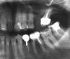
Несмеяна Опубликовано 3 февраля, 2010 Поделиться Опубликовано 3 февраля, 2010 Здравствуйте, уважаемые доктора. Буду признательна, если поможете мне в решении некоторых вопросов.По первому снимку:1) Верхняя пятерка и семерка слева слегка подвижны, имеют клиновидный дефект. Врач рекоменовал 5 - умертвить и сделать мост (5 и 7 под опору). Мотивируя тем, что мост укрепит 5 и 7 зуб - и уменьшит нагрузку. Ну и 3 дня назад удалил нерв из 5 зуба и запломбировал гуттаперчей.Позавчера порывшись в интернете обнаружила, что не следует делать мосты на подвижных зубах и мост только усилит нагрузку на них. 5 - жалко, но ничего не попишешь,дело сделано.Имплант пока поставить не могу, т.к. он подразумевает синус -лифтинг, а это все вместе дорого, а у меня по плану и так расходы на зубы грядут великие, в т.ч. имплантация зуба в нижнем ряду.Можно ли эти 2 зуба посадить под коронку и нужно ли делать вкладку? Стоит ли тянуть с имплантацией ( не рассосется ли кость совсем?) или дождаться пока пошатывающиеся зубы наконец выпадут, а потом сделать синус-лифтинг и пару имплантов?Посоветуйте, что мне с ними делать? 2) Можно ли поставить коронку на нижнюю шестерку в том состоянии как есть, или надо перелечивать и вкладку ставить? По второму снимку: 1) Можно ли на верхней шестерке (зуб резорциненный, не беспокоит более 15 лет) поменять коронку без прохождения каналов?2) Нужно ли на 2 верхний справа одевать коронку или можно закрыть его виниром?Он мертвый. Если коронку, то какую, чтобы не почернела у десны? И еще вопрос, не знаю только к трапевтам или к ортопедам, Эмаль передних зубов сильно стирается изнутри, зубы нарощены, но чувствительность на холод сильная. Что лучше в данном случае - коронки или виниры, и можно ли вообще винирами закрыть внутреннюю сторону зуба? Жалко их умертвлять подкоронки... Спасибо. Извините, что так много вопросов. Ссылка на комментарий
Несмеяна Опубликовано 4 февраля, 2010 Автор Поделиться Опубликовано 4 февраля, 2010 Жаль, нет желающих ответить. И на том спасибо. Ссылка на комментарий
oconnor Опубликовано 4 февраля, 2010 Поделиться Опубликовано 4 февраля, 2010 Вам ответят, когда будет возможность, проявите, пожалуйста, терпение. Ссылка на комментарий
Sir Edward'S Опубликовано 5 февраля, 2010 Поделиться Опубликовано 5 февраля, 2010 Жаль, нет желающих ответить. И на том спасибо. приложите панорамный снимок и фото ваших зубов Ссылка на комментарий
Андрей Опубликовано 5 февраля, 2010 Поделиться Опубликовано 5 февраля, 2010 Семерку слева надо не под мост брать, а удалять, как обе восьмерки. Не укладываетесь в синуслифтинг - сделайте на время съемную конструкцию. Потом ее замените на имплантаты.Все зубы с лечеными каналами надо переделать и покрыть коронками. Ссылка на комментарий
Несмеяна Опубликовано 5 февраля, 2010 Автор Поделиться Опубликовано 5 февраля, 2010 приложите панорамный снимок и фото ваших зубов Панорамный снимок прилагаю.Фото чуть позднее. Внешне все зубы залечены, разрушенных и гнилых нет - все под пломбами. Единственное, после удаления нижней четверки почему-то изменился прикус - коренные зубы плохо достают друг друга, вся нагрузка идет на передние - от этого уже второй раз за месяц приходится менять пломбу на двух единичках спереди. Семерку слева надо не под мост брать, а удалять, как обе восьмерки. Не укладываетесь в синуслифтинг - сделайте на время съемную конструкцию. Потом ее замените на имплантаты.Все зубы с лечеными каналами надо переделать и покрыть коронками. А зачем съемную конструкцию? Может до имплантации походить пока так или коронками накрыть? Все равно, наверное, 5 и7 под удаление. Имплантацию планирую через год-полтора. Ссылка на комментарий
