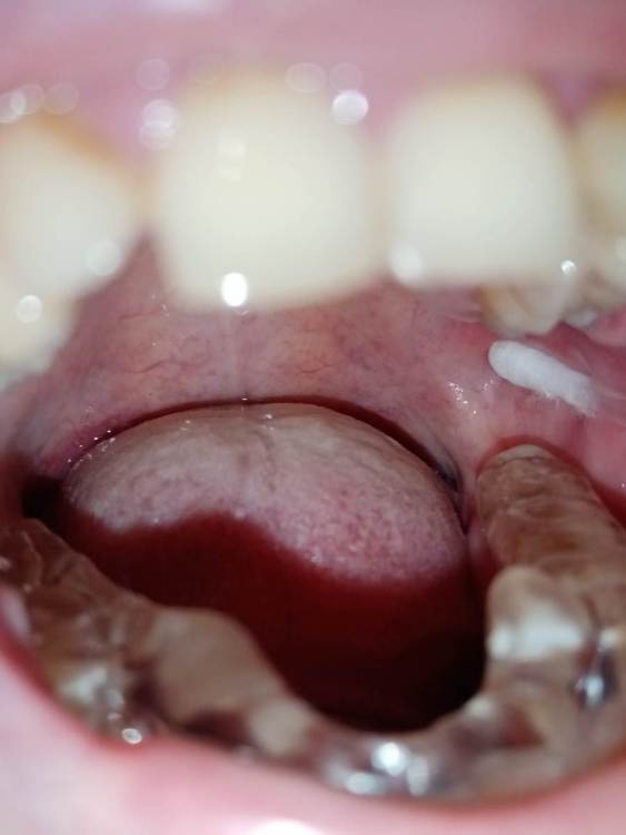
СмирноваД Опубликовано 29 июня, 2023 Поделиться Опубликовано 29 июня, 2023 Уважаемые стоматологи. Прошу Вашей помощи в поиске проблемы. Зуб удалили 2 года назад, но покоя там слизистая не дает. Болит, Разговаривать не дает вообще. Как буд-то там все пришили, и щеку и тяж со стороны горла. Какая-то шишка растет в конце верхней челюсти и как-будто давит там. Срослось оно вот таким образом "V"(со слов врача). Дергает щеку сильно , как-будто она прям пытается оторваться оттуда. и при наклоне головы прям в это место отдает. Со стороны горла тяж пришитый прям лоскутом к челюсти со стороны языка, трется об язык и тянет так сильно, что не дает разговаривать вообще, больно любые напряжения(разговаривать, глотать, пить,смеяться, и т.д.) прям чувствую как оно там все двигается, как нахождении чего-то инородного. Постоянно там все полощу, держу воду, потому что жжёт сильно. И доходит до рвотного рефлекса. Со стороны щеки,за зубом 4.7 корман. Пища попадает , и вытащить ее проблематично. Постоянно ощущение воспаления и лазию туда языком отодвигаю этот тяж, засовываю туда ватный диск, что бы просто снять напряжение и в этот момент могут быть такие жутки спазмы, что замираешь от боли. До трясучки и панических атак уже. Прикусываю там все, при чом даже с шиной (сплинт), щека лезет между зубов, приходится щеку вытаскивать.Шину ношу уже 10 месяцев, а толку нет. Рефлекторно, стараешься не двигать просто правой стороной вообще. Гнатолог , который делал шину, сказал, что нужно убирать рубцы, они все тянут. Но когда дошло дело до хирурга, хирург развел руками и сказал жить так, т.к. он ни чего сделать не может. Мало того у меня проблемы с суставом. а из-за этого напряжения на столько хуже, что к вечеру ни то что бы разговаривать, я и глотать слюну не могу. Сустав у меня теперь болит постоянно от напряжения, жуткие спазмы по всей голове, челюсти, до горла болит, с переходом на шею. При чом все врачи видят эти рубцы, что все прикусываю, трогают и мне больно, но говорят все по разному : один- надо искать, другой - там воспаление, третий- прикус, четвертый -как вы себе представляете это, это нужно было убирать сразу, пятый-сустав. Просто как идти к ортодонту с такими болями? И так же искала врача по пластике, но безрезультатно. На кт и снимках нет ни чего. Помогите, пожалуйста, хоть как-то разобраться. 230310_183333.rar Ссылка на комментарий
Irouil Опубликовано 29 июня, 2023 Поделиться Опубликовано 29 июня, 2023 Зуб удалили летом 2021? Ссылка на комментарий
СмирноваД Опубликовано 29 июня, 2023 Автор Поделиться Опубликовано 29 июня, 2023 38 минут назад, Irouil сказал: Зуб удалили летом 2021? Да. 6 июня 2021 года. Ссылка на комментарий
Irouil Опубликовано 29 июня, 2023 Поделиться Опубликовано 29 июня, 2023 Сделайте свежий снимок 1 Ссылка на комментарий
