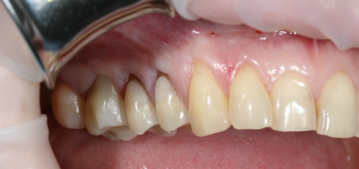
Женька Опубликовано 12 сентября, 2024 Поделиться Опубликовано 12 сентября, 2024 Коллеги, привет. Ортодонт направил пациентку утолстить фенотип десны перед ортодонтией. Будет движение зубов вперёд, переживаем за усугубление рецессий после лечения. Потому решаем утолщать и закрыть корни. На 14 сутки (снятие швов в области операции) получаю практически изначальный уровень. Отёк спадёт и через месяц будет всё как было ведь. Не понимаю, где я ошибаюсь. Фото иноп, 7 и 14 дней соответственно. Стало вроде толще, конечно. И ЗКПД стала шире особенно у 4.1 и 4.2 кажется. Но корни не закрылись. Ссылка на комментарий
kramer Опубликовано 12 сентября, 2024 Поделиться Опубликовано 12 сентября, 2024 (изменено) Дорогой коллега, ошибок много на самом деле, и самая главная из них это то, что вы (да и я) стали жертвой распиаренности тоннельной методики (мол это стильно прогрессивно быстро и т.д.) А надо начинать с базовых, проверенных методик. Не зря Кортеллини, Зуккелли не применяют тоннелей. Изменено 12 сентября, 2024 пользователем kramer 1 Ссылка на комментарий
Aquarius Опубликовано 12 сентября, 2024 Поделиться Опубликовано 12 сентября, 2024 (изменено) Зуккелли на вебинаре как то в шутку сравнил умение делать тоннели чем -то средним между вождением такси и хирургией ))) Здесь нужен вертикально смещенный лоскут с иссечением мышц, тянущих все это вниз Изменено 13 сентября, 2024 пользователем Aquarius Ссылка на комментарий
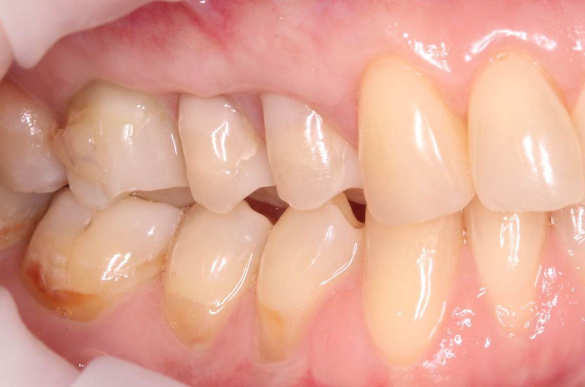
Женька Опубликовано 13 сентября, 2024 Автор Поделиться Опубликовано 13 сентября, 2024 @kramer окей, но давайте конкретнее по ошибкам. Я не в том положении, чтобы спорить, что лучше - туннель или КСЛ, но я думаю опыт Смоляковой, Ронко и многих других "туннелистов" нельзя просто взять и выкинуть. Я не думаю, что все вышеупомянутые доктора (Вами и мною) являются заложниками своих методик, хотя Зук, кажется, крайне негативно к этому относится). @Aquarius нету фото, к сожалению. Но туннель там был просто очень пассивный и "глубокий" в апикальном направлении. Пациентка жаловалась на боли в области зоны операции (а я настраивал на боли на нёбе). Может трансплантат, помимо прочего, некротизировался? И ещё про КСЛ. Я не владею методикой, но часто вижу осложнение в виде "двойных" сосочков. Которых при туннельной методике нет совсем. Ссылка на комментарий
kramer Опубликовано 13 сентября, 2024 Поделиться Опубликовано 13 сентября, 2024 Здесь очевидно произошёл некроз трансплантата. По причине перетянутости швов, натяжения лоскута. Плюс скорее всего вы расщепили лоскут, и его поверхностная часть умерла. Добавлю ещё, что в условиях мелкого преддверия однозначно имеет смысл иссечение мышц, как выше написали. По поводу двойных сосочков. Явление это временное. Реально кого-то беспокоит этот аспект? Иногда можно этого избежать, если делать треугольный лоскут, а не трапец. Но только не в области резцов н/ч. Никто наверное не спорит, что эта зона самая сложная. На мой взгляд надо использовать максимально прогнозируемую методику, особенно нам, кто до уровня Смоляковой не дотягивает. Как планируете переделывать? 1 Ссылка на комментарий
Женька Опубликовано 13 сентября, 2024 Автор Поделиться Опубликовано 13 сентября, 2024 @kramer мышцы подсекал, наверняка. После формирования туннеля пробежался офтальмоскальпелем. Но очевидно, что да. Совокупность факторов привела к такой проблеме. О переделке пока не думаю. Тк 3я неделя только пошла от операции. Сказал выждем 2-3 месяца и будем переделывать. Вот как раз и думаю, как бы мне решить эти проблемы Ссылка на комментарий
