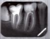
Didi Опубликовано 16 ноября, 2009 Поделиться Опубликовано 16 ноября, 2009 (изменено) Здравствуйте, скажите пожалуйста глядя на этот снимокhttp://piccy.info/ru/view/7c13ef3253b002df...c7427/original/Насколько мудро будет перепломбировать каналы во всех этих зубах если они запломбированы пастой ФОРЕДЕНТ (на основе резорцина-формальдегида)? Насколько сложна распломбировка маляров если с момента пломбировки прошло два с половиной года? Вреден ли формальдегид когда он выходит за апикальную полость или же когда он заканчивается у устья тоже по организму может распространятся? Какое его количество теоретически попадает в организм в граммах в данной ситуации? Продолжается ли его распространение спустя время или он выходит постепенно, а в апикальной полость (над каналом) его уже не содержится? И ещё, правда ли то что пасты на основе резорцина-формалина увеличивают хрупкость зуба, настолько что потом его нельзя использовать как опору? (читал в одной статейке) Просьба каждому написать своё мнение и рекомендацию относительно вопроса... Изменено 16 ноября, 2009 пользователем Didi Ссылка на комментарий
Fred Опубликовано 16 ноября, 2009 Поделиться Опубликовано 16 ноября, 2009 Здравствуйте, скажите пожалуйста глядя на этот снимокhttp://piccy.info/ru/view/7c13ef3253b002df...c7427/original/Насколько мудро будет перепломбировать каналы во всех этих зубах если они запломбированы пастой ФОРЕДЕНТ (на основе резорцина-формальдегида)? Насколько сложна распломбировка маляров если с момента пломбировки прошло два с половиной года? Вреден ли формальдегид когда он выходит за апикальную полость или же когда он заканчивается у устья тоже по организму может распространятся? Какое его количество теоретически попадает в организм в граммах в данной ситуации? Продолжается ли его распространение спустя время или он выходит постепенно, а в апикальной полость (над каналом) его уже не содержится? И ещё, правда ли то что пасты на основе резорцина-формалина увеличивают хрупкость зуба, настолько что потом его нельзя использовать как опору? (читал в одной статейке)Просьба каждому написать своё мнение и рекомендацию относительно вопроса... К сожалению, по панорамке оценить все зубы достаточно сложно, но одноканальные зубы пломбированы вполне адекватно. Нужно было бы видеть не только фотографию, но и оценить консистенцию вещества воочию. Формальдегид (ФА), к сожалению, вреден, выходит он постоянно, но в очень малых количествах. Я когда-то считал, что всего в зуб может поместиться около 10-20 мг любого вещества. Вот представьте, даже если это все вещество было бы ФА, то это был бы теоретический максимум выделения за всю жизнь. Выделяется ФА из затвердевшего материала где-то около нескольки процентов, да и далеко не весь канал забит только ФА выделяющим веществом, там немало добавок есть ... Получается около десятков микрограмм за всю жизнь. Для сравнения, с одной сигаретой, чашкой кофе, банкой пива или кока-колы получаете около миллиграмма. Говорят, что зуб становится более хрупким, по-моему, это субъективные наблюдения, во всяком случае, исследований я не знаю. Как опору использовать зуб можно, если он еще пригоден для протезирования. Фотографии верхних моляров хотелось бы получить на "маленьких" снимках. Ссылка на комментарий
Didi Опубликовано 17 ноября, 2009 Автор Поделиться Опубликовано 17 ноября, 2009 (изменено) Выделяется ФА из затвердевшего материала где-то около нескольки процентов, да и далеко не весь канал забит только ФА выделяющим веществом, там немало добавок есть ... Получается около десятков микрограмм за всю жизнь.Благодарю - успокоили. Консистенция не известнаВот состав :порошок - оксид цинка, сульфат бария, параформальдегид жидкость А - глицерин, формальдегид солутум, aqua purificata жидкость Б - резорцин оксид гидрохлорид, глицерин, aqua purificata Как считаете лучше маляры пере пломбировать чтоб проблем потом не было? Фотографии верхних моляров хотелось бы получить на "маленьких" снимках.Сделаю, скину, может завтра.Может ещё в каких зубах сделать пристрелочные снимки? Изменено 17 ноября, 2009 пользователем Didi Ссылка на комментарий
