TIGER Опубликовано 14 июля, 2023 Поделиться Опубликовано 14 июля, 2023 (изменено) тнн4ке Изменено 14 июля, 2023 пользователем TIGER 3 1 1 Ссылка на комментарий
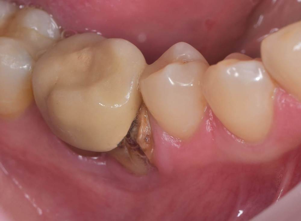
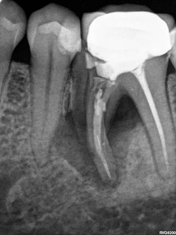
TIGER Опубликовано 14 июля, 2023 Автор Поделиться Опубликовано 14 июля, 2023 всем привет!Не всегда одномоментная имплантация метод выбора,в данном кейсе пошёл по более прогнозируемому пути для сохранения тканей 1 1 Ссылка на комментарий
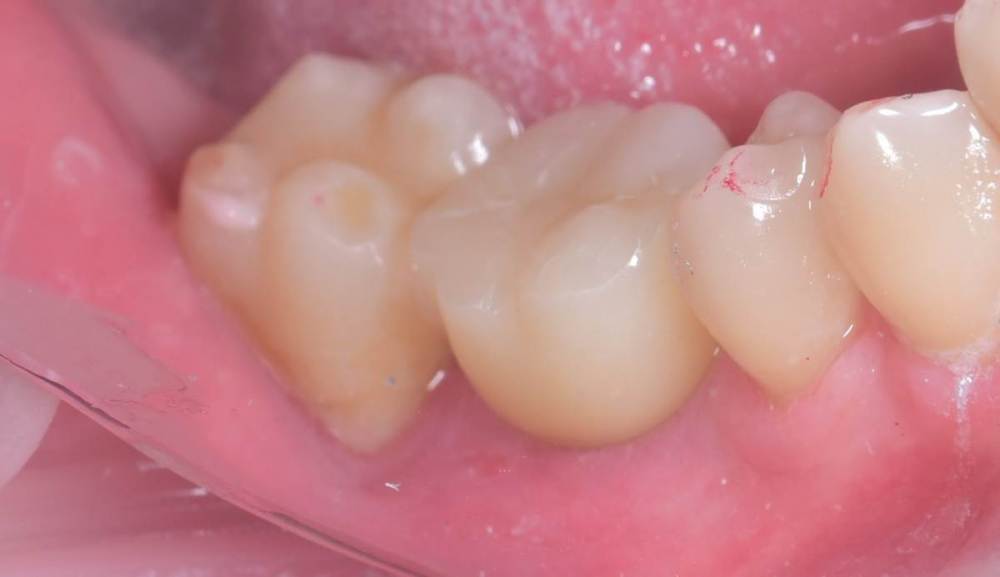
Doc Опубликовано 14 июля, 2023 Поделиться Опубликовано 14 июля, 2023 7 часов назад, TIGER сказал: всем привет!Не всегда одномоментная имплантация метод выбора,в данном кейсе пошёл по более прогнозируемому пути для сохранения тканей И очень неплохо получилось 1 1 Ссылка на комментарий
Fin Опубликовано 14 июля, 2023 Поделиться Опубликовано 14 июля, 2023 Подскажите пожалуйста, что вы пинами делали? Ссылка на комментарий
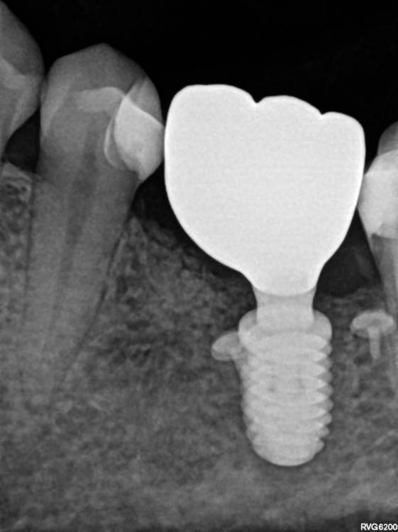
TIGER Опубликовано 14 июля, 2023 Автор Поделиться Опубликовано 14 июля, 2023 @Doc спасибо ☺️ @Fin фиксировал мембрану Ссылка на комментарий
Fin Опубликовано 14 июля, 2023 Поделиться Опубликовано 14 июля, 2023 5 минут назад, TIGER сказал: @Doc спасибо ☺️ @Fin фиксировал мембрану Наверное я недопонимаю по данным фотографиям. На каком этапе Вы делали НКР? 1. Удаление 2.НКР+ импоантация? Ссылка на комментарий
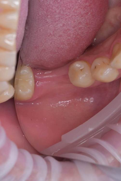
TIGER Опубликовано 14 июля, 2023 Автор Поделиться Опубликовано 14 июля, 2023 @Fin 2 й этап имплант&нкр Ссылка на комментарий
Irouil Опубликовано 15 июля, 2023 Поделиться Опубликовано 15 июля, 2023 Интересно, одномоментно в лунку дистального корня не зашло бы? Предположу, что либо ангуляция вышла бы экстремальной, либо слишком близко к вестибулярной стенке пришлось бы ставить Вообще, эти случаи с выраженным поднутрением в боковых отделах нижней челюсти достаточно коварные, на мой взгляд, с точки зрения позиционирования 1 Ссылка на комментарий
