Irouil Опубликовано 4 августа, 2023 Поделиться Опубликовано 4 августа, 2023 Всех приветствую! Наши протезисты столкнулись с частыми раскручиваниями одиночных коронок на имплантах в терминальных дефектах. Какие факторы стоит рассмотреть, кроме неоригинальной протетики? Всем спасибо за мнения Ссылка на комментарий
DoctorT Опубликовано 4 августа, 2023 Поделиться Опубликовано 4 августа, 2023 2 часа назад, Irouil сказал: Всех приветствую! Наши протезисты столкнулись с частыми раскручиваниями одиночных коронок на имплантах в терминальных дефектах. Какие факторы стоит рассмотреть, кроме неоригинальной протетики? Всем спасибо за мнения Что значит в терминальных дефектах? Ссылка на комментарий
АнтонТЛТ Опубликовано 4 августа, 2023 Поделиться Опубликовано 4 августа, 2023 2 часа назад, DoctorT сказал: Что значит в терминальных дефектах? Концевые) Ортопеды после фиксации рентген контроль делают? Ссылка на комментарий
Irouil Опубликовано 4 августа, 2023 Автор Поделиться Опубликовано 4 августа, 2023 @АнтонТЛТ да, безусловно Ссылка на комментарий
NazranDantist Опубликовано 4 августа, 2023 Поделиться Опубликовано 4 августа, 2023 (изменено) Коронка должна устанавливаться пассивно, когда ключом дотягивают, буквально пол оборота должно хватать до достижения 25-30Нм. Бывают суперконтакты по проксималке, по Рг вроде все сидит, при этом коронку ключом долго дотягивали, и в итоге через время винт откручивается. В остальном можно только гадать). Изменено 4 августа, 2023 пользователем NazranDantist Ссылка на комментарий
АнтонТЛТ Опубликовано 4 августа, 2023 Поделиться Опубликовано 4 августа, 2023 Какая не оригинальная протетика? Ссылка на комментарий
Irouil Опубликовано 4 августа, 2023 Автор Поделиться Опубликовано 4 августа, 2023 @АнтонТЛТ оригинальная, осстемы/мегаджены @NazranDantist вроде проверяют, затяжка в два этапа с разницей в несколько дней Ссылка на комментарий
annda Опубликовано 4 августа, 2023 Поделиться Опубликовано 4 августа, 2023 У Осстема вот не удивляюсь, а с Энириджем прямо удивили, ни разу не встречала на нем раскрутки винта в таких случаях, там такой зверский конус. Ссылка на комментарий
Irouil Опубликовано 4 августа, 2023 Автор Поделиться Опубликовано 4 августа, 2023 @annda с эниуаном, там конус такой же Ссылка на комментарий
АнтонТЛТ Опубликовано 4 августа, 2023 Поделиться Опубликовано 4 августа, 2023 Рентген можно посмотреть? Ссылка на комментарий
Irouil Опубликовано 5 августа, 2023 Автор Поделиться Опубликовано 5 августа, 2023 8 часов назад, АнтонТЛТ сказал: Рентген можно посмотреть? Соберу на следующей неделе парочку и выложу Ссылка на комментарий
Fin Опубликовано 5 августа, 2023 Поделиться Опубликовано 5 августа, 2023 Из своей практики я заметил что при винтовых фиксациях лучше подтягивать винт не через несколько дней, а через месяц или два. Чаще всего получается что коронка давит немного на зуб,зуб двигается и винт ослабляется. Так же зависимо от торка при подтяжке (если ниже 20 н.см) приглашаю пациента ещё в третий раз.Так как не факт что давление на зуб ушло полностью. Хоть и редко но бывает и такое. 1 Ссылка на комментарий
Irouil Опубликовано 5 августа, 2023 Автор Поделиться Опубликовано 5 августа, 2023 @Fin а Вы подтягиваете все винты или только на конусах? Ссылка на комментарий
Fin Опубликовано 5 августа, 2023 Поделиться Опубликовано 5 августа, 2023 36 минут назад, Irouil сказал: @Fin а Вы подтягиваете все винты или только на конусах? Все винтовые фиксации. Где есть плотные контакты с зубами или десной. По моему мнению если есть контакт с зубом, коронкой на импланте и т.д. всегда будет напряжение. В случае с зубом и десной- двинутся немного, в случае с имплантом надо контролировать контакты тщательно. Ссылка на комментарий
