Перейти к содержанию
Стоматология для всех

Где ошибка?


Женька

Рекомендуемые сообщения

23 часа назад, Nazim_NV86 сказал:

По мне так гораздо проще и предсказуемо немного откинуться, сделать расщеп на сосочках, полнослойно, и снова расщеп (Зукк). Зафиксировать спокойно стрип и ушиться петлями (кажется Аллен). Никакой подбородочной тяги.  
вариант 2: деСДТ. 
 

Вот в этом кейсе как бы расщепляли центральный сосочек, сосочек 32-31 и на каком уровне фиксировали бы сст? Думаете ксл тут более предсказуем?
IMG_1638.png.a85b19f980ee639b74644daf85d37fe7.png

Ссылка на комментарий
  • 6 месяцев спустя...

Коллеги, привет.

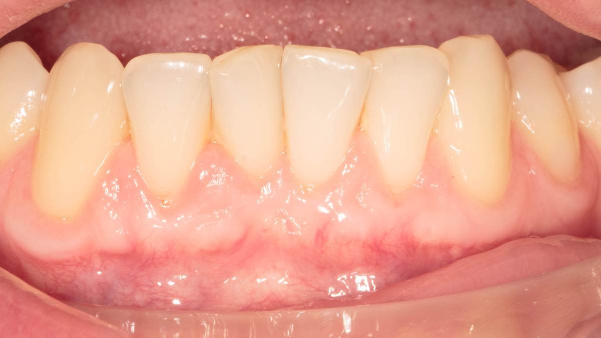
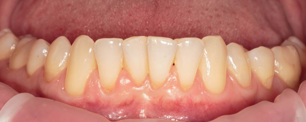
Рекол 7  месяцев всего. Но стало чуточку лучше. Пациентку перестали беспокоить боли от приёма холодной пищи, отмечает улучшение состояния относительно ситуации спустя 2 месяца от операции (первое фото). Всё устраивает к переделке пока не готова морально. Но я сказал, что как только созреет - я буду готов помочь.

 

IMG_0352.jpg.43c06fdad99eda582460e23c20790f30.jpgIMG_0487.jpg.482bfd53a702c3a86cd8a9a654e9b67b.jpg

  • Like 5
  • Спасибо 1
  • Поддерживаю 1
Ссылка на комментарий

Для публикации сообщений создайте учётную запись или авторизуйтесь

Вы должны быть пользователем, чтобы оставить комментарий

Создать аккаунт

Зарегистрируйте новый аккаунт в нашем сообществе. Это очень просто!

Регистрация нового пользователя

Войти

Уже есть аккаунт? Войти в систему.

Войти
×
×
  • Создать...
Вверх