Doc Опубликовано 15 июля, 2023 Поделиться Опубликовано 15 июля, 2023 Раньше мы очень берегли каждую семерку, если она даже под приличным углом стояли, но с опытом поняли, что из-за поднутрений прогноз и у имплантатов сильно ухудшается и у самих семерок. Теперь предлагаем пациенту альтернативу: либо идет к ортодонтам, ставит минивинты и тащит семерку на место, либо удаляем и ставим в идеальную позицию два имплантата с хорошим прогнозом. В данном случае угол есть, но не смертельный. Жить будет. 3 Ссылка на комментарий
Irouil Опубликовано 15 июля, 2023 Поделиться Опубликовано 15 июля, 2023 Я, честно говоря, о другом поднутрении говорил) о поднижнечелюстном, куда заплывает одноименная слюнная железа. Некоторые авторы рекомендуют и даже показывают успешные кейсы аугментации этой области, ибо в экстремальных случаях аугментировать крестально просто некуда - но две попытки отслойки до сих пор у меня заканчивались разрывом надкостницы и выходом в подмышечную область, что чревато. Интересно, пробует ли кто-то из форумчан смещать железу и использовать это пространство для твердотканных аугментаций Ссылка на комментарий
Doc Опубликовано 15 июля, 2023 Поделиться Опубликовано 15 июля, 2023 Понял. Ну, про наклон семерок тоже актуально. Ссылка на комментарий
TIGER Опубликовано 15 июля, 2023 Автор Поделиться Опубликовано 15 июля, 2023 @Irouil было бы сложно стабилизировать в этих условиях,в случае неуда ситуация усугблялась,решил пойти по пути сохранения тканей,дал организму самому регенирировать,при имплантации добавил чуть тканей @Doc ещё Миш писал в книге о минусах имплантации семёрок кстати 1 Ссылка на комментарий
wladdX Опубликовано 15 июля, 2023 Поделиться Опубликовано 15 июля, 2023 (изменено) Досадная описка про подмышечную область. Отдыхать надо, коллеги Изменено 15 июля, 2023 пользователем wladdX Ссылка на комментарий
Irouil Опубликовано 15 июля, 2023 Поделиться Опубликовано 15 июля, 2023 Подмышечно - это, конечно, субмускулярно или супрапериостально, речь шла о слое) Спасибо за коррекцию Ссылка на комментарий
Рекомендуемые сообщения
Для публикации сообщений создайте учётную запись или авторизуйтесь
Вы должны быть пользователем, чтобы оставить комментарий
Создать аккаунт
Зарегистрируйте новый аккаунт в нашем сообществе. Это очень просто!
Регистрация нового пользователяВойти
Уже есть аккаунт? Войти в систему.
Войти