kramer Опубликовано 5 августа, 2023 Поделиться Опубликовано 5 августа, 2023 Я все затягиваю единожды, никогда ничего не раскручивалось. Было в начале практики пару раз, когда коронка уперлась в контакт, а я не заметил по неопытности. Использовал только оригинальные винты, работаю(л) на icx, nobel, neodent 1 Ссылка на комментарий
annda Опубликовано 7 августа, 2023 Поделиться Опубликовано 7 августа, 2023 Ну вот , у меня объявилась пациентка, регулярная раскрутка винта на Симпллайне(TL) , 17. Жесточайшая бруксистка, вопросы изготовления каппы игнорировала. Ссылка на комментарий
NazranDantist Опубликовано 7 августа, 2023 Поделиться Опубликовано 7 августа, 2023 7 часов назад, annda сказал: Ну вот , у меня объявилась пациентка, регулярная раскрутка винта на Симпллайне(TL) , 17. Жесточайшая бруксистка, вопросы изготовления каппы игнорировала. На симпллайне постоянно откручивается). Штук 100 установил имплантов/коронок, раз в месяц кто-то заходит подкрутить). На других полир шейках мало работал, не знаю, то ли это проблема симпллайна, то ли всех имплантов такого типа Ссылка на комментарий
Женька Опубликовано 8 августа, 2023 Поделиться Опубликовано 8 августа, 2023 @NazranDantist а какой абатмент? Ссылка на комментарий
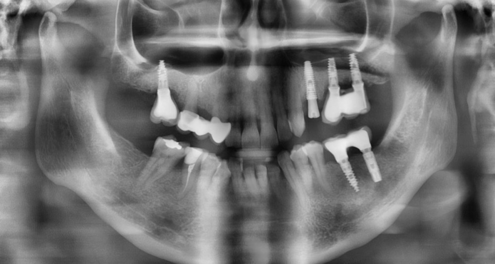
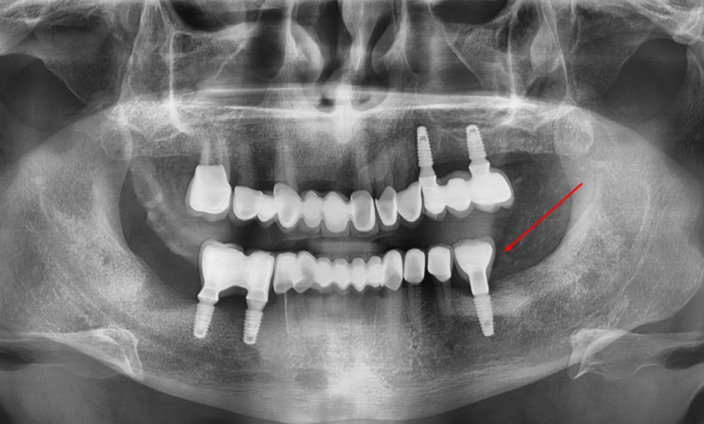
Irouil Опубликовано 8 августа, 2023 Автор Поделиться Опубликовано 8 августа, 2023 Ссылка на комментарий
АнтонТЛТ Опубликовано 8 августа, 2023 Поделиться Опубликовано 8 августа, 2023 Лучше прицельные снимки делать, на таких не рассмотреть ничего. Форум сильно сжимает изображение. Либо кадрировать эти снимки. Почему тибейсы такие короткие используются? Ссылка на комментарий
NazranDantist Опубликовано 8 августа, 2023 Поделиться Опубликовано 8 августа, 2023 (изменено) Вполне возможно упирается в ткани протетика, закручивали с усилием. Только ортопед вам правду расскажет). Если пассивно закручивал протетику, то откручивается по не зависящим от нас причинам, в противном случае- винт под напряжением, либо в тканях упирается, либо контактный пункт. Изменено 8 августа, 2023 пользователем NazranDantist 1 Ссылка на комментарий
NazranDantist Опубликовано 8 августа, 2023 Поделиться Опубликовано 8 августа, 2023 12 часов назад, Женька сказал: @NazranDantist а какой абатмент? Титановые основания оригинал. Ссылка на комментарий
Irouil Опубликовано 9 августа, 2023 Автор Поделиться Опубликовано 9 августа, 2023 @АнтонТЛТ думаете короткие ти бейсы могут повлиять? Я сейчас не про пассивность. Лаба работает вообще с большим количеством нареканий, самое смешное в этом то, что она наша)) @NazranDantist согласен, есть риски, что какие-то сели внатяг. Ссылка на комментарий
annda Опубликовано 9 августа, 2023 Поделиться Опубликовано 9 августа, 2023 08.08.2023 в 03:08, NazranDantist сказал: На симпллайне постоянно откручивается). Штук 100 установил имплантов/коронок, раз в месяц кто-то заходит подкрутить). На других полир шейках мало работал, не знаю, то ли это проблема симпллайна, то ли всех имплантов такого типа На врала.Ээто со слов пациентки по телефону реально зашатался предпоследний имплантат,поставленный 7 лет назад,Осстем.Классика,перелом шейки . 1 Ссылка на комментарий
АнтонТЛТ Опубликовано 9 августа, 2023 Поделиться Опубликовано 9 августа, 2023 Разве что короткие тибейсы могут упираться в ткани. Фдм какого диаметра используются на молярах? Ссылка на комментарий
Рекомендуемые сообщения
Для публикации сообщений создайте учётную запись или авторизуйтесь
Вы должны быть пользователем, чтобы оставить комментарий
Создать аккаунт
Зарегистрируйте новый аккаунт в нашем сообществе. Это очень просто!
Регистрация нового пользователяВойти
Уже есть аккаунт? Войти в систему.
Войти