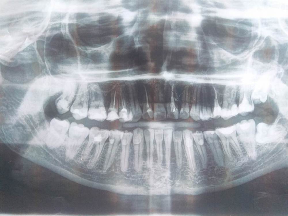
Primavera2023 Опубликовано 28 октября, 2023 Поделиться Опубликовано 28 октября, 2023 (изменено) Здравствуйте. Мой возраст 32 года. 6-8 лет назад мне лечили глубокий кариес сразу на многих зубах. Пломбы стоят близко к нервам. Пару раз стоматолог случайно вскрывал рог пульпы. После лечения была иногда боль на 2-3 дня. Потом всё проходило. Хотелось бы проверить витальность данных зубов на ЭОД. Есть ли смысл? Интересуют следующие зубы : Сверху 1.6. 1.7. 2.6. Снизу: 4.3, 4.4. 4.5. 4.7, 3.4, 3.7 Зуб 1.8. недавно перелечила, глубокий кариес под пломбой, зуб витальный, т.к. была ощутимая боль в процессе. Хочу сделать ЭОД через полгода. Зуб 4.6. резорцин, окрашена только пришеечная часть и корни, что просвечивают под десной. Хочу перелечить, но боюсь потерять зуб! Тоже ради интереса хочу проверить на ЭОД. Зуб 4.8. кариес, 3 дня назад появилось 2 небольших пятна на эмали, стал самопроизвольно поднывать, иду на перепломбировку во вторник. Проверить ЭОД на пульпит? Зуб 3.6. пришлось неделю назад депульпировать, так как развился хронический пульпит. Тут всё понятно. Также на девитальном зубе 1.4. как-то плохо заполнены каналы, или мне так кажется? Ретинированные и дистопированные зубы 2.8, 3.8. планирую удалять. Не беспокоят, но боюсь что разрушат соседние семёрки. Ортопантомограмму делала в июле этого года. Изменено 28 октября, 2023 пользователем Primavera2023 Ссылка на комментарий
Carioznik Опубликовано 29 октября, 2023 Поделиться Опубликовано 29 октября, 2023 (изменено) 28.10.2023 в 12:11, Primavera2023 сказал: Хочу перелечить, но боюсь потерять зуб! 15 зуб -первый кандидат на удаление. На втором и третьем месте :14 и 25. Я бы силы вначале бросил на них. Но все они требуют перелечивания и закрытия коронками. Но С 15 зубом , боюсь что уже поздно что-то делать Ps мнение основано только лишь на этом снимке. Нужен осмотр и возможно 3д снимок Изменено 29 октября, 2023 пользователем Carioznik Ссылка на комментарий
Primavera2023 Опубликовано 29 октября, 2023 Автор Поделиться Опубликовано 29 октября, 2023 (изменено) Спасибо. Попрошу стоматолога посмотреть указанные Вами зубы на приёме и снимок покажу. Без коронок на этих зубах уже не обойтись? А ЭОД витальных зубов с большими пломбами стоит сделать для проверки на хронический пульпит или нет смысла? Изменено 29 октября, 2023 пользователем Primavera2023 Ссылка на комментарий
Carioznik Опубликовано 29 октября, 2023 Поделиться Опубликовано 29 октября, 2023 51 минуту назад, Primavera2023 сказал: Без коронок на этих зубах уже не обойтись Можно, но они, с большой вероятностью ,через несколько лет разрушаться и их придётся удалить. С коронками, вероятность, что эти зубы сохранятся дольше будет существенно выше 1 Ссылка на комментарий
Carioznik Опубликовано 29 октября, 2023 Поделиться Опубликовано 29 октября, 2023 (изменено) 57 минут назад, Primavera2023 сказал: А ЭОД витальных зубов с большими пломбами стоит сделать для проверки на хронический пульпит или нет смысла? Есть смысл, но для этого можно обойтись обычным холодовым тестом. Врач сам решит каким способом лучше проверить эти зубы Изменено 29 октября, 2023 пользователем Carioznik 1 1 Ссылка на комментарий
Рекомендуемые сообщения
Для публикации сообщений создайте учётную запись или авторизуйтесь
Вы должны быть пользователем, чтобы оставить комментарий
Создать аккаунт
Зарегистрируйте новый аккаунт в нашем сообществе. Это очень просто!
Регистрация нового пользователяВойти
Уже есть аккаунт? Войти в систему.
Войти