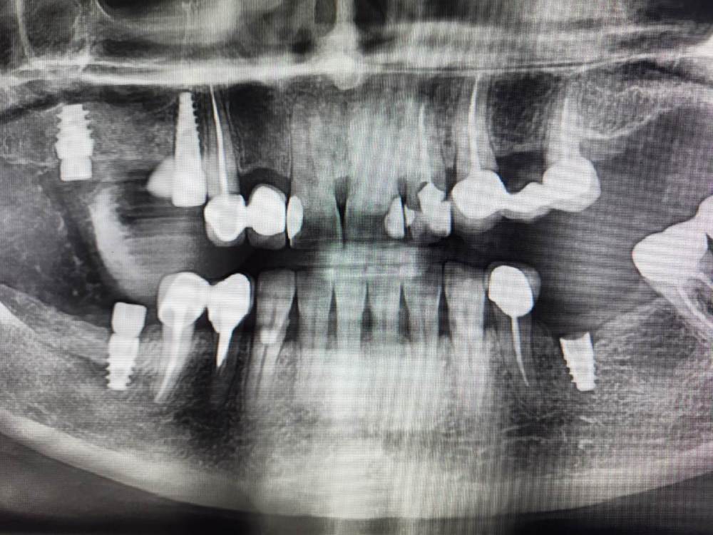
Irouil Опубликовано 28 ноября, 2023 Поделиться Опубликовано 28 ноября, 2023 Дорогие коллеги, прошу советов и мнений Пациентка 52 лет, соматика без особенностей В мае 2023 установлен имплант в позицию 3.5, первый срез КТ - на момент установки. В августе был утерян ФДМ, установил другой, снимок на момент обращения с незначительной резорбцией В ноябре пациентка пришла протезироваться, у винта выраженная щелевидная резорбция язычно и кратерообразная - параплатформенно Три других винта, установленных в то же время (но без головняка с ФДМ) выглядят более чем удовлетворительно Что скажете? P.S. поперечный срез КТ выставлен на уровне платформы импланта Ссылка на комментарий
АнтонТЛТ Опубликовано 28 ноября, 2023 Поделиться Опубликовано 28 ноября, 2023 Фдм упёрся в кость язычно, кость от сдавления рассосались, фдм расшатался и начал подсасывать слюну. А потом совсем выпал. 1 3 Ссылка на комментарий
Irouil Опубликовано 28 ноября, 2023 Автор Поделиться Опубликовано 28 ноября, 2023 29 минут назад, АнтонТЛТ сказал: Фдм упёрся в кость язычно, кость от сдавления рассосались, фдм расшатался и начал подсасывать слюну. А потом совсем выпал. Все так, но вопрос не в этом Вопрос в том, почему резорбция усилилась после установки ФДМ и какой выбрать план действий? Я периодически наблюдаю реминерализацию тканей в таких дефектах после фиксации протетики, но только на конусах. С другой стороны, глубокий дефект здесь достаточно узкий и только в одном месте, окружён хорошими стенками. Не хочу проводить имплантопластику (по мне уже проще переустановить, если винт не запротезирован), но надкостнично думаю провести небольшой кюретаж (по краям костных стенок дефекта), поменять ФДМ на новый и дать время. P.S. есть ещё снимок сразу после рефиксации ФДМ, там картина в разы лучше (собственно, он сделан в тот же день, что и снимок без ФДМ) Ссылка на комментарий
АнтонТЛТ Опубликовано 28 ноября, 2023 Поделиться Опубликовано 28 ноября, 2023 Если произошло инфицирование имплантата, тем более с язычной стороны и поверхность не была зачищенна, то почему резорбция должна была остановиться. Я бы просто переставил. 1 Ссылка на комментарий
Большой Зеленый Опубликовано 29 ноября, 2023 Поделиться Опубликовано 29 ноября, 2023 Профайлер наше все. очень внимательно надо смотреть чтобы фдм торкнул не в плечи а именно в имплант Или берите тонкий формик. 1 Ссылка на комментарий
Irouil Опубликовано 29 ноября, 2023 Автор Поделиться Опубликовано 29 ноября, 2023 Тут тоже - мнений больше чем врачей, честно говоря Я сам никогда профайлером не пользовался, ибо даже с периодически утерянными ФДМ раньше никогда такой фигни не встречал. Часто начинается резорбция у незаглубленных винтов при утере ФДМ, схожая заглушечной. Здесь тоже резорбция то именно без ФДМ не криминальная. К сожалению, зачастую ФДМ дезертируют даже при точной посадке и контролем фиксации торком, но я тут грешу, конечно, на их "многоразовость". Что касается профайлеров - у Габора Теппера спрашивал по его снимкам с явно недосаженными ФДМ, он принципиально отверг профайлер и утверждает, что все ФДМ докручивает через неделю Ссылка на комментарий
Fin Опубликовано 29 ноября, 2023 Поделиться Опубликовано 29 ноября, 2023 Второй раз прикручивали ФДМ трещеткой?Может передавили вторым ФДМ. Ссылка на комментарий
Irouil Опубликовано 30 ноября, 2023 Автор Поделиться Опубликовано 30 ноября, 2023 Нет, руками Передавил что - язычный костный край? Ссылка на комментарий
annda Опубликовано 30 ноября, 2023 Поделиться Опубликовано 30 ноября, 2023 (изменено) А что не так с многоразовостью? Изменено 30 ноября, 2023 пользователем annda Ссылка на комментарий
Fin Опубликовано 30 ноября, 2023 Поделиться Опубликовано 30 ноября, 2023 13 часов назад, Irouil сказал: Нет, руками Передавил что - язычный костный край? Да, но думаю руками это не возможно Ссылка на комментарий
Irouil Опубликовано 30 ноября, 2023 Автор Поделиться Опубликовано 30 ноября, 2023 @Fin а какой торк Вы ФДМам даёте? Неужели больше 15 Н*см? Это вполне подъёмные для крепких пальцев цифры 2 часа назад, annda сказал: А что не так с многоразовостью? Резьба со временем портится, фиксация хуже Ссылка на комментарий
Fin Опубликовано 30 ноября, 2023 Поделиться Опубликовано 30 ноября, 2023 1 час назад, Irouil сказал: @Fin а какой торк Вы ФДМам даёте? Неужели больше 15 Н*см? Это вполне подъёмные для крепких пальцев цифры Резьба со временем портится, фиксация хуже От руки 10 Н* см примерно.Трещеткой кручу ФДМы если только имплант интегрирован. Ссылка на комментарий
Irouil Опубликовано 7 декабря, 2023 Автор Поделиться Опубликовано 7 декабря, 2023 Ой, что-то тему в пациенстком разделе создал Прошу покорно @Docперенести её во врачебный, извиняюсь за невнимательность Ссылка на комментарий
red_butler Опубликовано 7 декабря, 2023 Поделиться Опубликовано 7 декабря, 2023 2 минуты назад, Irouil сказал: Ой, что-то тему в пациенстком разделе создал Прошу покорно @Docперенести её во врачебный, извиняюсь за невнимательность перенес 1 Ссылка на комментарий
Рекомендуемые сообщения
Для публикации сообщений создайте учётную запись или авторизуйтесь
Вы должны быть пользователем, чтобы оставить комментарий
Создать аккаунт
Зарегистрируйте новый аккаунт в нашем сообществе. Это очень просто!
Регистрация нового пользователяВойти
Уже есть аккаунт? Войти в систему.
Войти