Петрович Опубликовано 4 февраля, 2024 Поделиться Опубликовано 4 февраля, 2024 Чтобы они не вредили нижним 7. Планируется: брекеты и имплантация 3.6 через год - в 14 лет. Ссылка на комментарий
Женька Опубликовано 4 февраля, 2024 Поделиться Опубликовано 4 февраля, 2024 Здравствуйте. По определённым показаниям удаляются. 1 Ссылка на комментарий
Петрович Опубликовано 4 февраля, 2024 Автор Поделиться Опубликовано 4 февраля, 2024 Как мотивировать на операцию если проблемы пока нет? Ссылка на комментарий
Женька Опубликовано 5 февраля, 2024 Поделиться Опубликовано 5 февраля, 2024 @Петрович очень просто. Ортодонт планирует лечение. Далее согласно плану проводятся все необходимые манипуляции в рамках подготовки и исполнения этого самого плана. ИМХО пациентов мотивировать не надо, мы не в тренажёрном зале или на психологическом тренинге. ВЫ как врач даёте полную информацию о здоровье и что будет, если не сделать это-это и вот это. Дальше уже желание пациента быть здоровым. 1 1 Ссылка на комментарий
Bier Опубликовано 5 февраля, 2024 Поделиться Опубликовано 5 февраля, 2024 планируется ортодонтия, 8ки мешают по плану лечения. После формирования корней - удаление будет сложнее и риск осложнений вырастет. 1 Ссылка на комментарий
Петрович Опубликовано 5 февраля, 2024 Автор Поделиться Опубликовано 5 февраля, 2024 (изменено) 7 часов назад, Женька сказал: @Петрович очень просто. Ортодонт планирует лечение. Далее согласно плану проводятся все необходимые манипуляции в рамках подготовки и исполнения этого самого плана. ИМХО пациентов мотивировать не надо, мы не в тренажёрном зале или на психологическом тренинге. ВЫ как врач даёте полную информацию о здоровье и что будет, если не сделать это-это и вот это. Дальше уже желание пациента быть здоровым. Решать проблему которой ещё нет. Ещё и хирургическим путем... Вопрос философский. То что позже удалять будет сложнее - это аргумент. А вообще - как часто удаляют такие зубы в таком возрасте? Пока не выросли корни... Изменено 5 февраля, 2024 пользователем Петрович Ссылка на комментарий
Bier Опубликовано 5 февраля, 2024 Поделиться Опубликовано 5 февраля, 2024 ну еще действует аргумент, что они сейчас мешают дистализации зубов. Еще аргумент: могут быть причинами рецидива ортодонтического лечения. Удаляю такие зачатки часто. 12-16 лет пациентам. Ссылка на комментарий
Мартовский Опубликовано 6 февраля, 2024 Поделиться Опубликовано 6 февраля, 2024 05.02.2024 в 08:27, Петрович сказал: Как мотивировать на операцию если проблемы пока нет? Если речь о мотивации, то нужно помнить, что первая сигнальная система превалирует над второй. Пара фото с осложнениями из-за того, что вовремя не вмешались сильнее тысячи слов. Сделайте скриншоты с КТ, в крайнем случае с интернета скачайте, поместите в отдельную папку, добавляйте туда интересные случаи для мотивировки. Если бы такой пациент пришел ко мне, я бы ему сказал, вот у меня была такая пациентка 4-5 лет назад, вовремя не удалила, а теперь у нее вон чо )) 1 1 Ссылка на комментарий