СмирноваД Опубликовано 29 июня, 2023 Автор Поделиться Опубликовано 29 июня, 2023 16 минут назад, Irouil сказал: Сделайте свежий снимок Вот. Март 2023 1 Ссылка на комментарий
Irouil Опубликовано 29 июня, 2023 Поделиться Опубликовано 29 июня, 2023 @СмирноваД если доктора при очном осмотре всерьёз подозревают влияние рубцовой ткани на Ваши симптомы, то это относительно несложно и безопасно проверить - уколами дипроспана (или аналогичного гормона) местно. Любой врач, который настаивает на наличии проблем в рублей, не должен отправлять Вас к хирургу, но имеет право сделать подобную процедуру самостоятельно. Но маловероятно, что кто-то возьмётся, откровенно говоря. 1 Ссылка на комментарий
СмирноваД Опубликовано 29 июня, 2023 Автор Поделиться Опубликовано 29 июня, 2023 6 минут назад, Irouil сказал: @СмирноваД если доктора при очном осмотре всерьёз подозревают влияние рубцовой ткани на Ваши симптомы, то это относительно несложно и безопасно проверить - уколами дипроспана (или аналогичного гормона) местно. Любой врач, который настаивает на наличии проблем в рублей, не должен отправлять Вас к хирургу, но имеет право сделать подобную процедуру самостоятельно. Но маловероятно, что кто-то возьмётся, откровенно говоря. Спасибо Вам за внимание! Мне в Склифе подтвердили, что да, это тянут рубцы, но все равно в заключении написали, что идти к ортопеду. Не один врач мне не предложил уколы. Все считают, что это норма. И проблема в прикусе. Но вот вопрос, почему болит и мешает сильно,даже с шиной,что не можешь разговаривать. Просто хочетса снять напряжение, а не знаешь как. Ссылка на комментарий
Irouil Опубликовано 29 июня, 2023 Поделиться Опубликовано 29 июня, 2023 Для ясности я позволю себе заметить, что я сомневаюсь в том, что рубцевание в этой зоне может действительно вызывать описанную Вами симптоматику 3 Ссылка на комментарий
СмирноваД Опубликовано 29 июня, 2023 Автор Поделиться Опубликовано 29 июня, 2023 Только что, Irouil сказал: Для ясности я позволю себе заметить, что я сомневаюсь в том, что рубцевание в этой зоне может действительно вызывать описанную Вами симптоматику А могут ли мышцы из-за напряжения, давать такие симптомы? Потому, что в конце верхней челюсти прям шишка в самой щеке, и это тянетса до нижней челюсти. Все окаменевщее прям. Может она-то (мышца) и мешает разговаривать? Мне хочетса постоянно её (щеку) оттянуть. Но самое ещё не понятное, почему и с шиной щеку прикусываю. Я прям с утра, после пробуждения, только её прикус ну, и все - опять начинается напряжение и спазмы. Ссылка на комментарий
annda Опубликовано 25 июля, 2023 Поделиться Опубликовано 25 июля, 2023 Могут такие боли и такие симптомы давать мышцы.Вы-бруксист со стажем и ваша панорама красноречиво об этом говорит Вам надо научиться контролировать свои мышцы хотя бы днем.Следите,чтобы зубы всегда были в разомкнутом состоянии,чем бы вы не занимались.Найдитюе комплексы упражнений для расслабления мышц лица,шем ,воротниковой зоны и далее вниз.качайте приложение "Brux up" и следите за собой с его помощью до улучшения состояния.Можете и потом им пользоваться. Ссылка на комментарий
