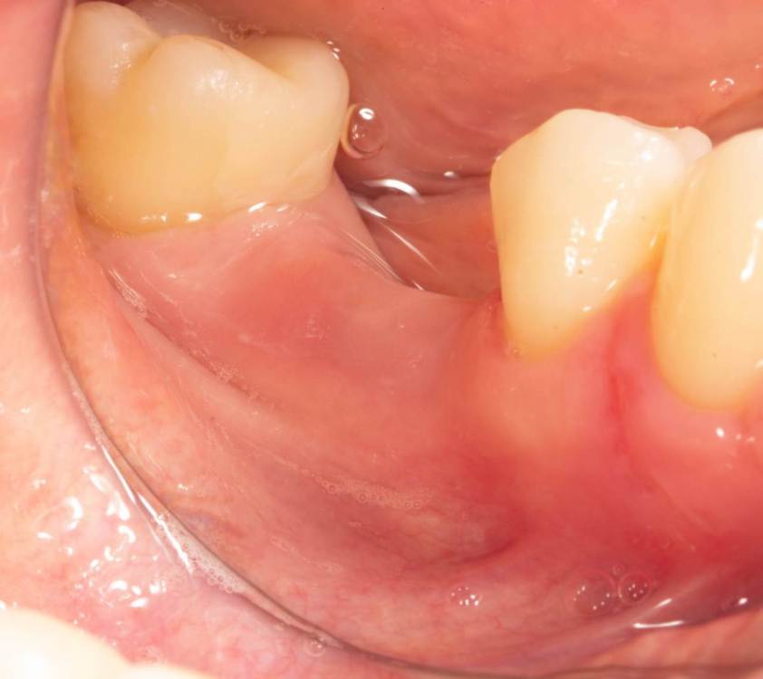
Женька Опубликовано 19 июня, 2023 Поделиться Опубликовано 19 июня, 2023 Здравствуйте, коллеги. Примерно с нового года начал ставить ТЛ имплантаты Дентиум. Что-то под заглушку (не поймал торки, представляете?). Что-то на низких формирвателях. И вот пришла пора протезирования, но отпустить к ортопеду не подготовив десну - не получается. Создал сам себе проблем, сегодня вот исправлял. Получилось неплохо? 3 Ссылка на комментарий
TIGER Опубликовано 20 июня, 2023 Поделиться Опубликовано 20 июня, 2023 Это ж не TL,cубкрестально же.А так я бы длиннее брал ССТ,с захватом соседей Ссылка на комментарий
Женька Опубликовано 20 июня, 2023 Автор Поделиться Опубликовано 20 июня, 2023 @TIGER в смысле это не ТЛ?))) Фото с редукцией не сделал. А то что, шейку погружал - так нужно было. Но это ТЛ. Поверьте) я был на имплантации) Ссылка на комментарий
АнтонТЛТ Опубликовано 20 июня, 2023 Поделиться Опубликовано 20 июня, 2023 Думаю имеется ввиду что имплантат TL установлен по протоколу BL Ссылка на комментарий
Женька Опубликовано 20 июня, 2023 Автор Поделиться Опубликовано 20 июня, 2023 @АнтонТЛТ мы же позиционируем платформу относительно зенита? Есть ли разница тогда, какой имплантат мы выбираем? Вообще весь смысл здесь был заложен в том, что толщина гребня была не очень. Хотелось поставить тонкий имплантат 3.6. Но рисковать тонкой платформой не хотелось, поэтому выбор пал на 4.8 платформу ТЛ и тело имплантата 3.6 1 Ссылка на комментарий
АнтонТЛТ Опубликовано 20 июня, 2023 Поделиться Опубликовано 20 июня, 2023 Конечно относительно зенита, не вдаваясь в подробности, для BL глубже зенита на 3мм, для TL вровень с зенитом. Ссылка на комментарий
karasov Опубликовано 26 июня, 2023 Поделиться Опубликовано 26 июня, 2023 Я обычно не переживаю о торке в аналогичных условиях. Понимая, что имплантат прокручивается - беру заглушку(у ТЛ она относительно высокая обычно) или фдм и кручу от руки, старая создать при этом минимальный торк. Все таки имплантат хоть и не в притирку к стенкам ложа,но стенки эти есть, в отличие от ситуации когда вы ставите имплантат одновременно с синусом в 2 мм кости. И вы же не временную коронку прикручиваете, которая будет в процессе функционирования препятствовать интеграции имплантата 1 Ссылка на комментарий
Женька Опубликовано 26 июня, 2023 Автор Поделиться Опубликовано 26 июня, 2023 @karasov Так если он крутится уже на месте и болтается как карандаш. Хоть на заглушке, хоть на чём закручивай, не торкнет же уже Ссылка на комментарий
karasov Опубликовано 26 июня, 2023 Поделиться Опубликовано 26 июня, 2023 2 минуты назад, Женька сказал: @karasov Так если он крутится уже на месте и болтается как карандаш. Хоть на заглушке, хоть на чём закручивай, не торкнет же уже Для чего он должен торкнуть? Вы же его не нагружать собираетесь. Ссылка на комментарий
karasov Опубликовано 26 июня, 2023 Поделиться Опубликовано 26 июня, 2023 Что на ваш взгляд более предсказуемо интегрируется?: 1. имплантат с торком 60+ ,фиксированный в нативной кости 1/3 своей поверхности (апексом) и со временной коронкой, выведенной из прикуса , или 2. имплантат с ,,пересверленным,, на размер ложем, фдм вровень с десной и торком 0? Ссылка на комментарий
Женька Опубликовано 26 июня, 2023 Автор Поделиться Опубликовано 26 июня, 2023 @karasov конечно 2 вариант но как по мне любая супра- это уже нагрузка. Тот же пищевой комок может надавить хорошечно Ссылка на комментарий
