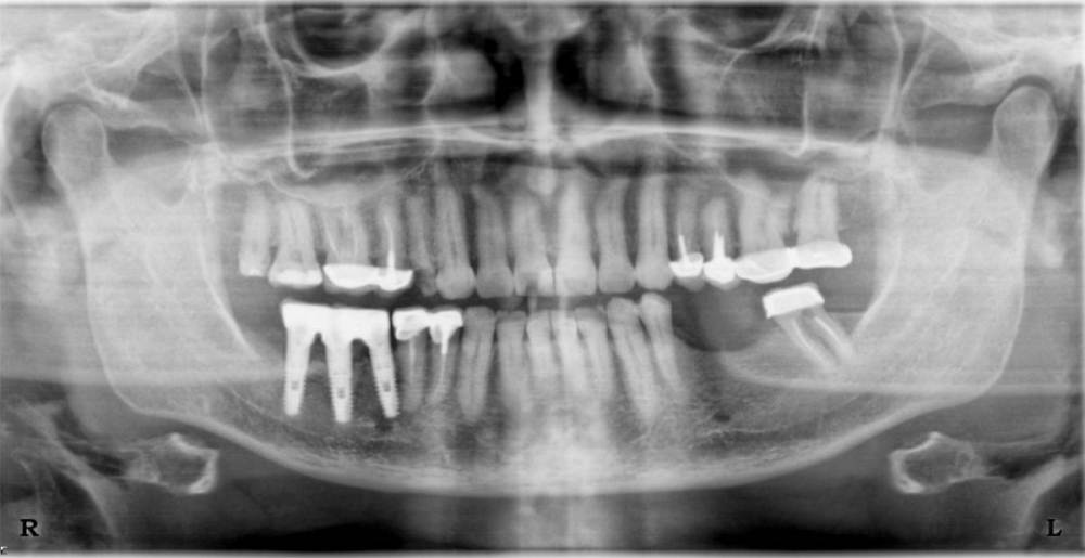
Dashik Опубликовано 16 июня, 2023 Поделиться Опубликовано 16 июня, 2023 Добрый день, уважаемые стоматологи! В середине августа 2021 года у моей мамы (сейчас 63 года) выпал мост. Была далеко от дома. Пришла приклеить мост, оказалось, что 5 зуб раскололся от штифта, его выдернули, у моста отрезали коронку на 3.7 зуб, приклеили, стоит до сих пор. В апреле решила заняться зубами. Хочет ставить имплантаты на месте вывалившегося моста. Была на двух консультациях. Кость позволяет, но волнуют некоторые несовпадающие сведения, полученные на консультациях. Хочет услышать третье мнение на волнующие её вопросы. 1. Что делать с 3.7 зубом? 2. Сильная ли произошла атрофия десны, и необходимо ли брать с нёба кусок слизистой для неё. Можно ли обойтись без этих манипуляций? Как-то всё-таки хотелось менее травматичный способ установки имплантатов. 3. В ноябре 2010 году были установлены 3 имплантата системы XIVE. Возможно ли сейчас при нашей ситуации установить такие же имплантаты, чтобы во рту была одна система? 4. Возможно ли ей установить имплантаты без разрезания десны безлоскутно? 5. Можно ли сохранить 1.4 зуб на верхней челюсти? Там была большая пломба, которая отвалилась с частью зуба. 6. Кт было сделано 5 апреля, сколько ещё есть времени (если оно ещё есть) на поиски врача-импантолога, чтобы не облучаться повторно? Фото зубов, ортопантомограмма и кт зубов прилагаются. Правда, я не очень уверена в правильном развороте зубов, крутила-крутила пол дня. Если не информативно, попробую сделать в другом ракурсе. Заранее очень благодарна за ответы и потраченное время. Большое спасибо! Ссылка на комментарий
Irouil Опубликовано 16 июня, 2023 Поделиться Опубликовано 16 июня, 2023 1. Он как-то беспокоит? 2. Сильная, мягкотканная аугментация показана 3. Наверное возможно, но зачем? 4. Нет, см. пункт 2 5. На первый взгляд - нет, но надо рассверлить зуб и посмотреть прямым взглядом 6. Сколько угодно, да и от КЛКТ облучение незначительное Ссылка на комментарий
Dashik Опубликовано 16 июня, 2023 Автор Поделиться Опубликовано 16 июня, 2023 Большое спасибо за ответ! Зуб не беспокоит. Никаких припухлостей и шишек нет. Просто после первой консультации в Москве у профессора, доктора мед. наук, в которой мы собрались ставить имплантаты, неожиданно позвонили и сказали, что зуб однозначно на удаление - перелом корней и потом установка 2 или 3 имплантатов по нашему выбору. Спросили на сколько имплантатов расписывать план лечения. На второй - уже в нашем маленьком городке, что никакого перелома нет, просто так материал на снимке отобразился или что-то типа такого, я, честно говоря, не помню точных его фраз. И у нас ставят только суперлайн, а хочется что-то понадежнее. Ссылка на комментарий