СмирноваД Опубликовано 26 июля, 2023 Автор Поделиться Опубликовано 26 июля, 2023 14 часов назад, annda сказал: Могут такие боли и такие симптомы давать мышцы.Вы-бруксист со стажем и ваша панорама красноречиво об этом говорит Вам надо научиться контролировать свои мышцы хотя бы днем.Следите,чтобы зубы всегда были в разомкнутом состоянии,чем бы вы не занимались.Найдитюе комплексы упражнений для расслабления мышц лица,шем ,воротниковой зоны и далее вниз.качайте приложение "Brux up" и следите за собой с его помощью до улучшения состояния.Можете и потом им пользоваться. Спасибо за ответ! Но это уже не поможет. Челюсть я всегда стараюсь держать в расслабленном состоянии. Я ношу шину(сплинт) уже год. С левой стороны она помогла, а с права как болело все так и болит. И место удаленного 4.8. не дает разговаривать, как буд-то все пришили. И вообще болит вся правая сторона. Зубы, мышцы дергает, нерв стреляет (это вообще кошмар), слюну собрать для меня тоже проблема. Тризм случается сильный, боюсь выбью себе все верхние зубы. И когда просто иду отдает в челюсть и по всей правой стороне. Если напрячь руку, то отдает сильно в шею, голову и в сустав. Так, что контролировать мышцы толком не получится, т.к. постоянное напряжение из-за болей. Мышцы напрягаются всегда, особенно при разговоре, и разговариваю я с огромным трудом, потому, что болит в месте удаленного 4.8 зуба. Это замкнутый круг. Ссылка на комментарий
annda Опубликовано 27 июля, 2023 Поделиться Опубликовано 27 июля, 2023 (изменено) Сходите к толковому мануальщику или остеопату. Не тут у вас проблема,нет там никаких рубцов. Вы и со сплинтом не должны днем зубами контактировать,иначе толку ноль. Мышцы с этой стороны у вас в сильном гипертонусе, где-то тригерр, и не один, а в это место просто идет иррадиация.Может,сидите целый день за компом,мышку гоняете правой рукой,зарядку по утрам не делаете,на работе и дома стресс,домой на авто в пробках,сумка на одном плече вечно болтается, выберите два из списка- вот и результат:( Это про гипертонус с одной,рабочей,стороны. Я видела,как людям зубы из-за этого один за другим удаляли, ну вы просите типа рубец полечить, не поможет, попрОсите 7ку удалить, и так по кругу. А источник боли в шее где- нибудь, или в лопатке.Даже просто блок позвонков возможен, на любом верхнем уровне. А с другой стороны,если вам так нравится версия рубца, то лечите рубец, больше уговаривать не стану, воля ваша. Изменено 27 июля, 2023 пользователем annda 1 Ссылка на комментарий
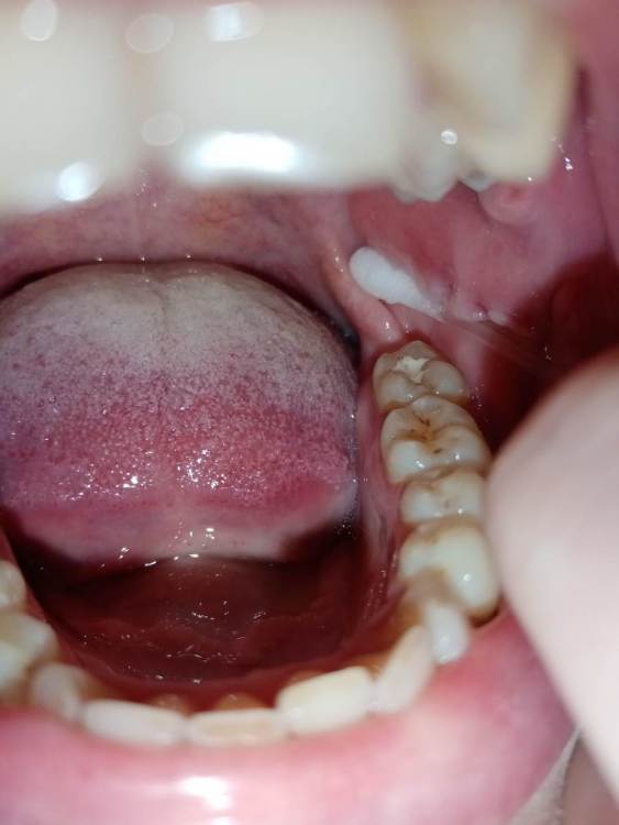
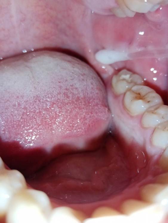
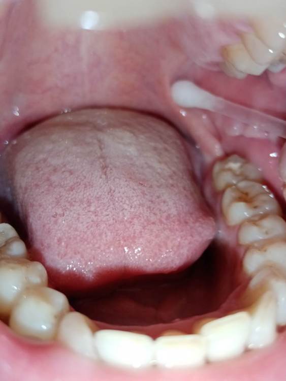
