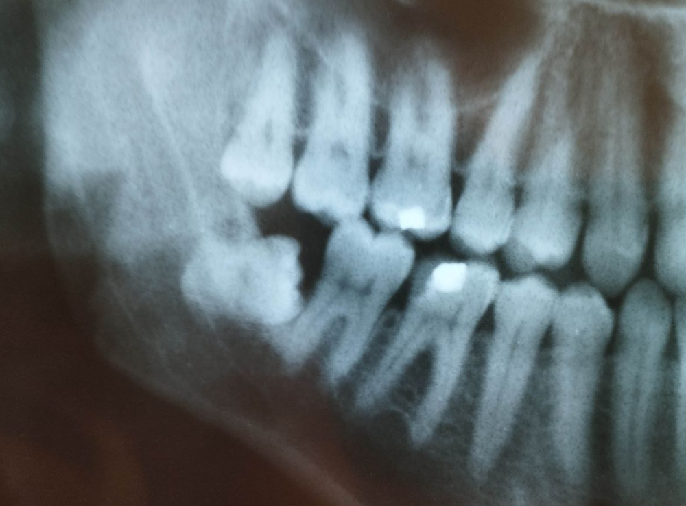
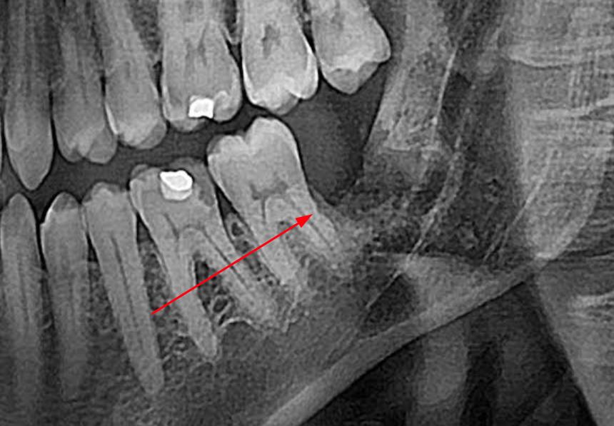
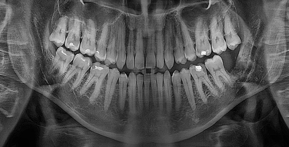
3убастик Опубликовано 27 мая, 2023 Поделиться Опубликовано 27 мая, 2023 Здравствуйте, подскажите как быть. Удалили сложную ретинированную восьмерку снизу, по причине что начала гноиться десна, зуб был в порядке. 10 дней лунка обрабатывалась ванночками из хлоргексидина после еды и еще несколько раз в промежутках. Спустя 10 дней, поняв что лунка не заживает, 10 дней в лунку закладывался левомеколь 3 раза в день на 20 минут на кусочке бинта (сам себе назначил по советам из интернета), убедившись что ничего не меняется на 23 день после удаления пошел к врачу, где был обнаружен небольшой альвеолит. Лунка была промыта хлоргексидином, врач вымыл остаток кровяного сгустка, назначил асепту, которая закладывалась в лунку по 2-3 раза в день. Через 3 дня был повторный осмотр с промыванием лунки, она оказалась чистой, продолжил закладывать асепту (14 дней), лунка особо не заживает до сих пор (сегодня 38 дней после операции и 15 дней как закладываю асепту), сделал повторный снимок, сходил еще раз на осмотр, врач сказал что стало немного получше, кюретаж не требуется, предложил продолжить до месяца использовать асепту и ждать пока затянется. В последние пару дней пару раз после закладывания асепты щипало в лунке минут по 10-15, до этого не было такого. Другой хирург посоветовал закладывать солкосерил, но меня смущает что через это лекарство может передаться болезнь Крейтцфельда-Якоба, которая аукнуться может через 5-15 лет и закончиться очень плачевно, плюс сам солкосерил сейчас стоит космических денег - за 5 г. тубу около 5 тысяч рублей. Подскажите, стоит ли использовать солкосерил, или может есть какие-то безопасные препараты для ускорения эпителизации? Прикладываю снимки до и после, плюс фото самой лунки, может кто на снимках что увидит почему не затягивается. И еще вопрос, на 7 зубе это что за вмятинка, отметил стрелкой на фото? Не может быть повреждения во время операции? Сверлили много... До удаления: После удаления: Лунка: Ссылка на комментарий
Irouil Опубликовано 27 мая, 2023 Поделиться Опубликовано 27 мая, 2023 Здравствуйте! Я предпочитаю не использовать адгезивные пасты в заживающих лунках удалённых зубов. В большинстве случаев достаточно антисептического эффекта Метрогила Дента 1-2 раза в день в лунку (на 10-15 минут и потом обязательно выполоскать/вымыть) и промывание лунки точечно (из шприца) Хлоргексидином 0,05% 2-3 раза в день Но Вы уже достаточно неуспешно позанимались самолечением, я бы не советовал повторять подобный опыт. Чтобы ответственно Вам что-то рекомендовать нужен очный осмотр P.S. не вижу ни одного признака травмы соседнего зуба в результате удаления, со стороны лунки удалённого зуба осталась нетронутая костная стенка, которая пострадала бы первой 1 Ссылка на комментарий
