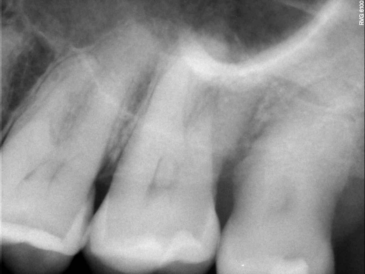
Игель Опубликовано 27 апреля Поделиться Опубликовано 27 апреля Добрый день. Верхние 6-7-8 слева. Больно жевать, ночью была пульсирующая боль. Десна воспалена. Сходила к врачу. Рентген прикладываю. Врач сказала нет пульпита. Идти к Лору на предмет гайморита или все же дело в зубах? Отчего может так болеть? Раньше никогда не было пульпита. 53 года, регулярно посещаю стоматолога Ссылка на комментарий
red_butler Опубликовано 1 мая Поделиться Опубликовано 1 мая Здравствуйте, нужен очный осмотр, мне не нравиться Ваш зуб мудрости, скорее всего причина в нём Ссылка на комментарий
Рекомендуемые сообщения
Для публикации сообщений создайте учётную запись или авторизуйтесь
Вы должны быть пользователем, чтобы оставить комментарий
Создать аккаунт
Зарегистрируйте новый аккаунт в нашем сообществе. Это очень просто!
Регистрация нового пользователяВойти
Уже есть аккаунт? Войти в систему.
Войти