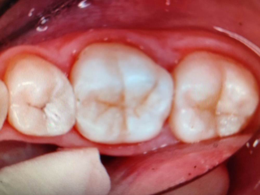
Алексей34679734 Опубликовано 18 ноября, 2023 Поделиться Опубликовано 18 ноября, 2023 Заболел зуб на нижней челюсти, искал стоматолога только по эстетической реставрации, другие манипуляции с моими зубами меня не интересуют. Пока болел зуб, я искал стоматолога который мне нужен, нашел именно того врача который мне нужен. Но к сожалению он был в отпуске. И мне нечего не оставалось делать пойти с острой болью в другую стоматологию. Вроде думал нашел то что мне надо, и мне ещё знакомые начали советовать. Пришел с острой болью, сказал мне просто пломба не нужна, вы делаете эстетическую художественную реставрацию, мне сказали Да. Меня принял врач, начал обследовать, на тот зуб который я жаловался, мы решили делать другой, по причине того что он на все манипуляции реагировал. Нерв удалили, поставили временную пломбу, когда спал наркоз, у меня все так же стал болеть зуб на который жаловался. Считаю не нужно было трогать зуб который реагировал на манипуляции стоматолога, это была просто иннервация от больного зуба, могу и ошибаться. Пришел обратно говорю, что болит зуб на который жаловался. Удалили нерв боли ушли. Когда делали зуб, как я думал что делали реставрацию, при завершении, я тактильно почувствовал что материал пломбировочный шершавый, и зуб отличается. Я переспросил а вы мне художественную реставрацию сделали, мне сказал что нет это пломба. Я стал ругаться, я же просил вас художественную. Мне врач сказал что он смоделировал, но для меня все равно отличия были, художественная и пломба это разные вещи. Вроде как привык присмотрелся, ладно сойдёт, вроде нормально. Прихожу делать зуб который как считаю трогать не нужно было, удалять в нем нервы. Лег в кресло стоматологическое, врач сказал будем делать художественную, ты же то хочешь, я говорю да. Короче по завершению лечения, это не какая не реставрация,а просто обычная пломба, та которая стояла у меня, лет 15 назад, отличий не увидел. Я даже спорить не стал, сказал все нормально. Планирую полностью реставрировать жевательные зубы, и убрать старые пломбы, и те две новые пломбы которые мне поставили. Я за эстетику. Понял одно, если кажется что что то не так, значит не кажется, к интуиции нужно прислушиваться, а не переубеждать другого человека, мож для него пломба это и есть художественная реставрация. Изначально не хотел в этой стоматологии лечить зубы, но зубная боль, вынудила меня пойти туда, мож этим и пользуются. Я очень расстроен, нужно было походить с временными пломбами, и дождаться врача которого я выбрал. Что думаете по этому поводу, мне интересно ваше мнение. Фото задний жевательный зуб, который находится с мудрым зубом которого у меня нет. И зуб который у меня изначально болел, и в нем почему-то не убрали кариес, это третий от дальнего жевательного зуба. Ссылка на комментарий
Алексей34679734 Опубликовано 18 ноября, 2023 Автор Поделиться Опубликовано 18 ноября, 2023 Забыл дописать, очень сильна видна белая граница пломбы, и в общем сама пломба очень сильно отличается от цвета родного зуба. Ссылка на комментарий
red_butler Опубликовано 19 ноября, 2023 Поделиться Опубликовано 19 ноября, 2023 Здравствуйте, о каком зубе речь? Ссылка на комментарий
Алексей34679734 Опубликовано 19 ноября, 2023 Автор Поделиться Опубликовано 19 ноября, 2023 @red_butler нижняя челюсть, самый задний зуб Ссылка на комментарий
Женька Опубликовано 19 ноября, 2023 Поделиться Опубликовано 19 ноября, 2023 Здравствуйте. Можно увидеть Ваше фото с широкой улыбкой, пожалуйста. Ссылка на комментарий
red_butler Опубликовано 19 ноября, 2023 Поделиться Опубликовано 19 ноября, 2023 2 часа назад, Алексей34679734 сказал: @red_butler нижняя челюсть, самый задний зуб вполне приличная реставрация 4 Ссылка на комментарий
Алексей34679734 Опубликовано 19 ноября, 2023 Автор Поделиться Опубликовано 19 ноября, 2023 Меня просто смущает белая граница пломбы. Само лечение понравилось, препарирование зуба, чистка каналов, все аккуратно мне делали. Я просто заморочен на эстетике. Я зубы показал другим врачам, мне сказали нормально сделали. Изначально хотел делать в другой клинике, цена там трёх канального 25 тыс. Они меня отговаривали делать эстетическую, ее делают тока на передних зубах. Короче я не стал там делать. И они меня просили что бы я показал как сделают мне зуб в другой клинике, им интересно. Я им отправил фото, они тоже сказали что нормально мне сделали. Ссылка на комментарий
Алексей34679734 Опубликовано 19 ноября, 2023 Автор Поделиться Опубликовано 19 ноября, 2023 @Женька да я скину завтра у меня фотопратокол на почте Ссылка на комментарий
Алексей34679734 Опубликовано 21 ноября, 2023 Автор Поделиться Опубликовано 21 ноября, 2023 @Алексей34679734 @Женька да я скину завтра у меня фотопратокол на почте Ссылка на комментарий
Алексей34679734 Опубликовано 21 ноября, 2023 Автор Поделиться Опубликовано 21 ноября, 2023 Короче стал болеть зуб, тот на который жаловался, корневая острая боль, реагирует на теплое, и жевание. Теперь придется его вскрывать. Подал в частную клинику Досудебную претензию. Ссылка на комментарий
Алексей34679734 Опубликовано 21 ноября, 2023 Автор Поделиться Опубликовано 21 ноября, 2023 Просил делать вот так, эти работы врача у которого мне будут все переделывать. Именно вот так стоматологи должны делать, а не как иначе. Ссылка на комментарий
Женька Опубликовано 21 ноября, 2023 Поделиться Опубликовано 21 ноября, 2023 @Алексей34679734 я просил Вашу улыбку, а не фото с ретрактором. Ссылка на комментарий
Irouil Опубликовано 21 ноября, 2023 Поделиться Опубликовано 21 ноября, 2023 @Алексей34679734 смелые заявления, конечно Имхо раз ТС уже решил что и как делать, то можно временно закрыть тему, пока не появятся новые вопросы 1 Ссылка на комментарий
Рекомендуемые сообщения
Для публикации сообщений создайте учётную запись или авторизуйтесь
Вы должны быть пользователем, чтобы оставить комментарий
Создать аккаунт
Зарегистрируйте новый аккаунт в нашем сообществе. Это очень просто!
Регистрация нового пользователяВойти
Уже есть аккаунт? Войти в систему.
Войти