Fred Опубликовано 17 ноября, 2009 Поделиться Опубликовано 17 ноября, 2009 Благодарю - успокоили. Консистенция не известнаВот состав :порошок - оксид цинка, сульфат бария, параформальдегид жидкость А - глицерин, формальдегид солутум, aqua purificata жидкость Б - резорцин оксид гидрохлорид, глицерин, aqua purificata Как считаете лучше маляры пере пломбировать чтоб проблем потом не было?Сделаю, скину, может завтра.Может ещё в каких зубах сделать пристрелочные снимки?Идеально было бы по всем зубам с пломбированными каналами стрельнуть. На маленьких снимках все видно значительно четче. Ссылка на комментарий
Didi Опубликовано 17 ноября, 2009 Автор Поделиться Опубликовано 17 ноября, 2009 Идеально было бы по всем зубам с пломбированными каналами стрельнуть. На маленьких снимках все видно значительно четче.Ну резцы тут и так нужно перепломбировать тк они окрашены, 7-ку т.к. в ней этот материал рассасывается что видно по снимку. Остаются только вверху 3 моляра под вопросом.Я слышал что этот материал рассасывается, что вызывает риск появления гранулём. Окрашивает зуб, вызывает увеличение его хрупкости, содержит концироген, оказывает влияет на нервную систему. Ну и ещё кучу всего не хорошего!Отсюда и вопрос - просто интересно послушать мнение разных докторов чтоб окончательно определиться. Вобще собираемся переделывать всё. Ссылка на комментарий
Fred Опубликовано 17 ноября, 2009 Поделиться Опубликовано 17 ноября, 2009 Ну резцы тут и так нужно перепломбировать тк они окрашены, 7-ку т.к. в ней этот материал рассасывается что видно по снимку. Остаются только вверху 3 моляра под вопросом.Я слышал что этот материал рассасывается, что вызывает риск появления гранулём. Окрашивает зуб, вызывает увеличение его хрупкости, содержит концироген, оказывает влияет на нервную систему. Ну и ещё кучу всего не хорошего!Отсюда и вопрос - просто интересно послушать мнение разных докторов чтоб окончательно определиться. Вобще собираемся переделывать всё. Мой Вам совет, про свойства материалов спрашивайте у химиков, биохимиков, фармакологов, но никак не у стоматологов. Последние в этом ничего не смыслят. Ссылка на комментарий
Didi Опубликовано 19 ноября, 2009 Автор Поделиться Опубликовано 19 ноября, 2009 Здравствуйте, вот снимкиЭтот был сделан весной примерно: А эти сегодня:http://i.piccy.info/i4/a0/2d/ca422fdae050973dbb800b1a2bae.jpeghttp://i.piccy.info/i4/90/fd/2d91053ef2069f9c2d834fc3d3d8.jpegСудя по снимку 7-ки, можно ли считать что материал в канале рассасывается? Мой Вам совет, про свойства материалов спрашивайте у химиков, биохимиков, фармакологов, но никак не у стоматологов. Последние в этом ничего не смыслят.Жалко, но мне всё же интересно что бы они порекомендовали делать с зубами запломбированым этой пастой к красяще-рассасывающимися свойствами Ссылка на комментарий
Fred Опубликовано 19 ноября, 2009 Поделиться Опубликовано 19 ноября, 2009 Здравствуйте, вот снимкиЭтот был сделан весной примерно: Судя по снимку 7-ки, можно ли считать что материал в канале рассасывается?Жалко, но мне всё же интересно что бы они порекомендовали делать с зубами запломбированым этой пастой к красяще-рассасывающимися свойствами Сначала просто спрошу, какие из зубов планируют протезировать?Если снимки покажете типичному эндодонтологу, гарантия, что будет "перелечивать" или пробовать "перелечить" все. Особенно после того, как узнает, что там резорцинформалин. И еще, скажите, когда который из этих зубов пломбирован, и были ли когда-н боли, флюсы у этих зубов после последней пломбировки каналов? Ссылка на комментарий
