Перейти к содержанию
Стоматология для всех

коррекция трёх уздечек у ребенка 7 лет


Chelovek2012

Рекомендуемые сообщения

Ребенок 7 лет. Визуально - передний зуб выступает немного вперед. Между передними зубами пробел. Хотелось бы чтобы пробела не было.

Не говорит букву "Р". Немного "Ш" не очень выходит. Ходим к логопеду.

Был у ортодонта - тот говорит, что требуется коррекция трёх уздечек лазером (платно, дорого, страховка не покрывает). Я читал, что можно и обычным методом - по страховке.
Вопрос: на что обратить внимание еще? Нужна ли тут корекция уздечек? Нужна ли пластинка?

 

 

0-02-05-77c5e1a07bc4417fea307df3c67a9a53cb593cb57d3d1e6ef1cedd9df107395d_60544a48eaa9e6e6.jpg

 

Ссылка на комментарий

Если честно, не вижу показаний к коррекции уздечек. Они не вплетаются в межзубные сосочки и при оттягивании губы десна в области прикрепления не белеет. Но вижу показания к консультации ортодонта.

  • Поддерживаю 1
Ссылка на комментарий

Вот были у ортодонта. Все, что он сказал - записаться к нему на коррекцию 3х уздечек. Лазером. Он видит в этом главную проблему. И работать с логопедом. Но с логопедом работаем.  Еще что-то вспоминал про то, что у ребенка плохо развивается челюсть. Это как-то видно по рентгене? 


Я читал, что если такие дела с передними зубами, то нужно ставить пластинку. Да? Возможно, после этого он хотел делать пластинку?

Или пойти к другому ортопеду... Еще увидел, что на рентгене возле носа с одной стороны темнее, а с другой светлее

0-02-05-427bce82c87e9228ccd3e8419a304363457c1b2df97a3c46641b3ecfc46f527a_8a5d4cc7c2b1115a.jpg

Изменено пользователем Chelovek2012
Ссылка на комментарий

Проблем с уздечкой языка тоже не вижу, показания к коррекции уздечки языка является раздвоение его кончика при  вытягивании вверх. У ортодонта нет полномочий на хирургические манипуляции. Этим занимается хирург-стоматолог, хоть лазером, хоть классическим методом. 

Рекомендую сходить ещё на пару консультаций к другим ортодонта и возможно к ещё одному логопеду.

Проследите, как ребенок глотает. Проталкивает ли язык между передними зубами при глотании.

  • Like 2
Ссылка на комментарий

@Chelovek2012 , здравствуйте.
Поддерживаю Антона. 
Как бы это странно не звучало, но некоторые ортодонты "кровожаднее"  хирургов будут...
По исследованиям показаний для коррекции уздечек губ вообще нет, кроме, как уже сказал Антон выше - вплетание в межзубный сосочек, его травматизация и тд.
По уздечке языка тоже исчерпывающий ответ.

  • Like 2
Ссылка на комментарий

Спасибо за советы и ответы. А как двигаться с расстоянием между зубами и тем, что один передний зубик немного идет вперед? Пойти к другому ортодонту, чтобы назначил пластинку? Или каждый день давать грызть морковь, чтобы зубы сами стали на место? Или когда вылезут зубы по бокам, оно должно придти в норму само?

 

Ссылка на комментарий

Вчера был у логопеда - тот сказал, что считает, что тут коррекция уздечек не нужна, но сказал чтобы мы проконсультировались с другим ортодонтом.

Кстати, у меня двое детей и мы были у того ортодонта с другим ребенком тоже.

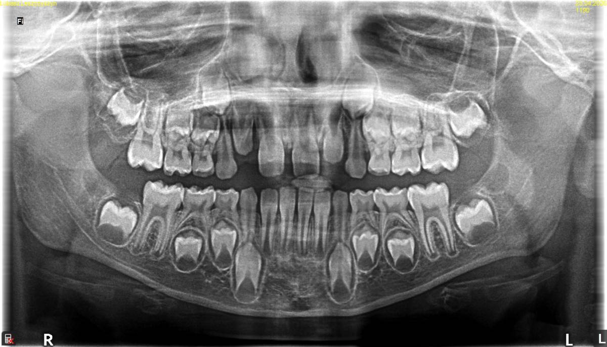
Второй сын, 11 лет. Жалобы: передние зубы находят друг на друга. Сбоку икла будто немного выпирают. 5 лет назад ему подрезали уздечку под языком. Ортопед сказал, что нужна подрезка уздечки под языком опять и под верхней губой. 

Скажите, пожалуйста, как выглядит с вашей стороны? Спасибо

 

Без імені.jpg

0-02-05-4ed91a1770c1c7240f0e17657c3aa86e40180dac8e77ac5cd18ecea99d78899c_8c278b558268ab86.jpg

0-02-05-98ac8a332d9c32cbea856ff24d524123e2d989519d9d2497156a1b095d7b5372_2e267a3178d0372d.jpg

Изменено пользователем Chelovek2012
Ссылка на комментарий

@Chelovek2012 верхнюю губу не трогайте. Она никому и ничему не мешает.
С языком проведите тест, о котором Вам выше писали
язык вытягиваем максимально вперёд, если кончик раздваивается - показания есть. Если ребёнок не может дотянуться кончиком языка до верхних жевательных зубов - тоже показания есть.
С другой стороны, есть ли какие-то жалобы на уздечку у ребёнка? Звуки какие-то не проговаривает или плохо проговаривает?

  • Спасибо 1
Ссылка на комментарий

Жалобы у старшего ребенка только эстетические, то есть, ему не нравится что сбоку зубы как-бы выступают вперед и передние налазят друг на друга. По-моему, комплексует из-за этого. Дикция - говорит четко все буквы. Ходил к логопеду недолго в детстве.

Тест с языком, вроде, проходит. Нету раздвоения кончика.

Ссылка на комментарий

А что вообще делать с другим ребенком? Его тоже направили на консультацию к ортодонту со школы. Ребенку 11 лет исполнится через месяц. Тоже просто ждать, когда прорежутся боковые зубы? Визуально нету причин для пластинки у обоих детей?

Ссылка на комментарий

Кстати, вот рентген черепа старшего сына.

--------------
 

P1 (2).jpg

H1 (2) (1).jpg

Изменено пользователем Chelovek2012
Ссылка на комментарий

Для публикации сообщений создайте учётную запись или авторизуйтесь

Вы должны быть пользователем, чтобы оставить комментарий

Создать аккаунт

Зарегистрируйте новый аккаунт в нашем сообществе. Это очень просто!

Регистрация нового пользователя

Войти

Уже есть аккаунт? Войти в систему.

Войти
×
×
  • Создать...
Вверх