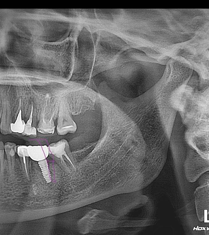
руслана Опубликовано 27 февраля, 2024 Поделиться Опубликовано 27 февраля, 2024 Здравствуйте. Какие варианты лечения? оголился имплант 1мм ( доктор сказал абатмент) коронка винтовая. установлен в 2023. Боли нет . не комфортно. Возмож но ли удаление если интегрирован хорошо. Пластики десны и посадка кости при имплантации не предлагалась. Ссылка на комментарий
Irouil Опубликовано 27 февраля, 2024 Поделиться Опубликовано 27 февраля, 2024 Как-то беспокоит Вас этот имплант? Ссылка на комментарий
руслана Опубликовано 27 февраля, 2024 Автор Поделиться Опубликовано 27 февраля, 2024 Нет. Тщательная гигиена. Конечно десна к вечеру немного устаёт. Ирригатор помогает. Но это не тот комфорт который рассчитывала получить при установке. Ссылка на комментарий
Irouil Опубликовано 28 февраля, 2024 Поделиться Опубликовано 28 февраля, 2024 На мой взгляд, решить Ваши жалобы можно только с помощью удаления импланта, переустановкой его в другое положение и последующим протезированием по интеграции Надо смотреть КТ и фото во рту, чтобы говорить точнее, есть вероятность, что после удаления импланта потребуется обширная костная пластика перед установкой нового импланта Ссылка на комментарий
руслана Опубликовано 28 февраля, 2024 Автор Поделиться Опубликовано 28 февраля, 2024 47 минут назад, Irouil сказал: На мой взгляд, решить Ваши жалобы можно только с помощью удаления импланта, переустановкой его в другое положение и последующим протезированием по интеграции Надо смотреть КТ и фото во рту, чтобы говорить точнее, есть вероятность, что после удаления импланта потребуется обширная костная пластика перед установкой нового импланта А при таких случаях возможна костная пластика порошком, а не своей костью? Ссылка на комментарий
Irouil Опубликовано 29 февраля, 2024 Поделиться Опубликовано 29 февраля, 2024 @руслана как я уже писал выше, чтобы что-то дельное советовать, надо смотреть КТ и фото. Возможно, Вам вообще не потребуется никакая пластика. Ссылка на комментарий
Рекомендуемые сообщения
Для публикации сообщений создайте учётную запись или авторизуйтесь
Вы должны быть пользователем, чтобы оставить комментарий
Создать аккаунт
Зарегистрируйте новый аккаунт в нашем сообществе. Это очень просто!
Регистрация нового пользователяВойти
Уже есть аккаунт? Войти в систему.
Войти