Irouil Опубликовано 17 июня, 2023 Поделиться Опубликовано 17 июня, 2023 Чтобы что-то конкретное говорить про зуб надо изучать КТ подробно. Я бы что с удалением зуба, что без, все равно на установку двух имплантов шёл. С чего Вы решили что суперлайны - ненадежные импланты? Ссылка на комментарий
Dashik Опубликовано 18 июня, 2023 Автор Поделиться Опубликовано 18 июня, 2023 А два имплантата лучше ставить, потому что атрофия десны сильная или почему? Если предположить, что 7 зуб относительно здоровый, без переломов корней, и его не выдирать пока, просто наблюдать, установить два имплантата на место 5 и 6 зубов, какие потом могут возникнуть последствия в будущем? Что будет, если там действительно перелом, на который не обратить сейчас внимание? Правильная у Вас мысль о доскональном просмотре кт. Учитывая огромную занятость профессоров на кафедре, в своей частной клинике и тому подобное (был богатый опыт общения, сама писала кандидатскую диссертацию на физ.-мат. наук), наверное, поручил просмотр своим ассистентам. А что касается надёжности суперлайна, разве корейские имплантаты могут сравниться по качеству с европейскими? Когда я искала клинику для себя 4 года назад, то было два варианта поставить BEGO Semados или дентиум, то мне врач сказал: «Сравните качество автомобиля Мерседес с каким-то хендаем? Вы бы на каком хотели бы ездить?» © Сарказм врача? Себе я вставила астру, как-то на маме экономить не очень хочется. Вопрос в другом, если ничего больше другого сейчас на рынке нет, тогда уже остается выбирать из имеющегося... Ссылка на комментарий
Irouil Опубликовано 18 июня, 2023 Поделиться Опубликовано 18 июня, 2023 @Dashik Сравнивать надо не мерседес и хендэ, а такси мерседес и хендэ. Ибо вы не покупаете автомобиль, а покупаете поездку на нем - услугу по оказанию медпомощи. И навыки водителя+состояние автомобиля тут гораздо важнее, чем его марка. Правило всегда одно - самый простой (дешевый/ненадежный) имплант в умелых руках намного лучше работает, чем самый хороший - в неумелых. Два лучше ставить потому, что чем меньше дырок в человеке - тем лучше. Есть важные уточняющие факторы (предельные размеры имплантов, протяжённость протеза), но в конкретно представленной ситуации я с большой долей вероятности все равно бы больше двух не установил. Если там действительно перелом, то зуб будет вызывать воспаление окружающих тканей и со временем заставит себя удалить. Надо регулярно осматривать полость рта у стоматолога, делать рентген снимки, но это нормальная профилактика и здоровых пациентов Ссылка на комментарий
Dashik Опубликовано 19 июня, 2023 Автор Поделиться Опубликовано 19 июня, 2023 @Irouil подскажите, пожалуйста, обычно сколько времени требуется, чтобы зуб с переломом себя проявил? Если мост простоял где-то 16 лет с нагрузкой на нем и почти 2 года уже без. Ссылка на комментарий
