Перейти к содержанию
Стоматология для всех

Можно ли спасти этот зуб или удалять? Стоматолог говорит, трещина...


julia243

Рекомендуемые сообщения

 

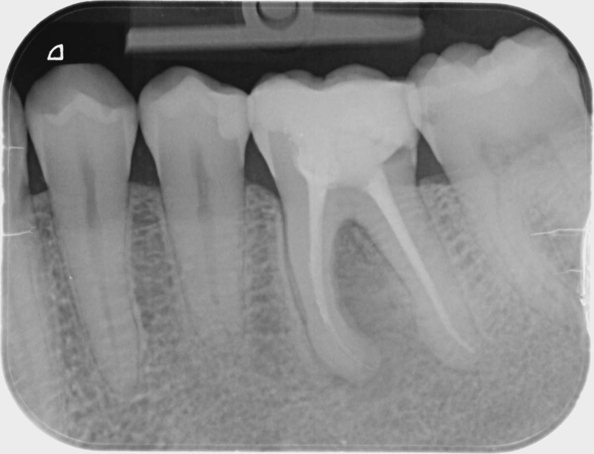
Здравствуйте! Вчера стоматолог сказал, что этот зуб нужно удалить так как в нем трещина. Очень хочу получить еще мнений, так как зуб не беспокоит и стоит крепко. Иногда на десне выступает фистула, потом проходит, но не беспокоит. Я понимаю, что это значит воспаление, но может быть как-то можно сохранить зуб или часть зуба и поставить коронку?

Очень пугает остаться без этого зуба...

Большое спасибо!

 

IMG_2017.JPG.d94187ac6d25f456459a019bfe19711e.JPG

Ссылка на комментарий

Здравствуйте, на представленном снимке трещину или следствие трещины не вижу. По снимку периодонтит. Для ответа нужен очный осмотр, Кт, и возможно удаление пломбы.

Ссылка на комментарий

Для публикации сообщений создайте учётную запись или авторизуйтесь

Вы должны быть пользователем, чтобы оставить комментарий

Создать аккаунт

Зарегистрируйте новый аккаунт в нашем сообществе. Это очень просто!

Регистрация нового пользователя

Войти

Уже есть аккаунт? Войти в систему.

Войти
×
×
  • Создать...
Вверх