Aleksandr21321 Опубликовано 27 декабря, 2023 Поделиться Опубликовано 27 декабря, 2023 Ссылка на комментарий
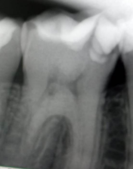
Notherbrick Опубликовано 27 декабря, 2023 Поделиться Опубликовано 27 декабря, 2023 Такое количество материала за верхушкой в целом не критично. Но есть вторичный кариес и, возможно, трещина в районе бифуркации корней. Нужно КТ чтобы выяснить наверняка. Ссылка на комментарий
Aleksandr21321 Опубликовано 27 декабря, 2023 Автор Поделиться Опубликовано 27 декабря, 2023 2 часа назад, Notherbrick сказал: Такое количество материала за верхушкой в целом не критично. Но есть вторичный кариес и, возможно, трещина в районе бифуркации корней. Нужно КТ чтобы выяснить наверняка. можете указать на скрине вторичный кариес и трещину и что посоветуете с делать с этими проблемами? Ссылка на комментарий
Notherbrick Опубликовано 27 декабря, 2023 Поделиться Опубликовано 27 декабря, 2023 Если трещина подтвердится- удаление. Кариес найдете, если смотреть вертикально вверх от вашей отметки. Между пломбой и корнем зуба горизонтальная темная полоса. 1 Ссылка на комментарий
Aleksandr21321 Опубликовано 27 декабря, 2023 Автор Поделиться Опубликовано 27 декабря, 2023 (изменено) 13 часов назад, Notherbrick сказал: Если трещина подтвердится- удаление. Кариес найдете, если смотреть вертикально вверх от вашей отметки. Между пломбой и корнем зуба горизонтальная темная полоса. А кариес может быть причиной боли зуба? или это все таки трещина вот эта? Изменено 27 декабря, 2023 пользователем Aleksandr21321 Ссылка на комментарий
Aleksandr21321 Опубликовано 27 декабря, 2023 Автор Поделиться Опубликовано 27 декабря, 2023 11 часов назад, Notherbrick сказал: Если трещина подтвердится- удаление. Кариес найдете, если смотреть вертикально вверх от вашей отметки. Между пломбой и корнем зуба горизонтальная темная полоса. Вот КТ, который делал пару месяцев назад сразу же после удаления нерва Ссылка на комментарий
Notherbrick Опубликовано 28 декабря, 2023 Поделиться Опубликовано 28 декабря, 2023 Зуб депульпирован, поэтому кариес не при чем. И второй снимок это оптг. Кт это трехмерная реконструкция. Но судя по панорамному снимку беспокоить вполне может и впередистоящий 46 зуб. Ссылка на комментарий
Aleksandr21321 Опубликовано 28 декабря, 2023 Автор Поделиться Опубликовано 28 декабря, 2023 2 часа назад, Notherbrick сказал: Зуб депульпирован, поэтому кариес не при чем. И второй снимок это оптг. Кт это трехмерная реконструкция. Но судя по панорамному снимку беспокоить вполне может и впередистоящий 46 зуб. а на 46-м какая проблемка? Ссылка на комментарий
Notherbrick Опубликовано 28 декабря, 2023 Поделиться Опубликовано 28 декабря, 2023 2 часа назад, Aleksandr21321 сказал: а на 46-м какая проблемка? Кариес под пломбой, близко к полости зуба и пульпе, плюс скорее всего в пришеечной области тоже есть дефект. По крайнее мере очень на это похожа. Исчерпывающей информации без очного осмотра дать невозможно. Ссылка на комментарий
Aleksandr21321 Опубликовано 28 декабря, 2023 Автор Поделиться Опубликовано 28 декабря, 2023 (изменено) 5 часов назад, Notherbrick сказал: Кариес под пломбой, близко к полости зуба и пульпе, плюс скорее всего в пришеечной области тоже есть дефект. По крайнее мере очень на это похожа. Исчерпывающей информации без очного осмотра дать невозможно. Я кажется уже вылечил кариес на этом зубе, просто снимок старый. Слушайте, я вот сходил к парочке стоматологов, так как жевать каким-то зубом больно. Они посмотрели на зубы, постучали, в результате чего боль почувствовалась только на зубе без нерва. Сказали, что ничего не поделать. Сейчас же я пальчиком своим сильно давлю, и кажется начинаю понимать, какие зубы могут болеть. А еще теперь чувствую постоянную (к счастью терпимую боль). Как считаете, что нужно делать в моей ситуации? Изменено 28 декабря, 2023 пользователем Aleksandr21321 Ссылка на комментарий
