kruckovairina Опубликовано 4 июня, 2023 Поделиться Опубликовано 4 июня, 2023 Удалили 2 зуба по причине кисты (болела , обострилась, не получилось вылечить), и второй зуб , была боль в незалеченном канале , пролечили вывели материал за верхушку корня , болел полтора месяца , не смогла уже терпеть уладила в надежде что все пройдет , но развился альвеолит почистили , положили губку и зашили. , все это очень сильно болело дней 5-7 , были советы закладывать метрогил, все это облегчало на некоторое время , приехала в другой город к другому специалисту снова почистили положили турунду с йодоформом через 5 дней поменяли , и еще 2-3 дня я ходила со второй турундой, все это время все болит , у меня депрессия, мысли уже суицидальные , потому что очень устала , приехала обратно к себе в город пошла на осмотр , вынули турунды и сказали вот теперь точно заживет, полоскать хлорогекседином , раны и правда затягиваются но очень медленно при этом , присутствует боль до сих пор и Жжение сильное , все врачи что смотрели меня говорят терпеть , все пройдет , что визуально все выглядит хорошо !!!!!! За все это время были моменты что поднималась температура до 37,5 сейчас вроде нет , сегодня 10 день после последней чистки , подскажите нормально ли это что все это болит так долго ?????чем себе еще помочь , какие то физио процедуры ? Что я еще могу сделать , очень прошу помогите на нижней лунке на снимке будто остался материал , но его попытались убрать и получается ковыряли уже вместе с днем удаления 3 раза , даже машинкой сверлили , но вот сегодня болит больше верхняя лунка ее прям жжет , может быть слишком много хлорогекседина, мне кажется что динамика есть , но она очень медленная и слабая ?????я очень сильно депрессую и плачу много , не справляюсь .Просто скажите что это болит долгооооооо, и что это нормально , пока не закроетья ранка Ссылка на комментарий
Irouil Опубликовано 4 июня, 2023 Поделиться Опубликовано 4 июня, 2023 Снимки и фотографии выглядят нормально. Чем больше раз чистить заживающую костную рану, тем больше она будет болеть. Метрогил - хорошее средство для первых дней течения альвеолита, сейчас я уже не думаю, что он будет эффективен. Хлоргексидин лучше больше 7 дней не использовать, можно спровоцировать дисбактериоз, я бы рекомендовал попробовать пополоскать растворами для болей в горле (Гексорал, Бросгексин и т.п.) - они имеют слабый анестетический эффект, возможно это улучшит Ваше самочувствие. Ссылка на комментарий
kruckovairina Опубликовано 4 июня, 2023 Автор Поделиться Опубликовано 4 июня, 2023 То есть мне не стоит переживать , а просто ждать ? Хлорогекседином полоскаю буквально 3 дня после снятия турунд , пресутствцет жжение , плохо сплю ) раны будут так болеть пока не затянутся? А если там бактерия и или инфекция какая это выглядело бы хуже ? Ссылка на комментарий
Irouil Опубликовано 5 июня, 2023 Поделиться Опубликовано 5 июня, 2023 В принципе - да, переживать не стоит и надо подождать. Бактерия или инфекция теоретически может быть в любой ране, на данный момент это вопрос для Вас менее актуальный, главное - поддерживать чистоту в ране Отвечая на Ваш вопрос - в норме 3 недели или месяц болеть не должно ни при каких обстоятельствах, ну так у Вас и не нормальное течение заживления: разве это нормальная ситуация, когда заживающую рану приходится скрести по 3 раза? После всех приключений, которые Вы описали, нынешняя симптоматика выглядит адекватно, к сожалению Ссылка на комментарий
kruckovairina Опубликовано 5 июня, 2023 Автор Поделиться Опубликовано 5 июня, 2023 Сейчас потягивает и поднывает зуб с кистой на другой стороне челюсти , на сколько это опасно ждать пока затягиваются раны от этих удалений ? И как предотвратить Альвеолит при следующем удалении , я просыпаюсь каждое утро как в аду киста уже много лет , мне ее перелечивали , но сейчас врачи говорят удалять , но попозже, а мне уже страшно что я не успею удалить и случиться что то страшное ,киста на 6 зубе размером с 6мм , какие шансы что ситуация повторится с альвеолитом ? И как долго теперь могут затягиваться мои раны от удаления и 2 чисток (((еще месяц? Ссылка на комментарий
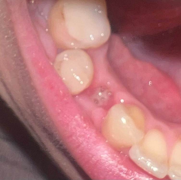
kruckovairina Опубликовано 6 июня, 2023 Автор Поделиться Опубликовано 6 июня, 2023 И десна с внешней стороны вот такая красная все это время после удаления не проходит Ссылка на комментарий
Рекомендуемые сообщения
Для публикации сообщений создайте учётную запись или авторизуйтесь
Вы должны быть пользователем, чтобы оставить комментарий
Создать аккаунт
Зарегистрируйте новый аккаунт в нашем сообществе. Это очень просто!
Регистрация нового пользователяВойти
Уже есть аккаунт? Войти в систему.
Войти