woogowoogi Опубликовано 30 ноября, 2023 Поделиться Опубликовано 30 ноября, 2023 Здравствуйте, 3 недели назад мне удалили 4 зуба мудрости, неделю пил антибиотик, противовоспалительное, и поласкал рот, несколько дней назад начал чувствовать гнилистый привкус, появился запах гнили во рту, чистил лунки, и на зубной пасте была гниль, посмотрел в зеракало увидел что застряла еда в лунках, не получается вычистить зубной щеткой, вижу что-то зеленое, видимо стручковая фасоль. Сегодня ходил к дантисту (новичок), сказал что альвеолит, при том что нет ни температуры, ни боли, только еда в лунках которую не получается вычистить и запах гнилистый, ваши мысли по этому поводу? может поехать к хирургу чтобы почистил остатки еды? приложил к сообщению фотографию Ссылка на комментарий
woogowoogi Опубликовано 1 декабря, 2023 Автор Поделиться Опубликовано 1 декабря, 2023 Ссылка на комментарий
Irouil Опубликовано 1 декабря, 2023 Поделиться Опубликовано 1 декабря, 2023 Лучше всего сходит к леяащему врачу С очень высокой долей вероятности, достаточно просто промыть лунки антисептиком (из ирригатора на минимальном напоре либо из шприца с затупленой иглой), для пущей эффективности можно заложить в лунки Метрогила (из того же шприца, к примеру) и минут на 10 прикрыть их стерильными тампончиками, потом тщательно выполоскать рот водой Ничего криминального нет, но чистота лучше, чем не чистота 2 Ссылка на комментарий
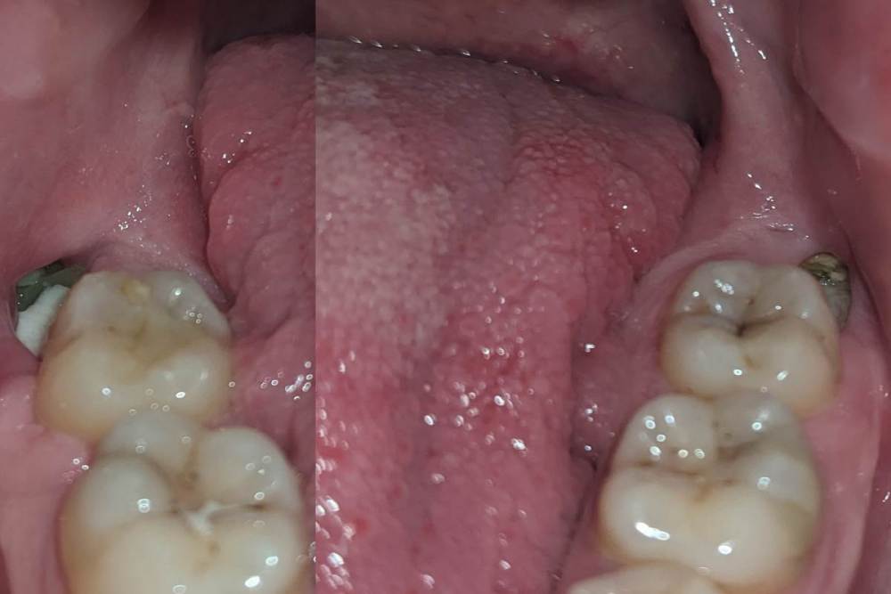
woogowoogi Опубликовано 1 декабря, 2023 Автор Поделиться Опубликовано 1 декабря, 2023 (изменено) 8 часов назад, Irouil сказал: Лучше всего сходит к леяащему врачу С очень высокой долей вероятности, достаточно просто промыть лунки антисептиком (из ирригатора на минимальном напоре либо из шприца с затупленой иглой), для пущей эффективности можно заложить в лунки Метрогила (из того же шприца, к примеру) и минут на 10 прикрыть их стерильными тампончиками, потом тщательно выполоскать рот водой Ничего криминального нет, но чистота лучше, чем не чистота Здравствуйте, вчера почистил щеткой лунки как смог, сегодня с утра начал поласкать рот средством с хлоргексидином, и мазать мазью Пародиум, теперь вот так выглядит, это нормально? сказали ещё надо антибиотики пропить, не знаю есть ли смысл? Изменено 1 декабря, 2023 пользователем woogowoogi Ссылка на комментарий
woogowoogi Опубликовано 1 декабря, 2023 Автор Поделиться Опубликовано 1 декабря, 2023 (изменено) Вот вроде ближе Изменено 1 декабря, 2023 пользователем woogowoogi Ссылка на комментарий
Irouil Опубликовано 1 декабря, 2023 Поделиться Опубликовано 1 декабря, 2023 На правой фотографии в лунке явно что-то лишнее. Надо вымыть струйно. Антибиотики без симптоматики я бы не рекомендовал 2 Ссылка на комментарий
Raystom Опубликовано 1 декабря, 2023 Поделиться Опубликовано 1 декабря, 2023 (изменено) @woogowoogi можете купить шприц обыкновенный для вв инъекций 5 или 10 мл, набрать туда хлоргексидин 0.05%, подогнуть иглу и, глядя на себя в зеркало, направить иглу в лунку, и аккуратно нажать на поршень. Тем самым вы струйно промоете лунки. После этого вынимаете поршень из шприца и вносите внутрь немного метрогила, фиксируете поршень обратно и в уже "чистые" лунки так же как и хлоргексидин вносите метрогил. Постоянно мыть лунки так же крайне не советую. Есть запах и боль - моем, нет, то и нечего трогать. Но как было написано выше лучше сходить на осмотр. Изменено 1 декабря, 2023 пользователем Raystom 1 1 Ссылка на комментарий