Мартовский Опубликовано 6 февраля, 2024 Поделиться Опубликовано 6 февраля, 2024 Ну или ролик можно показать, их в сети полно https://youtu.be/KYJZrXmcOPA?si=p36_j9R38Qlzp9na Ссылка на комментарий
Петрович Опубликовано 6 февраля, 2024 Автор Поделиться Опубликовано 6 февраля, 2024 Импланты в 14 лет ставят? Ссылка на комментарий
Петрович Опубликовано 6 февраля, 2024 Автор Поделиться Опубликовано 6 февраля, 2024 1 час назад, Мартовский сказал: Если речь о мотивации, то нужно помнить, что первая сигнальная система превалирует над второй. Пара фото с осложнениями из-за того, что вовремя не вмешались сильнее тысячи слов. Сделайте скриншоты с КТ, в крайнем случае с интернета скачайте, поместите в отдельную папку, добавляйте туда интересные случаи для мотивировки. Если бы такой пациент пришел ко мне, я бы ему сказал, вот у меня была такая пациентка 4-5 лет назад, вовремя не удалила, а теперь у нее вон чо )) Если специалисту - профессионал у с опытом - кажется, то это истина. ? Ортодонт посмотрел. С хирургом. И я смотрел. И захотелось удалить пока не поздно ? Ссылка на комментарий
Женька Опубликовано 6 февраля, 2024 Поделиться Опубликовано 6 февраля, 2024 11 часов назад, Петрович сказал: Решать проблему которой ещё нет. Ещё и хирургическим путем... Вопрос философский. Отнюдь, Вы же доктор, Вы знаете прогнозы, риски и тд. Впрочем коллеги и я выше уже всё расписали. Аналогия с покрытием коронками депульпированных и сильно разрушенных зубов. Вы же знаете, что если не покрыть коронкой, рано или поздно произойдёт скол, возможно под десну, и зуб на удаление. И также решаете проблему, которой пока ещё нет. 1 Ссылка на комментарий
Петрович Опубликовано 7 февраля, 2024 Автор Поделиться Опубликовано 7 февраля, 2024 20 часов назад, Женька сказал: Отнюдь, Вы же доктор, Вы знаете прогнозы, риски и тд. Впрочем коллеги и я выше уже всё расписали. Аналогия с покрытием коронками депульпированных и сильно разрушенных зубов. Вы же знаете, что если не покрыть коронкой, рано или поздно произойдёт скол, возможно под десну, и зуб на удаление. И также решаете проблему, которой пока ещё нет. Коронки для профилактики не прижились. Чаще обходится закруглением стенок и перекрытием бугров. Если бы сам был ортопедом. Или если бы он был рядом и не требовал штифтования. Ссылка на комментарий
Женька Опубликовано 8 февраля, 2024 Поделиться Опубликовано 8 февраля, 2024 @Петрович в таком случае и камень профилактически можно не чистить) не беспокоит же? 1 Ссылка на комментарий