kramer Опубликовано 13 сентября, 2024 Поделиться Опубликовано 13 сентября, 2024 Надо не подсекать, а иссекать, т.е. отрезать куском. Здесь на форуме Анастасия есть, может подскажет. Я бы делал КСЛ. Ссылка на комментарий
Aquarius Опубликовано 13 сентября, 2024 Поделиться Опубликовано 13 сентября, 2024 Только хотел написать про полное отсечение куска мышц))) 1 Ссылка на комментарий
Женька Опубликовано 13 сентября, 2024 Автор Поделиться Опубликовано 13 сентября, 2024 24 минуты назад, kramer сказал: Здесь на форуме Анастасия есть в 2022 была последний раз) Ссылка на комментарий
kramer Опубликовано 13 сентября, 2024 Поделиться Опубликовано 13 сентября, 2024 Может кто знает: существует ли что-то подобное фундаментальной книге Зуккелли, только по тоннелям? Где все описано досконально от того, как делать анестезию и до рекомендаций, и научно обосновано? Или пару статей, несколько кейсов, фото и видео от талантливых врачей? Я ничего не имею против какой бы то ни было методики, но как её воспроизвести на пациенте, не имея пошаговое руководство? Где режем, как режем, зачем, как шьём и прочее. Это все в какую-то лотерею превращается, если делать по наитию. Ссылка на комментарий
kramer Опубликовано 13 сентября, 2024 Поделиться Опубликовано 13 сентября, 2024 Казалось бы, просто методика КСЛ, все вроде предельно понятно, а изложено в огромном талмуде, и то, некоторые моменты надо уточнять. Пока что я увидел один недостаток КСЛ: невозможно сделать за раз всю челюсть. Надо разбивать на 2 или даже на 3 операции. Ссылка на комментарий
Женька Опубликовано 13 сентября, 2024 Автор Поделиться Опубликовано 13 сентября, 2024 5 минут назад, kramer сказал: в огромном талмуде кто-то в каком-то чате говорил, что Зук про свою первую книгу говорит, что выбросьте её Ссылка на комментарий
Aquarius Опубликовано 13 сентября, 2024 Поделиться Опубликовано 13 сентября, 2024 (изменено) Винсент Ронко. Tunneling. Comprehensive approach. Дважды делал по этой книге. Оба раза неудачно)))) 3 минуты назад, Женька сказал: кто-то в каком-то чате говорил, что Зук про свою первую книгу говорит, что выбросьте её Ерунда. Даже переиздание в 2019 году вышло. И все курсы по ней проводит Изменено 13 сентября, 2024 пользователем Aquarius 1 Ссылка на комментарий
kramer Опубликовано 13 сентября, 2024 Поделиться Опубликовано 13 сентября, 2024 2 минуты назад, Aquarius сказал: Винсент Ронко. Tunneling. Comprehensive approach. Дважды делал по этой книге. Оба раза неудачно)))) 300 страниц против 800 у Зуккелли))) Слабак! 1 Ссылка на комментарий
kramer Опубликовано 13 сентября, 2024 Поделиться Опубликовано 13 сентября, 2024 4 минуты назад, Женька сказал: кто-то в каком-то чате говорил, что Зук про свою первую книгу говорит, что выбросьте её Кто сказал, где сказал, в каких обстоятельствах? Бабка сказала бабке Кстати, если вы читали его последнюю книгу по имплантам, она ни в коем разе не противоречит его первой книге. Я бы даже сказал он адаптировал эту методику к имплантам. Все те же принципы соблюдаются. 1 Ссылка на комментарий
Aquarius Опубликовано 13 сентября, 2024 Поделиться Опубликовано 13 сентября, 2024 (изменено) Господин Зуккелли аппелирует к тому, что трансплантат нельзя ни ни миллиметр оставлять оголенным. Он и так своей частью лежит на неваскуляризованном корне зуба, а вы типа его ещё оголяете. Рулетка в общем. Поэтому строго закрывать лоскутом. Это у Ронко своеобразный подход к тонеллям. Там часть оголена. А у Евгения - это классический Скулеан Изменено 13 сентября, 2024 пользователем Aquarius Ссылка на комментарий