СмирноваД Опубликовано 27 июля, 2023 Автор Поделиться Опубликовано 27 июля, 2023 27 минут назад, annda сказал: Сходите к толковому мануальщику или остеопату. Не тут у вас проблема,нет там никаких рубцов. Вы и со сплинтом не должны днем зубами контактировать,иначе толку ноль. Мышцы с этой стороны у вас в сильном гипертонусе, где-то тригерр, и не один, а в это место просто идет иррадиация.Может,сидите целый день за компом,мышку гоняете правой рукой,зарядку по утрам не делаете,на работе и дома стресс,домой на авто в пробках,сумка на одном плече вечно болтается, выберите два из списка- вот и результат:( Это про гипертонус с одной,рабочей,стороны. Я видела,как людям зубы из-за этого один за другим удаляли, ну вы просите типа рубец полечить, не поможет, попрОсите 7ку удалить, и так по кругу. А источник боли в шее где- нибудь, или в лопатке.Даже просто блок позвонков возможен, на любом верхнем уровне. А с другой стороны,если вам так нравится версия рубца, то лечите рубец, больше уговаривать не стану, воля ваша. Я с Вами совершенно согласна! С позвоночником у меня проблемы, я лечила, проходила 10 курсов в 2016г.(физио, магнит, иголки, массаж и вертебролог)+стельки., тогда перекосило всю , правая нога отказывала, левый грудной отдел онемел и шею заклинило-оказалась проблема в ноге, И теперь в итоге,тут получается все в кучу: нога короче другой, плоскостопие, в шеи остеофиты(вроде так называются костные разрастания) и теперь до кучи челюсть. Зарядку не могу делать, попробовала, а через час резкая боль в ступне, весь день на мысочках ходила. На работе и дома стрессов нет вообще, все хорошо, тихо и спокойно. До работы пешком 5 минут, а сумка в руке.И куда бежать не знаю. Состояние у меня точь в точь как на картинке. Версия рубца мне совершенно не нравится, т.к я понимаю, что возможно это и не в нем дело. дело в том что там все мешается, вечно лазию туда языком, и там прям все натянуто от верхней челюсти до нижней, со стороны горла тяж натянут, как лоскут пришитый к челюсти со стороны языка и щека натянута , чувствую какую-то шишку в мягких тканях в конце верхней челюсти, и при разговоре язык трется прям об тяж со стороны горла. Открываю челюсть - тяж натягивается, закрываю - ложится прям на язык. Как резинка. Постоянно полощу там простой водой, сушит сильно и болит прям до горла, как буд-то там где-то воспаление, и часто бывают рвотные рефлексы. Разговаривать больно, смеяться, глотать, там постоянно болит. Щеку прижать тоже больно. А сплинт я днем не ношу, т.к. с ним разговаривать еще больнее. Одеваю только на ночь и дома.Правой стороной стараюсь не разговаривать. И скорее всего из-за этого и появляются триггеры, гипертонус сильное напряжение и боли в суставе. И как итог или последствие :Сказать просто пару слов я напрягаю всю правую сторону тела. А если говорить предложения или на повышенных тонах может случится очень сильный спазм мышц , что я выбью себе просто верхние зубы.Сил уже нет. Мне просто категорически нельзя разговаривать. Я перестала общаться даже с мужем, про друзей вообще молчу. И целый день , постоянно чувствую как бьет по все голове, мышца дергает.