stommm Опубликовано 28 сентября, 2024 Поделиться Опубликовано 28 сентября, 2024 Всем доброго времени суток. История длиною в 2 года 9 месяцев. Ортопед Залим Иругов, техник Виталий Шамин. Приятного просмотра) 10 1 1 Ссылка на комментарий
Aquarius Опубликовано 29 сентября, 2024 Поделиться Опубликовано 29 сентября, 2024 Браво!! Блестящая работа, доктор!! Скажите , донорские зоны такого масштаба ведёте под капой? 1 Ссылка на комментарий
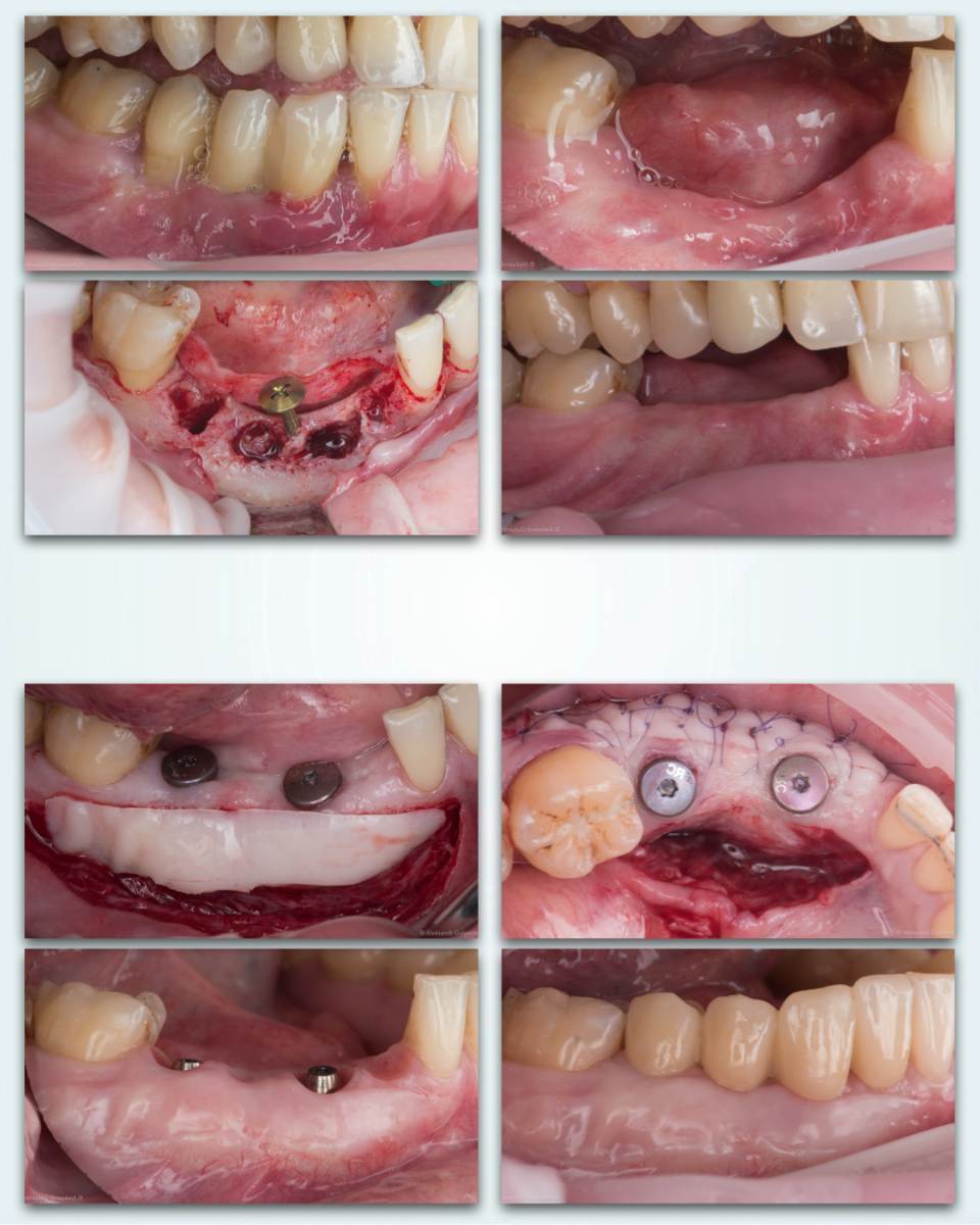
Тимур86 Опубликовано 29 сентября, 2024 Поделиться Опубликовано 29 сентября, 2024 Крутяк! Фото сочные. Зачем тент под титановую мембрану? 1 Ссылка на комментарий
stommm Опубликовано 29 сентября, 2024 Автор Поделиться Опубликовано 29 сентября, 2024 1 час назад, Aquarius сказал: Браво!! Блестящая работа, доктор!! Скажите , донорские зоны такого масштаба ведёте под капой? Спасибо не пользуюсь каппами. Композитная повязка и швы 9 минут назад, Тимур86 сказал: Крутяк! Фото сочные. Зачем тент под титановую мембрану? Спасибо что бы мембрану было проще по высоте стабилизовать. Но в итоге он встал ниже чем хотелось, лунки плохо зажили. Так что не особо помог Ссылка на комментарий
red_butler Опубликовано 29 сентября, 2024 Поделиться Опубликовано 29 сентября, 2024 Круто!!! Ссылка на комментарий
Женька Опубликовано 29 сентября, 2024 Поделиться Опубликовано 29 сентября, 2024 чья сетка и чем шили уже спрашивали?) Ссылка на комментарий
stommm Опубликовано 29 сентября, 2024 Автор Поделиться Опубликовано 29 сентября, 2024 2 часа назад, red_butler сказал: Круто!!! Спасибо) Ссылка на комментарий
stommm Опубликовано 29 сентября, 2024 Автор Поделиться Опубликовано 29 сентября, 2024 8 минут назад, Женька сказал: чья сетка и чем шили уже спрашивали?) Сетка вроде Пенза. Винты (кроме тентового) точно их. Швы 1 птфэ, остальное эльмонк 6-0 или моноквик 6-0. Может ещё 7-0 пдо где-то был, не помню. 2 1 Ссылка на комментарий
Женька Опубликовано 29 сентября, 2024 Поделиться Опубликовано 29 сентября, 2024 Сетку гнули интраоперационно? или заранее загнули на печатной модели? Ссылка на комментарий
stommm Опубликовано 29 сентября, 2024 Автор Поделиться Опубликовано 29 сентября, 2024 Точно делал заранее, но что-то не понравилось и то ли переделывал интраоперационно, то ли ту подкорректировал. Не вспомню точно уже. Давно было) Ссылка на комментарий
Irouil Опубликовано 29 сентября, 2024 Поделиться Опубликовано 29 сентября, 2024 (изменено) После мягкотканной аугментации швы снимались на каком сроке? При расщеплении язычного лоскута в области премоляров на какие ограничения по глубине/прояютяженности ориентируетесь? Часто протезируете такие небольшие работы на мультах? Не было проблем с раскручиваниями? Великолепный результат, прекрасная документация, ну и пациент(ка) просто молодцом Изменено 29 сентября, 2024 пользователем Irouil Ссылка на комментарий
Doc Опубликовано 29 сентября, 2024 Поделиться Опубликовано 29 сентября, 2024 Прекрасная работа!!! Ссылка на комментарий