kramer Опубликовано 13 сентября, 2024 Поделиться Опубликовано 13 сентября, 2024 Евгений, вы читали книгу Ронко перед операцией? Ссылка на комментарий
Aquarius Опубликовано 13 сентября, 2024 Поделиться Опубликовано 13 сентября, 2024 (изменено) Постараюсь на следующей неделе допилить видос и создам тему. Делал, правда на верхней челюсти по Зуккелли. Впервые. Тоже интересно, кто что скажет по результату)) Изменено 13 сентября, 2024 пользователем Aquarius Ссылка на комментарий
Женька Опубликовано 13 сентября, 2024 Автор Поделиться Опубликовано 13 сентября, 2024 @kramer конечно нет... всё чем я руководствуюсь, это одна учёба у Анастасии в ковидный 21, её видео на портале Vimeo и всё... Вопросы: как я думаю, почему всё развалилось отвалились автоматически. В планах на 2025 ехать на учёбу по рецессиям снова. Ссылка на комментарий
kramer Опубликовано 13 сентября, 2024 Поделиться Опубликовано 13 сентября, 2024 Плохо деэпителизировал сосочки, и вот пожалуйста, наплыв. Неприятно, но не смертельно, поправимо. И совершенно необязательно брать километровый сст. 1 Ссылка на комментарий
Женька Опубликовано 13 сентября, 2024 Автор Поделиться Опубликовано 13 сентября, 2024 1 минуту назад, kramer сказал: И совершенно необязательно брать километровый сст Вы про ширину? Если про отличие километрового для туннеля, тогда не пойму) В чём разница, если надо закрыть 5-6 зубов в сегменте, к примеру, от туннельных сст? Ссылка на комментарий
kramer Опубликовано 13 сентября, 2024 Поделиться Опубликовано 13 сентября, 2024 1 минуту назад, Женька сказал: Вы про ширину? Если про отличие километрового для туннеля, тогда не пойму) В чём разница, если надо закрыть 5-6 зубов в сегменте, к примеру, от туннельных сст? Я про длину. Ширина всегда примерно 4 мм. В случая тоннеля длина сст соответствует количеству закрываемых зубов, тк играет роль некоего каркаса, основы для закрытия рецессии (Аквариус, так или нет? Я просто не читал Ронко). В случае КСЛ сст используется изолировано, только по необходимости. Первая роль отводится покрывному лоскуту. В моем случае, если тоннель, пришлось бы брать сст от 12 до 16. В книге и кейсах Зуккелли вы никогда не встретите таких длиннющих трансплантатов Ссылка на комментарий
Женька Опубликовано 13 сентября, 2024 Автор Поделиться Опубликовано 13 сентября, 2024 @kramer тонко отрезал - кладёшь сст, толстый фенотип и толсто отрезал - можно и без, просто накрыть зуб лоскутом? Получается так? Ссылка на комментарий
kramer Опубликовано 13 сентября, 2024 Поделиться Опубликовано 13 сентября, 2024 1 минуту назад, Женька сказал: @kramer тонко отрезал - кладёшь сст, толстый фенотип и толсто отрезал - можно и без, просто накрыть зуб лоскутом? Получается так? Если коротко, показания для ССТ (по Зуккелли): Ширина кератинизированной десны меньше 1-2 мм Толщина кератинизированной десны меньше 1 мм (тонкий фенотип) Тёмный корень Глубокие некариозные поражения корня Вестибулярное положение зуба Ссылка на комментарий
kramer Опубликовано 13 сентября, 2024 Поделиться Опубликовано 13 сентября, 2024 Не поленитесь, почитайте его книгу. Тогда все получится А с тоннелем я и сам обламывался (не имея по этой методике достаточных знаний) Ссылка на комментарий
Рекомендуемые сообщения
Для публикации сообщений создайте учётную запись или авторизуйтесь
Вы должны быть пользователем, чтобы оставить комментарий
Создать аккаунт
Зарегистрируйте новый аккаунт в нашем сообществе. Это очень просто!
Регистрация нового пользователяВойти
Уже есть аккаунт? Войти в систему.
Войти