CRAZYDUCK Опубликовано 20 апреля, 2016 Поделиться Опубликовано 20 апреля, 2016 Яна ,я только Вектор ТАСС , хорошо работают , но опыта не много .Другие даже не пробовала ,думаю попробую ,цена у ТАСС высокая действительно . Ссылка на комментарий
Caries Опубликовано 26 апреля, 2016 Поделиться Опубликовано 26 апреля, 2016 Пользовался и AbsoAnchor, и VectorTAS, и бюджетными конметовскими. Цена 800-1200. Причина - решил сделать доступными для пациента. Плюс - выбор по длине, толщине, высоте трансгингивальной части; ЦЕНА(за набор из отвертки, бора для кортикалки, трех переходников для отвертки и трех для физиодиспенсера, бокса для стерилизации из матового металла - меньше 15000); нормальный набор прибамбасов. Минус - неудобный слот в винте для его установки четырехгранной формы, отсутствие угловой отвертки, отсутствие в ассортименте имплантатотов в обратной резьбой(левозакручивающихся), как у AbsoAnchor; нет выбора форм головок. Не рекламы ради, а в качестве инфы об альтернативе. Кручу сам: мануально либо на физиодиспенсере. Мои осложнения: 1) прорезание кортикальной пластинки конметовским микроимплантатом у пациентки старше 45 лет с плохой гигиеной, курящей+гепатит В. Трижды перекручивал (другие производители бы справились????)2) отлом головки винта VectorTAS, установленного в ретромолярной области на НЧ, при дистализации моляров. Выпиливали из кости остаток микроимплантата3) установка микроимплантата при оочоень рыхлой слизистой. Такой рыхлой, что у пациентки 29 лет было сложно определить границу прикрепленной и подвижной слизистой оболочки. Первичная стабильность хорошая, ничего не произошло еще "криминального". Однако, переживаю. В этом случае крутил хирург, ибо клиника другая. 6 Ссылка на комментарий
CRAZYDUCK Опубликовано 26 апреля, 2016 Поделиться Опубликовано 26 апреля, 2016 Не рекламы ради,.Спасибо большое ! Ссылка на комментарий
Kazankov.Egor Опубликовано 3 января, 2017 Поделиться Опубликовано 3 января, 2017 Пользовался и AbsoAnchor, и VectorTAS, и бюджетными конметовскими. Цена 800-1200. Причина - решил сделать доступными для пациента. Плюс - выбор по длине, толщине, высоте трансгингивальной части; ЦЕНА(за набор из отвертки, бора для кортикалки, трех переходников для отвертки и трех для физиодиспенсера, бокса для стерилизации из матового металла - меньше 15000); нормальный набор прибамбасов. Минус - неудобный слот в винте для его установки четырехгранной формы, отсутствие угловой отвертки, отсутствие в ассортименте имплантатотов в обратной резьбой(левозакручивающихся), как у AbsoAnchor; нет выбора форм головок. Не рекламы ради, а в качестве инфы об альтернативе. Кручу сам: мануально либо на физиодиспенсере. Мои осложнения: 1) прорезание кортикальной пластинки конметовским микроимплантатом у пациентки старше 45 лет с плохой гигиеной, курящей+гепатит В. Трижды перекручивал (другие производители бы справились????)2) отлом головки винта VectorTAS, установленного в ретромолярной области на НЧ, при дистализации моляров. Выпиливали из кости остаток микроимплантата3) установка микроимплантата при оочоень рыхлой слизистой. Такой рыхлой, что у пациентки 29 лет было сложно определить границу прикрепленной и подвижной слизистой оболочки. Первичная стабильность хорошая, ничего не произошло еще "криминального". Однако, переживаю. В этом случае крутил хирург, ибо клиника другая.Какой торк и скорость выставляете при работе с AbsoAnchor на физиодиспенсере? Ссылка на комментарий