Notherbrick Опубликовано 28 декабря, 2023 Поделиться Опубликовано 28 декабря, 2023 КТ->диагноз->скорее всего удаление->имплантация и протезирование. Ссылка на комментарий
Aleksandr21321 Опубликовано 28 декабря, 2023 Автор Поделиться Опубликовано 28 декабря, 2023 (изменено) 55 минут назад, Notherbrick сказал: КТ->диагноз->скорее всего удаление->имплантация и протезирование. Спасибо! И еще вопросы: 1) Сколько стоит КТ примерно, не знаете? И где его делать? Я собирался завтра сделать пару обычных снимков, но если я буду делать КТ, тогда снимки не нужно делать? КТ ведь показывает все то, что и обычные снимки? 2) КТ сильно облучает организм? 2) А здесь нет пульпита, можно понять? Изменено 28 декабря, 2023 пользователем Aleksandr21321 Ссылка на комментарий
Notherbrick Опубликовано 28 декабря, 2023 Поделиться Опубликовано 28 декабря, 2023 По стоимости все зависит от города и клиники. Чтобы не соврать посмотрите на местных сайтах, если такие есть. КТ даёт в разы больше информации чем прицельный снимок или оптг. Облучения при таком обследовании бояться не стоит. Нужен очный осмотр и обследование. Ссылка на комментарий
Aleksandr21321 Опубликовано 29 декабря, 2023 Автор Поделиться Опубликовано 29 декабря, 2023 27.12.2023 в 11:43, Notherbrick сказал: Такое количество материала за верхушкой в целом не критично. Но есть вторичный кариес и, возможно, трещина в районе бифуркации корней. Нужно КТ чтобы выяснить наверняка. А под трещиной вы имели в виду 1 или 2? Ссылка на комментарий
Notherbrick Опубликовано 29 декабря, 2023 Поделиться Опубликовано 29 декабря, 2023 1 подозрения там Ссылка на комментарий
Aleksandr21321 Опубликовано 29 декабря, 2023 Автор Поделиться Опубликовано 29 декабря, 2023 (изменено) 14 минут назад, Notherbrick сказал: 1 подозрения там а это вина матушки природы или врача? просто это уже за пределами зуба проблемы, тут наверное винить стоматолога не нужно? кстати, а почему эта трещина сама не зарастет? Изменено 29 декабря, 2023 пользователем Aleksandr21321 Ссылка на комментарий
Notherbrick Опубликовано 29 декабря, 2023 Поделиться Опубликовано 29 декабря, 2023 Зуб был сильно разрушен и не выдержал нагрузки. Ссылка на комментарий
Aleksandr21321 Опубликовано 17 января, 2024 Автор Поделиться Опубликовано 17 января, 2024 (изменено) 28.12.2023 в 14:55, Notherbrick сказал: Кариес под пломбой, близко к полости зуба и пульпе, плюс скорее всего в пришеечной области тоже есть дефект. По крайнее мере очень на это похожа. Исчерпывающей информации без очного осмотра дать невозможно. Блин, а ведь кариес под пломбой можно добраться и до нерва. Надо лечить. А еще возможно в этом зубе нерв близок к пломбе. Скажите, если врач раздорабанит зуб своим инструментом, мы сможем узнать, действительно ли зуб близок к нерву? Изменено 17 января, 2024 пользователем Aleksandr21321 1 Ссылка на комментарий
Notherbrick Опубликовано 18 января, 2024 Поделиться Опубликовано 18 января, 2024 Врач проведет препарирование и в зависимости от глубины поражения привет решение депульпирован зуб или нет. Ссылка на комментарий
Рекомендуемые сообщения
Для публикации сообщений создайте учётную запись или авторизуйтесь
Вы должны быть пользователем, чтобы оставить комментарий
Создать аккаунт
Зарегистрируйте новый аккаунт в нашем сообществе. Это очень просто!
Регистрация нового пользователяВойти
Уже есть аккаунт? Войти в систему.
Войти