Didi Опубликовано 20 ноября, 2009 Автор Поделиться Опубликовано 20 ноября, 2009 (изменено) Сначала просто спрошу, какие из зубов планируют протезировать?А те что доктор скажет, те и планируются - он то лучше знает.Но конечно хотелось бы отделаться одними композитами по возможности, хотя в 7-ке там только Радлинский наверное сможет помочь в спасении от ортопеда, больше никто. Если снимки покажете типичному эндодонтологу, гарантия, что будет "перелечивать"Это из маркетинговых соображений или медицинских? были ли когда-н боли, флюсы у этих зубов после последней пломбировки каналов?Нет, все боли прекращались быстро, и кроме их внешнего вида, эстетики и дальнейшей судьбы ничего не беспокоит. Зубы пломбировались 2 с половиной года назад. Изменено 20 ноября, 2009 пользователем Didi Ссылка на комментарий
Fred Опубликовано 21 ноября, 2009 Поделиться Опубликовано 21 ноября, 2009 А те что доктор скажет, те и планируются - он то лучше знает.Но конечно хотелось бы отделаться одними композитами по возможности, хотя в 7-ке там только Радлинский наверное сможет помочь в спасении от ортопеда, больше никто.Это из маркетинговых соображений или медицинских?Нет, все боли прекращались быстро, и кроме их внешнего вида, эстетики и дальнейшей судьбы ничего не беспокоит. Зубы пломбировались 2 с половиной года назад. Верхнюю шестерку я лично перелечивал бы точно, наверняка, попробовал бы и пятерку ... С нижними не все так однозначно. Семерку, наверняка, оставил бы, шестерку, если под пломбу, тоже оставил бы. Соображения у эндодонтологов непонятные, они должны видеть фотографию с красиво запломбированными каналами, остальное им маловажно. Отчасти, конечно же, это маркетинг. Я и сам этим страдаю, когда пациента присылают другие врачи на "улучшение пломбирования каналов". Медицинские соображения, конечно же, у эндодонтологов есть, но порою они весьма смутные. Если будете много вдаваться и спорить, они просто откажут в приеме Ссылка на комментарий
Didi Опубликовано 22 ноября, 2009 Автор Поделиться Опубликовано 22 ноября, 2009 (изменено) Верхнюю шестерку я лично перелечивал бы точно, наверняка, попробовал бы и пятерку ...Там вверху две шестёрки, вы их обе имеете ввиду?А можете сказать из каких соображений их по кашему надо перепломбировать, исходя из снимков? или это вы советуете только из за того что паршивый материал?Внизу семёрку в которой видно как паста начинает рассасываться не нужно перепломбировывать? Вобще после удаления 8-ки это всё равно придётся делать т.к. пломба во время удаления выпадет. Здесь вас не понять 6-ку запломбировали гуттаперчей мне недавно, одна врач которая не знает чем витальная ампутация от прямого покрытия отличатся, считая это одним и тем же. Вобщем жалею что к ней пошол Изменено 22 ноября, 2009 пользователем Didi Ссылка на комментарий
stom7402 Опубликовано 25 ноября, 2009 Поделиться Опубликовано 25 ноября, 2009 Здравствуйте, скажите пожалуйста глядя на этот снимокhttp://piccy.info/ru/view/7c13ef3253b002df...c7427/original/Насколько мудро будет перепломбировать каналы во всех этих зубах если они запломбированы пастой ФОРЕДЕНТ (на основе резорцина-формальдегида)? Насколько сложна распломбировка маляров если с момента пломбировки прошло два с половиной года? Вреден ли формальдегид когда он выходит за апикальную полость или же когда он заканчивается у устья тоже по организму может распространятся? Какое его количество теоретически попадает в организм в граммах в данной ситуации? Продолжается ли его распространение спустя время или он выходит постепенно, а в апикальной полость (над каналом) его уже не содержится? И ещё, правда ли то что пасты на основе резорцина-формалина увеличивают хрупкость зуба, настолько что потом его нельзя использовать как опору? (читал в одной статейке)Просьба каждому написать своё мнение и рекомендацию относительно вопроса... Что касаемо химизма,то Fred всё разъяснил(лучше,врядли,кто владеет вопросом).