KoroNa Опубликовано 27 января, 2017 Поделиться Опубликовано 27 января, 2017 AbsoAnchor подскажите диллеров, плиз! Ссылка на комментарий
Kazankov.Egor Опубликовано 28 января, 2017 Поделиться Опубликовано 28 января, 2017 Известные мне не имеют действующих сертификатов, предлагают крутить на свой страх и риск. (Относительно закона) Ссылка на комментарий
KoroNa Опубликовано 2 февраля, 2017 Поделиться Опубликовано 2 февраля, 2017 Известные мне не имеют действующих сертификатов, предлагают крутить на свой страх и риск. (Относительно закона) ну хоть "относительно закона" . Дайте координаты, плииз AbsoAnchor ! Ссылка на комментарий
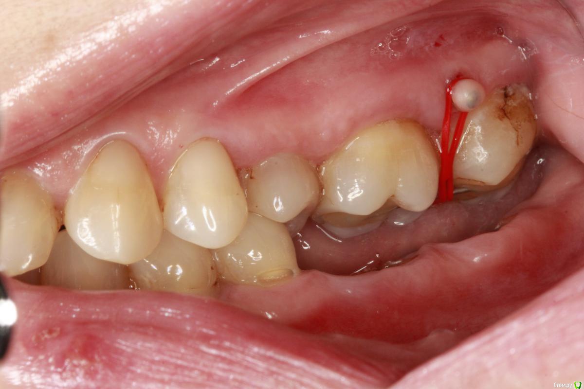
KoroNa Опубликовано 6 мая, 2017 Поделиться Опубликовано 6 мая, 2017 (изменено) У пациента отсутствует 37. Большая скученность фронта н/ч вплоть до премоляров слева. Отсутствует 1 резец, поэтому говорить об удалении зуба чтобы исправить скученное положение зубов не идет. Тонкий фенотип. Хотим дистализировать 3.7, а вслед за ним премоляры. Подскажите лучше это на МИ сделать или же имплант поставить на место 3.6 и за него возможно потянуть? Изменено 6 мая, 2017 пользователем KoroNa Ссылка на комментарий
Yana guapa Опубликовано 7 мая, 2017 Поделиться Опубликовано 7 мая, 2017 (изменено) Подскажите лучше это на МИ сделать или же имплант поставить на место 3.6 и за него возможно потянуть?это решать только Вам (Вы лучше знаете клиническую картину) Винты поставленные в бакл шелф справляются с дистализацией зубного ряда на ура. можете поставить такой винт, к нему сразу начать дистализовать премоляры , а от премоляров дать пружину для апрайта 3.7. (два в одном получите) к премолрам лучше крючок поставить (чтобы вектор тяги шел на уровне центра сопротивления) Изменено 7 мая, 2017 пользователем Yana guapa Ссылка на комментарий
KoroNa Опубликовано 7 мая, 2017 Поделиться Опубликовано 7 мая, 2017 Яна спасибо за вашу оперативную помощь! Завидую вам по доброму, что вы посетили курс по лечению 3го класса) Пока винты Патрисии у нас не сертифицированы вы что крутите?Я ошибку сделала...Нет 37, есть 36.У нас делема. Я предлагаю сразу поставить имплант на место 37 с запасом на дистализация 36,35,34 и за него потом тянуть/ дистализировать. Хирург боится, что имплант выпадет. Поэтому напрашиваются вопросы:1.Могу ли я начать дистализацию на ранних этапах, на мягких дугах дабы не спровоцировать огромнейшую протрузия фронта?2. Не выпадет ли имплант?Или все же Ми лучше?Фото чуть позже скину. Не в городе.... И еще вопрос не по теме. На в/ч почти нет зубов. Планируется большая имплантация. Я буду работать только с низом. Сейчас отправила к ортопеду на изготовление временного сьемного протеза. Мне ТРГ же с протезом делать или без, но без него будут большие погрешности с высотой лица и положение суставных головок из за отсутствия зубов на в/ч Ссылка на комментарий
Yana guapa Опубликовано 7 мая, 2017 Поделиться Опубликовано 7 мая, 2017 Завидую вам по доброму, что вы посетили курс по лечению 3го класса) Пока винты Патрисии у нас не сертифицированы вы что крутите?В видео-роликах Крис Чанга все основные принципы изложены. Винты взяла у Патрисии на семинаре. Я ошибку сделала...Нет 37, есть 36.У нас делема. Я предлагаю сразу поставить имплант на место 37 с запасом на дистализация 36,35,34 и за него потом тянуть/ дистализировать.Имплант не выпадет. НО ....