woogowoogi Опубликовано 1 декабря, 2023 Автор Поделиться Опубликовано 1 декабря, 2023 вроде очистил, но ощущение что уже фибрин вычищать стал, или это забитая еда была, не могу понять, вообще нормально что уже как месяц прошел а лунки до сих пор такие ? 2 часа назад, Irouil сказал: На правой фотографии в лунке явно что-то лишнее. Надо вымыть струйно. Антибиотики без симптоматики я бы не рекомендовал Ссылка на комментарий
Irouil Опубликовано 1 декабря, 2023 Поделиться Опубликовано 1 декабря, 2023 Вычищать не надо. Завели иглу в углубление, сильно надавили на поршень - все плохое вымоется, все хорошее - останется. Может быть немного больно Они долго заживают в таком состоянии, по несколько месяцев Ссылка на комментарий
Mailze Опубликовано 2 декабря, 2023 Поделиться Опубликовано 2 декабря, 2023 Пожалуйста, не занимайтесь самолечением?. Голосую за осмотр врача хирурга, который проводил операцию удаления зубов. Он и вымоет лишнее и проконтролирует что ничего лишнего в лунке нет и лекарство положит при необходимости. 1 Ссылка на комментарий
woogowoogi Опубликовано 2 декабря, 2023 Автор Поделиться Опубликовано 2 декабря, 2023 17 часов назад, Irouil сказал: Вычищать не надо. Завели иглу в углубление, сильно надавили на поршень - все плохое вымоется, все хорошее - останется. Может быть немного больно Они долго заживают в таком состоянии, по несколько месяцев Здравствуйте, я думаю что теперь у меня просто фибрин, не так ли ? его не трогать ? 7 часов назад, Mailze сказал: Пожалуйста, не занимайтесь самолечением?. Голосую за осмотр врача хирурга, который проводил операцию удаления зубов. Он и вымоет лишнее и проконтролирует что ничего лишнего в лунке нет и лекарство положит при необходимости. Здравствуйте, подскажите пожалуйста, это фибрин на шрамах ? 18 часов назад, Raystom сказал: @woogowoogi можете купить шприц обыкновенный для вв инъекций 5 или 10 мл, набрать туда хлоргексидин 0.05%, подогнуть иглу и, глядя на себя в зеркало, направить иглу в лунку, и аккуратно нажать на поршень. Тем самым вы струйно промоете лунки. После этого вынимаете поршень из шприца и вносите внутрь немного метрогила, фиксируете поршень обратно и в уже "чистые" лунки так же как и хлоргексидин вносите метрогил. Постоянно мыть лунки так же крайне не советую. Есть запах и боль - моем, нет, то и нечего трогать. Но как было написано выше лучше сходить на осмотр. Здравствуйте, это же фибрин в лунках начал образоваться? Ссылка на комментарий
Irouil Опубликовано 2 декабря, 2023 Поделиться Опубликовано 2 декабря, 2023 На этом форуме мы не занимаемся медицинским просвещением в общеобразовательных целях, а Ваш вопрос требует определённого ликбеза, на мой взгляд. Ссылка на комментарий
woogowoogi Опубликовано 2 декабря, 2023 Автор Поделиться Опубликовано 2 декабря, 2023 1 час назад, Irouil сказал: На этом форуме мы не занимаемся медицинским просвещением в общеобразовательных целях, а Ваш вопрос требует определённого ликбеза, на мой взгляд. ладно спрошу по другому, сейчас по вашему мнению выглядят лунки лучше? Ссылка на комментарий
Рекомендуемые сообщения
Для публикации сообщений создайте учётную запись или авторизуйтесь
Вы должны быть пользователем, чтобы оставить комментарий
Создать аккаунт
Зарегистрируйте новый аккаунт в нашем сообществе. Это очень просто!
Регистрация нового пользователяВойти
Уже есть аккаунт? Войти в систему.
Войти