Если говорить о лечении,то многое зависит от того,что Вас беспокоит объективно.На мой взгляд,основная проблема в наличии множества зубов,восстановленных пломбами после эндо.Если есть объективные проблемы с появлением трещин,сколов,воспаления дёсен,застревания пищи и.т.д ,и,как следствие, планируется протезирование,то 1-ревизия и оценка состояния материала непосредственно в зубах,2-перелечивание там,где будет возможно технически.Если же пломбы на коронки менять не собираетесь-наблюдение с рг раз в полгода(хотя к некоторым зубам есть вопросы и хотелось бы снимков в разных проекциях). Ссылка на комментарий
Didi Опубликовано 29 ноября, 2009 Автор Поделиться Опубликовано 29 ноября, 2009 (изменено) хотя к некоторым зубам есть вопросы и хотелось бы снимков в разных проекцияхВ каких именно и как их сделать? Что там можно будет увидеть? Изменено 29 ноября, 2009 пользователем Didi Ссылка на комментарий
stom7402 Опубликовано 29 ноября, 2009 Поделиться Опубликовано 29 ноября, 2009 В каких именно и как их пойти сфотать? Что там можно увидеть такого?16,26- с разведением щёчных корней.46,47-сразведением каналов в мезиальном корне,чтобы увидеть каждый канал без наслоения друг на друга. Ссылка на комментарий
Didi Опубликовано 4 февраля, 2010 Автор Поделиться Опубликовано 4 февраля, 2010 (изменено) Здравствуйте опять, визиограф нормальный нигде в городе до сих пор не нашёл, а все лаборанты разводят руками когда прошу их сделать снимок подобного типа. Возможно ещё кого-то найду в других городах... Побывал в отделении челюстно-лицевой хирургии куда меня направил мой стоматолог по вопросу вытекания материала за апикальную полость, там мне сказали что у меня киста в левой пазухе:http://i.piccy.info/i4/d6/3b/f4aece2354ea2fd6d16dbc0b9e3d.jpegСейчас направили на томографию черепа. Скажите пожалуйста:1. Из за чего она вероятней всего возникла, с учётом того что зуб пломбировался ФОРЕДЕНТОМ 2,5 - 3 года назад?2. Если корни находятся в гайморовых пазухах то где тогда находиться дентальный нерв? (Если не сложно нарисуйте на моём снимке или дайте ссылку на картинку пожалуйста)3. Если предположить что она возникла из за цитотоксических свойств препарата, то могло бы случиться то же самое еслиб например каналы были запломбированы гуттаперчей?4. Есть ли какие-то особые инструкции у стоматологов на счёт зубов с корнями в пазухах, которые нужно применять, или нету? Изменено 4 февраля, 2010 пользователем Didi Ссылка на комментарий
Didi Опубликовано 6 февраля, 2010 Автор Поделиться Опубликовано 6 февраля, 2010 (изменено) 5. Возможно ли удалить кисту не делая резекцию корня а просто предварительно перепломбировать канал по человечески, закрыв верхушку минералом-триоксидом-агрегатом, а удаление потом производить непосредственно через устье в носу?6. Какие существуют альтернативные щадящие методы помимо удаления через нос? Изменено 6 февраля, 2010 пользователем Didi Ссылка на комментарий
Fred Опубликовано 6 февраля, 2010 Поделиться Опубликовано 6 февраля, 2010 (изменено) 5. Возможно ли удалить кисту не делая резекцию корня а просто предварительно перепломбировать канал по человечески, закрыв верхушку минералом-триоксидом-агрегатом, а удаление потом производить непосредственно через устье в носу?6. Какие существуют альтернативные щадящие методы помимо удаления через нос? Если причиной кисты является зуб, она "рассосется" сама, ничего делать не нужно. Если нет, что бывает значительно реже, лечение зуба не повлияет на кисту, и ее может приЙтись удалять хирургически. Изменено 6 февраля, 2010 пользователем Fred Ссылка на комментарий
