Перейти к содержанию
Стоматология для всех

Помогите определиться с цветом коронок e max


АннаМАК

Рекомендуемые сообщения

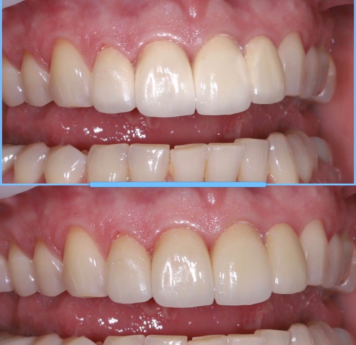
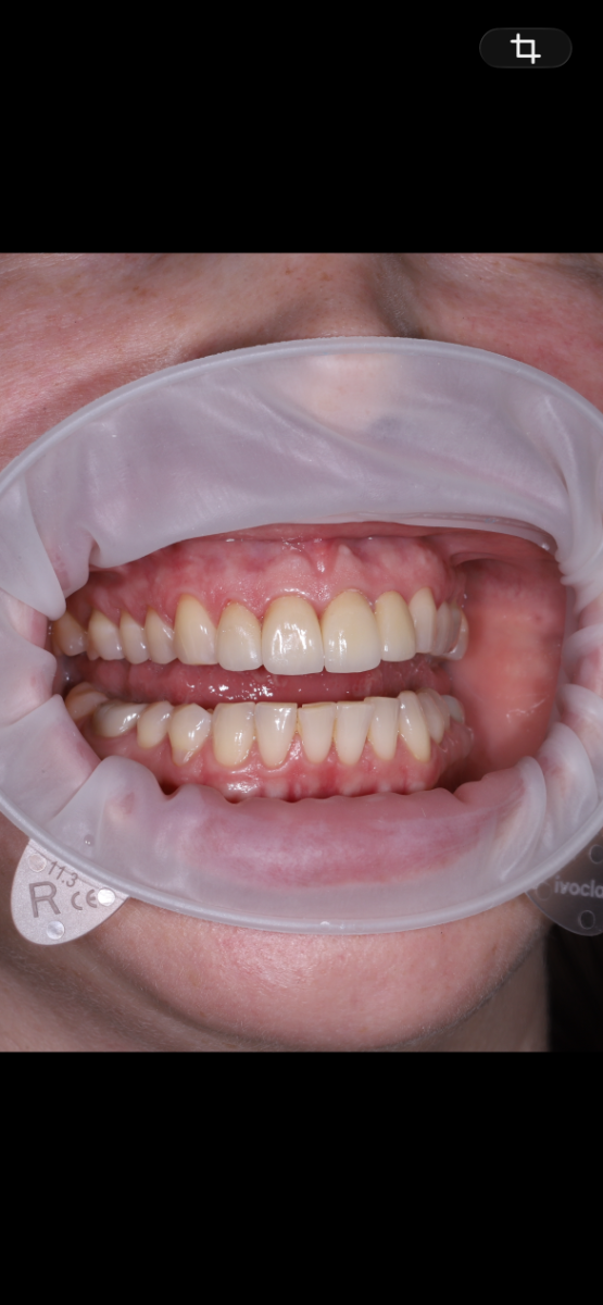
Всем здравствуйте 🤝 Прошу помощи у специалистов и просто обывателей определиться с цветом своих будущих зубов. Тема для меня очень  болезненная так как у меня с 2009 года уже стояли реставрации на этих же зубах и тоже керамика, цвет тогда выбрали не под цвет своих Зубов, он оказался светлее ( А1) а мои зубы скорее А2. В силу возраста не стала выяснять отношения с доктором, но все последующие годы пыталась отбеливать соседние зубы 🤦‍♀️ В 2023 году ребенок головой выбил мне одну двойку и я заменила её на диоксид циркония , в прошлом году на единичке появилась трещина которая со временем поползла на весь зуб, настало время менять все реставрации. В этот раз я решила прям докопаться до цвета, чтобы меня все устраивало и нравилось, чтобы это было очень гармонично и натурально. Вообщем снесли мне все пожившие реставрации и изготовили новые. Сначала сделали совсем светлые, потом затонировали прям четко под цвет А2  . Теперь у меня другая проблема, я вижу желтизну, такая желтизна которая отличается от цвета моих зубов, мои зубы мне кажутся более кремовые. Врач и зуботехник не видят этого, говорят, что все отлично вписывается в общую картину и переделывать на что-то другое, только портить. Я не решилась на установку и объяснить не могу что поправить чтобы стало так…  Мне ещё кажется, что пришеечная часть у зубов сильно затонирована более желтая,  тогда как противоположные зубы на нижней челюсти не имеют такого градиента,я это воспринимаю как будто это не чищенные зубы в налете.  Говорю давайте уберем желтизну, мне говорят они будут сильно белые, сделать на пол тона светлее мне тоже сказали нельзя так как нет такого понятия на пол тона, как определить эти пол тона….  Сфотала себя на фронтальную камеру телефона без вспышки в условиях кабинета, получилось вообще Атас, как будто извините за мой французский , лошадь с желтыми зубами🤦‍♀️  Я это четко вижу и развидеть не могу… доктор говорит, что так нельзя оценивать. На их профессиональный фотоаппарат конечно совсем другое дело, все очень даже ничего, фото отправили зуботехнику он как и врач не понимает что тут не так и что нужно сделать чтобы стало так, вообщем с доктором они единогласно за то чтобы ничего не менять. Пошел второй месяц  моих походов в стоматологию, я уже сама запуталась в этих цветах и сомнениях. Предыдущие реставрации хоть и были светлее моих родных Зубов но улыбку освежали как то,  а теперь мне подавай и посветлее и чтобы со своим зубами бились🤦‍♀️ Я понимаю, что встроить идеально  только 4 зуба не просто, что нужно тогда работать над всей зоной улыбки, но я категорически не планирую пилить остальные зубы под виниры) ситуация для меня сложная,  может быть  я как-то придираюсь сильно или  как-то не так воспринимаю цвет и себя с данным цветом) Помогите пожалуйста определиться ) Заранее благодарю каждого за уделенное внимание) Фото прилагаю: с последней примерки, также добавлю фото на фронтальную камеру телефона не совсем удачный ракурс но тут ярко видно эту желтизну, как мне кажется. и фото предыдущих моих реставраций (как раз я занималась переделкой двойки, там стоит временная серая конструкция). Понимаю, что везде разное освещение, не совсем понимаю при каких условиях верно оценивать результат. 
IMG_1489.png.5ec2fbb3e4f81dcce0a23574c73d6942.pngIMG_1490.png.70bb914f0d5901f2ec75679d1a2d8d29.pngIMG_1491.png.ab609eee93c33e19a5f00c5df6e93aa2.pngIMG_1492.png.2c1b4c52170df3e9bb7af74594233297.pngIMG_1493.png.fdbd68f2b5846a94c1fa49288044de7d.pngIMG_1495.png.f196d2ec876c15a280acbd46e702f913.png