Я думаю, это очень самоуверенно "ставить с запасом ..." . Что Вы будете делать, когда у вас контакты получатся "ни два ни полтора" ?? Я думаю ни хирург ни ортопед Вам спасибо не скажут... Мое мнение - имплант надо ставить когда работа закончена, все контакты приведены в порядок и ортопед дал добро(я уже пару раз так делала - "на глазок", в итоге коронка то крошечная, то огромная, .... и это моя вина, а не ортопеда или хирурга, лучше не допускать таких ошибок) 1.Могу ли я начать дистализацию на ранних этапах, на мягких дугах дабы не спровоцировать огромнейшую протрузия Или все же Ми лучше?Фото чуть позже скину. Не в городе....И еще вопрос не по теме. На в/ч почти нет зубов. Планируется большая имплантация. Я буду работать только с низом. Сейчас отправила к ортопеду на изготовление временного сьемного протеза. Мне ТРГ же с протезом делать или без, но без него будут большие погрешности с высотой лица и положение суставных головок из за отсутствия зубов на в/ч по мне - МИ удобнее, дешевле и ответственности меньше.Если нет МИ с длинной рабочей частью - возьмите обычные винты и поставьте их между премолярами (как анкораж для премоляров), а от премоляров дайте пружину на 3.6. http://i12.pixs.ru/storage/6/7/4/IMG49242JP_7062181_26112674.jpg типа такого принцип 1 Ссылка на комментарий
Bier Опубликовано 10 мая, 2017 Поделиться Опубликовано 10 мая, 2017 Имплант не выпадет. НО ....Я думаю, это очень самоуверенно "ставить с запасом ..." . Что Вы будете делать, когда у вас контакты получатся "ни два ни полтора" ?? Я думаю ни хирург ни ортопед Вам спасибо не скажут... Мое мнение - имплант надо ставить когда работа закончена, все контакты приведены в порядок и ортопед дал добро так надо ставить имплантаты по шаблону, а шаблон по сетапу предварительному. И конечно имплантаты нужно ставить не после, а во время ортодонтического лечения. Ссылка на комментарий
Yana guapa Опубликовано 12 мая, 2017 Поделиться Опубликовано 12 мая, 2017 так надо ставить имплантаты по шаблону, а шаблон по сетапу предварительному. И конечно имплантаты нужно ставить не после, а во время имплантологического лечения.имплантологического или ортодонтического Вы имели ввиду? Ссылка на комментарий
KoroNa Опубликовано 15 мая, 2017 Поделиться Опубликовано 15 мая, 2017 Яна, спасибо!!! Ссылка на комментарий
an_ver Опубликовано 9 июня, 2017 Поделиться Опубликовано 9 июня, 2017 (изменено) На корейских винтах. Сперва поднял,потом удалил низ,корни,вр.коронки,постоянные.46-47 касались ниж.десны.Активация-1 раз в неделю Изменено 9 июня, 2017 пользователем an_ver 1 Ссылка на комментарий
an_ver Опубликовано 9 июня, 2017 Поделиться Опубликовано 9 июня, 2017 так надо ставить имплантаты по шаблону, а шаблон по сетапу предварительному. И конечно имплантаты нужно ставить не после, а во время имплантологического лечения.Вот как хирург и ортопед))) я согласен с Олегом...но ортодонтическое начало))) все таки....у меня перебороло)))...импланты то конечно надо ставить по шаблону...НО...после интрузии и выверки все контактов только протезировать...спешить то некуда)) 1 Ссылка на комментарий
Bier Опубликовано 9 июня, 2017 Поделиться Опубликовано 9 июня, 2017 имплантологического или ортодонтического Вы имели ввиду? ортодонтического конечно Ссылка на комментарий
