовано 21 января, 2012 Поделиться Опубликовано 21 января, 2012 Без удаления нерва нельзя. Судя по тому, что описываете, нерв погиб, пал смертью храбрыхПосле удаления нерва зуб нужно зашинировать(это делает доктор) имхо на месяц примерно. За это время зуб должен укрепиться Ссылка на комментарий
DmitrySH Опубликовано 21 января, 2012 Поделиться Опубликовано 21 января, 2012 По данной теме есть хороший ресурс Dentaltraumaguide.org Я бы рекомендовал провести шинирование и наблюдать за состоянием зуба. Нерв пока что не трогать. Изменение цвета может быть обусловлено кровоизлиянием в пульпе, но не обязательно сопровождается гибелью последней. При отсутвии жалоб - рентген контроль связки зуба через 3,6,12,24 месяца Ссылка на комментарий
samsonov Опубликовано 21 января, 2012 Поделиться Опубликовано 21 января, 2012 Good site . Как насчёт ЭОД ? Ссылка на комментарий
DmitrySH Опубликовано 21 января, 2012 Поделиться Опубликовано 21 января, 2012 Эод можно, но доверять как основной диагностической процедуре - не стал бы. Все субъективно Ссылка на комментарий
samsonov Опубликовано 21 января, 2012 Поделиться Опубликовано 21 января, 2012 Но динамику изменения показателей я бы проследил,если она будет,конечно... Ссылка на комментарий
adamoc Опубликовано 22 января, 2012 Поделиться Опубликовано 22 января, 2012 Но динамику изменения показателей я бы проследил,если она будет,конечно...+1 да да да)) Ссылка на комментарий
RusikG077 Опубликовано 22 января, 2012 Автор Поделиться Опубликовано 22 января, 2012 (изменено) Спасибо всем за столь оперативный ответ!Но у меня еще один вопрос почем зуб стал менять цвет и реагировать на холодное лишь спустя две недели? Изменено 22 января, 2012 пользователем RusikG077 Ссылка на комментарий
samsonov Опубликовано 22 января, 2012 Поделиться Опубликовано 22 января, 2012 Если зуб темнеет,скорее всего, это проявление некроза (динамика разная), реакция на холод может быть у соседних зубов. Ссылка на комментарий
RusikG077 Опубликовано 22 января, 2012 Автор Поделиться Опубликовано 22 января, 2012 И еще мне кажется что десна над больным зубом немного приподнялась! Ссылка на комментарий
Scrabble Опубликовано 22 января, 2012 Поделиться Опубликовано 22 января, 2012 (изменено) Закономерно. Рецессия пародонта(окружающих зуб тканей) Сохранится теперь навсегда. Плюс у Вас перелом межальвеолярный между центральными резцами, шинировать надо обязательно. Обратитесь к стационарным хирургам, а не просто в частную. Изменено 22 января, 2012 пользователем Scrabble Ссылка на комментарий
ah1lless Опубликовано 22 января, 2012 Поделиться Опубликовано 22 января, 2012 Хай парниш. Я не стоматолог, но у меня была похожая ситуация в 16 лет. Получил мощный удар ногой по зубу, он потом болел, но не кровоточил и чуть чуть пошатывался. Несколько недель чувствовал что с ним-что не так, но не болел. В стоматологию по поводу него не обращался, и вот уже лет 5 живу, и славу богу не беспокоит... Хз может он умер? Вроде не чернеет и не разваливается... тьфу тьфу тьфу! Ссылка на комментарий
Scrabble Опубликовано 22 января, 2012 Поделиться Опубликовано 22 января, 2012 ah1lless, пациенты не учат пациентов. У всех разные ситуации. Ссылка на комментарий
RusikG077 Опубликовано 22 января, 2012 Автор Поделиться Опубликовано 22 января, 2012 Закономерно. Рецессия пародонта(окружающих зуб тканей) Сохранится теперь навсегда. Плюс у Вас перелом межальвеолярный между центральными резцами, шинировать надо обязательно. Обратитесь к стационарным хирургам, а не просто в частную.Ухты!вы заметили то, чего не заметили 5 докторов! Признателен вам!сам на снимок посмотрел и действительно трещину заметил!а рецессия пародонта не полезет ли дальше?так то пусть раз уж навсегда!строение моей челюсти таково, что при разговоре больше нижние зубы видно нежели верхние!И как вы думаете удалять ли нерв?ведь, если не удалять может киста полезть, с другой стороны если удалить то зуб уже станет хрупким и будет требовать постоянного внимания и ухода! Ссылка на комментарий