karasov Опубликовано 8 февраля, 2024 Поделиться Опубликовано 8 февраля, 2024 1 час назад, Женька сказал: @Петрович в таком случае и камень профилактически можно не чистить) не беспокоит же? камень в 100% случаев вызывает проблемы. Зачатки 8к нет Ссылка на комментарий
karasov Опубликовано 8 февраля, 2024 Поделиться Опубликовано 8 февраля, 2024 06.02.2024 в 12:49, Женька сказал: Отнюдь, Вы же доктор, Вы знаете прогнозы, риски и тд. Впрочем коллеги и я выше уже всё расписали. Аналогия с покрытием коронками депульпированных и сильно разрушенных зубов. Вы же знаете, что если не покрыть коронкой, рано или поздно произойдёт скол, возможно под десну, и зуб на удаление. И также решаете проблему, которой пока ещё нет. Какой-нибудь Радлинский или Щербаков поспорят))) Ссылка на комментарий
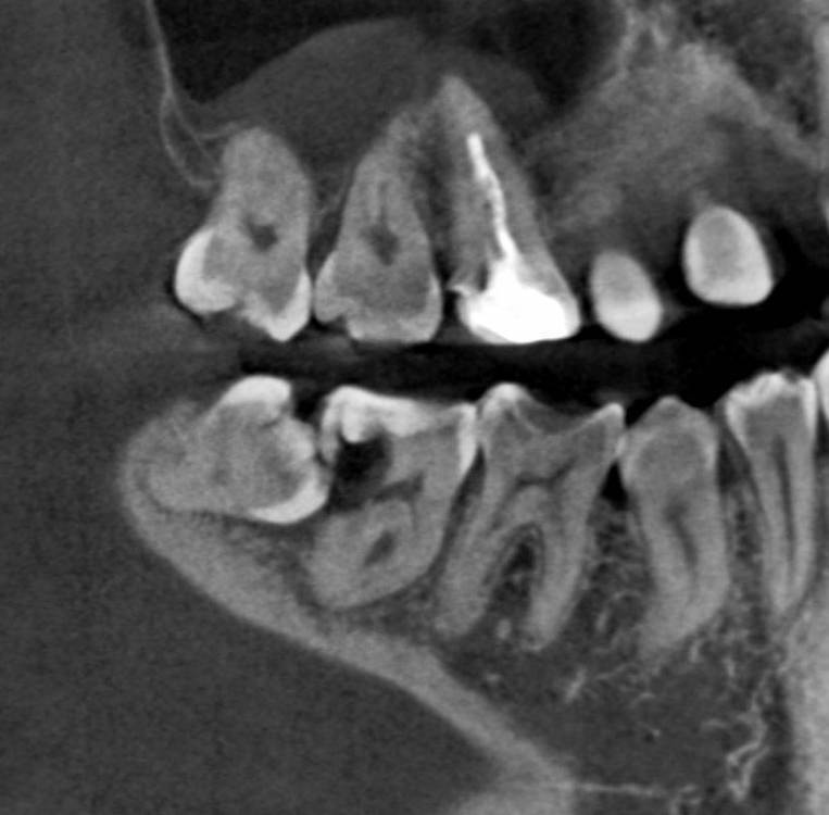
Женька Опубликовано 8 февраля, 2024 Поделиться Опубликовано 8 февраля, 2024 @karasov снимок Мартовского как бы намекает как бывает. Когда зуб был ведь зачатком. А что до Радлинского и Щербакова так пусть спорят. В МСК и других сильно крупных городах может и не скалываются пломбы (не верю). У меня же статистика другая) Ссылка на комментарий
Петрович Опубликовано 8 февраля, 2024 Автор Поделиться Опубликовано 8 февраля, 2024 Бывает хочется вырвать и всё. И камни почистить чтобы зубы гладкие были. Встречаются люди, которым камни лучше не снимать. @Женька профилактикой клиновидных дефектов ещё надо заниматься. Камни обычно хочется убрать, когда зкбы@Женька 06.02.2024 в 10:49, Женька сказал: Отнюдь, Вы же доктор, Вы знаете прогнозы, риски и тд. Впрочем коллеги и я выше уже всё расписали. Аналогия с покрытием коронками депульпированных и сильно разрушенных зубов. Вы же знаете, что если не покрыть коронкой, рано или поздно произойдёт скол, возможно под десну, и зуб на удаление. И также решаете проблему, которой пока ещё нет. Коронки для профилактики не прижились. Чаще обходится закруглением стенок и перекрытием бугров. Если бы сам был ортопедом. Или если бы он был рядом и не требовал штифтования. Тот же пациент. Ссылка на комментарий
Петрович Опубликовано 8 февраля, 2024 Автор Поделиться Опубликовано 8 февраля, 2024 @karasov бывает что камни может не снимать. Годами ходят а патология не развилась. Но это редко. Ссылка на комментарий
karasov Опубликовано 15 января, 2025 Поделиться Опубликовано 15 января, 2025 https://onlinelibrary.wiley.com/doi/full/10.1111/j.1834-7819.2009.01152.x Ссылка на комментарий
Рекомендуемые сообщения
Для публикации сообщений создайте учётную запись или авторизуйтесь
Вы должны быть пользователем, чтобы оставить комментарий
Создать аккаунт
Зарегистрируйте новый аккаунт в нашем сообществе. Это очень просто!
Регистрация нового пользователяВойти
Уже есть аккаунт? Войти в систему.
Войти