Bier Опубликовано 9 июня, 2017 Поделиться Опубликовано 9 июня, 2017 Вот как хирург и ортопед))) я согласен с Олегом...но ортодонтическое начало))) все таки....у меня перебороло)))...импланты то конечно надо ставить по шаблону...НО...после интрузии и выверки все контактов только протезировать...спешить то некуда))постоянное протезирование конечно после окончания ортодонтического лечения.У взрослых пациентов с большим количеством удаленных зубов всегда начинаются проблемы с анкоражем, в результате ортодонтическое лечение превращается в кошмар для ортодонта. Поставленные в правильные позиции, по предварительному сетапу имплантаты позволяют использовать их в ортодонтическом лечении. Они дают абсолютную опору, что решает проблемы с анкоражем. 1 Ссылка на комментарий
an_ver Опубликовано 10 июня, 2017 Поделиться Опубликовано 10 июня, 2017 постоянное протезирование конечно после окончания ортодонтического лечения.У взрослых пациентов с большим количеством удаленных зубов всегда начинаются проблемы с анкоражем, в результате ортодонтическое лечение превращается в кошмар для ортодонта. Поставленные в правильные позиции, по предварительному сетапу имплантаты позволяют использовать их в ортодонтическом лечении. Они дают абсолютную опору, что решает проблемы с анкоражем.Согласен.Но абсолютную опору нужно поставить так,чтоб потом не было мучительно больно)) ортопеду(((...к сожалению не всегда это удается сразу, чаще всего все таки используются орто винты,....как часто у тебя,Олег, этап имплантации первый? У меня не часто...в% 90 всегда орто,а потом на этапе уже имплантация. Ссылка на комментарий
Yana guapa Опубликовано 10 июня, 2017 Поделиться Опубликовано 10 июня, 2017 Согласен.Но абсолютную опору нужно поставить так,чтоб потом не было мучительно больно)) ортопеду(((...к сожалению не всегда это удается сразу, чаще всего все таки используются орто винты,....как часто у тебя,Олег, этап имплантации первый? У меня не часто...в% 90 всегда орто,а потом на этапе уже имплантация. такого же мнения.просто я в своих силах на 100 проц не уверена, и бывают проблемы в конце лечения. я создаю их и себе и ортопеду и технику. Поэтому и порекомендовала перестраховаться - лучше на МИ Ссылка на комментарий
Bier Опубликовано 11 июня, 2017 Поделиться Опубликовано 11 июня, 2017 Согласен.Но абсолютную опору нужно поставить так,чтоб потом не было мучительно больно)) ортопеду(((...к сожалению не всегда это удается сразу, чаще всего все таки используются орто винты,....как часто у тебя,Олег, этап имплантации первый? У меня не часто...в% 90 всегда орто,а потом на этапе уже имплантация. Если есть возможность поставить имплантаты сразу, мы ставим.Кто из ортодонтов делает сетап, начнем с этого ) 1 Ссылка на комментарий
Kazankov.Egor Опубликовано 7 июля, 2017 Поделиться Опубликовано 7 июля, 2017 Посоветуйте МИ с длинной (объемной) супраструктурой: повально затягиваются слизистой. Что делаю не так? Ссылка на комментарий
Opdihatop Опубликовано 8 июля, 2017 Поделиться Опубликовано 8 июля, 2017 Biomaterials или Bio Ray Ссылка на комментарий
KoroNa Опубликовано 6 ноября, 2017 Поделиться Опубликовано 6 ноября, 2017 Впервые хочу начать работу на МИ. страшновто, но ужасно хочется.нужно интрудировать 26 и 27одновременно, подскажите, пожалуйста нюансы....понимаю, что не совсем корректно без фото и снимков. хочу 2 винта небно и 1 вестибулярно, на сколько оправдано использование всего 3х МИ? спасибо. Ссылка на комментарий
Рекомендуемые сообщения
Для публикации сообщений создайте учётную запись или авторизуйтесь
Вы должны быть пользователем, чтобы оставить комментарий
Создать аккаунт
Зарегистрируйте новый аккаунт в нашем сообществе. Это очень просто!
Регистрация нового пользователяВойти
Уже есть аккаунт? Войти в систему.
Войти