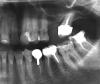
Несмеяна Опубликовано 3 февраля, 2010 Поделиться Опубликовано 3 февраля, 2010 Здравствуйте, уважаемые специалисты. Привожу в порядок рот. И возникли некоторые вопросы: Первый снимок: Как вы оцениваете состояние пломбирования нижней шестерки слева - я собираюсь ставить под нее коронку. Надо ли его перепломбировывать? Пломба там во весь зуб, стенки тонкие. Второй снимок: На верхней шестерке справа хочу поменять коронку (сейчас стоит штампованная и она сместилсь). Можно ли не проходить каналы - зуб резрциненный, не болит. Просто врач говорит проходить надо, но без гарантии, а цена вопроса минимум 15 тыр. Может лучше просто одеть кронку за 7 тыс. без той же гарантии и пусть стоит зубик? А потом когда-нибудь имплант? Скажите, как лучше поступить? И еще вопрос по поводу каналов - 2 сверху - надо перлечивать? Можно ли оставить зуб, наложив винир или лучше убрать под коронку. Какую коронку лучше поставить на передний зуб, чтоб не чернела десна?И еще подскажите, 3 - снизу - нормально залечен, стоит ли его тоже заново лечить? Может еще у меня есть какие-то проблемы, которые заметны по снимку и требуют срочного решения?Заранее благодарна Ссылка на комментарий
Polikarp Опубликовано 3 февраля, 2010 Поделиться Опубликовано 3 февраля, 2010 (изменено) Здравствуйте, уважаемые специалисты. Привожу в порядок рот. И возникли некоторые вопросы: Первый снимок: Как вы оцениваете состояние пломбирования нижней шестерки слева - я собираюсь ставить под нее коронку. Надо ли его перепломбировывать? Пломба там во весь зуб, стенки тонкие. Второй снимок: На верхней шестерке справа хочу поменять коронку (сейчас стоит штампованная и она сместилсь). Можно ли не проходить каналы - зуб резрциненный, не болит. Просто врач говорит проходить надо, но без гарантии, а цена вопроса минимум 15 тыр. Может лучше просто одеть кронку за 7 тыс. без той же гарантии и пусть стоит зубик? А потом когда-нибудь имплант? Скажите, как лучше поступить? И еще вопрос по поводу каналов - 2 сверху - надо перлечивать? Можно ли оставить зуб, наложив винир или лучше убрать под коронку. Какую коронку лучше поставить на передний зуб, чтоб не чернела десна?И еще подскажите, 3 - снизу - нормально залечен, стоит ли его тоже заново лечить? Может еще у меня есть какие-то проблемы, которые заметны по снимку и требуют срочного решения?Заранее благодарнаОбратите внимание на пришеечную область нижней 6-ки,не изменена ли она в цвете? Изменено 3 февраля, 2010 пользователем Polikarp Ссылка на комментарий
Vareнька Опубликовано 3 февраля, 2010 Поделиться Опубликовано 3 февраля, 2010 Здравствуйте, уважаемые специалисты. Привожу в порядок рот. И возникли некоторые вопросы:.... Перед покрытием коронками , рекомендую перелечить корневые каналы во всех указанных Вами зубах. Отсутствие боли еще не указывает на то, что там нет проблемы. Ссылка на комментарий
Андрей Опубликовано 3 февраля, 2010 Поделиться Опубликовано 3 февраля, 2010 Советую перелечить все каналы. Ссылка на комментарий
Русик Романтик Опубликовано 3 февраля, 2010 Поделиться Опубликовано 3 февраля, 2010 Советую перелечить все каналы.и незабудьте подлечить нижнюю восьмерку,судя по снимку она не в отличном сост. Ссылка на комментарий
Polikarp Опубликовано 3 февраля, 2010 Поделиться Опубликовано 3 февраля, 2010 нижнюю шестерку немногие возьмутся переделывать,а если возьмутся-то без гарантии,т.к. скорее всего это резорцин-формалин без гуттаперчи,распломбировать будет очень сложно,на корнях все в порядке,но если полезть в него и не доделать до конца,последствия могут быть самыми разными.За такой зуб возьмется или классный эндодонт с большим кол-вом времени,или энтузиаст стоматологии. Самое забавное,что если бы доктор в каналы 36 зуба вставил-бы хотябы по 1 гуттаперчевому штифту 25 размера,все доктора исключили-бы зуб из списка на "перелечивание" Ренальд в чем-то прав по поводу красивых картинок Ссылка на комментарий
Dr. Surkin Опубликовано 3 февраля, 2010 Поделиться Опубликовано 3 февраля, 2010 (изменено) и незабудьте подлечить нижнюю восьмерку,судя по снимку она не в отличном сост. Левые восмерки как нижнюю, а равно и верхнюю (наверное семерку) надо удалять. Слева сверху - синус лифт и имплантация. Изменено 3 февраля, 2010 пользователем Dr. Surkin Ссылка на комментарий