Didi Опубликовано 6 февраля, 2010 Автор Поделиться Опубликовано 6 февраля, 2010 (изменено) Если причиной кисты является зуб, она "рассосется" сама, ничего делать не нужноВы имели ввиду что если удалить из каналов этот токсичный материал и заменить его на нормальный биосовместимый то киста прилегающая к корню рассосётся?А что часто такое бывает? Изменено 6 февраля, 2010 пользователем Didi Ссылка на комментарий
Fred Опубликовано 6 февраля, 2010 Поделиться Опубликовано 6 февраля, 2010 Вы имели ввиду что если удалить из каналов этот токсичный материал и заменить его на нормальный биосовместимый то киста прилегающая к корню рассосётся?А что часто такое бывает? Не материал удалить, а удалить из корней инфекцию. Материал может быть заменен на такой же, при условии, что каналы будут хорошо очищены. Рассасывается или уменьшается практически всегда, если "киста" является причиной инфекции в корневых каналах. Логика исключительно проста - нет инфекции, нет и "кисты". Если же с зубом не связана, как уже писал, ничего не изменится. Меняйте не материал, просто прочищайте каналы более качественно. Ссылка на комментарий
Didi Опубликовано 7 февраля, 2010 Автор Поделиться Опубликовано 7 февраля, 2010 (изменено) Материал может быть заменен на такой же, при условии, что каналы будут хорошо очищены.Вы предлагаете вычистить каналы от резорцина-формалина чтоб опять его туда запихать? Ну спасибо. Да, будем прочищать. Скажите, а кисту через канал зуба возможно отсасать? Изменено 7 февраля, 2010 пользователем Didi Ссылка на комментарий
Fred Опубликовано 7 февраля, 2010 Поделиться Опубликовано 7 февраля, 2010 Вы предлагаете вычистить каналы от резорцина-формалина чтоб опять его туда запихать? Ну спасибо. Да, будем прочищать. Скажите, а кисту через канал зуба возможно отсасать? Я предлагаю каналы вычистить от микроогранизмов, не от резорцинформалина. Пихать потом можно практически любой материал, если его запихать качественно, проблем не будет. Технически отсосать можно, если это по-настоящему киста, а не гранулема. По снимку отличить кисту от гранулемы практически невозможно. Но в данном действие особого смысла нет, если канал не вычистить, отсасывание уменьшит кисту на время, потом она опять возобновиться. Если же в канале будет чисто, "отсосет" кисту сам организм. Если это гранулема, отсасывать как и нечего ... Ссылка на комментарий
Didi Опубликовано 7 февраля, 2010 Автор Поделиться Опубликовано 7 февраля, 2010 ух понятно, спасибо Отсасывание вы имели ввиду через канал зуба?А возможно как-то заранее определить что это гранулёма или киста? Ссылка на комментарий
Fred Опубликовано 7 февраля, 2010 Поделиться Опубликовано 7 февраля, 2010 (изменено) ух понятно, спасибо Отсасывание вы имели ввиду через канал зуба?А возможно как-то заранее определить что это гранулёма или киста? Предлагаю все-таки забыть об отсасывании ... Если отсасывать, то через канал.Возможно определить по гистологическому исследованию или при помощи эхоскопии с "допплером". Изменено 7 февраля, 2010 пользователем Fred Ссылка на комментарий
Didi Опубликовано 9 февраля, 2010 Автор Поделиться Опубликовано 9 февраля, 2010 Предлагаю все-таки забыть об отсасывании ... Если отсасывать, то через каналПо моему это явное противоречие - забыв отсосать через канал?Но спасибо за полезную инфу. Ссылка на комментарий
Fred Опубликовано 9 февраля, 2010 Поделиться Опубликовано 9 февраля, 2010 По моему это явное противоречие - забыв отсосать через канал?Но спасибо за полезную инфу. Забыть о том, что технически такое возможно. Это не даст долгосрочных положительных результатов. Ссылка на комментарий
Рекомендуемые сообщения
Для публикации сообщений создайте учётную запись или авторизуйтесь
Вы должны быть пользователем, чтобы оставить комментарий
Создать аккаунт
Зарегистрируйте новый аккаунт в нашем сообществе. Это очень просто!
Регистрация нового пользователяВойти
Уже есть аккаунт? Войти в систему.
Войти