Bier Опубликовано 5 февраля, 2010 Поделиться Опубликовано 5 февраля, 2010 съемную, чтобы было чем жевать, иначе и передние зубы потеряете. Ссылка на комментарий
Sir Edward'S Опубликовано 6 февраля, 2010 Поделиться Опубликовано 6 февраля, 2010 Здравствуйте, уважаемые доктора. Буду признательна, если поможете мне в решении некоторых вопросов.По первому снимку:1) Верхняя пятерка и семерка слева слегка подвижны, имеют клиновидный дефект. Врач рекоменовал 5 - умертвить и сделать мост (5 и 7 под опору). Мотивируя тем, что мост укрепит 5 и 7 зуб - и уменьшит нагрузку. Ну и 3 дня назад удалил нерв из 5 зуба и запломбировал гуттаперчей.Позавчера порывшись в интернете обнаружила, что не следует делать мосты на подвижных зубах и мост только усилит нагрузку на них. 5 - жалко, но ничего не попишешь,дело сделано.Имплант пока поставить не могу, т.к. он подразумевает синус -лифтинг, а это все вместе дорого, а у меня по плану и так расходы на зубы грядут великие, в т.ч. имплантация зуба в нижнем ряду.Можно ли эти 2 зуба посадить под коронку и нужно ли делать вкладку? Стоит ли тянуть с имплантацией ( не рассосется ли кость совсем?) или дождаться пока пошатывающиеся зубы наконец выпадут, а потом сделать синус-лифтинг и пару имплантов?Посоветуйте, что мне с ними делать? 2) Можно ли поставить коронку на нижнюю шестерку в том состоянии как есть, или надо перелечивать и вкладку ставить? По второму снимку: 1) Можно ли на верхней шестерке (зуб резорциненный, не беспокоит более 15 лет) поменять коронку без прохождения каналов?2) Нужно ли на 2 верхний справа одевать коронку или можно закрыть его виниром?Он мертвый. Если коронку, то какую, чтобы не почернела у десны? И еще вопрос, не знаю только к трапевтам или к ортопедам, Эмаль передних зубов сильно стирается изнутри, зубы нарощены, но чувствительность на холод сильная. Что лучше в данном случае - коронки или виниры, и можно ли вообще винирами закрыть внутреннюю сторону зуба? Жалко их умертвлять подкоронки... 1) чем дольше вы откладываете с удалением и имплантацией тем меньше останется костной тканитам уже имеется воспалительный процессмостовидный протез не стоит делать .он еще больше нагрузит подвижные зубы.лучше удалить и сделать сьемный протез с целью сохранения ваших передних зубов.2) конечно можно сделать все,но лучше перелечить зуб(каналы не запломбированы)изготовить культевую вкладку и покрыть зуб коронкой.коронку любую на ваш выбор.с передними зубами нужно заниматься только после решения всех проблем с жевательными зубами.можно закрыть винирами и сохранить их живыми Ссылка на комментарий
Несмеяна Опубликовано 8 февраля, 2010 Автор Поделиться Опубликовано 8 февраля, 2010 1) чем дольше вы откладываете с удалением и имплантацией тем меньше останется костной тканитам уже имеется воспалительный процессмостовидный протез не стоит делать .он еще больше нагрузит подвижные зубы.лучше удалить и сделать сьемный протез с целью сохранения ваших передних зубов.2) конечно можно сделать все,но лучше перелечить зуб(каналы не запломбированы)изготовить культевую вкладку и покрыть зуб коронкой.коронку любую на ваш выбор.с передними зубами нужно заниматься только после решения всех проблем с жевательными зубами.можно закрыть винирами и сохранить их живыми Спасибо большое. Ссылка на комментарий
Рекомендуемые сообщения
Для публикации сообщений создайте учётную запись или авторизуйтесь
Вы должны быть пользователем, чтобы оставить комментарий
Создать аккаунт
Зарегистрируйте новый аккаунт в нашем сообществе. Это очень просто!
Регистрация нового пользователяВойти
Уже есть аккаунт? Войти в систему.
Войти