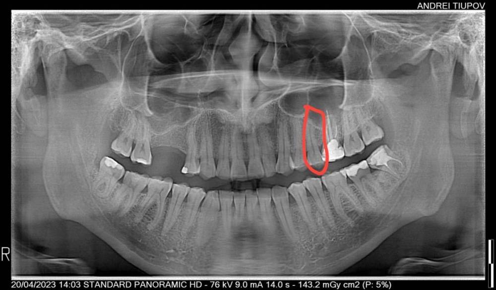
randomsctions Опубликовано 21 апреля, 2023 Поделиться Опубликовано 21 апреля, 2023 (изменено) Здравствуйте! Около 10 дней назад появилась стреляющая боль в верхней части челюсти слева. Сходил ко врачу (терапевту), результат: боли неясного характера. выписали дексаметазон и сказали наблюдать. На время стало меньше болеть. два дня назад сильно заболело в области, обведенной красным на снимке. Сначала казалось, что это зуб с большой пломбой, теперь, спустя два дня непрерывной интенсивной боли уже тяжело сказать, откуда именно исходит боль. Болит очень сильно, на 9 точно, почти невозможно терпеть. Не спал двое суток, и непонятно, когда удастся. Принимал по несколько таблеток кетарола, кетанова и ибупрофена, почти никакого эффекта, уснуть невозможно. вчера посетил утром другого врача (т.к. у первого не было номерков) - сделали снимок, сказали, точно не могут определить, с каким зубом проблема, и не хотят просто так пломбировать каналы здоровых зубов. Сказали, что боль может иррадиироваться от восьмёрок, и их можно попробовать удалить, но тоже не факт, что поможет. Выписали непраксен и антибиотики на 5 дней, записали на следующую неделю. Боль нестерпимая, поэтому в этот же день пошел в третью клинику. Надеялся, что удалят две восьмерки слева, и если боль не пройдёт, то уже смотреть дальше. Но врач отказалась удалять что-либо, а сказала, что 99%, что из-за стирания эмали и оголения дентина у зубов повысилась чувствительность, и отсюда боль (бруксизм у меня действительно есть, и зубы сильно стёрты, и часто реагируют на температуру или даже прикосновения). Покрыли сразу много зубов раствором для пломб, и отправили домой. В течение 2-3 часов я не чувствовал боль из-за анестезии (это были лучшие два часа за всё это время). Но сразу после этого разболелось ещё сильнее. Я уже не знаю, как мне это пережить, т.к. боль такая, что абсолютно невозможно уснуть. Уже готов удалить любое количество зубов, лишь бы избавиться от боли. Но если считать 4 обведенных красным зуба плюс пятый — 8ка снизу, то, как я понимаю, сразу 5 зубов удалять никто не станет. очень прошу подсказать, что тут можно сделать. Если это не решится за максимум ещё два дня, я не знаю, как я буду дальше. Не спать пятые сутки уже будет невозможно. Я готов удалить зуб(ы), но какой? Изменено 21 апреля, 2023 пользователем randomsctions Дополнение про бруксизм Ссылка на комментарий
IvanK Опубликовано 21 апреля, 2023 Поделиться Опубликовано 21 апреля, 2023 Здравствуйте что-то явное не бросается в глаза, я бы сделал компьютерную томографию поищите врача-терапевта эндодонтиста 3 Ссылка на комментарий
annda Опубликовано 21 апреля, 2023 Поделиться Опубликовано 21 апреля, 2023 По очереди стучим по каждому зубу и внимательно слушаем, который отличается по чувствительности от соседей. Он и виноват. Депульпированные не в счёт. 1 Ссылка на комментарий
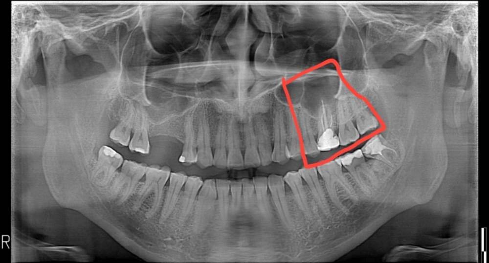
randomsctions Опубликовано 22 апреля, 2023 Автор Поделиться Опубликовано 22 апреля, 2023 Стучали все три врача, но разницы никакой я не заметил. вчера сделали тест: ввели небольшое количество анестетика под каждый зуб с перерывом в 10 мин, чтобы посмотреть, когда утихнет боль. идентифицировали вот этот зуб таким оьразом (оьвёл красным на картинке). Удалили нерв и запломбировали канал. Боль изменилась, но не прошла. Накатывает волнами теперь от почти 0 до 7 по 10-бальной шкале, с периодом около 30 мин +-. Но хотя бы могу спать теперь. Всё ещё буду рад советам, т.к. до сих пор непонятно, в чем проблема. Ссылка на комментарий
