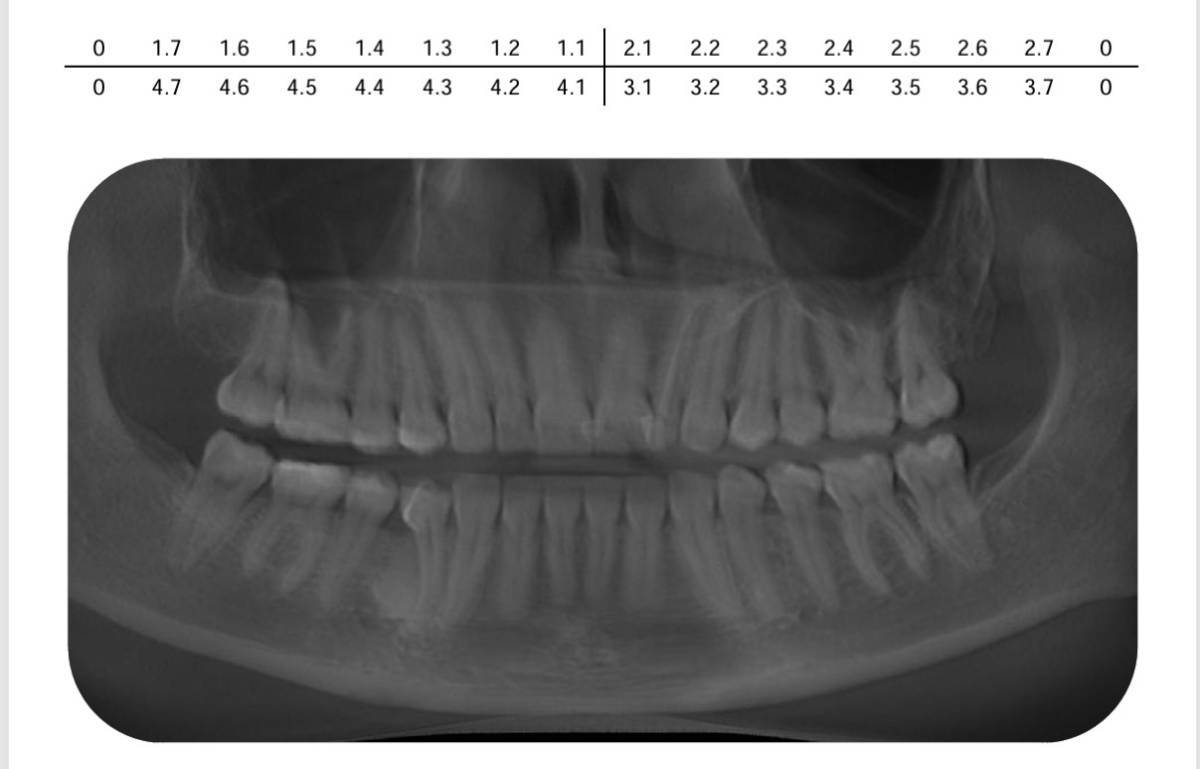
leviosa Опубликовано 8 часов назад Поделиться Опубликовано 8 часов назад Добрый день, уважаемые форумчане. Решила я исправлять прикус, т.к. есть нарушение смыкания зубов, с правой стороны жевать не особо удобно, слева нормально. Плюс скученность. Ортодонт, увидев мою КТ, отказался брать меня на лечение, т.к. его смутило это: в межкорневой области 44-45 определяется участок уплотнения костной ткани с ровным, четким контуром размером 12.2х9.3х6.5 мм. Сказал, что зубы не подвинутся, ну или чего похуже может быть. Удаляйте 44 зуб с этим костным участком, ставьте имплант и приходите, с остальным проблем не видит. А мне жаль удалять живой зуб, с имплантами дел не имела, все зубы свои. Я хотела исправить в том числе и положение 44 зуба, чтобы не было десневого кармана, ведь там постоянно воспаляется десна. Буду благодарна за дельный совет, может кто сталкивался с таким. Прикрепила снимки годовой давности, т.к. новая КТ у меня без расшифровки. В Ez3D Plus не разбираюсь, чтобы нормально заскринить. Из совсем недавних изменений - пломбу 44 зуба переделали, врач хотела убрать нависающий край и применить другую матрицу, но это не помогло; десна все равно не прикрепляется к зубу нормально и часто ноет). Ссылка на комментарий
АнтонТЛТ Опубликовано 8 часов назад Поделиться Опубликовано 8 часов назад Добрый вечер, без дополнительных хирургических манипуляций зуб не подвинуть. Если проблема только в застревании пищи, то можно рассмотреть вариант с покрытием этого зуба (а может и соседнего тоже) коронкой 1 Ссылка на комментарий
Рекомендуемые сообщения
Для публикации сообщений создайте учётную запись или авторизуйтесь
Вы должны быть пользователем, чтобы оставить комментарий
Создать аккаунт
Зарегистрируйте новый аккаунт в нашем сообществе. Это очень просто!
Регистрация нового пользователяВойти
Уже есть аккаунт? Войти в систему.
Войти