Dashik Опубликовано 1 июля, 2023 Автор Поделиться Опубликовано 1 июля, 2023 Добрый вечер, уважаемые стоматологи! Сходили мы ещё на один приём к хирургу-имплантологу. При мне посмотрел, покрутил на кт 7 зуб. Сказал, что не видет перелом корней, все целое. Если я кт залью завтра целиком, может кто посмотреть этот недающий покоя зуб? Ссылка на комментарий
annda Опубликовано 2 июля, 2023 Поделиться Опубликовано 2 июля, 2023 Трещин на КТ не видно, слишком тонкая структура. Линия перелома, да, видна, но крутить для этого не надо, она , как правило, видна явно. Для определения трещин есть другие признаки. Определенная форма кармана около трещины и сам этот карман в реальности, который зондируется специальным пародонтологическим зондом.Либо раскрывать зуб и смотреть корень под микроскопом, красить его специальной краской, чтобы трещину прокрасить явно. 1 Ссылка на комментарий
Dashik Опубликовано 2 июля, 2023 Автор Поделиться Опубликовано 2 июля, 2023 @annda, огромное спасибо за совет! Карман около трещин определяет эндодонтист или пародонтолог? Ссылка на комментарий
annda Опубликовано 2 июля, 2023 Поделиться Опубликовано 2 июля, 2023 Любой врач,кто вас смотрит Ссылка на комментарий
Dashik Опубликовано 2 июля, 2023 Автор Поделиться Опубликовано 2 июля, 2023 @annda, ещё раз спасибо! Грустно, что ни один из трёх врачей не предложил такую процедуру. Попробую сама поискать. Ссылка на комментарий
Irouil Опубликовано 2 июля, 2023 Поделиться Опубликовано 2 июля, 2023 Никто не предлагал, наверное, потому что кармана вокруг этого зуба нет. На мой взгляд с этим зубом Вы ищете чёрную кошку в тёмной комнате. Ссылка на комментарий
Dashik Опубликовано 2 июля, 2023 Автор Поделиться Опубликовано 2 июля, 2023 @Irouil, думаете, зуб здоров, и не надо пока манипуляции разные делать? Ссылка на комментарий
Irouil Опубликовано 3 июля, 2023 Поделиться Опубликовано 3 июля, 2023 Зуб не беспокоит и явных признаков воспаления вокруг него я не вижу. Можете загрузить полное КТ (тут не факт что кто-то сможет просмотреть), но пока я бы сказал что поводов его трогать не вижу 1 Ссылка на комментарий
Dashik Опубликовано 3 июля, 2023 Автор Поделиться Опубликовано 3 июля, 2023 @Irouil, большое спасибо! Как доберусь до компьютера сегодня, загружу. Ссылка на комментарий
Dashik Опубликовано 4 июля, 2023 Автор Поделиться Опубликовано 4 июля, 2023 Добрый вечер! Ссылка на данные из кт https://drive.google.com/file/d/1j2e9zMku0dA7DPxevpV7Cpm0_3UhvteE/view?usp=sharing Получился файл большого объема, хотя заархивировала только сами данные двух челюстей, без всяких дополнительных сетапов. Ссылка на комментарий
Рекомендуемые сообщения
Для публикации сообщений создайте учётную запись или авторизуйтесь
Вы должны быть пользователем, чтобы оставить комментарий
Создать аккаунт
Зарегистрируйте новый аккаунт в нашем сообществе. Это очень просто!
Регистрация нового пользователяВойти
Уже есть аккаунт? Войти в систему.
Войти