MariiaF Опубликовано 12 мая, 2023 Поделиться Опубликовано 12 мая, 2023 Здравствуйте! Может ли быть такое, что 2 разные коронки на импланте вызывают боль при жевании пищи, а причина всё же не сам имплант? Зуб жевательный 6. Первая коронка на имплант вызывала сразу боль при жевании. Вторая, сделанная уже другими ортопедом и техником, поменьше. Сейчас поэтапно спиливают сверху эту коронку, боль уменьшается при жевании, но совсем, чувствую не уйдёт. Это только при жевании плотной и тягучей пищи или твёрдой. Просто стиснуть зубы если и подвигать челюстью, нет никаких ощущений. Вообще, насколько это правильный способ решения проблемы, делать ниже коронку, чтобы имплант поменьше участвовал в пережёвывании пищи? Внешне и по КТ имплант и его соединение с организмом вопросов ни у хирурга, ни у ортопедов не вызывает. Ну и что делать, вдруг у кого-то были случаи в практике подобные? Ссылка на комментарий
IvanK Опубликовано 12 мая, 2023 Поделиться Опубликовано 12 мая, 2023 Здравствуйте снимка не видно, выложите еще раз 5 часов назад, MariiaF сказал: Вообще, насколько это правильный способ решения проблемы, делать ниже коронку, чтобы имплант поменьше участвовал в пережёвывании пищи? имплантат должен "жевать", зачем же тогда его было ставить?) 5 часов назад, MariiaF сказал: Внешне и по КТ имплант и его соединение с организмом вопросов ни у хирурга, покажите и нам Ссылка на комментарий
MariiaF Опубликовано 15 мая, 2023 Автор Поделиться Опубликовано 15 мая, 2023 (изменено) Так и не удалось на сайт выложить, вот только так. https://hostingkartinok.com/show-image.php?id=306bffd3dfdd94037ea36a2249858958 Изменено 15 мая, 2023 пользователем MariiaF Ссылка на комментарий
АнтонТЛТ Опубликовано 15 мая, 2023 Поделиться Опубликовано 15 мая, 2023 Помогу 2 Ссылка на комментарий
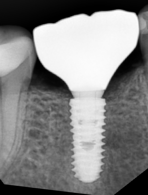
АнтонТЛТ Опубликовано 15 мая, 2023 Поделиться Опубликовано 15 мая, 2023 Сделайте прицельный внутриротовой рентген. Выглядит как будто неправильно изготовлена коронка Ссылка на комментарий
MariiaF Опубликовано 15 мая, 2023 Автор Поделиться Опубликовано 15 мая, 2023 12 часов назад, АнтонТЛТ сказал: Сделайте прицельный внутриротовой рентген. Выглядит как будто неправильно изготовлена коронка Спасибо, за ответ! Дело в том, что на этом снимке коронка ещё первая стояла. Теперь другая уже установлена. С ней ощутимо лучше, хотя какие-то ощущения и она оставляет. Прицельные же снимки делали и с новой коронкой уже там же, где пытаюсь решить эту проблему, попробую попросить скинуть. Однако, меня в первую очередь волнуют вопросы несколько иного характера. Насколько оправдано устранять дискомфорт при жевании после установки на имплант коронки напрямую снижая контактность? По мне, логика тут страдает, но я простой обыватель, могу не понимать чего-то. Или в порядке вещей, если в меру? Ну и главное, сам имплант, вызывает его вид, то как он установлен вопросы, или нет? Мне важно исключить его из подозрений, что что-то не так с ним. Хотя бы не отвлекаться мыслями на него и понимать что причина повыше. Мог бы скинуть вам 3D КТ полости рта, там этот имплант со всех сторон видно. Но это только с вашего согласия ,конечно. p.s. Коронку можно и третью по счёту поставить, уже заговорили об этом. Но как-то многовато коронок получается. Ссылка на комментарий
АнтонТЛТ Опубликовано 15 мая, 2023 Поделиться Опубликовано 15 мая, 2023 Если немного корректируют, то нормально. Если сильно по высоте снижают, то верхний зуб начнет выдвигаться. По этому снимку к имплантату нет вопросов. Правильно сделанный прицельный снимок снимет сразу несколько вопросов. И фотография коронки хорошего качества тоже не помешала бы Ссылка на комментарий