именно в том месте удаленного зуба, нерв стреляет куда хочет постоянно , во рту все болит.Это можно сойти с ума просто. К вечеру такие боли сильные, что боюсь начну падать в обморок скоро. И при наклоне головы, может произойти резкая боль то в сустав, то в ухо, то нерв стрельнет в какой-нибудь зуб . К стоматологу сходить, это катастрофа для меня и для врача. Челюсть держать не могу больше 5-ти минут, начинает болеть вся голова и челюсть закрывается. И самое интересное, меня плохо берет анестезия. Чистку делали в последний раз с 2ух заходов, т.к. приходится анестезию колоть в "хороших" дозах, а мне все-равно больно местами. На работе и дома стрессов нет вообще, все хорошо, тихо и спокойно. У меня стресс уже от того что я в отчаянии, я просто инвалид без инвалидности. Который может только мычать и кивать головой. В общем я могу эти симптомы, боли и т.д. рассказывать бесконечно. Нужно просто искать причину и снимать напряжение. А Все отправляют к ортодонту, т.к видят, что все там прикусываю, но я и с другой стороны прикусываю, но таких болей нет. И не понимаю, как можно ставить брекеты в такой ситуации и не дай бог станет еще хуже и придется их снимать. В эту субботу еду в этот центр лечения позвоночника со всеми мрт (шея и внчс) и изготовить стельки ортопедические. Посмотрим что врач скажет после осмотра. Спасибо Вам за уделенное время Ссылка на комментарий
annda Опубликовано 27 июля, 2023 Поделиться Опубликовано 27 июля, 2023 И вы говорите,что у вас нет стресса?После того,что вы написали?Я за вас радуюсь,что вы не в депрессии еще. Ищите неврологов грамотных. Ссылка на комментарий
СмирноваД Опубликовано 27 июля, 2023 Автор Поделиться Опубликовано 27 июля, 2023 У неврологов была. Сразу вопрос врача:"Почему Вы так разговариваете?" Заключение: МРТ ВНЧС и консультация ЧЛХ. ЧЛХ - ортодонтия, даже не смотрел МРТ. В Депрессии и еще в какой, думаю уже о плохих последствиях. Ссылка на комментарий
annda Опубликовано 27 июля, 2023 Поделиться Опубликовано 27 июля, 2023 (изменено) В любом случае,в рамках форума вряд ли вам можно помочь:( От меня только один совет,не ковыряйте вы свою слизистую.не усугубляйте ситуацию.еще рубцов не добавляйте,уже реальных. Хотя я сомневаюсь,что кто-то пойдет на это. И вы должны понимать,кто занимается депрессией. Изменено 27 июля, 2023 пользователем annda Ссылка на комментарий
СмирноваД Опубликовано 27 июля, 2023 Автор Поделиться Опубликовано 27 июля, 2023 19 минут назад, annda сказал: В любом случае,в рамках форума вряд ли вам можно помочь:( От меня только один совет,не ковыряйте вы свою слизистую.не усугубляйте ситуацию.еще рубцов не добавляйте,уже реальных. Хотя я сомневаюсь,что кто-то пойдет на это. И вы должны понимать,кто занимается депрессией. Думаю что все закончится ортодонтией скорее всего. А депрессия сама пройдет, когда весь этот кошмар закончится. (надеюсь, что закончится) Спасибо Вам ОГРОМНОЕ за уделенное время и советы! Ссылка на комментарий