Изменено пользователем АннаМАК
Добавила теги
Ссылка на комментарий

Выглядят чуть темнее остальных зубов, в норме клыки должны быть темнее резцов. Оценивать нужно не по фото, а смотреть на себя в зеркало при разном освещении. В кабинете при белом свете, в коридоре/туалете при более теплом свете и при уличном дневном освещении.  Если убрать желтизну, то зубы станут белее, иногда можно скомпенсировать оттенок за счёт цемента, на который фиксируется винир, как бы добавить теплоты изнутри, а не снаружи. Работа хорошая, если сравнивать с предыдущим вариантом. Но объем немного другой, старые были более плоскими.

Ссылка на комментарий

Благодарю за внимание к моей проблеме) может быть как раз излишнее выпирание в верхней части зуба и некий  градиент от светлого к более «темному» создает такой эффект более темных зубов, может быть их поплоще нужно делать IMG_1509.jpeg.535560e35197470ccb72259d12154c85.jpeg

Я скачала фотошоп 🤦‍♀️ и на нем слегка  убрала переход цвета, эта маленькая деталь меняет многое.  На мой взгляд  не профессиональный , стало лучше . Мне нравится без такого перехода, чтобы было более однородно. Жалко конечно, что нельзя эти реставрации фиксировать на временный цемент, в условиях кабинета всего этого так быстро не разглядишь) это последний раз сделали фото и я хоть на это смотрю и пытаюсь понять, что мне просить у своего доктора, чтобы не тратить попусту его рабочее время.IMG_1508.jpeg.444ab66a95e266195cbf96f3315defed.jpeg

Можно ли такие фото размышления направить доктору?

Изменено пользователем АннаМАК
Добавила описание
Ссылка на комментарий

Для публикации сообщений создайте учётную запись или авторизуйтесь

Вы должны быть пользователем, чтобы оставить комментарий

Создать аккаунт

Зарегистрируйте новый аккаунт в нашем сообществе. Это очень просто!

Регистрация нового пользователя

Войти

Уже есть аккаунт? Войти в систему.

Войти
×
×
  • Создать...
Вверх