3убастик Опубликовано 27 мая, 2023 Автор Поделиться Опубликовано 27 мая, 2023 26 минут назад, Irouil сказал: Но Вы уже достаточно неуспешно позанимались самолечением, я бы не советовал повторять подобный опыт. Чтобы ответственно Вам что-то рекомендовать нужен очный осмотр К сожалению я в другом городе. 26 минут назад, Irouil сказал: Я предпочитаю не использовать адгезивные пасты в заживающих лунках удалённых зубов. В большинстве случаев достаточно антисептического эффекта Метрогила Дента 1-2 раза в день в лунку (на 10-15 минут и потом обязательно выполоскать/вымыть) и промывание лунки точечно (из шприца) Хлоргексидином 0,05% 2-3 раза в день Т.е. вы противник и асепты и солкосерила? Ссылка на комментарий
Irouil Опубликовано 27 мая, 2023 Поделиться Опубликовано 27 мая, 2023 @3убастик даже в другой стране, наверное. Я просто хотел обратить Ваше внимание, что рекомендации врача на очном осмотре будут весомее, чем мои тут. 2 часа назад, 3убастик сказал: Т.е. вы противник и асепты и солкосерила? Не всегда, но при лечении альвеолитов - да. Ссылка на комментарий
3убастик Опубликовано 27 мая, 2023 Автор Поделиться Опубликовано 27 мая, 2023 28 минут назад, Irouil сказал: даже в другой стране, наверное. Я просто хотел обратить Ваше внимание, что рекомендации врача на очном осмотре будут весомее, чем мои тут. На очном осмотре вот мне и посоветовали как раз эти 2 препарата. Купил я метрогил, попробую по вашей схеме на выходных, хуже думаю не будет. Я вообще подозреваю что асепта у меня до дна лунки не доходила, т.к. лунка довольно глубокая, а асепта очень сильно липнет, я брал небольшую горошину и пальцем ее туда вмазывал, возможно она просто висела комком над самым дном лунки и совсем не работала, но это мои предположения. Промывать через 15 минут лунку хлоргексидином, или просто водой пополоскать чистой кипяченой? Ссылка на комментарий
Irouil Опубликовано 27 мая, 2023 Поделиться Опубликовано 27 мая, 2023 @3убастик после Метрогила лучше просто прополоскать, а Хлоргексидином мыть лучше всего после еды 1 час назад, 3убастик сказал: На очном осмотре вот мне и посоветовали как раз эти 2 препарата. Если методы, предложенные врачами, у которых Вы уже побывали, облегчения не принесли - могу посоветовать сменить врача Ссылка на комментарий
3убастик Опубликовано 27 мая, 2023 Автор Поделиться Опубликовано 27 мая, 2023 6 минут назад, Irouil сказал: после Метрогила лучше просто прополоскать, а Хлоргексидином мыть лучше всего после еды Спасибо, пробую вашу схему. Так же беру горошину метрогила на палец, закладываю в лунку, потом еще такую же горошину на кусок бинта и накладываю сверху на лунку, держу 15 минут. Нормально так работать с ним, или достаточно просто пальцем в лунку заложить и держать? Ссылка на комментарий
