Перейти к содержанию
Стоматология для всех

Оправдывает ли себя наращивание нижних единичек?


Ольгаxxx

Рекомендуемые сообщения

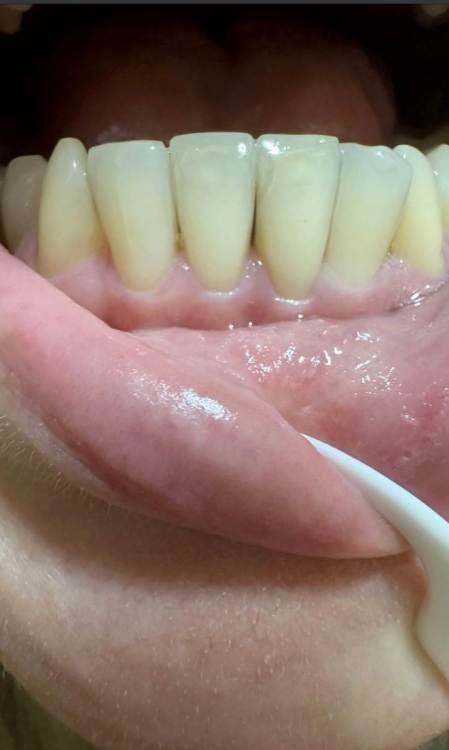
Здравствуйте. Был кариес между зубами на единичке снизу. Стоматолог в микроскоп увидела некий скол и на соседней единичке, с внутренней стороны. Было решено делать два зуба.
В процессе работы, стоматолог предложила нарастить эти две единички, так как увидела сильную стачиваемость зубов. Я согласилась.
Приехав домой, обнаружила, что мне дико дискомфортно, когда верхние становятся на нижние, то ли материала много было, то ли полировки не хватало. Приехав к ней, она убрала немного материала, высоту не трогала, отполировала. Стало получше. Теперь другой стоматолог говорит, что нельзя так наращивать всего лишь два зуба, начнутся проблемы с верхними. Я в растерянности, отдала немало денег за работу под микроскопом и тут мне говорят, что нужно убрать материал, который был нарощен.
Хочу Вашего мнения, так ли это? Действительно ли верхние зубы начнут вылазить вперед? Мне нужно еще мнение специалиста, так как это фронт зона и не хотелось бы проблем в дальнейшем.
Фото зубов прилагаю.
Спасибо, если поможете.

A6DA6F46-6DBF-4BC0-8BE8-5FF6FA1A506A.jpeg

18DC7A16-B704-4C8E-AE83-AC84E5664071.jpeg

CF9A7F1E-5542-4080-8FC8-D6B72497DE8D.jpeg

Ссылка на комментарий

Для публикации сообщений создайте учётную запись или авторизуйтесь

Вы должны быть пользователем, чтобы оставить комментарий

Создать аккаунт

Зарегистрируйте новый аккаунт в нашем сообществе. Это очень просто!

Регистрация нового пользователя

Войти

Уже есть аккаунт? Войти в систему.

Войти
×
×
  • Создать...
Вверх