karasov Опубликовано 26 июня, 2023 Поделиться Опубликовано 26 июня, 2023 6 минут назад, Женька сказал: @karasov конечно 2 вариант но как по мне любая супра- это уже нагрузка. Тот же пищевой комок может надавить хорошечно вероятность есть ,но для меня она незначительна. Имплантаты по моим наблюдениям уходят в иных ситуациях Ссылка на комментарий
Irouil Опубликовано 26 июня, 2023 Поделиться Опубликовано 26 июня, 2023 @karasov Зигомы держатся третью длины (даже меньше) и торкают 60+ зачастую. В чем подвох? Кстати, какие научные данные вреда высокого торка Вам известны? Ссылка на комментарий
NazranDantist Опубликовано 26 июня, 2023 Поделиться Опубликовано 26 июня, 2023 3 часа назад, karasov сказал: вероятность есть ,но для меня она незначительна. Имплантаты по моим наблюдениям уходят в иных ситуациях Очень часто пациенты с радостью рассказывают, как им удобно жевать на ФДМ, а еще чаще, не рассказывают, но активно жуют. Несколько раз получал фиброинтеграцию при торках ниже 10 и установленным ФДМ. Условия были близки к идеальным, но на некоторых системах так бывает, что торк сложно поймать. Больше так не рискую. 2 Ссылка на комментарий
karasov Опубликовано 27 июня, 2023 Поделиться Опубликовано 27 июня, 2023 7 часов назад, Irouil сказал: @karasov Зигомы держатся третью длины (даже меньше) и торкают 60+ зачастую. В чем подвох? Кстати, какие научные данные вреда высокого торка Вам известны? вы видимо неверно поняли мой комментарий. Где я написал,что я против высоких торков? Ссылка на комментарий
Irouil Опубликовано 27 июня, 2023 Поделиться Опубликовано 27 июня, 2023 @karasov да, наверное моя ошибка, понял именно так. Все же - каков будет Ваш ответ на собственный же вопрос в таком случае? Ссылка на комментарий
karasov Опубликовано 27 июня, 2023 Поделиться Опубликовано 27 июня, 2023 (изменено) 4 минуты назад, Irouil сказал: @karasov да, наверное моя ошибка, понял именно так. Все же - каков будет Ваш ответ на собственный же вопрос в таком случае? солидарен с Женькой), но не считаю фдм вровень с десной проблемой. Жевать на нем весьма непросто, особенно если пациента попросить об этом. хотя они разные бывают) Изменено 27 июня, 2023 пользователем karasov Ссылка на комментарий
Irouil Опубликовано 27 июня, 2023 Поделиться Опубликовано 27 июня, 2023 То есть, Вы тоже считаете, что имплант с торком 60+ фиксированный верхушкой/апикальной третью в нативной кости и нефункционально нагруженный интегрируется менее предсказуемо, чем имплант с минимальным торком (дигитальным) и с ФДМ ТЛ? Тогда мой вопрос был верен и мне непонятна Ваша реакция. В чем вред высокого торка и есть ли подтверждающие это научные данные? Ссылка на комментарий
karasov Опубликовано 27 июня, 2023 Поделиться Опубликовано 27 июня, 2023 1 час назад, Irouil сказал: То есть, Вы тоже считаете, что имплант с торком 60+ фиксированный верхушкой/апикальной третью в нативной кости и нефункционально нагруженный интегрируется менее предсказуемо, чем имплант с минимальным торком (дигитальным) и с ФДМ ТЛ? Тогда мой вопрос был верен и мне непонятна Ваша реакция. В чем вред высокого торка и есть ли подтверждающие это научные данные? В ситуации 1 имплантат имеет нормальный или высокий торк за счет небольшой поверхности ,соприкасающейся с костью, при этом в ситуации 1 на данный имплантат фиксирована высокая супраструктура в виде временной коронки, которая даже выведенная из прикуса будет создавать разнонаправленную нагрузку на имплантат. Речь идет об установке имплантата ,например в лунку свежеудаленного верхнего клыка-при этом необходим значительно больший промежуток времени, чтобы кость приросла к оставшимся 2/3 поверхности имплантата, нежели в ситуации 2. В ситуации 2 имплантат установлен в лунку,созданную фрезой. Вокруг имплантата минимальный зазор по всей поверхности ,при этом он прокручивается отверткой и фдм вровень с десной. Зигомы - отдельная история. Где я написал,что 60 это высокий торк? И где я написал, что имею что-либо против высоких торков? Ссылка на комментарий
