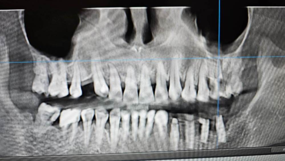
Liliya_imp Опубликовано 25 мая, 2023 Поделиться Опубликовано 25 мая, 2023 Здравствуйте. Уважаемые коллеги, помогите пожалуйста с планом лечения для данной пациентки. Смотрю её 3д-снимок и решений, кроме как все удалить у меня нет. Пациентка первичная, приехала из другого города. Последние 4 года проходит ортодонтическое лечение на элайнерах инвизилайн. С её слов, осталось всего два комплекта капп и лечение будет завершено. То есть, примерно через месяц. Ума не приложу как можно её реабилитировать с такой печальной пародонтологической ситуацией. Фронтальные верхние и нижние зубы имеют 1-2 степень подвижность. Ссылка на комментарий
kramer Опубликовано 25 мая, 2023 Поделиться Опубликовано 25 мая, 2023 Здравствуйте, коллега. Что именно смущает вас? Это типичный случай для паролонтологического лечения. Диагностика -> прогнозы-> 1 фаза -> повторная оценка -> 2 фаза -> ожидание -> по необходимости периохирургия -> ожидание -> протезирование ->% поддерживающее лечение. Ну это если коротко. Если вас беспокоят карманы/подвижность, это не беда. Кортеллини показывал 30-летние реколлы с куда более печальным состоянием пародонта на момент начала терапии. Другой вопрос, что делать с имплантатами, вид у них по снимку так себе. Фото есть? Ссылка на комментарий
Liliya_imp Опубликовано 25 мая, 2023 Автор Поделиться Опубликовано 25 мая, 2023 @kramer смущает огромная вероятность потери большого объёма костной ткани после удаления несостоятельных зубов. Смущает, что после имплантации между зубами, в области которых огромные карманы возможно возникновение периимплантита. И я бы не хотела, чтобы лечение выглядела следующим образом: удалили несостоятельные зубы-> имплантация ->протезирование-> через пару лет зубы рядом с имплантами, а возможно и сами импланты придётся удалить, так как из-за хронического процесса в пародонте происходит резорбция костной ткани. Ссылка на комментарий
annda Опубликовано 26 мая, 2023 Поделиться Опубликовано 26 мая, 2023 (изменено) Сейчас , насколько смутно помню, не рассматривают резорбцию костной ткани по рентгену в плане оценки тяжести пардонтита.Оценивают уровень апикального прикрепления по зондированию карманов пародонтальным зондом , вносят в карту и наблюдают.И это могутбыть две разительно разные картины. Ну и потом, после капп, какая там должна быть еще подвижность? Естественно она будет. Это еще нормальная при таком лечении. Главное , контоль кровоточивости, гигиена, контакты окклюзионные наладить, убрать травматизацию всех видов . И про несостоятельные зубы выводы тоже делать как можно позже, когда период стабилизации пройдет, а они не стабилизировались никак( а вы все для этого сделали, ну прямо все, даже лазер купили:)) Смущает потеря костной ткани, делайте медленную и печальную экструзию вместо быстрого удаления. Изменено 26 мая, 2023 пользователем annda Ссылка на комментарий
Liliya_imp Опубликовано 26 мая, 2023 Автор Поделиться Опубликовано 26 мая, 2023 Спасибо большое за ответы, коллеги. Общая картина плана дальнейших действий мне понятна. Начнем с диагностики у пародонтолога и работой над гигиеной. 1 Ссылка на комментарий
Рекомендуемые сообщения
Для публикации сообщений создайте учётную запись или авторизуйтесь
Вы должны быть пользователем, чтобы оставить комментарий
Создать аккаунт
Зарегистрируйте новый аккаунт в нашем сообществе. Это очень просто!
Регистрация нового пользователяВойти
Уже есть аккаунт? Войти в систему.
Войти