Mariaduya Опубликовано 5 июля, 2023 Поделиться Опубликовано 5 июля, 2023 (изменено) Здравствуйте. У меня сложная ситуация, боли в челюсти практически 1.5 года. Врачи не видят проблем, уже не знаю куда обратиться. Хронология. 1. В ноябре 2021 начал слегка болеть 1.6 зуб. В стоматологии мне его сразу начали депульпировать, без снимка. В ходе лечения не болел, как запломбировали каналы, постепенно появилась ноющая, постоянная боль. Я обратилась снова, сказали, что на зубе есть хроническое воспаление и ввели антибиотик туда при помощи электрофареза. Среагировал 2.5 зуб с другой стороны, и тоже начал постоянно болеть, он был депульпирован давно, но в нем развился большой кариес. 2. Мне начали их перелечивать. 1.6. не получилось пройти канал, залили резодентом, 2.5 просто переличили. 3. Боль все ещё осталась, уже в двух зубах. Врачи ничего не знают, отправили к неврологу, ЛОРУ и т.д. 4. Обошла неврологов, лоров, делала мрт, кт с контрастом головы, пазух носа, все ок. Невролог выписывает финлепсин, не помог. 5. Делала в частной клинике кт зубов, без описания, ещё не знала, что оно нужно, врач посмотрела и сказала, что видит небольшое, хроническое воспаление на 1.6 зубе и все, а так она не знает. 6. И так 1.5 года никто не знает, что со мной. Боль 1.6 и 2.5 зубы, начинают и нижние зубы болеть, уже и ухо болит. После орви болит все очень сильно, что хочется уже не просыпаться. Удалять их говорят не показаний, вдруг боль останется. Снимки в хронологии выкладываю. Есть ли на них воспаление 1.6 зуба, 2.5 зубов, есть ли них кисты свищи и все что угодно, что аномально и может вызывать боль. Может что-то с надкостницой, или суставами. Все что у меня есть - интернет, так как живу я очень далеко от нормального города и доступна только городская поликлиника, где врачи говорят, что это неврология, а невролог говорит наоборот. Сами зубы болят странно, по очереди. Если болит неделю 1.6 зуб, то 2.5 не болит и так наоборот. Вместе они не болят. Ещё странное то, что они практически симметричны друг другу по расположению. Изменено 5 июля, 2023 пользователем Mariaduya Ссылка на комментарий
Carioznik Опубликовано 5 июля, 2023 Поделиться Опубликовано 5 июля, 2023 Здравствуйте, 27 зуб надо внимательнее посмотреть, возможно там пульпит (но это неточно "бумажные " снимки малоинформативны). Скиньте лучше КТ или хотя бы ОПТГ но в электронном формате(а не фото распечатки на бумаге) Ссылка на комментарий
Mariaduya Опубликовано 8 июля, 2023 Автор Поделиться Опубликовано 8 июля, 2023 Все, что у меня есть мне давали в распечатке и я фотографировала на сотовый, есть ещё одна оптг более лучшего качества, сделана год назад. КТ сделано в самом начале, в декабре 2021. 925191586_.iso Ссылка на комментарий
Carioznik Опубликовано 8 июля, 2023 Поделиться Опубликовано 8 июля, 2023 2 часа назад, Mariaduya сказал: есть ещё одна оптг более лучшего качества, сделана год назад. КТ сделано в самом начале, в декабре 2021. Это ОПТГ до лечения получается? Ссылка на комментарий
Mariaduya Опубликовано 8 июля, 2023 Автор Поделиться Опубликовано 8 июля, 2023 Уже после лечения 25 и 16 зубов, он отличается от современного только тем, что перелечивали ещё нижний 6 зуб. А так, такая же ситуация, как и на сегодня. Ссылка на комментарий
Carioznik Опубликовано 10 июля, 2023 Поделиться Опубликовано 10 июля, 2023 (изменено) образ диска с Вашим КТ - не открывается (поврежден). Либо создан с ошибкой, либо не загрузился нормально. Можно просто все папки на диске заархивировать и закачать. Хотя, думаю, уже пора новое КТ делать и разбираться на его основе. Изменено 10 июля, 2023 пользователем Carioznik Ссылка на комментарий
Mariaduya Опубликовано 12 июля, 2023 Автор Поделиться Опубликовано 12 июля, 2023 Надеюсь, что получится 1548180352_.zip Ссылка на комментарий
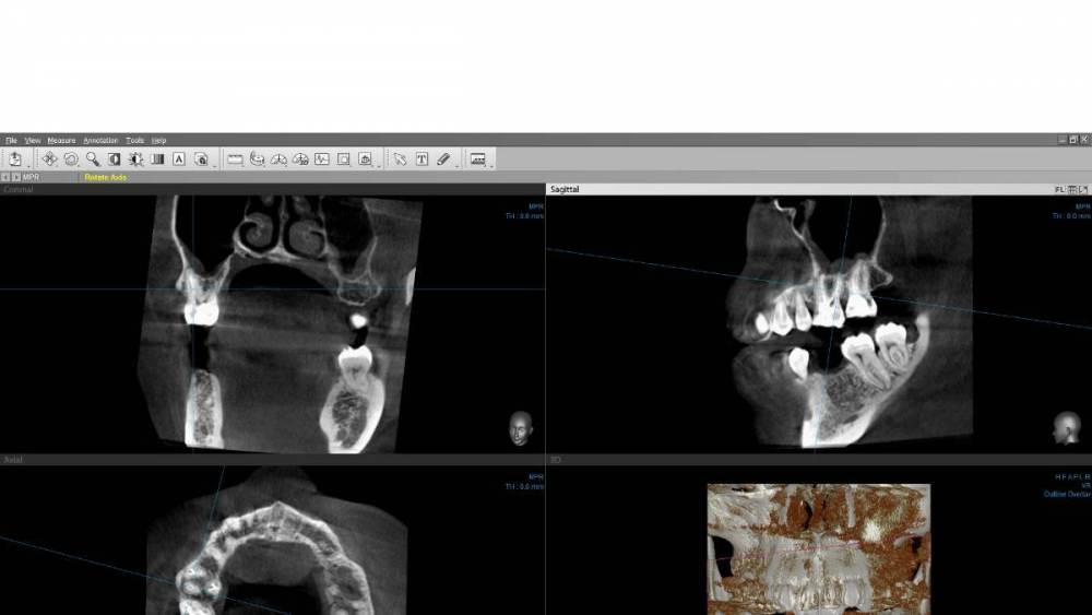
wladdX Опубликовано 12 июля, 2023 Поделиться Опубликовано 12 июля, 2023 Исследование от 27.12.2021. Лучше бы поновее Ссылка на комментарий
Carioznik Опубликовано 13 июля, 2023 Поделиться Опубликовано 13 июля, 2023 по этому старому КТ: на 16 - есть пропущенный канал, от этого, на одном из корней - есть небольшой воспалительный процесс (на тот момент). "Само не заживет", будет только расти, может, на сегодняшний момент - уже стал большой). Но жалобы в таких случаях обычно другие. Делайте новое КТ (по старому только гадать...) и снова, очный осмотр стоматолога, явно понадобится. 1 Ссылка на комментарий
Рекомендуемые сообщения
Для публикации сообщений создайте учётную запись или авторизуйтесь
Вы должны быть пользователем, чтобы оставить комментарий
Создать аккаунт
Зарегистрируйте новый аккаунт в нашем сообществе. Это очень просто!
Регистрация нового пользователяВойти
Уже есть аккаунт? Войти в систему.
Войти