annda Опубликовано 27 июля, 2023 Поделиться Опубликовано 27 июля, 2023 (изменено) Нельзя на ортодонтию идти в таком состоянии. Начните с банальной рутинной ежедневной самокоррекции хотя бы-пилатес,йога, Фельденкрайз и прочие подобные штуки. Единственные рубцы,которые у вас есть-это «линия Альба»,,следы прикусывания щек зубами.К месту удаления это не имеет никакого отношения, а к бруксизму -самое прямое. Изменено 27 июля, 2023 пользователем annda Ссылка на комментарий
СмирноваД Опубликовано 11 августа, 2023 Автор Поделиться Опубликовано 11 августа, 2023 27.07.2023 в 19:43, annda сказал: Нельзя на ортодонтию идти в таком состоянии. Начните с банальной рутинной ежедневной самокоррекции хотя бы-пилатес,йога, Фельденкрайз и прочие подобные штуки. Единственные рубцы,которые у вас есть-это «линия Альба»,,следы прикусывания щек зубами.К месту удаления это не имеет никакого отношения, а к бруксизму -самое прямое. Извинете, Вы, не правы!Линия альбы! Тут ни какого отношения не имеет. Я не могу сфотографировать как выглядет вся слизистая за 4.7. зубом. Ссылка на комментарий
annda Опубликовано 12 августа, 2023 Поделиться Опубликовано 12 августа, 2023 Возможно.Значит, не хватает объективных данных Ссылка на комментарий
Bier Опубликовано 16 августа, 2023 Поделиться Опубликовано 16 августа, 2023 я вижу рубец на щеке, вы накусали его, ну если он мешает можно его отрезать. Но по источнику боли соглашусь с Анной. Ссылка на комментарий
СмирноваД Опубликовано 11 декабря, 2024 Автор Поделиться Опубликовано 11 декабря, 2024 В общем это был зуб 1.7., с воспалением , до гноя. В сентябре 2023 сделали разобщающую-толку нет. Были БЕШЕНЫЕ мышечные спазмы, с этой капой пошла к остеопату, после 3ех сеансов он от меня отказался, обосновав тем, что нужно работать вместе с ортодонтом. Затем очередной невролог отправил на кт височной кости, просмотрели-с внчс все норм, но киста в 1.7. В итоге я его ликвидировала. И стало намного легче.Потом попала в Моники к члх, неврологу, травматологу. Невролог-это шея, рентген и к травматологу. Травматолог по рентгену- вам не помогут ортодонты, позвоночник беда, ЧЛХ-Ни чего страшного с суставами внч нет,но суставные диски уехали вперед, делать сплинт и тэнс, второй члх просмотрел и шею-шея вся зажата с правой стороны, идите опять к неврологу. В общем хождения по кругу, а как была челюсть не своя, не могу ей место найти, вся челюсть болит, десна болят и воспаляются,токи периодически. Миофасциальный болевой синдром так и остался-голова, челюсть, шея, спина. Смирнова Д. А. 09.2024.pdf Ссылка на комментарий
Рекомендуемые сообщения
Для публикации сообщений создайте учётную запись или авторизуйтесь
Вы должны быть пользователем, чтобы оставить комментарий
Создать аккаунт
Зарегистрируйте новый аккаунт в нашем сообществе. Это очень просто!
Регистрация нового пользователяВойти
Уже есть аккаунт? Войти в систему.
Войти