IvanK Опубликовано 22 апреля, 2023 Поделиться Опубликовано 22 апреля, 2023 совет тот же, сделать компьютерную томографию 1 Ссылка на комментарий
randomsctions Опубликовано 22 апреля, 2023 Автор Поделиться Опубликовано 22 апреля, 2023 43 минуты назад, IvanK сказал: совет тот же, сделать компьютерную томографию спасибо! Ссылка на комментарий
IvanK Опубликовано 22 апреля, 2023 Поделиться Опубликовано 22 апреля, 2023 на здоровье ?? 1 Ссылка на комментарий
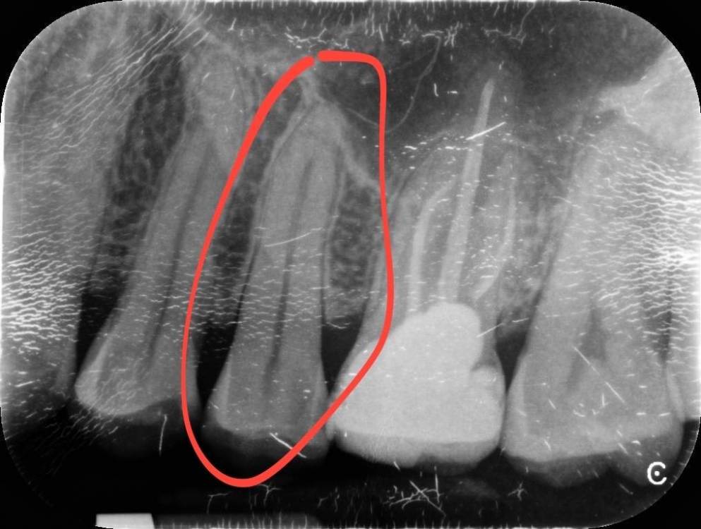
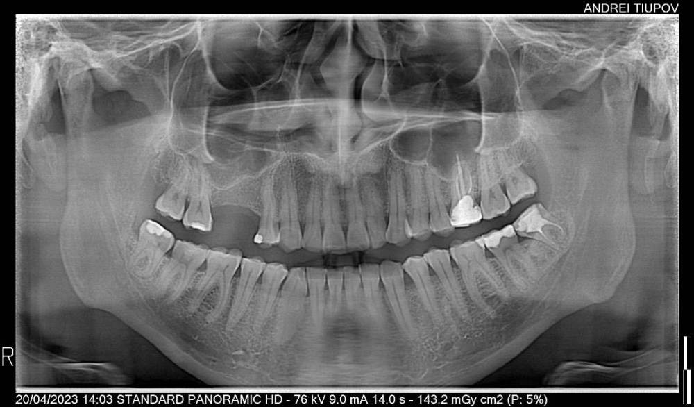
randomsctions Опубликовано 24 апреля, 2023 Автор Поделиться Опубликовано 24 апреля, 2023 Добрый день! Наконец-то уговорил врачей сделать КТ. При постукивании, если внимательно прислушиваться, выделяется нижний зуб (обвел красным), ну и верхний депульпированный. Дантист быстро показала КТ эндодонтисту, оба врача ничего страшного там не увидели. Боль продолжается, в состоянии покоя снижается до 1-2, после еды или воды возрастает до 7-8, потом плавно возвращается к 1-2. 741021604_AndreiTiupovCBTCscan.dcm Ссылка на комментарий
Carioznik Опубликовано 25 апреля, 2023 Поделиться Опубликовано 25 апреля, 2023 (изменено) 22.04.2023 в 18:08, randomsctions сказал: Удалили нерв и запломбировали канал сейчас там временная пломба? Судя по КТ - каналы не до конца сделаны. (от этого могут сохраняться боли) На зубе 26 (верхний с большой пломбой) - приличный очаг воспаления из-за пропущенного, когда-то при лечении зуба, канала. Каналы в нём перелечить можно , но есть вопрос с восстановлением и дальнейшим прогнозом (от зуба скорее всего ничего не останется и восстановить его уже не получится нормально , соответственно есть вероятность удаления зуба) 18 часов назад, randomsctions сказал: При постукивании, если внимательно прислушиваться, выделяется нижний зуб Возможно есть рецидив кариеса под пломбой , но это только предположение, нужен очный осмотр. (вряд-ли он причина ваших проблем, но я бы взял его на заметку) еще бы верхний предпоследний более детально посмотреть (очно и доп.прицельный снимок) пока вывод такой: долечить зуб , где удалили нерв. Далее переходить к верхнему зубу с большой пломбой. PS сделайте хоть фотографию во рту, если получится. может что-то еще прояснится Изменено 25 апреля, 2023 пользователем Carioznik 1 Ссылка на комментарий
randomsctions Опубликовано 28 апреля, 2023 Автор Поделиться Опубликовано 28 апреля, 2023 Большое спасибо за ответы! Мне удалось найти хорошего врача, который смог своим умом предложить то же самое, о чем мне писали в этой теме. 25.04.2023 в 04:25, Carioznik сказал: долечить зуб , где удалили нерв. Далее переходить к верхнему зубу с большой пломбой. еще раз спасибо! сейчас именно такой план лечения и наметили. 2 Ссылка на комментарий
Bier Опубликовано 1 мая, 2023 Поделиться Опубликовано 1 мая, 2023 холодовой тест делали? Ссылка на комментарий
randomsctions Опубликовано 2 мая, 2023 Автор Поделиться Опубликовано 2 мая, 2023 12 часов назад, Bier сказал: холодовой тест делали? Да, но, как я понял, врач ориентируется больше по КТ Ссылка на комментарий
Bier Опубликовано 2 мая, 2023 Поделиться Опубликовано 2 мая, 2023 по идее холодовой тест должен показать причинный зуб. Только нужно не водичкой полить, а раствор -50 градусов. 1 Ссылка на комментарий
Рекомендуемые сообщения
Для публикации сообщений создайте учётную запись или авторизуйтесь
Вы должны быть пользователем, чтобы оставить комментарий
Создать аккаунт
Зарегистрируйте новый аккаунт в нашем сообществе. Это очень просто!
Регистрация нового пользователяВойти
Уже есть аккаунт? Войти в систему.
Войти