MariiaF Опубликовано 16 мая, 2023 Автор Поделиться Опубликовано 16 мая, 2023 9 часов назад, АнтонТЛТ сказал: И фотография коронки хорошего качества тоже не помешала бы Просто сделать фото коронки установленной сейчас? Ссылка на комментарий
АнтонТЛТ Опубликовано 16 мая, 2023 Поделиться Опубликовано 16 мая, 2023 Да, со стороны щеки Ссылка на комментарий
MariiaF Опубликовано 1 июня, 2023 Автор Поделиться Опубликовано 1 июня, 2023 Здравствуйте! Пришлось делать новый всё-таки снимок, ну и фото коронки без него не было смысла постить. https://hostingkartinok.com/show-image.php?id=cc02827df76c9979c8e2128519ca6cae https://hostingkartinok.com/show-image.php?id=bac696444a539cc3af276d4215e62264 прямо на сайт не выкладывается, опять Ссылка на комментарий
АнтонТЛТ Опубликовано 1 июня, 2023 Поделиться Опубликовано 1 июня, 2023 По рентгену складывается впечатление, что коронка как будто немного перекошена (это если прям выискивать к чему предраться). По фото видно, что десна немного воспалена. Анатомия бугров коронки выглядит очень выраженной, если сравнивать со стираемостью соседних зубов. Ссылка на комментарий
MariiaF Опубликовано 2 июня, 2023 Автор Поделиться Опубликовано 2 июня, 2023 15.05.2023 в 06:04, АнтонТЛТ сказал: Помогу Ссылка на комментарий
MariiaF Опубликовано 2 июня, 2023 Автор Поделиться Опубликовано 2 июня, 2023 Спасибо большое за ответ! Будем разбираться. С момента очередного подпиливания коронки прошло уже больше месяца. Усиленно жую на этой стороне, чтобы понять, можно ли с этим жить и надеясь, что "само пройдёт" постепенно, дискомфорт имею в виду. Иногда в моменты покоя, когда приём пищи был много часов назад, это место как-бы пульсирует еле ощутимо, так далеко-далеко и не часто, с редкой амплитудой. Болью не назвать, ближе к ощущениям, когда чешется. Мда. Ещё вспомнилось, что мне стоматолог говорил, что в редких случаях у кого прижился имплант и это видно на снимках и по внешнему виду, может быть всё-таки крошечная область какой-то "неправильной" соединительной ткани (не запомнил как он это назвал) между костью и имплантом, которая может так влиять, как у меня при жевании. Вам известно что-нибудь о таком, пусть в теории? Волнуюсь, что дойдёт из-за этих предположений по полной смены импланта. Ссылка на комментарий
АнтонТЛТ Опубликовано 2 июня, 2023 Поделиться Опубликовано 2 июня, 2023 Зубная нить проходит с одинаковым усилием перед коронкой и позади неё? Ссылка на комментарий
Bier Опубликовано 3 июня, 2023 Поделиться Опубликовано 3 июня, 2023 23 часа назад, MariiaF сказал: Ещё вспомнилось, что мне стоматолог говорил, что в редких случаях у кого прижился имплант и это видно на снимках и по внешнему виду, может быть всё-таки крошечная область какой-то "неправильной" соединительной ткани (не запомнил как он это назвал) между костью и имплантом, которая может так влиять, как у меня при жевании. Вам известно что-нибудь о таком, пусть в теории? Волнуюсь, что дойдёт из-за этих предположений по полной смены импланта. да, так может быть, я бы дал на имплантат усилие на закручивание 35-45 Нсм, если там проблемы, он провернется и тогда вынимайзинг и делаем новый. Ссылка на комментарий
MariiaF Опубликовано 5 июня, 2023 Автор Поделиться Опубликовано 5 июня, 2023 02.06.2023 в 08:06, АнтонТЛТ сказал: Зубная нить проходит с одинаковым усилием перед коронкой и позади неё? По ощущениям, с одинаковым, да. Ссылка на комментарий
Рекомендуемые сообщения
Для публикации сообщений создайте учётную запись или авторизуйтесь
Вы должны быть пользователем, чтобы оставить комментарий
Создать аккаунт
Зарегистрируйте новый аккаунт в нашем сообществе. Это очень просто!
Регистрация нового пользователяВойти
Уже есть аккаунт? Войти в систему.
Войти