annda Опубликовано 4 февраля, 2010 Поделиться Опубликовано 4 февраля, 2010 нижнюю шестерку немногие возьмутся переделывать,а если возьмутся-то без гарантии,т.к. скорее всего это резорцин-формалин без гуттаперчи,распломбировать будет очень сложно,на корнях все в порядке,но если полезть в него и не доделать до конца,последствия могут быть самыми разными.За такой зуб возьмется или классный эндодонт с большим кол-вом времени,или энтузиаст стоматологии. Самое забавное,что если бы доктор в каналы 36 зуба вставил-бы хотябы по 1 гуттаперчевому штифту 25 размера,все доктора исключили-бы зуб из списка на "перелечивание" Ренальд в чем-то прав по поводу красивых картинок Причём тут картинки.Я лично под протезирование(вкладки,коронки) даже свои красивые картинки из-под пломб перелечиваю,а чужие даже не обсуждаю,легче отказаться. Ссылка на комментарий
Fred Опубликовано 4 февраля, 2010 Поделиться Опубликовано 4 февраля, 2010 Причём тут картинки.Я лично под протезирование(вкладки,коронки) даже свои красивые картинки из-под пломб перелечиваю,а чужие даже не обсуждаю,легче отказаться. Во до чего кризис довел, уже и свои красивые картинки переукрашиваем Ссылка на комментарий
Несмеяна Опубликовано 4 февраля, 2010 Автор Поделиться Опубликовано 4 февраля, 2010 (изменено) Обратите внимание на пришеечную область нижней 6-ки,не изменена ли она в цвете?Пришеечная область немного почернела - совсем близко у десны. Левые восмерки как нижнюю, а равно и верхнюю (наверное семерку) надо удалять. Слева сверху - синус лифт и имплантация.Я так и собираюсь поступить, но чуть позже . Через 2 месяца мне предстоит имплантация внизу четверки. Сейчас в поиске врача. нижнюю шестерку немногие возьмутся переделывать,а если возьмутся-то без гарантии,т.к. скорее всего это резорцин-формалин без гуттаперчи,распломбировать будет очень сложно,на корнях все в порядке,но если полезть в него и не доделать до конца,последствия могут быть самыми разными.За такой зуб возьмется или классный эндодонт с большим кол-вом времени,или энтузиаст стоматологии. Правильно я поняла, можно попробывать его закрыть коронкой, как есть, но только гарантии не будет. А если зуб поведет себя неправильно, то вырывать? Изменено 4 февраля, 2010 пользователем Несмеяна Ссылка на комментарий
Polikarp Опубликовано 4 февраля, 2010 Поделиться Опубликовано 4 февраля, 2010 Мое мнение по поводу нижней шестерки-аккуратно удаляем анкер,т.к. около его основания мне не нравится структура зуба,далее стекловолоконный штифт вместо анкера и непрямая композитная вкладка-оверлей(с перекрытием всей поверхности).Категорически лично мое видение.Многие со мной не согласятся. Ссылка на комментарий
Dr. Surkin Опубликовано 4 февраля, 2010 Поделиться Опубликовано 4 февраля, 2010 (изменено) Мое мнение по поводу нижней шестерки-аккуратно удаляем анкер,т.к. около его основания мне не нравится структура зуба,далее стекловолоконный штифт вместо анкера и непрямая композитная вкладка-оверлей(с перекрытием всей поверхности).Категорически лично мое видение.Многие со мной не согласятся. каким образом Вы предлагаете сочетать стекловолоконный штифт и накладку оверлей? в оверлее будет дырочка под штифт?Нарисуйте схемку... пациентке: удалять вверху 7(8) надо как можно раньше, чтобы там все хорошо зажило перед синуслифтом и не было проблем при отслаивании слизистой гайморовой - а это по срокам 4-6 месяцев. Изменено 4 февраля, 2010 пользователем Dr. Surkin Ссылка на комментарий
Polikarp Опубликовано 4 февраля, 2010 Поделиться Опубликовано 4 февраля, 2010 каким образом Вы предлагаете сочетать стекловолоконный штифт и накладку оверлей? в оверлее будет дырочка под штифт?Нарисуйте схемку... Ставится СВШ,фиксируется,коронковая часть СВШ покрываается композитом с расчетом на посадку вкладки.Дальше слепок и по плану. Ссылка на комментарий