Irouil Опубликовано 27 июня, 2023 Поделиться Опубликовано 27 июня, 2023 @karasov ок, Вы нигде не написали, что 60+ - высокий торк, это я свое понимание данного термина так ассоциировал Да, я понимаю о каких случаях Вы говорите, поэтому мне, в частности, непонятно почему зигомы - другой случай, там ведь соотношение опорная длина/безопорная длина ещё больше, а нагрузки там не условно-нефункциональные, а вполне себе полноценные. В чем разница? Ссылка на комментарий
karasov Опубликовано 27 июня, 2023 Поделиться Опубликовано 27 июня, 2023 4 минуты назад, Irouil сказал: @karasov ок, Вы нигде не написали, что 60+ - высокий торк, это я свое понимание данного термина так ассоциировал Да, я понимаю о каких случаях Вы говорите, поэтому мне, в частности, непонятно почему зигомы - другой случай, там ведь соотношение опорная длина/безопорная длина ещё больше, а нагрузки там не условно-нефункциональные, а вполне себе полноценные. В чем разница? Как минимум они шинированы несколько штук в одну конструкцию и общая площадь титана в кости значительно превышает площадь одного обычного имплантата даже полностью погруженного в кость. Я речь вел об одиночных имплантатах. Если дискутировать об тоталах,то предположим, что 7 из 8ми имплантатов торкнули, а один нет, то его вполне можно прикрутить ко всей конструкции и проблем вероятно не будет. Ссылка на комментарий
Irouil Опубликовано 27 июня, 2023 Поделиться Опубликовано 27 июня, 2023 2 часа назад, karasov сказал: Если дискутировать об тоталах,то предположим, что 7 из 8ми имплантатов торкнули, а один нет, то его вполне можно прикрутить ко всей конструкции и проблем вероятно не будет. Я в апреле выкладывал кейс где интегрировался 1 винт из 6 в тотале. Шинирование, конечно, дело хорошее, но процент фейлов откровенно слабых имплантов даже в армированной конструкции у меня, к примеру, выше процента фейлов винтов с хорошим торком. Большинство известных мне публикаций не рекомендуют грузить винты менее 30 Н*см торка даже в шинированных конструкциях. 2 часа назад, karasov сказал: Как минимум они шинированы несколько штук в одну конструкцию и общая площадь титана в кости значительно превышает площадь одного обычного имплантата даже полностью погруженного в кость. Да прям таки намного бОльшая площадь - зигомы, которые я кручу, диаметром от 3.9 до 4.3 мм, внутрикостная часть импланта обычно миллиметров 5, иногда меньше. Имхо, это абсолютно сравнимые величины с конвенциональными одиночными одномоментными имплантами. А вот то соотношение, которые Вы сами привели 3 часа назад, karasov сказал: В ситуации 1 имплантат имеет нормальный или высокий торк за счет небольшой поверхности ,соприкасающейся с костью, при этом в ситуации 1 на данный имплантат фиксирована высокая супраструктура в виде временной коронки в случае зигомы гораааааздо более выражено - длина импланта от 35 мм при внутрикостной части, скажем, даже 10 мм будет более 3/1 - и это минимум! А если брать в расчёт варианты ЗАГА4 с медиальными зигомами 50+ мм и внутрикостной частью где-то 5-7 мм, то соотношение будет вообще до 10/1+ Торк от площади соприкосновения не зависит, на всякий случай скажу Ссылка на комментарий