stommm Опубликовано 29 сентября, 2024 Автор Поделиться Опубликовано 29 сентября, 2024 1 час назад, Irouil сказал: После мягкотканной аугментации швы снимались на каком сроке? При расщеплении язычного лоскута в области премоляров на какие ограничения по глубине/прояютяженности ориентируетесь? Часто протезируете такие небольшие работы на мультах? Не было проблем с раскручиваниями? Великолепный результат, прекрасная документация, ну и пациент(ка) просто молодцом 10-20 дней. В среднем осмотры раз в 1.5 недели. А там по ситуации. Что-то вообще оставляю. Рассосутся сами или отвалятся. Про расщепление это про какой этап? Я прошу ортопедов всегда мосты на мультах делать. Но делают не всегда конечно. Насколько знаю сложности только в размоделировке бывают. Спасибо) 24 минуты назад, Doc сказал: Прекрасная работа!!! Спасибо) Ссылка на комментарий
Doc Опубликовано 29 сентября, 2024 Поделиться Опубликовано 29 сентября, 2024 13 часов назад, stommm сказал: не пользуюсь каппами. Композитная повязка и швы Пациент вообще без времянок ходил(а)? Не используете гибкие каппы на зубной ряд, не прилегающие к месту операции, а держащиеся на прочих зубах? Просто при столь длительной работе уж очень жалко пациента обрекать на беззубость. Многие, особенно женщины, вообще не готовы ходить без передних зубов даже неделю, не говоря уже о месяцах и годах. Ссылка на комментарий
Женька Опубликовано 29 сентября, 2024 Поделиться Опубликовано 29 сентября, 2024 @Doc плюс вторичные деформации могут образовывать ведь? Как считаете, капа спасёт от этого? 16 минут назад, stommm сказал: Про расщепление это про какой этап? Я думаю, Николай про этап, где СДТ подсаживали. Мне тоже интересно, как определяете, что язычно уже надо остановиться? 1 Ссылка на комментарий
stommm Опубликовано 29 сентября, 2024 Автор Поделиться Опубликовано 29 сентября, 2024 12 минут назад, Doc сказал: Пациент вообще без времянок ходил(а)? Не используете гибкие каппы на зубной ряд, не прилегающие к месту операции, а держащиеся на прочих зубах? Просто при столь длительной работе уж очень жалко пациента обрекать на беззубость. Многие, особенно женщины, вообще не готовы ходить без передних зубов даже неделю, не говоря уже о месяцах и годах. Используем регулярно. Этой пациентке тоже предлагали, но она решила без каппы. Ссылка на комментарий
stommm Опубликовано 29 сентября, 2024 Автор Поделиться Опубликовано 29 сентября, 2024 10 минут назад, Женька сказал: @Doc плюс вторичные деформации могут образовывать ведь? Как считаете, капа спасёт от этого? Я думаю, Николай про этап, где СДТ подсаживали. Мне тоже интересно, как определяете, что язычно уже надо остановиться? Где уже совсем стало страшно, остановился) Я рутинно язычно сдт не фиксирую, но главное слишком глубоко не уходить и углубляться очень медленно и аккуратно. Если гребень реконструирован, это проще. После редукции под фп3 сложнее Ссылка на комментарий
Aquarius Опубликовано 29 сентября, 2024 Поделиться Опубликовано 29 сентября, 2024 Александр, а Вы СДТ винтами или пинами фиксируете? У меня нервов не хватает так пришивать и я просто Конметом 1.5 х 4 мм прикручиваю и всё Ссылка на комментарий
