доквика Опубликовано 30 марта, 2015 Поделиться Опубликовано 30 марта, 2015 Жена принимает по 15 детей в день. С коффером, бубном и прочими радостями. Как она успевает за раб. день принять 15 детей? Да еще с коффером и бубном? Если это лечение,а не exstr молочныхзубов,то нереально.]5-6 детей принимаешь и сильно устаешь,больше для врача тяжело,качество будет не то. Такая нагрузка для героев! Молодец! Ссылка на комментарий
Shaid Опубликовано 1 апреля, 2015 Поделиться Опубликовано 1 апреля, 2015 С коффердамом как раз расходуется меньше сил, энергии) Ссылка на комментарий
DmitrySH Опубликовано 1 апреля, 2015 Поделиться Опубликовано 1 апреля, 2015 (изменено) Я детей достаточно редко лечу. но неоднократно замечал, что если надеть коффер и дать ребенку зеркало, то большинству интересно наблюдать. Сидят, смотрят и не дергаются. 15 вполне реально, при условии что без криков и сложных зубов. Но такого не бывает ))) Изменено 1 апреля, 2015 пользователем dmitrySH 2 Ссылка на комментарий
M@estro Опубликовано 3 апреля, 2015 Поделиться Опубликовано 3 апреля, 2015 (изменено) Как она успевает за раб. день принять 15 детей? Да еще с коффером и бубном? Если это лечение,а не exstr молочныхзубов,то нереально.]5-6 детей принимаешь и сильно устаешь,больше для врача тяжело,качество будет не то. Такая нагрузка для героев! Молодец! Она успевает. Она молодец ! Вот , доказательства : http://s018.radikal.ru/i504/1504/b3/7d3af1f11614.jpg http://s017.radikal.ru/i400/1504/61/c641d8bd285c.jpg Изменено 3 апреля, 2015 пользователем M@estro 9 Ссылка на комментарий
sydnik Опубликовано 3 апреля, 2015 Поделиться Опубликовано 3 апреля, 2015 ай да молодец какая!вижу вас объединила не только любовь друг к другу 2 Ссылка на комментарий
Джима Опубликовано 1 мая, 2015 Поделиться Опубликовано 1 мая, 2015 На прошлой неделе помогала терапевту нацепить коф на 3.8, с которого накануне срезали капюшон. Ни один кламп, грит, не налазит, в ветвь упираются. Она знала, кого спросить про непрорезавшиеся зубы http://www.dentaq.ru/components/com_jshopping/files/img_products/thumb_s3044.jpgASH BW, для молочных крупных моляров, у него очень узкая дуга. А восьмёрочка некрупная, как для восьмёрочки. Ветку он, конечно, подпёр, впритык встал. Ветку отдельно укололи, чтоб пац не плакала. 5 минут, вышла, страшно гордая собой 4 Ссылка на комментарий
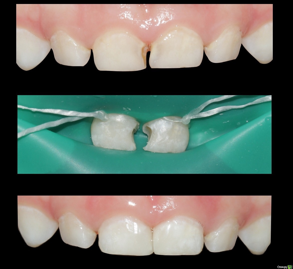
CRAZYDUCK Опубликовано 21 сентября, 2015 Поделиться Опубликовано 21 сентября, 2015 (изменено) http://s020.radikal.ru/i713/1509/6e/6af33d606cc5.jpgСпасибо большое коллегам за советы по коффердаму ( особенно Танюше!), работать с коффердамом просто классно !!!! удобно и быстро , детям он тоже нравится, доктора , не бойтесь его осваивать ! Здесь правда мальчик "большой"- 6 лет, но все же - кариес 5.5 ,пульпит 5.4, сначала кламп поставила KSK для 5.5 зуба , потом платок , потом рамку , фото не очень много, но мне неудобно без ассистента , еще фотоаппарат долго "думает" почему-то.( снимок RVG 5.4, 5.5 до лечения).P.S. Лечила этого мальчишку в конце февраля ( кариес 8.4 и пульпит 8.5), были эти кариозные полости ( на 5.5 и 5.4 зубах уже тогда), но так как у меня срок родов был в марте , работать уже было тяжело и запись была большая , отправила их к коллеге ( лично его не знаю , но отзывы хорошие были), вот полечили они у этого доктора эти кариесы в мае , а в сентябре пришлось перелечить... Изменено 21 сентября, 2015 пользователем CRAZYDUCK 4 Ссылка на комментарий