karasov Опубликовано 27 июня, 2023 Поделиться Опубликовано 27 июня, 2023 2 часа назад, Irouil сказал: Я в апреле выкладывал кейс где интегрировался 1 винт из 6 в тотале. Шинирование, конечно, дело хорошее, но процент фейлов откровенно слабых имплантов даже в армированной конструкции у меня, к примеру, выше процента фейлов винтов с хорошим торком. Большинство известных мне публикаций не рекомендуют грузить винты менее 30 Н*см торка даже в шинированных конструкциях. Да прям таки намного бОльшая площадь - зигомы, которые я кручу, диаметром от 3.9 до 4.3 мм, внутрикостная часть импланта обычно миллиметров 5, иногда меньше. Имхо, это абсолютно сравнимые величины с конвенциональными одиночными одномоментными имплантами. А вот то соотношение, которые Вы сами привели в случае зигомы гораааааздо более выражено - длина импланта от 35 мм при внутрикостной части, скажем, даже 10 мм будет более 3/1 - и это минимум! А если брать в расчёт варианты ЗАГА4 с медиальными зигомами 50+ мм и внутрикостной частью где-то 5-7 мм, то соотношение будет вообще до 10/1+ Торк от площади соприкосновения не зависит, на всякий случай скажу Все же я думаю некорректно сравнивать одиночки и шинированные конструкции. Причин этому множество. В случае с шинированными конструкциями необходимо учитывать количество имплантатов, торк у каждого, реализованную окклюзию времяшек, материал времяшек и тд и тп до бесконечности. Не стоит сравнивать зигомы и обычные имплантаты. Зигомы как бы вы не спорили отличаются от обычных весьма значительно. Как минимум наличием опоры фрезерованной части на внешнюю поверхность кости верхней челюсти, вектором нагрузки на имплантат(ты), шинированием нескольких имплантатов, что уже не подходит к сравнению двух вариантов, которые я гипотетически предложил обсудить. Ситуация, случившаяся у вас в апреле также к ситуации дела не имеет. Наличие генерализованного пародонтита порой не то ,что при одномоментных вмешательствах, при многоэтапной хирургии порой приводит к фейлам. О торке... Давайте разграничим реальный торк, когда большая часть импланта контактирует с костью и на динамометрическом ключе мы видим ,например, 30 нсм и псевдоторк 80 нсм ,полученный за счет фиксации лишь шейки имплантата в кортикальной кости. Далеко ушли, предлагаю не флудить далее в теме у топикстартера Ссылка на комментарий
Irouil Опубликовано 27 июня, 2023 Поделиться Опубликовано 27 июня, 2023 @Женька Вы не против, что мы тут Вам тему засираем или открыть новую по данному топику? Ссылка на комментарий
TIGER Опубликовано 27 июня, 2023 Поделиться Опубликовано 27 июня, 2023 @NazranDantist плюсую, 15 часов назад, NazranDantist сказал: Очень часто пациенты с радостью рассказывают, как им удобно жевать на ФДМ, а еще чаще, не рассказывают, но активно жуют. Несколько раз получал фиброинтеграцию при торках ниже 10 и установленным ФДМ. Условия были близки к идеальным, но на некоторых системах так бывает, что торк сложно поймать. Больше так не рискую. Ссылка на комментарий
Рекомендуемые сообщения
Для публикации сообщений создайте учётную запись или авторизуйтесь
Вы должны быть пользователем, чтобы оставить комментарий
Создать аккаунт
Зарегистрируйте новый аккаунт в нашем сообществе. Это очень просто!
Регистрация нового пользователяВойти
Уже есть аккаунт? Войти в систему.
Войти