stom7402 Опубликовано 4 февраля, 2010 Поделиться Опубликовано 4 февраля, 2010 Ставится СВШ,фиксируется,коронковая часть СВШ покрываается композитом с расчетом на посадку вкладки.Дальше слепок и по плану.добрый вечер,Поликарп рзъясните пожалуйста -штифт будет весь закрыт композитом в коронковой части или будет переходить в оверлэй,что-то уж больно мудрёно как-то выходит,и из какого материала будет Ваш оверлэй? мне кажется есть более простые варианты... Ссылка на комментарий
Polikarp Опубликовано 4 февраля, 2010 Поделиться Опубликовано 4 февраля, 2010 добрый вечер,Поликарп рзъясните пожалуйста -штифт будет весь закрыт композитом в коронковой части или будет переходить в оверлэй,что-то уж больно мудрёно как-то выходит,и из какого материала будет Ваш оверлэй? мне кажется есть более простые варианты... чтож тут мудреного? Я,например,фиксирую СВШ на Харизму ППФ,её зачастую оказывается с избытком,как раз лишнее пойдет на то,чтобы "облепить" СВШ на столько,чтобы вкладка свободно "села" после изготовления. вкладку можно из любого композита делать.Предпочтительнее пакуемые,типа солитера. Ссылка на комментарий
Андрей Опубликовано 4 февраля, 2010 Поделиться Опубликовано 4 февраля, 2010 Перелечите Вы этот зуб и не терзайте себя мыслями, что будет,если он под коронкой заболит. Ссылка на комментарий
Dr. Surkin Опубликовано 5 февраля, 2010 Поделиться Опубликовано 5 февраля, 2010 Перелечите Вы этот зуб и не терзайте себя мыслями, что будет,если он под коронкой заболит. А потом культевая вкладка и коронка. Ссылка на комментарий
Несмеяна Опубликовано 5 февраля, 2010 Автор Поделиться Опубликовано 5 февраля, 2010 А потом культевая вкладка и коронка. Огромное спасибо - буду перелечивать. Перелечите Вы этот зуб и не терзайте себя мыслями, что будет,если он под коронкой заболит. Спасибо, так и сделаю. Заболит - поставлю имплант. Ссылка на комментарий
Несмеяна Опубликовано 5 февраля, 2010 Автор Поделиться Опубликовано 5 февраля, 2010 Левые восмерки как нижнюю, а равно и верхнюю (наверное семерку) надо удалять. Слева сверху - синус лифт и имплантация. Скажите пожалуйста, поскольку мне сейчас депульпировали и верхнюю левую пятерку, то как лучше поступить - удалить и ее тоже вместе с семеркой? Можно ли тогда вмсто 5,6,7 зубов поставить не три а два ипланта?И еще - синус-лифтинг делается сразу после удаления зубов или вместе с удалением или значительно позже? Ссылка на комментарий
Dr. Surkin Опубликовано 5 февраля, 2010 Поделиться Опубликовано 5 февраля, 2010 Скажите пожалуйста, поскольку мне сейчас депульпировали и верхнюю левую пятерку, то как лучше поступить - удалить и ее тоже вместе с семеркой? Можно ли тогда вмсто 5,6,7 зубов поставить не три а два ипланта?И еще - синус-лифтинг делается сразу после удаления зубов или вместе с удалением или значительно позже? а чего вдруг пятерку депульпировали? по снимку она вроде как целая была?и почему Вы решили вдруг, что надо удалять её? Она подвижна сильно? Надо посмотреть как каналы запломбировали в 5-ке (нужен рентген снимок) и если она устойчива и каналы хорошо запломбированы, то коронка на нее и пусть стоит. Синус лифт делают через 4-6 месяцев после удаления зубов, корни которых близко прилегают к пазухе или выходят в неё. Я бы ждал 6 месяцев в Вашем случае. Я вижу этот процесс так: После удаления лунка заживает, костная ткань перестраивается и слизистая оболочка пазухи может сильно "прикипать" к области удаления. Кроме того, при удалении зуба вполне возможен разрыв слизистой пазухи, так что будет нужно время на её заживление. По поводу моста из трех единиц, но на двух имплантатах: принцип имплантации - один утерянный зуб = 1 имплантат. иногда даже некоторые доктора рекомендуют 1 корень 1 имплантат,так что не стоит делать мост, тем более, что внизу все зубы на месте и будут давать нагрузку в полном объеме. Ссылка на комментарий
Polikarp Опубликовано 5 февраля, 2010 Поделиться Опубликовано 5 февраля, 2010 Пришеечная область немного почернела - совсем близко у десны.именно почернела?Не посинела или пофиолетовела? Ссылка на комментарий
Рекомендуемые сообщения
Для публикации сообщений создайте учётную запись или авторизуйтесь
Вы должны быть пользователем, чтобы оставить комментарий
Создать аккаунт
Зарегистрируйте новый аккаунт в нашем сообществе. Это очень просто!
Регистрация нового пользователяВойти
Уже есть аккаунт? Войти в систему.
Войти