Джима Опубликовано 23 сентября, 2015 Поделиться Опубликовано 23 сентября, 2015 (изменено) Ксан, красотка отличные и фотка, и работакакой здесь платок, средний?я аж на работу захотела а доктор с отзывами, возможно, хороший, но не детский ? так бывает Изменено 23 сентября, 2015 пользователем Джима Ссылка на комментарий
CRAZYDUCK Опубликовано 23 сентября, 2015 Поделиться Опубликовано 23 сентября, 2015 Таня ,платок, наверное , вообще тонкий блоссом ( посмотрю когда буду на работе), я бы толстые хотела , но в магазинах не было , поэтому пока тонкие.Доктор детский , другие его пломбы хорошие ( по кариесу ), а эти не знаю ...думала может плохо сидел во время лечения , сказали спокойно сидел , этот пациент вообще классный такой . Короче -бывает .Насчет работы -все впереди , поспи пока ,отдохни дома и через месяц -другой вперед ,чистить кариесы , спасать детей когда планируешь выходить, Тань? Как до родов планировала ? А нам уже 6 месяцев Ссылка на комментарий
Джима Опубликовано 27 сентября, 2015 Поделиться Опубликовано 27 сентября, 2015 А нам уже 6 месяцев Время-то как летит. Начинай уже приданое собирать На работу да, как планировала. Если, Бог даст, ничего не изменится. Ссылка на комментарий
Екатерина Геранина Опубликовано 27 ноября, 2015 Поделиться Опубликовано 27 ноября, 2015 Возраст-не противопоказание ))) 3 года 2 Ссылка на комментарий
Джима Опубликовано 27 ноября, 2015 Поделиться Опубликовано 27 ноября, 2015 по-моему, на 5.1 лигатура съехала Ссылка на комментарий
Екатерина Геранина Опубликовано 27 ноября, 2015 Поделиться Опубликовано 27 ноября, 2015 по-моему, на 5.1 лигатура съехала Да, я увидела после фоторегистрации , приступив к работе. Затянула щадяще. Но потом все поправила Ссылка на комментарий
CRAZYDUCK Опубликовано 27 ноября, 2015 Поделиться Опубликовано 27 ноября, 2015 Катя , а клампов не видно , без них , только на лигатурах держится ? В 51 пульпа вскрылась ? Ссылка на комментарий
Екатерина Геранина Опубликовано 29 ноября, 2015 Поделиться Опубликовано 29 ноября, 2015 Катя , а клампов не видно , без них , только на лигатурах держится ? В 51 пульпа вскрылась ?Да, без клампов. Платок на рамку несильно натягивали, поэтому все хорошо держалось. Не вскрылись Ссылка на комментарий
CRAZYDUCK Опубликовано 29 ноября, 2015 Поделиться Опубликовано 29 ноября, 2015 А рамку ассистент все время придерживала? Я так пробовала , но тяжело было , казалось что упадет вот вот рамка с платком , правда я не подвязывала тогда , а клинами по аппроксималкам фиксировала. Ссылка на комментарий
Екатерина Геранина Опубликовано 30 ноября, 2015 Поделиться Опубликовано 30 ноября, 2015 А рамку ассистент все время придерживала? Я так пробовала , но тяжело было , казалось что упадет вот вот рамка с платком , правда я не подвязывала тогда , а клинами по аппроксималкам фиксировала. В этом случае особо и не придерживали. Но чаще, если такая ситуация -я клампы на боковые одеваю поверх платка (на 4-ки) Ссылка на комментарий
Рекомендуемые сообщения
Для публикации сообщений создайте учётную запись или авторизуйтесь
Вы должны быть пользователем, чтобы оставить комментарий
Создать аккаунт
Зарегистрируйте новый аккаунт в нашем сообществе. Это очень просто!
Регистрация нового пользователяВойти
Уже есть аккаунт? Войти в систему.
Войти