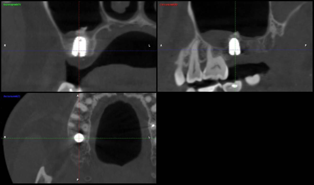
pmu15 Опубликовано 22 сентября, 2025 Поделиться Опубликовано 22 сентября, 2025 (изменено) Прошу посмотреть КТ, сделанное через месяц после закрытого синус-лифтинга с установкой импланта (7-й зуб справа сверху). Меня беспокоит то, что верхушка импланта, по-видимому, заходит в гайморову пазуху (вместе с костным материалом?). После операции в течение недели отмечалось: 1. небольшое кровотечение в носоглотке, 2. выход «крупинок» белого цвета, похожих на песчинки (примерно 15 штук, откашлял). Возможно, это был костный материал. Вопросы: 1. Насколько критично проникновение импланта (и костного материала) в пазуху? 2. Опасны ли описанные симптомы (кровь и «крупинки») или это вариант нормы после операции? 3. Нужно ли в этой ситуации дополнительное лечение или наблюдение? Ссылка на КТ файл DICOM https://disk.yandex.ru/d/jznDAo6CI7458g Изменено 22 сентября, 2025 пользователем pmu15 Добавил КТ Ссылка на комментарий
Женька Опубликовано 22 сентября, 2025 Поделиться Опубликовано 22 сентября, 2025 Здравствуй, Вам объяснили смысл и цели операции "синус-лифтинг"? Отвечая на Ваши вопросы, по представленным снимкам я проблемы не вижу особенной. Кровь это нормально, крупинки не совсем. Я бы наблюдал и сделал бы КЛКТ через 4 месяца от даты установки имплантата. 2 Ссылка на комментарий
pmu15 Опубликовано 23 сентября, 2025 Автор Поделиться Опубликовано 23 сентября, 2025 Здравствуйте! Спасибо за ответ Да, мне объяснили, что синус-лифтинг проводится для увеличения объёма кости и надёжной фиксации импланта. Хотел уточнить, на КТ заметно острое образование у верхушки импланта, выходящее в пазуху. Это вариант нормы? Ссылка на комментарий
Женька Опубликовано 23 сентября, 2025 Поделиться Опубликовано 23 сентября, 2025 @pmu15 Я же уже ответил) проблем на снимке не вижу, не переживайте. Это, очевидно, кусочек костной ткани которую выбили и приподняли вместе со слизистой пазухи . Ссылка на комментарий
Рекомендуемые сообщения
Для публикации сообщений создайте учётную запись или авторизуйтесь
Вы должны быть пользователем, чтобы оставить комментарий
Создать аккаунт
Зарегистрируйте новый аккаунт в нашем сообществе. Это очень просто!
Регистрация нового пользователяВойти
Уже есть аккаунт? Войти в систему.
Войти