Scrabble Опубликовано 22 января, 2012 Поделиться Опубликовано 22 января, 2012 Сначала шинируйте, проверяйте витальность (холодовой тест, снимки через 3-6-12 месяцев после травмы). Депульпировать не поздно при условии обозначенных по срокам проверок. Живой зуб прослужит намного дольше, Ваша задача обеспечить ему выживание. Ссылка на комментарий
RusikG077 Опубликовано 22 января, 2012 Автор Поделиться Опубликовано 22 января, 2012 Сначала шинируйте, проверяйте витальность (холодовой тест, снимки через 3-6-12 месяцев после травмы). Депульпировать не поздно при условии обозначенных по срокам проверок. Живой зуб прослужит намного дольше, Ваша задача обеспечить ему выживание.Спасибо вам!еще один вопрос: рецессия пародонта не полезет ли дальше? Ссылка на комментарий
Scrabble Опубликовано 22 января, 2012 Поделиться Опубликовано 22 января, 2012 Вполне возможно. Когда с зубом разберётесь-можно будет сделать пластику десны в этой области. Это не проблема. Главное сейчас-зуб. Ссылка на комментарий
RusikG077 Опубликовано 22 января, 2012 Автор Поделиться Опубликовано 22 января, 2012 (изменено) Вполне возможно. Когда с зубом разберётесь-можно будет сделать пластику десны в этой области. Это не проблема. Главное сейчас-зуб.При много вам благодарен! С полученными знаниями буду учить местных стоматологов! И не дам им свои зубы на растерзания! К сожалению город маленький и для врачей перспектив тут мало те кто с умом отсюда уезжают,а людям приходится обращаться к тем кто остался! В день когда я первый раз обратился к стоматологу,он мне сказал,что у меня перелом корня зуба и зуб надо удалять и вставлять имплант! (а у входа в его клинику столько разных сертификатов с его именем)!Теперь я достаточно осведомлен и не позволю навредить себе,когда есть шанс,что все может быть хорошо!Никому кроме меня мое здоровье не нужно! Спасибо вам еще раз!Рад,что вы заглянули в мою темку! Изменено 22 января, 2012 пользователем RusikG077 Ссылка на комментарий
Scrabble Опубликовано 23 января, 2012 Поделиться Опубликовано 23 января, 2012 Хочу добавить, что реакция на холодное могла появится как результат рецессии (реагирует обнажённый и не прикрытый эмалью участок корня). Реакция только во время действия раздражителя говорит о витальности зуба, скорее. Ссылка на комментарий
RusikG077 Опубликовано 23 января, 2012 Автор Поделиться Опубликовано 23 января, 2012 Кстати,резкая реакция на холодное прошла!осталась та реакция как у обычных здоровых зобов!приставил к зубу кусочек льда-реагирует! буду молиться!чтоб все было хорошо! Ссылка на комментарий
samsonov Опубликовано 23 января, 2012 Поделиться Опубликовано 23 января, 2012 везёт,Удачи в дальнейшем! Ссылка на комментарий
RusikG077 Опубликовано 23 января, 2012 Автор Поделиться Опубликовано 23 января, 2012 (изменено) везёт,Удачи в дальнейшем!Спасибо! Но повезло бы лучше,если бы вообще не попал в такую ситуацию! Вот есть люди ,которым не имется,ничего не добились,только себе и мне проблем доставили! Изменено 23 января, 2012 пользователем RusikG077 Ссылка на комментарий
RusikG077 Опубликовано 23 января, 2012 Автор Поделиться Опубликовано 23 января, 2012 Но цвет до сих пор темнее других! Но темнее не становится (вроде бы)!но я так понимаю зуб свой цвет не восстановит? Ссылка на комментарий
Scrabble Опубликовано 23 января, 2012 Поделиться Опубликовано 23 января, 2012 Цвет не изменится. Потом винир или коронку сделаете. Ссылка на комментарий
Рекомендуемые сообщения
Для публикации сообщений создайте учётную запись или авторизуйтесь
Вы должны быть пользователем, чтобы оставить комментарий
Создать аккаунт
Зарегистрируйте новый аккаунт в нашем сообществе. Это очень просто!
Регистрация нового пользователяВойти
Уже есть аккаунт? Войти в систему.
Войти