Lex2023 Опубликовано 16 июня, 2023 Поделиться Опубликовано 16 июня, 2023 Все началось когда я чистил зубы и ударил десну над зубом. Десна следовательно заболела, но буквально на следующий или через день начал ныть зуб под коронкой. Боль ноющая, тупая, непостоянная, как-то волнами накатывает. Десна прошла, а зуб так и нет. К слову, коронке 5 лет, зуб передний, раньше не беспокоил. НА горячее/холодное не реагирует, на надавливание тоже реакции нет. Ходил в частную, проверенную клинику (в которой личился раньше по омс, но больше по омс не принимают), Обстучали больной зуб и рядом стоящие, обдули, осмотрели, ничего подозрительного не нашли. Сделал рентген, на снимке тоже все хорошо, порекомендовали полоскать ромашкой. За зубами слежу, чищу + каждодневное использование ирригатора, коронка примыкает к десне хорошо, никаких зазоров нет. Что это может быть и что можете посоветовать? Ссылка на комментарий
IvanK Опубликовано 17 июня, 2023 Поделиться Опубликовано 17 июня, 2023 Добрый день 20 часов назад, Lex2023 сказал: что можете посоветовать? к сожалению, без объективных данный (фото и, как минимум, рентгеновские снимки) советовать что-то невозможно это как ремонт авто по фотографии.. 1 1 Ссылка на комментарий
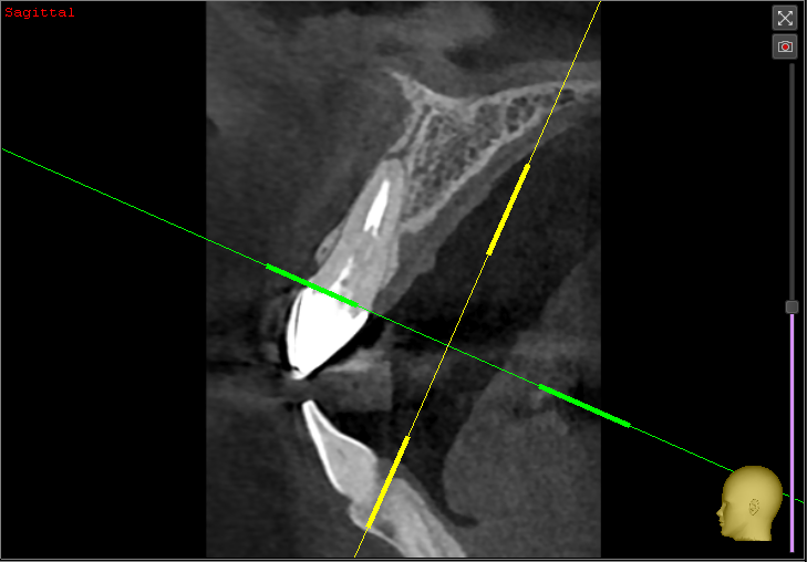
Lex2023 Опубликовано 19 июня, 2023 Автор Поделиться Опубликовано 19 июня, 2023 @IvanK Здравствуйте. Сегодня сделал 3д снимок, сказали все хорошо (воспаления нет, канал запломбирован хорошо, сам корень без трещин и т.п), соседние зубы тоже в отличном состоянии , но боль не проходит.Коронку снимать смысла нет говорят. Попросил результат сканирования, скинули вот это.Если можете, посмотрите пожалуйста, не знаю уже к кому обращаться. 789686638_20230619-115700-142_.zip Ссылка на комментарий
IvanK Опубликовано 20 июня, 2023 Поделиться Опубликовано 20 июня, 2023 Доброе утро Если болит, то причина есть Я бы советовал еще раз прийти к вашему доктору и еще раз все посмотреть/обсудить Ссылка на комментарий
Lex2023 Опубликовано 20 июня, 2023 Автор Поделиться Опубликовано 20 июня, 2023 3 часа назад, IvanK сказал: Доброе утро Если болит, то причина есть Я бы советовал еще раз прийти к вашему доктору и еще раз все посмотреть/обсудить В том то и дело что врач снимках не видит то, из-за чего может болеть. А вы ничего про снимки сказать не можете? Ссылка на комментарий
АнтонТЛТ Опубликовано 20 июня, 2023 Поделиться Опубликовано 20 июня, 2023 Канал не до конца запломбирован Ссылка на комментарий
Lex2023 Опубликовано 21 июня, 2023 Автор Поделиться Опубликовано 21 июня, 2023 (изменено) 20.06.2023 в 14:09, АнтонТЛТ сказал: Канал не до конца запломбирован @АнтонТЛТ Может можно медикаментозно это вылечить, врач видел что не до конца запломбирован канал, но сказал что из-за него не может болеть, пломбировали задолго до установки коронки, больше 10-ти лет точно прошло. А если и перелечивать реально эту же коронку сохранить? Изменено 21 июня, 2023 пользователем Lex2023 Ссылка на комментарий
red_butler Опубликовано 21 июня, 2023 Поделиться Опубликовано 21 июня, 2023 1 час назад, Lex2023 сказал: Может можно медикаментозно это вылечить нет 1 час назад, Lex2023 сказал: А если и перелечивать реально эту же коронку сохранить? нет Ссылка на комментарий
Рекомендуемые сообщения
Для публикации сообщений создайте учётную запись или авторизуйтесь
Вы должны быть пользователем, чтобы оставить комментарий
Создать аккаунт
Зарегистрируйте новый аккаунт в нашем сообществе. Это очень просто!
Регистрация нового пользователяВойти
Уже есть аккаунт? Войти в систему.
Войти