Irouil Опубликовано 27 мая, 2023 Поделиться Опубликовано 27 мая, 2023 Нормально Ссылка на комментарий
3убастик Опубликовано 9 июня, 2023 Автор Поделиться Опубликовано 9 июня, 2023 27.05.2023 в 21:28, Irouil сказал: Нормально Поделал по вашей схеме. Завтра утром будет как 2 недели закладывал 2 раза в день на 15 минут метрогил, промывал раза 3 после еды хлоргексидином, сейчас лунка выглядит таким образом. Есть чувствительность к горячему\холодному. Подскажите, это нормальное состояние? И белый налёт внутри это фибрин? Что можно еще поделать чтобы поскорей зажило, метрогил я так понимаю уже не стоит продолжать, как и хлоргексидин. Ссылка на комментарий
Irouil Опубликовано 10 июня, 2023 Поделиться Опубликовано 10 июня, 2023 Я полагаю Вам пора сделать свежий снимок и сходить на осмотр, прошло уже практически два месяца с удаления (если мои подсчеты верны), для этого срока выглядит не прекрасно чувстуительность скорее всего от соседнего зуба Ссылка на комментарий
3убастик Опубликовано 10 июня, 2023 Автор Поделиться Опубликовано 10 июня, 2023 1 час назад, Irouil сказал: Я полагаю Вам пора сделать свежий снимок и сходить на осмотр, прошло уже практически два месяца с удаления (если мои подсчеты верны), для этого срока выглядит не прекрасно Через 9 дней будет 2 месяца ровно. Ссылка на комментарий
3убастик Опубликовано 12 июня, 2023 Автор Поделиться Опубликовано 12 июня, 2023 Сходил я к хирургу, он посмотрел и сказал что всё нормально и лунка эпителизирована, но на дне лунки красное, это не похоже на эпителий. И именно лунка реагирует на холодное, горячее, соленое и сладкое, а не 7ка, она в полном порядке. Сказал просто полоскать после еды ромашкой, или холисал закладывать 3 раза в день. Купил холисал, при закладке ватной палочкой в лунку тоже больно, как и от холодного\горячего, 7ки даже не касаюсь, боль идёт явно из лунки. Скажите, может ли в лунке остаться мелкая пыль от зуба, или что-то в этом роде, которую не видно на снимке и не давать зажить? Ссылка на комментарий
annda Опубликовано 12 июня, 2023 Поделиться Опубликовано 12 июня, 2023 После таких удалений и в таком месте заживление идет до трех месяцев, это норма. Ссылка на комментарий
annda Опубликовано 12 июня, 2023 Поделиться Опубликовано 12 июня, 2023 Вы постоянно что- то суете туда, раздражаете ее. Вы сами ей попросту зажить не даете нормально. В покое ее оставьте, она сама заживет. А то вы как соль на рану сыплете и ждете , когда рана перестанет болеть и затянется. 1 Ссылка на комментарий
Рекомендуемые сообщения
Для публикации сообщений создайте учётную запись или авторизуйтесь
Вы должны быть пользователем, чтобы оставить комментарий
Создать аккаунт
Зарегистрируйте новый аккаунт в нашем сообществе. Это очень просто!
Регистрация нового пользователяВойти
Уже есть аккаунт? Войти в систему.
Войти