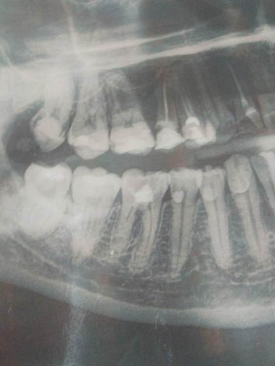
Primavera2023 Опубликовано 27 октября, 2023 Поделиться Опубликовано 27 октября, 2023 (изменено) Здравствуйте. Мне 32 года. 11 лет назад залечили пульпит нижней правой 6, как потом выяснилось резорцин - формалином. Узнала только недавно. До этого никто из стоматологов не мог объяснить красновато- коричневый цвет эмали пришеечной части зуба. Говорили, просто патологическая стираемость. Десна первое время болела, потом прошла. Вскоре десна возле зуба стала серого оттенка. И навсегда увеличился лимфоузел на шее справа. Узнала, что эта паста вредна как местно, так и для всего организма и что такой зуб может быть очагом хронической инфекции. Да и сама пломба на зубе очень заметная. Насколько сложно будет перелечить этот зуб с нормальной пломбировкой каналов? Нужно ли обязательно искать врача с микроскопом и коффердамом, так как это будет дороже? Большой ли риск потерять зуб в процессе повторного эндодонтического лечения? Простоит ли зуб дольше, если его перелечить? И можно ли будет не ставить коронку, а повторно закрыть световой пломбой? Меня смущает, что на снимке часть канала справа замурована дентином. Прочитала, что это может говорить о том, что резорцин-формалиновая паста при пломбировке попала на ещё живую пульпу и теперь в этой части канала "стекло", пройти которое проблематично, а порой и невозможно. И можно ли будет там не проходить, если врач не сможет? Зуб не беспокоит, кроме небольшого эстетического дефекта. Беспокоит серый цвет десны возле него. Изменено 27 октября, 2023 пользователем Primavera2023 Ссылка на комментарий
Doc Опубликовано 28 октября, 2023 Поделиться Опубликовано 28 октября, 2023 На большую часть вопросов ответить сможет врач только после того, как вскроет зуб и попытается залезть внутрь. По идее, такой зуб нужно перелечить, но после резорцина это не всегда удается. Удастся или нет конкретно в данном случае, покажет только вскрытие. Но у вас есть еще 15 зуб, с которым проблем не меньше, если не больше. Возможно, и другие зубы требуют перелечивания. Но все это по одному снимку не скажешь. 1 Ссылка на комментарий
Primavera2023 Опубликовано 28 октября, 2023 Автор Поделиться Опубликовано 28 октября, 2023 (изменено) Спасибо за ответ! Попробую переделать Боюсь, как бы совсем без зуба не остаться. Если я правильно поняла, серый оттенок десны связан с тем, что окрашенные корни зуба просвечивают через неё, а не с некрозом, о чём я подумала вначале. В 15 девитальном зубе частичное разрушение коронковой части возле пломбы? Там мне в 2016 году лечили периодонтит через десну и вводили какой-то композит. Был открытый свищевой ход. Зуб шатался, предлагали удалить. Но потом укрепился и больше не беспокоил. Изменено 28 октября, 2023 пользователем Primavera2023 Ссылка на комментарий
Рекомендуемые сообщения
Для публикации сообщений создайте учётную запись или авторизуйтесь
Вы должны быть пользователем, чтобы оставить комментарий
Создать аккаунт
Зарегистрируйте новый аккаунт в нашем сообществе. Это очень просто!
Регистрация нового пользователяВойти
Уже есть аккаунт? Войти в систему.
Войти