stommm Опубликовано 29 сентября, 2024 Автор Поделиться Опубликовано 29 сентября, 2024 (изменено) Да, иногда фиксирую. Пины безударные 2.7 и 4 мм. Раньше больше винтами 15 часов назад, Aquarius сказал: Браво!! Блестящая работа, доктор!! Скажите , донорские зоны такого масштаба ведёте под капой? Doc, тут речь про каппы на небе шла Изменено 29 сентября, 2024 пользователем stommm Ссылка на комментарий
Irouil Опубликовано 29 сентября, 2024 Поделиться Опубликовано 29 сентября, 2024 1 час назад, stommm сказал: Про расщепление это про какой этап? В принципе - про любой (в теории ограничения одинаковые), но меня к вопросу сподвигла процедура с (с)ДТ Ссылка на комментарий
Irouil Опубликовано 29 сентября, 2024 Поделиться Опубликовано 29 сентября, 2024 1 час назад, stommm сказал: Я прошу ортопедов всегда мосты на мультах делать. Но делают не всегда конечно. Насколько знаю сложности только в размоделировке бывают. У нас в клинике, в силу специфики приема, мульты используются "не просто смело, а пи***ц как смело" ©️, в том числе на таких двух-трех опорных мостах. В отдалённой перспективе столкнулись с массовыми раскручиваниями, соединение то слабенькое, поэтому сейчас принцип другой - гибридный уровень протезирования, мульт для пассивации, а второй имплант с платформы 1 Ссылка на комментарий
stommm Опубликовано 29 сентября, 2024 Автор Поделиться Опубликовано 29 сентября, 2024 (изменено) Во время костной пластики на столько, сколько нужно для закрытия дефект. Аккуратно, тупым способом. Вмэто случай даже допразрез язычно был, хотя обычно их не делаю 1 минуту назад, Irouil сказал: У нас в клинике, в силу специфики приема, мульты используются "не просто смело, а пи***ц как смело" ©️, в том числе на таких двух-трех опорных мостах. В отдалённой перспективе столкнулись с массовыми раскручиваниями, соединение то слабенькое, поэтому сейчас принцип другой - гибридный уровень протезирования, мульт для пассивации, а второй имплант с платформы На какой системе/системах работаете? Раскручиваются сами мульты или коронки? Изменено 29 сентября, 2024 пользователем stommm Ссылка на комментарий
Irouil Опубликовано 29 сентября, 2024 Поделиться Опубликовано 29 сентября, 2024 1 час назад, stommm сказал: На какой системе/системах работаете? Раскручиваются сами мульты или коронки? Коронки с мультов, конечно Работаем с шестигранником, Кореей и blx, но это не имеет значения, ибо мульты все стандарта 4.8 Ссылка на комментарий
stommm Опубликовано 29 сентября, 2024 Автор Поделиться Опубликовано 29 сентября, 2024 От матерых олонфошников слышал что винты для мультов надо менять раз в год. Вы меняли? Может в этом дело? Мне в теории больше нравится концепт трангингивальных абатментов типа мис коннект, нобель он1, мегаген окта и от системы реновы. Они и под одиночки подходят, должны по идее лучше держать Ссылка на комментарий
krokomot Опубликовано 29 сентября, 2024 Поделиться Опубликовано 29 сентября, 2024 Отличная работа, кайфанул. Ссылка на комментарий
Рекомендуемые сообщения
Для публикации сообщений создайте учётную запись или авторизуйтесь
Вы должны быть пользователем, чтобы оставить комментарий
Создать аккаунт
Зарегистрируйте новый аккаунт в нашем сообществе. Это очень просто!
Регистрация нового пользователяВойти
Уже есть аккаунт? Войти в систему.
Войти