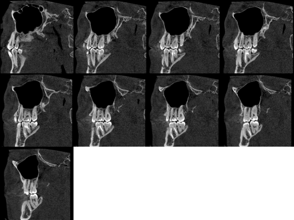
podivilov Опубликовано 14 января, 2024 Поделиться Опубликовано 14 января, 2024 (изменено) На этой неделе лечил два зуба — нижнюю шестёрку с левой стороны и нижнюю шестёрку с правой стороны. Левая шестёрка успешно вылечена, ничего не болит. С правой же проблемы. Лечение правой шестёрки начали в эту среду, закончили лечение в пятницу. Всего было два приёма. После первого приёма, когда поставили временную пломбу с лекарством, зуб начал ныть — да так, что ночью несколько раз просыпался. Тогда нерв ещё не был удалён, поэтому я просто сообщил об этом лечащему стоматологу, — сказали, что всё нормально. В пятницу после завершения лечения думал, что всё, больше болеть не будет — болеть ведь нечему, нерв удалён и каналы запломбированы. Лечили за два приёма, последний приём длился два с половиной часа. После того, как отошла заморозка, действительно ничего не болело. Порадоваться этому успел ровно до ночи: к этому моменту ноющая боль вернулась. Думал, что так и должно быть, и просто лёг спать. В итоге и вчера, и сегодня ноющая боль сохраняется. Причём достаточно интенсивная — не слабая. Сильнее, чем была до лечения зуба. Острой боли нет, даже если нажимать на зуб. Боль усиливается ближе к ночи. Иногда кажется, будто ноет также верхний зуб на той же стороне челюсти. На сладкое и холодное зубы не реагируют, просто в течение дня сохраняется сильная ноющая боль. Почему-то не помогают даже обезболивающие — пробовал «Нурофен» и «Кетанов», но какого-то особого эффекта не ощутил. Был сегодня на приёме у другого стоматолога, где мне сделали КЛКТ снимок. На снимке ничего страшного не обнаружили — сказали, что корни запломбированы хорошо. Стоматолог сказал, что может распломбировать зуб и запломбировать заново, но предупредил, что боли могут пройти сами, и, вероятно, нет смысла сейчас что-либо делать. Загрузил на Google Drive КЛКТ снимок, сделанный сегодня (с просмотровщиком Planmeca Romexis): https://drive.google.com/file/d/1t5zrJj8r3p1SG44UCOw2RGo5PJQxerh4/view?usp=sharing Изменено 14 января, 2024 пользователем podivilov Дополнение Ссылка на комментарий
Nazim_NV86 Опубликовано 14 января, 2024 Поделиться Опубликовано 14 января, 2024 Почти все онлайн через телефон. Будет быстрее если скинете нужные срезы. 1 Ссылка на комментарий
podivilov Опубликовано 14 января, 2024 Автор Поделиться Опубликовано 14 января, 2024 (изменено) 54 минуты назад, Nazim_NV86 сказал: Почти все онлайн через телефон. Будет быстрее если скинете нужные срезы. Изменено 14 января, 2024 пользователем podivilov Ссылка на комментарий
wladdX Опубликовано 14 января, 2024 Поделиться Опубликовано 14 января, 2024 Корневые каналы заполнены адекватно, на мой взгляд Ссылка на комментарий
podivilov Опубликовано 15 января, 2024 Автор Поделиться Опубликовано 15 января, 2024 9 часов назад, wladdX сказал: Корневые каналы заполнены адекватно, на мой взгляд Вчера пришла в голову такая мысль: у меня есть шейный остеохондроз и когда-то была проблема, что болел глаз, а оказалось, что это была невралгия. Может ли быть такое же, но с зубами? Ссылка на комментарий
Рекомендуемые сообщения
Для публикации сообщений создайте учётную запись или авторизуйтесь
Вы должны быть пользователем, чтобы оставить комментарий
Создать аккаунт
Зарегистрируйте новый аккаунт в нашем сообществе. Это очень просто!
Регистрация нового пользователяВойти
Уже есть аккаунт? Войти в систему.
Войти